• 文献检索
  • 文档翻译
  • 深度研究
  • 学术资讯
  • Suppr Zotero 插件Zotero 插件
  • 邀请有礼
  • 套餐&价格
  • 历史记录
应用&插件
Suppr Zotero 插件Zotero 插件浏览器插件Mac 客户端Windows 客户端微信小程序
定价
高级版会员购买积分包购买API积分包
服务
文献检索文档翻译深度研究API 文档MCP 服务
关于我们
关于 Suppr公司介绍联系我们用户协议隐私条款
关注我们

Suppr 超能文献

核心技术专利:CN118964589B侵权必究
粤ICP备2023148730 号-1Suppr @ 2026

文献检索

告别复杂PubMed语法,用中文像聊天一样搜索,搜遍4000万医学文献。AI智能推荐,让科研检索更轻松。

立即免费搜索

文件翻译

保留排版,准确专业,支持PDF/Word/PPT等文件格式,支持 12+语言互译。

免费翻译文档

深度研究

AI帮你快速写综述,25分钟生成高质量综述,智能提取关键信息,辅助科研写作。

立即免费体验

卡姆-达格-埃文曼病的表型变异性:一个携致病突变 c.653G>A 的基因的家系病例报告。

Phenotypic Variability in Camurati-Engelmann Disease: A Case Report of a Family with the c.653G>A Pathogenic Variant in the Gene.

机构信息

Replicon Research Nucleus, Graduate Program in Genetics, School of Medical and Life Sciences, Pontifical Catholic University of Goiás, Goiânia 74605-050, GO, Brazil.

Clinical Genetics Service, Center for Rehabilitation and Readaptation Dr. Henrique Santillo, State Health Secretary of Goiás, Goiânia 74605-050, GO, Brazil.

出版信息

Genes (Basel). 2024 Oct 22;15(11):1354. doi: 10.3390/genes15111354.

DOI:10.3390/genes15111354
PMID:39596554
原文链接:https://pmc.ncbi.nlm.nih.gov/articles/PMC11593567/
Abstract

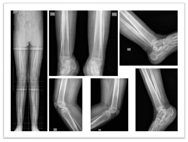
Camurati-Engelmann Disease (CED), or Progressive Diaphyseal Dysplasia, is a rare autosomal dominant disorder caused by heterozygous mutations in the Gene, essential for bone regeneration. This study examines the genotype-phenotype relationship in a family diagnosed with CED, specifically focusing on a missense variant (c.653G>A, p.Arg218Cys). The family comprised a mother and her two children, all of whom were found to carry the same disease-causing variant. The second child exhibited severe symptoms by age six, including progressive weakness and joint pain, leading to wheelchair dependency. The mother displayed milder symptoms with preserved independence. The firstborn son, initially asymptomatic, developed gait abnormalities and pain during adolescence. Clinical evaluations revealed characteristic hyperostosis of long bones, with significant variability in symptom onset and severity among family members, potentially indicative of genetic anticipation. This case underscores the importance of genetic testing and interdisciplinary management in CED, as traditional treatments, including corticosteroids and NSAIDs, often yield limited efficacy and notable side effects. Our findings contribute to the understanding of CED's pathophysiology and highlight the necessity for tailored therapeutic approaches. The identification of the common variant in this family reinforces the critical role of in bone metabolism and suggests avenues for further research into targeted therapies. Such reports enhance awareness and provide valuable insights for healthcare professionals managing rare genetic disorders.

摘要

卡姆鲁蒂-恩格尔曼病(CED),又称进行性骨干发育不良,是一种罕见的常染色体显性遗传疾病,由 基因的杂合突变引起,该基因对骨再生至关重要。本研究对一个确诊为 CED 的家族进行了基因型-表型关系研究,重点关注一种错义变异(c.653G>A,p.Arg218Cys)。该家族包括一位母亲和她的两个孩子,他们均携带相同的致病变异。第二个孩子在 6 岁时表现出严重的症状,包括进行性无力和关节疼痛,导致需要依赖轮椅。母亲的症状较轻,保持了独立性。长子最初无症状,但在青春期出现步态异常和疼痛。临床评估显示长骨有特征性的骨过度生长,家庭成员的症状起始和严重程度存在显著差异,可能提示遗传早现。该病例强调了 CED 中基因检测和多学科管理的重要性,因为传统的治疗方法,包括皮质类固醇和 NSAIDs,通常疗效有限,且副作用明显。我们的研究结果有助于了解 CED 的病理生理学,并强调了针对特定治疗方法的必要性。在这个家族中发现了常见的 变异,这进一步证实了 基因在骨代谢中的关键作用,并为针对该基因的靶向治疗研究提供了方向。此类报告提高了对管理罕见遗传疾病的医疗保健专业人员的认识,并提供了宝贵的见解。

https://cdn.ncbi.nlm.nih.gov/pmc/blobs/cc81/11593567/40a1e23ffd42/genes-15-01354-g004.jpg
https://cdn.ncbi.nlm.nih.gov/pmc/blobs/cc81/11593567/5603ddf60d02/genes-15-01354-g001.jpg
https://cdn.ncbi.nlm.nih.gov/pmc/blobs/cc81/11593567/0f464010b5f8/genes-15-01354-g002.jpg
https://cdn.ncbi.nlm.nih.gov/pmc/blobs/cc81/11593567/72eb731d8e35/genes-15-01354-g003.jpg
https://cdn.ncbi.nlm.nih.gov/pmc/blobs/cc81/11593567/40a1e23ffd42/genes-15-01354-g004.jpg
https://cdn.ncbi.nlm.nih.gov/pmc/blobs/cc81/11593567/5603ddf60d02/genes-15-01354-g001.jpg
https://cdn.ncbi.nlm.nih.gov/pmc/blobs/cc81/11593567/0f464010b5f8/genes-15-01354-g002.jpg
https://cdn.ncbi.nlm.nih.gov/pmc/blobs/cc81/11593567/72eb731d8e35/genes-15-01354-g003.jpg
https://cdn.ncbi.nlm.nih.gov/pmc/blobs/cc81/11593567/40a1e23ffd42/genes-15-01354-g004.jpg

相似文献

1
Phenotypic Variability in Camurati-Engelmann Disease: A Case Report of a Family with the c.653G>A Pathogenic Variant in the Gene.卡姆-达格-埃文曼病的表型变异性:一个携致病突变 c.653G>A 的基因的家系病例报告。
Genes (Basel). 2024 Oct 22;15(11):1354. doi: 10.3390/genes15111354.
2
Camurati-Engelmann Disease卡姆拉蒂-恩格尔曼病
3
Transforming growth factor, beta-2 gene mutation causes autosomal dominant Camurati-Engelmann disease, type 2 (OMIM % 606631).转化生长因子β2基因突变导致常染色体显性遗传的2型卡姆拉蒂-恩格尔曼病(OMIM编号:606631)。
Bone. 2025 Aug;197:117477. doi: 10.1016/j.bone.2025.117477. Epub 2025 Apr 7.
4
[Clinical phenotype and genotypic analysis of a four-generation Chinese pedigree affected with Stickler syndrome and a literature review].[一个患斯蒂克勒综合征的四代中国家系的临床表型与基因分析及文献复习]
Zhonghua Yi Xue Yi Chuan Xue Za Zhi. 2025 Jun 10;42(6):684-690. doi: 10.3760/cma.j.cn511374-20250418-00235.
5
Prescription of Controlled Substances: Benefits and Risks管制药品的处方:益处与风险
6
Marked phenotypic variability in progressive diaphyseal dysplasia (Camurati-Engelmann disease): report of a four-generation pedigree, identification of a mutation in TGFB1, and review.进行性骨干发育异常(卡穆拉蒂 - 恩格尔曼病)的显著表型变异性:四代家系报告、转化生长因子β1(TGFB1)突变鉴定及文献综述
Am J Med Genet A. 2004 Sep 1;129A(3):235-47. doi: 10.1002/ajmg.a.30148.
7
- and -Related Osteogenesis Imperfecta与……相关的成骨不全症 (你提供的原文不完整,推测这里可能是想表达“某种因素与成骨不全症相关”,但仅从现有的“- and -Related Osteogenesis Imperfecta”很难准确翻译出完整准确的内容,以上是基于可能情况的翻译 )
8
[Clinical and genetic characteristics of familial cases with Glucose transporter 1 deficiency syndrome].葡萄糖转运蛋白1缺乏综合征家族病例的临床及遗传特征
Zhonghua Yi Xue Yi Chuan Xue Za Zhi. 2025 Apr 10;42(4):424-432. doi: 10.3760/cma.j.cn511374-20241009-00524.
9
Autosomal Dominant Disorders常染色体显性疾病
10
Diamond-Blackfan Anemia先天性纯红细胞再生障碍性贫血

本文引用的文献

1
Proband and the Brother.先证者和其兄弟。
J Assoc Physicians India. 2023 Jan;71(1):1.
2
Camurati-Engelmann Disease: A Case-Based Review About an Ultrarare Bone Dysplasia.卡穆拉蒂-恩格尔曼病:关于一种超罕见骨发育异常的病例回顾
Eur J Rheumatol. 2023 Jan;10(1):34-38. doi: 10.5152/eurjrheum.2023.21115.
3
Clinical characteristics and the influence of rs1800470 in patients with Camurati-Engelmann disease.卡姆鲁蒂-恩格尔曼病患者的临床特征及 rs1800470 的影响。
Front Endocrinol (Lausanne). 2022 Oct 20;13:1041061. doi: 10.3389/fendo.2022.1041061. eCollection 2022.
4
Aberrant activation of TGF-β1 induces high bone turnover Rho GTPases-mediated cytoskeletal remodeling in Camurati-Engelmann disease.异常激活的 TGF-β1 诱导 Camurati-Engelmann 病中 Rho GTPases 介导的细胞骨架重塑导致高骨转换。
Front Endocrinol (Lausanne). 2022 Oct 17;13:913979. doi: 10.3389/fendo.2022.913979. eCollection 2022.
5
Hereditary Metabolic Bone Diseases: A Review of Pathogenesis, Diagnosis and Management.遗传性代谢性骨病:发病机制、诊断与治疗的综述。
Genes (Basel). 2022 Oct 17;13(10):1880. doi: 10.3390/genes13101880.
6
Improvement of Bone Health and Initiation of Puberty Development in Camurati-Engelmann Disease With Glucocorticoid and Losartan Treatment: A Case Report and Review of Literature.糖皮质激素和氯沙坦治疗 Camurati-Engelmann 病:改善骨骼健康和启动青春期发育:病例报告及文献复习。
Front Endocrinol (Lausanne). 2022 Jun 17;13:882144. doi: 10.3389/fendo.2022.882144. eCollection 2022.
7
Differential Diagnosis of Rare Diseases Involving Bilateral Lower Extremities with Similar Tc-MDP Bone Scan Patterns: Analysis of a Case Series.涉及双侧下肢且Tc-MDP骨扫描模式相似的罕见疾病的鉴别诊断:病例系列分析
Diagnostics (Basel). 2022 Apr 6;12(4):910. doi: 10.3390/diagnostics12040910.
8
Losartan as a Steroid-Sparing Adjunct in a Patient With Features of Refractory Camurati-Engelmann Disease.氯沙坦作为难治性卡穆拉蒂-恩格尔曼病患者的一种辅助激素减量药物。
AACE Clin Case Rep. 2021 Aug 24;8(2):54-57. doi: 10.1016/j.aace.2021.08.002. eCollection 2022 Mar-Apr.
9
Camurati-Engelmann Disease Complicated by Hypopituitarism: Management Challenges and Literature Review of Outcomes With Bisphosphonates.卡姆拉蒂-恩格尔曼病合并垂体功能减退症:管理挑战及双膦酸盐治疗结局的文献综述
AACE Clin Case Rep. 2021 Oct 20;8(2):58-64. doi: 10.1016/j.aace.2021.10.002. eCollection 2022 Mar-Apr.
10
Clinical characteristics and identification of a novel TGFB1 variant in three unrelated Chinese families with Camurati-Engelmann disease.三个无关的患有卡穆拉蒂-恩格尔曼病的中国家庭中一种新型TGFB1变体的临床特征与鉴定
Mol Genet Genomic Med. 2022 May;10(5):e1922. doi: 10.1002/mgg3.1922. Epub 2022 Mar 21.