• 文献检索
  • 文档翻译
  • 深度研究
  • 学术资讯
  • Suppr Zotero 插件Zotero 插件
  • 邀请有礼
  • 套餐&价格
  • 历史记录
应用&插件
Suppr Zotero 插件Zotero 插件浏览器插件Mac 客户端Windows 客户端微信小程序
定价
高级版会员购买积分包购买API积分包
服务
文献检索文档翻译深度研究API 文档MCP 服务
关于我们
关于 Suppr公司介绍联系我们用户协议隐私条款
关注我们

Suppr 超能文献

核心技术专利:CN118964589B侵权必究
粤ICP备2023148730 号-1Suppr @ 2026

文献检索

告别复杂PubMed语法,用中文像聊天一样搜索,搜遍4000万医学文献。AI智能推荐,让科研检索更轻松。

立即免费搜索

文件翻译

保留排版,准确专业,支持PDF/Word/PPT等文件格式,支持 12+语言互译。

免费翻译文档

深度研究

AI帮你快速写综述,25分钟生成高质量综述,智能提取关键信息,辅助科研写作。

立即免费体验

在老年雄性肉种鸡日粮中添加15%的番茄渣(番茄)可提高精子产量并改善抗氧化状态。

Dietary supplementation with 15% tomato pomace (Solanum lycopersicum L.) improves sperm production and antioxidant status in aged male broiler breeders.

作者信息

Mosayyeb Zadeh Amir, Mirghelenj Seyyed Ali, Daneshyar Mohsen, Eslami Mohsen, Karimi Torshizi Mohammad Amir, Zhandi Mahdi, Nadri Touba, Kastelic John Patrick, Hasanloo Peyman, Nabiloo Mehdi

机构信息

Department of Animal Science, College of Agriculture, Urmia University, Urmia, Iran.

Department of Animal Science, College of Agriculture, Urmia University, Urmia, Iran.

出版信息

Poult Sci. 2025 Jan;104(1):104553. doi: 10.1016/j.psj.2024.104553. Epub 2024 Nov 22.

DOI:10.1016/j.psj.2024.104553
PMID:39631284
原文链接:https://pmc.ncbi.nlm.nih.gov/articles/PMC11665380/
Abstract

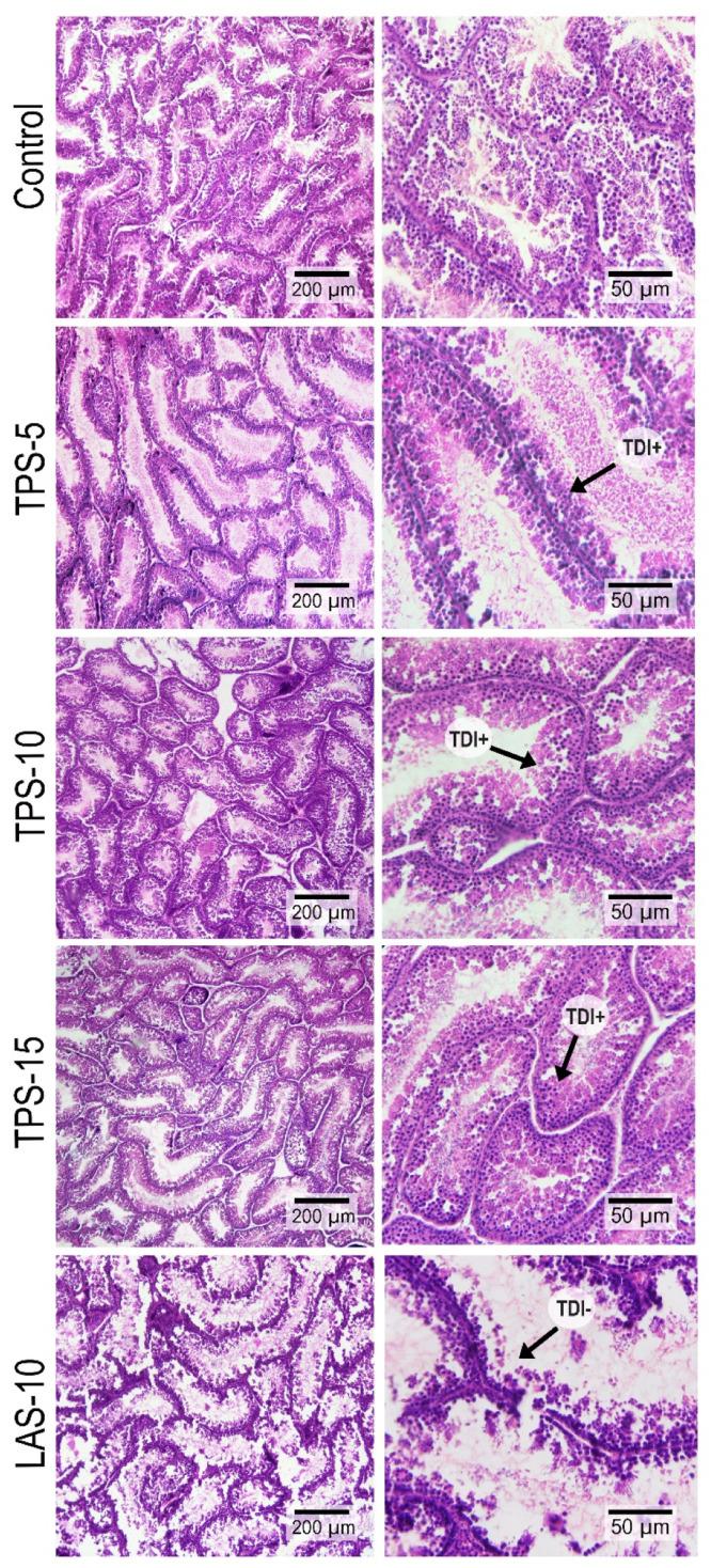
The objective was to investigate effects of dietary tomato pomace (TP) and L-Arginine (L-Arg; 10% above nutritional recommendation) in aged male broiler breeders. Thirty male broiler breeders (Ross 308), 58 wk old, were randomly and equally allocated into five experimental groups: basal diet (C); 5% TP-supplemented (T-5); 10% TP-supplemented (T-10); 15% TP-supplemented (T-15); and L-Arg supplemented (L-10) groups. In contrast to the Control and TP-supplemented groups, sperm of L-10 roosters had higher C14:1, C16:0 and C18:1 n-9c proportions, total saturated fatty acid (FA) contents, and n-6:n-3 ratios, but a lower C22:4 n-6 content (P<0.05). However, sperm of T-15 roosters had increased C18:2 n-6, C22:6 n-3 and total unsaturated FA contents but reduced n-6:n-3 ratios compared to Control birds (P<0.05). Additionally, serum of T-15 roosters had lower cholesterol and triglyceride (TG) concentrations, along with decreased aspartate aminotransferase (AST) activity (P<0.05). In serum of T-15 and L-10 roosters, there were increases (P<0.05) in total antioxidant capacity (TAC) and uric acid (UA) and a reduction (P<0.05) in malondialdehyde (MDA) concentration. The T-15 roosters had higher (P<0.05) serum testosterone concentration and testes glutathione peroxidase (GPx) activity. Superoxide dismutase (SOD) content was reduced (P<0.05) in L-10 roosters. Seminiferous tubule diameter (STD) and seminiferous epithelium thickness (SET) were increased in all groups fed TP (P<0.05) and T-10 and T-15 roosters had increases (P<0.05) in tubular differentiation indices (TDI). The T-15 and L-10 groups had higher mRNA expressions of AKT1 and Nrf2 (P<0.05). In conclusion, in aged male broiler breeders, up to 15% TP supplementation is recommended to improve reproductive performance by enhancing testes histology and antioxidant status.

摘要

目的是研究日粮中添加番茄渣(TP)和L-精氨酸(L-Arg;比营养推荐量高10%)对老龄雄性肉种鸡的影响。30只58周龄的雄性罗斯308肉种鸡被随机且平均分为五个实验组:基础日粮组(C);添加5%TP组(T-5);添加10%TP组(T-10);添加15%TP组(T-15);添加L-Arg组(L-10)。与对照组和添加TP组相比,L-10组公鸡的精子中C14:1、C16:0和C18:1 n-9c比例、总饱和脂肪酸(FA)含量以及n-6:n-3比值更高,但C22:4 n-6含量更低(P<0.05)。然而,与对照组相比,T-15组公鸡的精子中C18:2 n-6、C22:6 n-3和总不饱和脂肪酸含量增加,但n-6:n-3比值降低(P<0.05)。此外,T-15组公鸡的血清胆固醇和甘油三酯(TG)浓度较低,同时天冬氨酸转氨酶(AST)活性降低(P<0.05)。在T-15组和L-10组公鸡的血清中,总抗氧化能力(TAC)和尿酸(UA)增加(P<0.05)而丙二醛(MDA)浓度降低(P<0.05)。T-15组公鸡的血清睾酮浓度和睾丸谷胱甘肽过氧化物酶(GPx)活性较高(P<0.05)。L-10组公鸡的超氧化物歧化酶(SOD)含量降低(P<0.05)。所有添加TP的组中曲细精管直径(STD)和生精上皮厚度(SET)均增加(P<0.05),T-10组和T-15组公鸡的生精管分化指数(TDI)增加(P<0.05)。T-15组和L-10组中AKT1和Nrf2的mRNA表达较高(P<0.05)。总之,对于老龄雄性肉种鸡,建议添加高达15%的TP,通过改善睾丸组织学和抗氧化状态来提高繁殖性能。

https://cdn.ncbi.nlm.nih.gov/pmc/blobs/7f1d/11665380/8bf444ac52ca/gr5.jpg
https://cdn.ncbi.nlm.nih.gov/pmc/blobs/7f1d/11665380/635b44a5b492/gr1.jpg
https://cdn.ncbi.nlm.nih.gov/pmc/blobs/7f1d/11665380/e21222fe01d1/gr2.jpg
https://cdn.ncbi.nlm.nih.gov/pmc/blobs/7f1d/11665380/e4b475deb9c7/gr3.jpg
https://cdn.ncbi.nlm.nih.gov/pmc/blobs/7f1d/11665380/b4fc3b0b8282/gr4.jpg
https://cdn.ncbi.nlm.nih.gov/pmc/blobs/7f1d/11665380/8bf444ac52ca/gr5.jpg
https://cdn.ncbi.nlm.nih.gov/pmc/blobs/7f1d/11665380/635b44a5b492/gr1.jpg
https://cdn.ncbi.nlm.nih.gov/pmc/blobs/7f1d/11665380/e21222fe01d1/gr2.jpg
https://cdn.ncbi.nlm.nih.gov/pmc/blobs/7f1d/11665380/e4b475deb9c7/gr3.jpg
https://cdn.ncbi.nlm.nih.gov/pmc/blobs/7f1d/11665380/b4fc3b0b8282/gr4.jpg
https://cdn.ncbi.nlm.nih.gov/pmc/blobs/7f1d/11665380/8bf444ac52ca/gr5.jpg

相似文献

1
Dietary supplementation with 15% tomato pomace (Solanum lycopersicum L.) improves sperm production and antioxidant status in aged male broiler breeders.在老年雄性肉种鸡日粮中添加15%的番茄渣(番茄)可提高精子产量并改善抗氧化状态。
Poult Sci. 2025 Jan;104(1):104553. doi: 10.1016/j.psj.2024.104553. Epub 2024 Nov 22.
2
Effects of dietary supplementation of tomato pomace (Solanum lycopersicum L.) and L-Arg on reproductive performance of aged male broiler breeders.日粮添加番茄渣(番茄 Solanum lycopersicum L.)和 L-精氨酸对老龄种公鸡繁殖性能的影响。
Poult Sci. 2023 May;102(5):102614. doi: 10.1016/j.psj.2023.102614. Epub 2023 Feb 24.
3
Dietary supplementation with barley sprouts and d-aspartic acid improves reproductive hormone concentrations, testicular histology, antioxidant status, and mRNA expressions of apoptosis-related genes in aged broiler breeder roosters.日粮中添加大麦芽和 D-天冬氨酸可改善老龄种公鸡生殖激素浓度、睾丸组织学、抗氧化状态和凋亡相关基因的 mRNA 表达。
Theriogenology. 2024 Jan 15;214:224-232. doi: 10.1016/j.theriogenology.2023.10.030. Epub 2023 Oct 31.
4
Research note: Effects of L-carnitine and L-arginine on sperm quality and fertility potential of aged broiler breeder roosters.研究报告:左旋肉碱和左旋精氨酸对老龄肉种鸡公鸡精子质量和繁殖潜力的影响
Poult Sci. 2025 Feb;104(2):104803. doi: 10.1016/j.psj.2025.104803. Epub 2025 Jan 10.
5
Amelioration effects of n-3, n-6 sources of fatty acids and rosemary leaves powder on the semen parameters, reproductive hormones, and fatty acid analysis of sperm in aged Ross broiler breeder roosters.n-3、n-6 脂肪酸来源和迷迭香叶粉对老龄罗斯肉鸡种公鸡精液参数、生殖激素和精子脂肪酸分析的改善作用。
Poult Sci. 2020 Feb;99(2):708-718. doi: 10.1016/j.psj.2019.12.031. Epub 2020 Jan 24.
6
Dietary Chinese herbal mixture supplementation improves production performance by regulating reproductive hormones, antioxidant capacity, immunity, and intestinal health of broiler breeders.日粮中添加中草药混合物通过调节繁殖激素、抗氧化能力、免疫力和肠道健康来提高种鸡的生产性能。
Poult Sci. 2024 Jan;103(1):103201. doi: 10.1016/j.psj.2023.103201. Epub 2023 Oct 21.
7
Improvements in semen quality, sperm fatty acids, and reproductive performance in aged Cobb 500 breeder roosters fed diets containing dried ginger rhizomes (Zingiber officinale).日粮中添加干姜根茎(Zingiber officinale)对老龄科宝 500 种公鸡精液质量、精子脂肪酸和繁殖性能的改善。
Poult Sci. 2014 May;93(5):1236-44. doi: 10.3382/ps.2013-03617.
8
Dietary carob fruit (Ceratonia siliqua L.) supplementation improves spermatogenesis, semen quality and embryonic death via antioxidant effect in aging broiler breeder roosters.在老龄肉种鸡中,补充食用角豆果实(角豆树)可通过抗氧化作用改善精子发生、精液质量和胚胎死亡情况。
Anim Reprod Sci. 2022 Apr;239:106967. doi: 10.1016/j.anireprosci.2022.106967. Epub 2022 Mar 12.
9
Effect of fermented tomato pomace on the growth performance, antioxidant capacity, and intestinal microflora in broiler chickens.发酵番茄渣对肉鸡生长性能、抗氧化能力和肠道微生物区系的影响。
Anim Sci J. 2024 Jan-Dec;95(1):e13885. doi: 10.1111/asj.13885.
10
Dietary alpha-linolenic acid supplementation enhances semen quality, antioxidant capacity, and sperm survival in aging breeder roosters.日粮补充α-亚麻酸可提高老龄种公鸡的精液质量、抗氧化能力和精子存活率。
Poult Sci. 2024 Dec;103(12):104252. doi: 10.1016/j.psj.2024.104252. Epub 2024 Aug 23.

本文引用的文献

1
Effects of dietary supplementation of tomato pomace (Solanum lycopersicum L.) and L-Arg on reproductive performance of aged male broiler breeders.日粮添加番茄渣(番茄 Solanum lycopersicum L.)和 L-精氨酸对老龄种公鸡繁殖性能的影响。
Poult Sci. 2023 May;102(5):102614. doi: 10.1016/j.psj.2023.102614. Epub 2023 Feb 24.
2
Effects of dietary supplementation of different sources and levels of selenium on the semen quality and reproductive performance in aged broiler breeder roosters.日粮中添加不同硒源和水平对老龄种公鸡精液质量和繁殖性能的影响。
Poult Sci. 2022 Oct;101(10):101908. doi: 10.1016/j.psj.2022.101908. Epub 2022 Apr 7.
3
Effects of turmeric (Curcuma longa) powder supplementation in laying hens' diet on production performance, blood biochemical parameters and egg quality traits.
日粮中添加姜黄粉对蛋鸡生产性能、血液生化指标及蛋品质性状的影响。
J Anim Physiol Anim Nutr (Berl). 2023 Mar;107(2):691-702. doi: 10.1111/jpn.13746. Epub 2022 Jun 26.
4
Dietary herbaceous mixture supplementation reduced hepatic lipid deposition and improved hepatic health status in post-peak laying hens.饲粮草本植物混合物添加可减少产蛋后期蛋鸡肝脏脂质沉积,改善肝脏健康状况。
Poult Sci. 2022 Jun;101(6):101870. doi: 10.1016/j.psj.2022.101870. Epub 2022 Mar 24.
5
Effect of dietary n-3 fatty acid and rooibos (Aspalathus linearis) supplementation on semen quality, sperm fatty acids and reproductive performance of aged male broiler breeders.日粮补充n-3脂肪酸和南非红叶茶(线叶金雀花)对老龄雄性肉种鸡精液品质、精子脂肪酸及繁殖性能的影响。
J Anim Physiol Anim Nutr (Berl). 2023 Jan;107(1):248-261. doi: 10.1111/jpn.13705. Epub 2022 Mar 23.
6
Lycopene protects sperm from oxidative stress in the experimental varicocele model.在实验性精索静脉曲张模型中,番茄红素可保护精子免受氧化应激的影响。
Food Sci Nutr. 2021 Oct 17;9(12):6806-6817. doi: 10.1002/fsn3.2632. eCollection 2021 Dec.
7
Improving seminal quality and reproductive performance in male broiler breeder by supplementation of camphor.通过补充樟脑提高雄性肉种鸡的精液质量和繁殖性能。
Theriogenology. 2021 May;166:1-8. doi: 10.1016/j.theriogenology.2021.02.002. Epub 2021 Feb 9.
8
Nutritional modulation of fertility in male poultry.雄性家禽的生育力的营养调控。
Poult Sci. 2020 Nov;99(11):5637-5646. doi: 10.1016/j.psj.2020.06.083. Epub 2020 Aug 12.
9
Dietary alpha-lipoic acid supplementation improves spermatogenesis and semen quality via antioxidant and anti-apoptotic effects in aged breeder roosters.日粮添加α-硫辛酸通过抗氧化和抗凋亡作用改善老龄种公鸡的精子发生和精液质量。
Theriogenology. 2021 Jan 1;159:20-27. doi: 10.1016/j.theriogenology.2020.10.017. Epub 2020 Oct 11.
10
Pubertal exposure to low doses of zearalenone disrupting spermatogenesis through ERα related genetic and epigenetic pathways.青春期接触低剂量的玉米赤霉烯酮通过 ERα 相关遗传和表观遗传途径破坏精子发生。
Toxicol Lett. 2019 Oct 15;315:31-38. doi: 10.1016/j.toxlet.2019.08.007. Epub 2019 Aug 13.