• 文献检索
  • 文档翻译
  • 深度研究
  • 学术资讯
  • Suppr Zotero 插件Zotero 插件
  • 邀请有礼
  • 套餐&价格
  • 历史记录
应用&插件
Suppr Zotero 插件Zotero 插件浏览器插件Mac 客户端Windows 客户端微信小程序
定价
高级版会员购买积分包购买API积分包
服务
文献检索文档翻译深度研究API 文档MCP 服务
关于我们
关于 Suppr公司介绍联系我们用户协议隐私条款
关注我们

Suppr 超能文献

核心技术专利:CN118964589B侵权必究
粤ICP备2023148730 号-1Suppr @ 2026

文献检索

告别复杂PubMed语法,用中文像聊天一样搜索,搜遍4000万医学文献。AI智能推荐,让科研检索更轻松。

立即免费搜索

文件翻译

保留排版,准确专业,支持PDF/Word/PPT等文件格式,支持 12+语言互译。

免费翻译文档

深度研究

AI帮你快速写综述,25分钟生成高质量综述,智能提取关键信息,辅助科研写作。

立即免费体验

两名成年人中偶然发现孤立的副二尖瓣组织

Incidental Finding of Isolated Accessory Mitral Valve Tissue in Two Adults.

作者信息

Wang Zhaofen, Du Fang, Zhu Hao, Song Yuzhe, Huang Lijuan, Yan Yi, Chang Peng

机构信息

The Second Hospital and Clinical Medical School Lanzhou University Lanzhou China.

Department of Cardiology Lanzhou University Second Hospital Lanzhou China.

出版信息

Clin Case Rep. 2024 Dec 6;12(12):e9699. doi: 10.1002/ccr3.9699. eCollection 2024 Dec.

DOI:10.1002/ccr3.9699
PMID:39649505
原文链接:https://pmc.ncbi.nlm.nih.gov/articles/PMC11624115/
Abstract

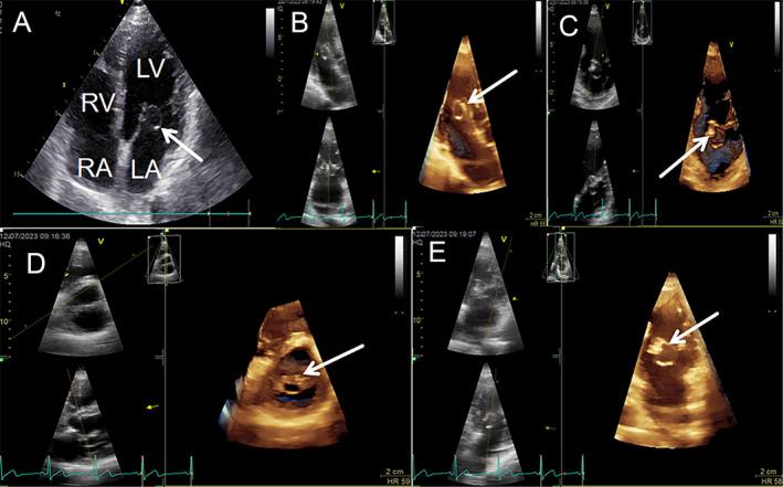
Accessory mitral valve tissue is a rare congenital anomaly often linked to the anterior mitral leaflet, diagnosed via echocardiography. It may cause left ventricular outflow tract obstruction, with prognosis depending on obstruction severity and regular monitoring essential in asymptomatic cases.

摘要

二尖瓣附属组织是一种罕见的先天性异常,常与二尖瓣前叶相连,通过超声心动图诊断。它可能导致左心室流出道梗阻,预后取决于梗阻的严重程度,对于无症状病例,定期监测至关重要。

https://cdn.ncbi.nlm.nih.gov/pmc/blobs/033c/11624115/ff19ae32489e/CCR3-12-e9699-g004.jpg
https://cdn.ncbi.nlm.nih.gov/pmc/blobs/033c/11624115/fe455f0b8304/CCR3-12-e9699-g002.jpg
https://cdn.ncbi.nlm.nih.gov/pmc/blobs/033c/11624115/a972ddb926ef/CCR3-12-e9699-g003.jpg
https://cdn.ncbi.nlm.nih.gov/pmc/blobs/033c/11624115/16139506a2ad/CCR3-12-e9699-g001.jpg
https://cdn.ncbi.nlm.nih.gov/pmc/blobs/033c/11624115/ff19ae32489e/CCR3-12-e9699-g004.jpg
https://cdn.ncbi.nlm.nih.gov/pmc/blobs/033c/11624115/fe455f0b8304/CCR3-12-e9699-g002.jpg
https://cdn.ncbi.nlm.nih.gov/pmc/blobs/033c/11624115/a972ddb926ef/CCR3-12-e9699-g003.jpg
https://cdn.ncbi.nlm.nih.gov/pmc/blobs/033c/11624115/16139506a2ad/CCR3-12-e9699-g001.jpg
https://cdn.ncbi.nlm.nih.gov/pmc/blobs/033c/11624115/ff19ae32489e/CCR3-12-e9699-g004.jpg

相似文献

1
Incidental Finding of Isolated Accessory Mitral Valve Tissue in Two Adults.两名成年人中偶然发现孤立的副二尖瓣组织
Clin Case Rep. 2024 Dec 6;12(12):e9699. doi: 10.1002/ccr3.9699. eCollection 2024 Dec.
2
Accessory mitral valve without left ventricular outflow tract obstruction in an adult.成人中无左心室流出道梗阻的副二尖瓣
Tex Heart Inst J. 2008;35(3):324-6.
3
Incidental finding of accessory mitral valve tissue on routine adult echocardiography.在常规成人超声心动图检查中偶然发现二尖瓣瓣下组织。
J Clin Ultrasound. 2021 Oct;49(8):805-807. doi: 10.1002/jcu.23001. Epub 2021 Mar 1.
4
A rare finding of giant accessory mitral valve tissue: a case report.巨大副二尖瓣组织的罕见发现:一例报告
Eur Heart J Case Rep. 2020 Jan 31;4(1):1-4. doi: 10.1093/ehjcr/ytz244. eCollection 2020 Feb.
5
A rare case of isolated accessory mitral tissue in an asymptomatic adult female.一例罕见的无症状成年女性孤立性二尖瓣副组织。
Interact Cardiovasc Thorac Surg. 2022 May 2;34(5):933-935. doi: 10.1093/icvts/ivac025.
6
Obstructive accessory mitral valve tissue in an adult patient: a case report.一名成年患者的阻塞性副二尖瓣组织:病例报告
J Med Case Rep. 2019 Jun 17;13(1):184. doi: 10.1186/s13256-019-2110-z.
7
A rare case of accessory mitral valve tissue causing left ventricular outflow tract obstruction associated with parachute mitral valve, ventricular septal defect, bicuspid aortic valve, unruptured aneurysm of aortic sinus: a case report.一例罕见的副二尖瓣组织导致左心室流出道梗阻,合并降落伞样二尖瓣、室间隔缺损、二叶式主动脉瓣、未破裂的主动脉窦瘤:病例报告。
Eur Heart J Case Rep. 2018 Jul 16;2(3):yty082. doi: 10.1093/ehjcr/yty082. eCollection 2018 Sep.
8
Accessory mitral valve tissue that caused a left ventricular outflow tract obstruction: a case report.导致左心室流出道梗阻的二尖瓣附属组织:一例报告
JA Clin Rep. 2019 Dec 30;5(1):86. doi: 10.1186/s40981-019-0306-2.
9
Asymptomatic and isolated accessory mitral valve tissue in an adult.一名成年人中无症状且孤立的副二尖瓣组织。
Gen Thorac Cardiovasc Surg. 2016 Feb;64(2):105-8. doi: 10.1007/s11748-014-0399-5. Epub 2014 Apr 17.
10
Accessory mitral valve leaflet.二尖瓣副瓣叶
J Heart Valve Dis. 2000 Nov;9(6):791-3.

本文引用的文献

1
Accessory mitral valve tissue: a differential diagnosis of an obstructive mass on the left ventricular outflow tract.
Cardiol Young. 2023 Dec;33(12):2661-2663. doi: 10.1017/S1047951123003293. Epub 2023 Sep 18.
2
'Ring' in the Left Ventricular Outflow Tract.左心室流出道的“环”
J Cardiothorac Vasc Anesth. 2022 Oct;36(10):3978-3981. doi: 10.1053/j.jvca.2022.05.021. Epub 2022 May 21.
3
Incidental detection of accessory mitral valve in adolescent with atrial septal defect: Diagnosis with 3D transesophageal echocardiography and excision with transaortic method.青少年房间隔缺损时偶然发现二尖瓣瓣下结构:经三维经食管超声心动图诊断并经主动脉方法切除。
Echocardiography. 2022 Jun;39(6):851-854. doi: 10.1111/echo.15369. Epub 2022 May 24.
4
A rare case of isolated accessory mitral tissue in an asymptomatic adult female.一例罕见的无症状成年女性孤立性二尖瓣副组织。
Interact Cardiovasc Thorac Surg. 2022 May 2;34(5):933-935. doi: 10.1093/icvts/ivac025.
5
Accessory mitral valve tissue: anatomical and clinical perspectives.瓣下二尖瓣组织:解剖学与临床视角。
Cardiovasc Pathol. 2021 Jan-Feb;50:107277. doi: 10.1016/j.carpath.2020.107277. Epub 2020 Aug 31.
6
A rare finding of giant accessory mitral valve tissue: a case report.巨大副二尖瓣组织的罕见发现:一例报告
Eur Heart J Case Rep. 2020 Jan 31;4(1):1-4. doi: 10.1093/ehjcr/ytz244. eCollection 2020 Feb.
7
Transaortic accessory mitral valve excision in an adult patient: Case report.成年患者经主动脉切除副二尖瓣:病例报告
Turk Gogus Kalp Damar Cerrahisi Derg. 2018 Jul 3;26(3):470-472. doi: 10.5606/tgkdc.dergisi.2018.16039. eCollection 2018 Jul.
8
Accessory Mitral Valve Tissue Causing Features Of Left Ventricular Outflow Tract Obstruction-A Case Report And Updated Literature Review.
J Ayub Med Coll Abbottabad. 2019 Apr-Jun;31(2):276-278.
9
Subaortic stenosis by accessory mitral tissue: Failure of embryonic positioning?副二尖瓣组织导致的主动脉瓣下狭窄:胚胎定位失败?
J Thorac Cardiovasc Surg. 2018 Aug;156(2):777-779. doi: 10.1016/j.jtcvs.2018.03.095. Epub 2018 Apr 3.
10
A rare cause of retinal artery embolism: Accessory mitral valve tissue.视网膜动脉栓塞的罕见病因:二尖瓣附属组织。
Echocardiography. 2018 Feb;35(2):258-259. doi: 10.1111/echo.13795. Epub 2018 Jan 11.