• 文献检索
  • 文档翻译
  • 深度研究
  • 学术资讯
  • Suppr Zotero 插件Zotero 插件
  • 邀请有礼
  • 套餐&价格
  • 历史记录
应用&插件
Suppr Zotero 插件Zotero 插件浏览器插件Mac 客户端Windows 客户端微信小程序
定价
高级版会员购买积分包购买API积分包
服务
文献检索文档翻译深度研究API 文档MCP 服务
关于我们
关于 Suppr公司介绍联系我们用户协议隐私条款
关注我们

Suppr 超能文献

核心技术专利:CN118964589B侵权必究
粤ICP备2023148730 号-1Suppr @ 2026

文献检索

告别复杂PubMed语法,用中文像聊天一样搜索,搜遍4000万医学文献。AI智能推荐,让科研检索更轻松。

立即免费搜索

文件翻译

保留排版,准确专业,支持PDF/Word/PPT等文件格式,支持 12+语言互译。

免费翻译文档

深度研究

AI帮你快速写综述,25分钟生成高质量综述,智能提取关键信息,辅助科研写作。

立即免费体验

腰椎硬膜外类固醇注射后出现气颅:一种罕见的可自发缓解的并发症。

Pneumocephalus After Lumbar Epidural Steroid Injection: A Rare Complication With Spontaneous Resolution.

作者信息

Hegazy Yasser, Balassiano Natalie N, Gupta Ishank, Stern Roger, Ghallab Muhammad

机构信息

Internal Medicine, Icahn School of Medicine at Mount Sinai, Queens Hospital Center, New York, USA.

出版信息

Cureus. 2024 Nov 8;16(11):e73268. doi: 10.7759/cureus.73268. eCollection 2024 Nov.

DOI:10.7759/cureus.73268
PMID:39651002
原文链接:https://pmc.ncbi.nlm.nih.gov/articles/PMC11625397/
Abstract

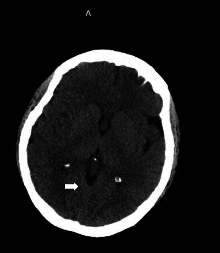
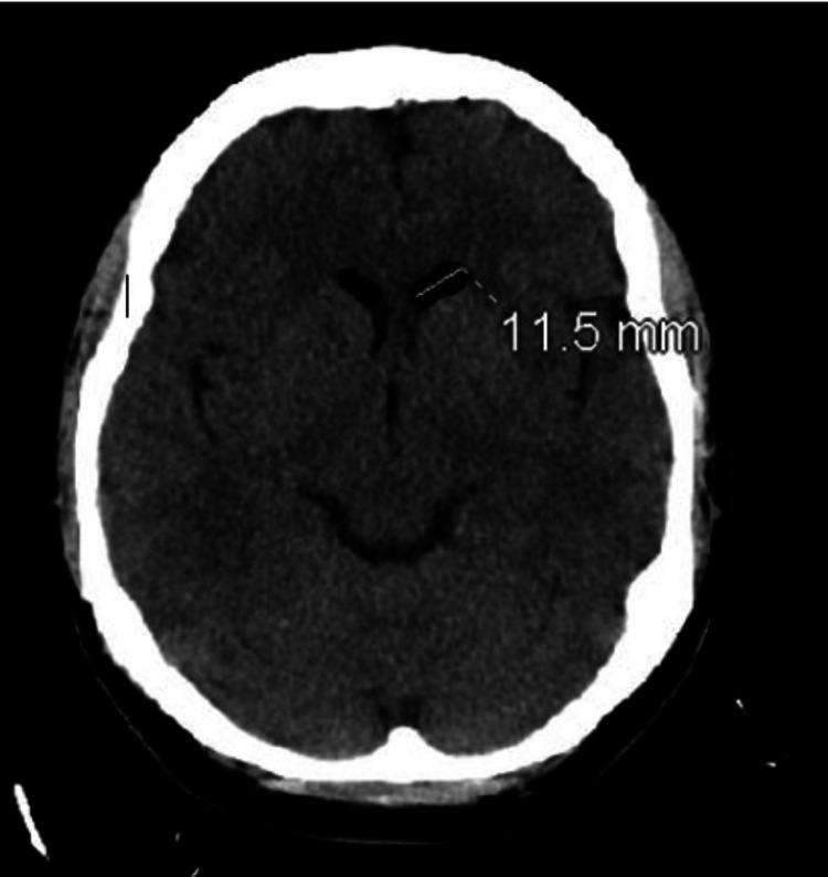
Pneumocephalus is a rare but potentially serious complication of spinal procedures, characterized by the presence of intracranial air. This report presents the case of a 40-year-old female who developed pneumocephalus following a lumbar epidural steroid injection. She presented to the emergency department with a persistent headache, blurred vision, and eye pain, which began shortly after the procedure. Computed tomography (CT) scans of the head and lumbar spine revealed several air pockets in the cerebellar cisterns and the left frontal horn, as well as in the epidural and paraspinal regions. Despite the presence of intracranial air, the patient's symptoms gradually improved with conservative management, including bed rest, caffeinated drinks, intravenous fluids, and symptomatic relief with butalbital-acetaminophen-caffeine. A repeat CT scan on day four showed a reduction in air pockets, and by day 10, all air pockets had resolved without the need for neurosurgical intervention. The patient's headaches subsided, though she experienced mild residual vision changes. This case emphasizes the importance of recognizing pneumocephalus as a potential complication of epidural steroid injections and highlights the efficacy of conservative treatment. While most cases of simple pneumocephalus resolve spontaneously, careful monitoring is essential to prevent progression to tension pneumocephalus, a life-threatening condition that requires urgent surgical intervention. Further studies are needed to evaluate the risks and outcomes of different techniques used during epidural procedures.

摘要

气颅是脊柱手术中一种罕见但可能严重的并发症,其特征为颅内存在气体。本报告介绍了一名40岁女性在接受腰椎硬膜外类固醇注射后发生气颅的病例。她在手术后不久因持续头痛、视力模糊和眼痛就诊于急诊科。头部和腰椎的计算机断层扫描(CT)显示小脑脑池和左额叶角以及硬膜外和椎旁区域有多个气腔。尽管存在颅内气体,但通过保守治疗,包括卧床休息、饮用含咖啡因饮料、静脉输液以及使用布他比妥-对乙酰氨基酚-咖啡因缓解症状,患者的症状逐渐改善。第四天的重复CT扫描显示气腔减少,到第十天时,所有气腔均已消失,无需神经外科干预。患者的头痛症状消退,不过仍有轻度视力残留改变。该病例强调了认识到气颅是硬膜外类固醇注射潜在并发症的重要性,并突出了保守治疗的有效性。虽然大多数单纯性气颅病例可自行缓解,但仔细监测对于预防进展为张力性气颅至关重要,张力性气颅是一种危及生命的情况,需要紧急手术干预。需要进一步研究来评估硬膜外手术中使用的不同技术的风险和结果。

https://cdn.ncbi.nlm.nih.gov/pmc/blobs/9f30/11625397/6f2a2e18e38c/cureus-0016-00000073268-i05.jpg
https://cdn.ncbi.nlm.nih.gov/pmc/blobs/9f30/11625397/a91174a2336f/cureus-0016-00000073268-i01.jpg
https://cdn.ncbi.nlm.nih.gov/pmc/blobs/9f30/11625397/59d2f5e16557/cureus-0016-00000073268-i02.jpg
https://cdn.ncbi.nlm.nih.gov/pmc/blobs/9f30/11625397/f8dd5448cccc/cureus-0016-00000073268-i03.jpg
https://cdn.ncbi.nlm.nih.gov/pmc/blobs/9f30/11625397/97f38f1a7621/cureus-0016-00000073268-i04.jpg
https://cdn.ncbi.nlm.nih.gov/pmc/blobs/9f30/11625397/6f2a2e18e38c/cureus-0016-00000073268-i05.jpg
https://cdn.ncbi.nlm.nih.gov/pmc/blobs/9f30/11625397/a91174a2336f/cureus-0016-00000073268-i01.jpg
https://cdn.ncbi.nlm.nih.gov/pmc/blobs/9f30/11625397/59d2f5e16557/cureus-0016-00000073268-i02.jpg
https://cdn.ncbi.nlm.nih.gov/pmc/blobs/9f30/11625397/f8dd5448cccc/cureus-0016-00000073268-i03.jpg
https://cdn.ncbi.nlm.nih.gov/pmc/blobs/9f30/11625397/97f38f1a7621/cureus-0016-00000073268-i04.jpg
https://cdn.ncbi.nlm.nih.gov/pmc/blobs/9f30/11625397/6f2a2e18e38c/cureus-0016-00000073268-i05.jpg

相似文献

1
Pneumocephalus After Lumbar Epidural Steroid Injection: A Rare Complication With Spontaneous Resolution.腰椎硬膜外类固醇注射后出现气颅:一种罕见的可自发缓解的并发症。
Cureus. 2024 Nov 8;16(11):e73268. doi: 10.7759/cureus.73268. eCollection 2024 Nov.
2
Symptomatic Pneumocephalus as a Complication of Lumbar Epidural Anaesthesia.症状性气颅作为腰椎硬膜外麻醉的一种并发症
Eur J Case Rep Intern Med. 2020 Jan 22;7(2):001425. doi: 10.12890/2020_001425. eCollection 2020.
3
Pneumocephalus secondary to epidural analgesia: a case report.硬膜外镇痛后并发气颅:1 例报告。
J Med Case Rep. 2023 May 26;17(1):217. doi: 10.1186/s13256-023-03955-5.
4
Oculomotor Nerve Palsy in the Emergency Department: A Complication of Epidural Injection.急诊科动眼神经麻痹:硬膜外注射的并发症。
J Emerg Med. 2020 Feb;58(2):e67-e69. doi: 10.1016/j.jemermed.2019.10.009. Epub 2019 Nov 18.
5
Severe headache following ozone therapy: Pneumocephalus.臭氧治疗后出现严重头痛:气颅。
Agri. 2017 Jul;29(3):132-136. doi: 10.5505/agri.2016.36024.
6
Epidural Steroid Injection Complicated by Intrathecal Entry, Pneumocephalus, and Chemical Meningitis.硬膜外类固醇注射并发鞘内穿刺、气颅和化学性脑膜炎。
J Emerg Med. 2016 Sep;51(3):265-8. doi: 10.1016/j.jemermed.2016.05.040. Epub 2016 Jul 2.
7
Pneumocephalus and seizures following epidural steroid injection.硬膜外注射类固醇后出现的气颅和癫痫发作。
Am J Emerg Med. 2017 Dec;35(12):1987.e1-1987.e2. doi: 10.1016/j.ajem.2017.09.030. Epub 2017 Sep 18.
8
Pneumocephalus after Epidural Injection.硬膜外注射后气颅
J Emerg Med. 2018 Mar;54(3):e45-e47. doi: 10.1016/j.jemermed.2017.12.003. Epub 2017 Dec 30.
9
Iatrogenic pneumocephalus following a cervical epidural steroid injection: A case report.颈椎硬膜外类固醇注射后发生的医源性气颅:一例报告。
Radiol Case Rep. 2021 Oct 13;16(12):3875-3878. doi: 10.1016/j.radcr.2021.09.035. eCollection 2021 Dec.
10
Delayed Pneumocephalus Following Fluoroscopy Guided Cervical Interlaminar Epidural Steroid Injection: A Rare Complication and Anatomical Considerations.透视引导下颈椎椎间孔硬膜外类固醇注射后迟发性气颅:一种罕见并发症及解剖学考量
J Korean Neurosurg Soc. 2015 May;57(5):376-8. doi: 10.3340/jkns.2015.57.5.376. Epub 2015 May 31.

本文引用的文献

1
What should an intensivist know about pneumocephalus and tension pneumocephalus?重症监护医生应该了解关于气颅和张力性气颅的哪些知识?
Acute Crit Care. 2023 May;38(2):244-248. doi: 10.4266/acc.2021.01102. Epub 2022 Apr 13.
2
Tension pneumocephalus following cranioplasty with a titanium plate: a case report.颅骨成形术后并发张力性气颅:病例报告。
J Int Med Res. 2022 Jan;50(1):3000605221076032. doi: 10.1177/03000605221076032.
3
Pneumocephalus: a rare and life-threatening, but reversible, complication after penetrating lumbar injury.
气颅:穿透性腰椎损伤后罕见且危及生命但可逆转的并发症。
Acta Neurochir (Wien). 2019 Feb;161(2):361-365. doi: 10.1007/s00701-018-03796-y. Epub 2019 Jan 17.
4
Tension Pneumocephalus Following Bilateral Craniotomies.双侧开颅术后张力性气颅
Cureus. 2017 Jun 15;9(6):e1358. doi: 10.7759/cureus.1358.
5
Review of the management of pneumocephalus.气颅管理的综述。
Surg Neurol Int. 2015 Sep 29;6:155. doi: 10.4103/2152-7806.166195. eCollection 2015.
6
A retrospective effectiveness study of loss of resistance to air or saline for identification of the epidural space.一项关于使用空气或生理盐水阻力消失法来识别硬膜外腔的回顾性有效性研究。
Anesth Analg. 2010 Feb 1;110(2):558-63. doi: 10.1213/ANE.0b013e3181c84e4e. Epub 2009 Dec 2.
7
Labor epidural anesthetics comparing loss of resistance with air versus saline: does the choice matter?比较空气与生理盐水阻力消失法的分娩硬膜外麻醉:选择重要吗?
AANA J. 2006 Aug;74(4):301-8.
8
Quality of analgesia when air versus saline is used for identification of the epidural space in the parturient.在产妇中使用空气与盐水来确定硬膜外腔时的镇痛质量。
Reg Anesth Pain Med. 2000 Nov-Dec;25(6):596-9. doi: 10.1053/rapm.2000.9535.
9
Comparative study of the effects of air or saline to identify the extradural space.
Br J Anaesth. 1991 Feb;66(2):224-7. doi: 10.1093/bja/66.2.224.