• 文献检索
  • 文档翻译
  • 深度研究
  • 学术资讯
  • Suppr Zotero 插件Zotero 插件
  • 邀请有礼
  • 套餐&价格
  • 历史记录
应用&插件
Suppr Zotero 插件Zotero 插件浏览器插件Mac 客户端Windows 客户端微信小程序
定价
高级版会员购买积分包购买API积分包
服务
文献检索文档翻译深度研究API 文档MCP 服务
关于我们
关于 Suppr公司介绍联系我们用户协议隐私条款
关注我们

Suppr 超能文献

核心技术专利:CN118964589B侵权必究
粤ICP备2023148730 号-1Suppr @ 2026

文献检索

告别复杂PubMed语法,用中文像聊天一样搜索,搜遍4000万医学文献。AI智能推荐,让科研检索更轻松。

立即免费搜索

文件翻译

保留排版,准确专业,支持PDF/Word/PPT等文件格式,支持 12+语言互译。

免费翻译文档

深度研究

AI帮你快速写综述,25分钟生成高质量综述,智能提取关键信息,辅助科研写作。

立即免费体验

日本人群中多系统萎缩和未确诊共济失调患者FGF14内含子GAA重复序列扩增的频率。

Frequency of FGF14 intronic GAA repeat expansion in patients with multiple system atrophy and undiagnosed ataxia in the Japanese population.

作者信息

Kakumoto Toshiyuki, Orimo Kenta, Matsukawa Takashi, Mitsui Jun, Ishihara Tomohiko, Onodera Osamu, Suzuki Yuta, Morishita Shinichi, Toda Tatsushi, Tsuji Shoji

机构信息

Department of Neurology, Graduate School of Medicine, The University of Tokyo, Tokyo, Japan.

Department of Precision Medicine Neurology, Graduate School of Medicine, The University of Tokyo, Tokyo, Japan.

出版信息

Eur J Hum Genet. 2025 Mar;33(3):325-333. doi: 10.1038/s41431-024-01743-3. Epub 2024 Nov 27.

DOI:10.1038/s41431-024-01743-3
PMID:39604554
原文链接:https://pmc.ncbi.nlm.nih.gov/articles/PMC11893785/
Abstract

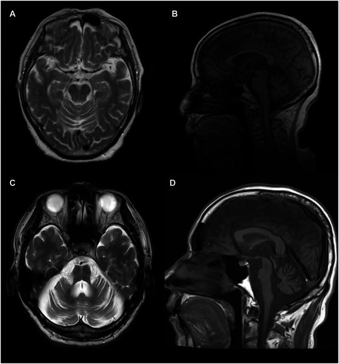
Multiple system atrophy (MSA) is a neurodegenerative disorder characterized by autonomic nervous system dysfunction and cerebellar ataxia or parkinsonism. Recently, expanded GAA repeats (≥250 repeat units) in intron 1 of FGF14 have been shown to be responsible for spinocerebellar ataxia type 27B (SCA27B), a late-onset ataxia with an autosomal dominant inheritance. Patients with SCA27B may also exhibit autonomic nervous system dysfunction, potentially overlapping with the clinical presentations of MSA patients. In this study, to explore the possible involvement of expanded GAA repeats in MSA, we investigated the frequencies of expanded GAA repeats in FGF14 in 548 patients with MSA, 476 patients with undiagnosed ataxia, and 455 healthy individuals. To fully characterize the structures of the expanded GAA repeats, long-range PCR products suggesting the expansion of GAA repeats were further analyzed using a long-read sequencer. Of the 548 Japanese MSA patients, we identified one MSA patient (0.2%) carrying an expanded repeat with (GAA). Among the 476 individuals with undiagnosed ataxia, (GAA) was observed in six (1.3%); this frequency was higher than that in healthy individuals (0.2%). The clinical characteristics of the MSA patient with (GAA) were consistent with those of MSA, but not with SCA27B. Further research is warranted to explore the possibility of the potential association of expanded GAA repeats in FGF14 with MSA.

摘要

多系统萎缩(MSA)是一种神经退行性疾病,其特征为自主神经系统功能障碍以及小脑性共济失调或帕金森综合征。最近研究表明,成纤维细胞生长因子14(FGF14)基因内含子1中扩展的GAA重复序列(≥250个重复单元)是导致27B型脊髓小脑共济失调(SCA27B)的原因,SCA27B是一种常染色体显性遗传的迟发性共济失调。SCA27B患者也可能表现出自主神经系统功能障碍,这可能与MSA患者的临床表现重叠。在本研究中,为了探究扩展的GAA重复序列与MSA的可能关联,我们调查了548例MSA患者、476例未确诊的共济失调患者和455名健康个体中FGF14基因扩展的GAA重复序列的频率。为了全面表征扩展的GAA重复序列的结构,我们使用长读长测序仪对提示GAA重复序列扩展的长片段PCR产物进行了进一步分析。在548例日本MSA患者中,我们鉴定出1例(0.2%)携带扩展的(GAA)重复序列的MSA患者。在476例未确诊的共济失调患者中,有6例(1.3%)观察到(GAA);该频率高于健康个体(0.2%)。携带(GAA)的MSA患者的临床特征与MSA一致,但与SCA27B不一致。有必要进行进一步研究,以探索FGF14基因中扩展的GAA重复序列与MSA潜在关联的可能性。

https://cdn.ncbi.nlm.nih.gov/pmc/blobs/c335/11893785/1529fb25660b/41431_2024_1743_Fig3_HTML.jpg
https://cdn.ncbi.nlm.nih.gov/pmc/blobs/c335/11893785/76b695004e3a/41431_2024_1743_Fig1_HTML.jpg
https://cdn.ncbi.nlm.nih.gov/pmc/blobs/c335/11893785/a577d06b11f3/41431_2024_1743_Fig2_HTML.jpg
https://cdn.ncbi.nlm.nih.gov/pmc/blobs/c335/11893785/1529fb25660b/41431_2024_1743_Fig3_HTML.jpg
https://cdn.ncbi.nlm.nih.gov/pmc/blobs/c335/11893785/76b695004e3a/41431_2024_1743_Fig1_HTML.jpg
https://cdn.ncbi.nlm.nih.gov/pmc/blobs/c335/11893785/a577d06b11f3/41431_2024_1743_Fig2_HTML.jpg
https://cdn.ncbi.nlm.nih.gov/pmc/blobs/c335/11893785/1529fb25660b/41431_2024_1743_Fig3_HTML.jpg

相似文献

1
Frequency of FGF14 intronic GAA repeat expansion in patients with multiple system atrophy and undiagnosed ataxia in the Japanese population.日本人群中多系统萎缩和未确诊共济失调患者FGF14内含子GAA重复序列扩增的频率。
Eur J Hum Genet. 2025 Mar;33(3):325-333. doi: 10.1038/s41431-024-01743-3. Epub 2024 Nov 27.
2
Intronic FGF14 GAA repeat expansions impact progression and survival in multiple system atrophy.内含子FGF14基因GAA重复序列扩增影响多系统萎缩的病情进展和生存。
Brain. 2025 Apr 16. doi: 10.1093/brain/awaf134.
3
Complete nanopore repeat sequencing of SCA27B (GAA- ataxia) in Japanese.完成日本 SCA27B(GAA-共济失调)的全纳米孔重复测序。
J Neurol Neurosurg Psychiatry. 2024 Nov 18;95(12):1187-1195. doi: 10.1136/jnnp-2024-333541.
4
Characteristics of tandem repeat inheritance and sympathetic nerve involvement in GAA-FGF14 ataxia.GAA-FGF14 相关共济失调中串联重复遗传特征与交感神经受累。
J Hum Genet. 2024 Sep;69(9):433-440. doi: 10.1038/s10038-024-01262-5. Epub 2024 Jun 12.
5
How to distinguish spinocerebellar ataxia 27B from late onset cerebellar ataxia: insights from a case-control study.如何从迟发性小脑共济失调中鉴别脊髓小脑共济失调27B型:一项病例对照研究的见解
J Neurol. 2024 Dec 12;272(1):45. doi: 10.1007/s00415-024-12738-x.
6
Somatic instability of the FGF14-SCA27B GAA•TTC repeat reveals a marked expansion bias in the cerebellum.FGF14-SCA27B GAA•TTC重复序列的体细胞不稳定性表明小脑存在明显的扩增偏向。
Brain. 2025 Apr 3;148(4):1258-1270. doi: 10.1093/brain/awae312.
7
Clinical variability associated with intronic FGF14 GAA repeat expansion in Japan.日本与内含子 FGF14 GAA 重复扩展相关的临床变异性。
Ann Clin Transl Neurol. 2024 Jan;11(1):96-104. doi: 10.1002/acn3.51936. Epub 2023 Nov 2.
8
The FGF14 GAA repeat expansion in Greek patients with late-onset cerebellar ataxia and an overview of the SCA27B phenotype across populations.希腊晚发性小脑共济失调患者中的 FGF14 GAA 重复扩展及跨越人群的 SCA27B 表型概述。
Clin Genet. 2024 Apr;105(4):446-452. doi: 10.1111/cge.14482. Epub 2024 Jan 14.
9
Does Spinocerebellar ataxia 27B mimic cerebellar multiple system atrophy?脊髓小脑性共济失调 27B 型是否类似小脑多系统萎缩?
J Neurol. 2024 Apr;271(4):2078-2085. doi: 10.1007/s00415-024-12182-x. Epub 2024 Jan 23.
10
Genetic profiles of multiple system atrophy revealed by exome sequencing, long-read sequencing and spinocerebellar ataxia repeat expansion analysis.外显子组测序、长读测序和脊髓小脑性共济失调重复扩展分析揭示的多系统萎缩的遗传特征。
Eur J Neurol. 2024 Dec;31(12):e16441. doi: 10.1111/ene.16441. Epub 2024 Aug 17.

引用本文的文献

1
Long-read sequencing identifies repeat expansions in Parkinson's disease.长读长测序鉴定出帕金森病中的重复序列扩增。
medRxiv. 2025 Aug 19:2025.08.14.25333596. doi: 10.1101/2025.08.14.25333596.
2
Unstable FGF14 GAA repeat expansions in Indian ataxia patients: a broader phenotype and involvement of modifier loci?印度共济失调患者中不稳定的FGF14 GAA重复序列扩增:更广泛的表型及修饰基因座的参与?
J Hum Genet. 2025 Aug 20. doi: 10.1038/s10038-025-01390-6.
3
Spinocerebellar ataxia 27B (SCA27B)-a systematic review and a case report of a Polish family.

本文引用的文献

1
Characteristics of tandem repeat inheritance and sympathetic nerve involvement in GAA-FGF14 ataxia.GAA-FGF14 相关共济失调中串联重复遗传特征与交感神经受累。
J Hum Genet. 2024 Sep;69(9):433-440. doi: 10.1038/s10038-024-01262-5. Epub 2024 Jun 12.
2
Complete nanopore repeat sequencing of SCA27B (GAA- ataxia) in Japanese.完成日本 SCA27B(GAA-共济失调)的全纳米孔重复测序。
J Neurol Neurosurg Psychiatry. 2024 Nov 18;95(12):1187-1195. doi: 10.1136/jnnp-2024-333541.
3
The genetic landscape and phenotypic spectrum of GAA-FGF14 ataxia in China: a large cohort study.
脊髓小脑共济失调27B型(SCA27B)——一项系统评价及一个波兰家族的病例报告
J Appl Genet. 2025 Apr 29. doi: 10.1007/s13353-025-00967-3.
4
Spring in EJHG.《欧洲人类遗传学杂志》的春季刊
Eur J Hum Genet. 2025 Mar;33(3):259-260. doi: 10.1038/s41431-025-01828-7.
中国 GAA-FGF14 共济失调的遗传景观和表型谱:一项大型队列研究。
EBioMedicine. 2024 Apr;102:105077. doi: 10.1016/j.ebiom.2024.105077. Epub 2024 Mar 20.
4
Does Spinocerebellar ataxia 27B mimic cerebellar multiple system atrophy?脊髓小脑性共济失调 27B 型是否类似小脑多系统萎缩?
J Neurol. 2024 Apr;271(4):2078-2085. doi: 10.1007/s00415-024-12182-x. Epub 2024 Jan 23.
5
The FGF14 GAA repeat expansion in Greek patients with late-onset cerebellar ataxia and an overview of the SCA27B phenotype across populations.希腊晚发性小脑共济失调患者中的 FGF14 GAA 重复扩展及跨越人群的 SCA27B 表型概述。
Clin Genet. 2024 Apr;105(4):446-452. doi: 10.1111/cge.14482. Epub 2024 Jan 14.
6
Clinical variability associated with intronic FGF14 GAA repeat expansion in Japan.日本与内含子 FGF14 GAA 重复扩展相关的临床变异性。
Ann Clin Transl Neurol. 2024 Jan;11(1):96-104. doi: 10.1002/acn3.51936. Epub 2023 Nov 2.
7
Frequency of GAA- Ataxia in a Large Cohort of Brazilian Patients With Unsolved Adult-Onset Cerebellar Ataxia.巴西一大群成年起病的未确诊小脑性共济失调患者中GAA相关性共济失调的发生率
Neurol Genet. 2023 Aug 28;9(5):e200094. doi: 10.1212/NXG.0000000000200094. eCollection 2023 Oct.
8
Frequency and phenotypic spectrum of spinocerebellar ataxia 27B and other genetic ataxias in a Spanish cohort of late-onset cerebellar ataxia.西班牙迟发性小脑共济失调队列中 SCA27B 及其他遗传性共济失调的频率和表型谱。
Eur J Neurol. 2023 Dec;30(12):3828-3833. doi: 10.1111/ene.16039. Epub 2023 Aug 27.
9
Non-GAA Repeat Expansions in FGF14 Are Likely Not Pathogenic-Reply to: "Shaking Up Ataxia: FGF14 and RFC1 Repeat Expansions in Affected and Unaffected Members of a Chilean Family".FGF14基因中的非GAA重复序列扩增可能不具有致病性——对《撼动共济失调:智利一个家族中患病和未患病成员的FGF14和RFC1重复序列扩增》的回复
Mov Disord. 2023 Aug;38(8):1575-1577. doi: 10.1002/mds.29552.
10
As Frequent as Polyglutamine Spinocerebellar Ataxias: SCA27B in a Large German Autosomal Dominant Ataxia Cohort.与多聚谷氨酰胺脊髓小脑共济失调一样常见:德国一个大型常染色体显性共济失调队列中的SCA27B
Mov Disord. 2023 Aug;38(8):1557-1558. doi: 10.1002/mds.29559. Epub 2023 Aug 1.