Suppr超能文献

替罗非班在动脉瘤治疗围介入期抗血小板管理中的作用及安全性

Role and Safety of Tirofiban in Peri-Interventional Antiplatelet Management for Aneurysm Treatment.

作者信息

Garayzade Rana, Berlis Ansgar, Arndt Tim Tobias, Wolfert Christina, Sommer Björn, Müller Gernot, Maurer Christoph J

机构信息

Department of diagnostic and interventional Neuroradiology, Augsburg University Hospital, Augsburg, Germany.

Institute of Mathematics, University of Augsburg, Augsburg, Germany.

出版信息

Clin Neuroradiol. 2025 Jun;35(2):247-254. doi: 10.1007/s00062-024-01480-6. Epub 2024 Nov 28.

Abstract

BACKGROUND

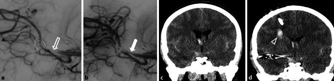
Tirofiban is administered for the treatment of aneurysms in cases of thromboembolic complications, as well as in cases of acute stenting or flow-diverter implantation required within the scope of aneurysm treatment. We aimed to investigate the efficacy and safety of tirofiban in this group of patients.

METHODS

We conducted a retrospective analysis of all patients undergoing aneurysm treatment and receiving peri-interventional tirofiban administration at our institution between 2009 and 2019.

RESULTS

A total of 105 patients were included, with 61% women and 39% men (mean age = 53 years, IQR: 44-60 years). Sixty-seven patients underwent emergency aneurysm treatment, and thirty-eight were treated electively. Hemorrhagic events occurred in 22% (15/67) of the patients treated acutely, with 7.46% (5/67) exhibiting symptoms. Patients undergoing elective aneurysm treatment experienced no hemorrhagic events (p = 0.002). Among the 35 patients who required an external ventricular drain (EVD), 22.86% (8/35) developed EVD-related hemorrhages; however, none were symptomatic (p = 0.007). Of the five patients who required a craniotomy, two experienced significant bleeding, and one experienced non-significant craniotomy-related bleeding (p = 0.20).

CONCLUSION

Tirofiban may be safe for use during peri-interventional complications or emergency stenting in aneurysm treatment. However, caution is necessary when craniotomy is required. In elective aneurysm treatments, administering Tirofiban in response to periprocedural complications appears to be safe.

摘要

背景

替罗非班用于治疗血栓栓塞性并发症导致的动脉瘤,以及在动脉瘤治疗范围内需要进行急性支架置入或血流导向装置植入的情况。我们旨在研究替罗非班在这组患者中的疗效和安全性。

方法

我们对2009年至2019年在我院接受动脉瘤治疗并在介入治疗期间接受替罗非班治疗的所有患者进行了回顾性分析。

结果

共纳入105例患者,其中女性占61%,男性占39%(平均年龄=53岁,四分位间距:44 - 60岁)。67例患者接受了急诊动脉瘤治疗,38例为择期治疗。急性治疗的患者中有22%(15/67)发生出血事件,其中7.46%(5/67)出现症状。择期动脉瘤治疗的患者未发生出血事件(p = 0.002)。在35例需要外置脑室引流管(EVD)的患者中,22.86%(8/35)发生了与EVD相关的出血;然而,均无症状(p = 0.007)。在5例需要开颅手术的患者中,2例发生了严重出血,1例发生了与开颅手术相关的非严重出血(p = 0.20)。

结论

替罗非班在动脉瘤治疗的介入治疗并发症或急诊支架置入期间使用可能是安全的。然而,需要开颅手术时需谨慎。在择期动脉瘤治疗中,针对围手术期并发症使用替罗非班似乎是安全的。

https://cdn.ncbi.nlm.nih.gov/pmc/blobs/2126/12174253/f95f4bb49cee/62_2024_1480_Fig1_HTML.jpg

文献AI研究员

20分钟写一篇综述,助力文献阅读效率提升50倍。

立即体验

用中文搜PubMed

大模型驱动的PubMed中文搜索引擎

马上搜索

文档翻译

学术文献翻译模型,支持多种主流文档格式。

立即体验