Suppr超能文献

重症监护医生应该了解关于气颅和张力性气颅的哪些知识?

What should an intensivist know about pneumocephalus and tension pneumocephalus?

作者信息

Wankhade Bhushan Sudhakar, Beniamein Maged Mohsen Kamel, Alrais Zeyad Faoor, Mathew Jyoti Ittoop, Alrais Ghaya Zeyad

机构信息

Department of Surgical Intensive Care Medicine, Rashid Hospital, Dubai, UAE.

Dubai Medical College, Dubai, UAE.

出版信息

Acute Crit Care. 2023 May;38(2):244-248. doi: 10.4266/acc.2021.01102. Epub 2022 Apr 13.

Abstract

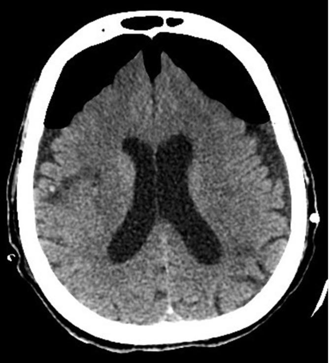
Collection of air in the cranial cavity is called pneumocephalus. Although simple pneumocephalus is a benign condition, accompanying increased intracranial pressure can produce a life-threatening condition comparable to tension pneumothorax, which is termed tension pneumocephalus. We report a case of tension pneumocephalus after drainage of a cerebrospinal fluid hygroma. The tension pneumocephalus was treated with decompression craniotomy, but the patient later died due to the complications related to critical care. Traumatic brain injury and neurosurgical intervention are the most common causes of pneumocephalus. Pneumocephalus and tension pneumocephalus are neurosurgical emergencies, and anesthetics and intensive care management like the use of nitrous oxide during anesthesia and positive pressure ventilation have important implications in their development and progress. Clinically, patients can present with various nonspecific neurological manifestations that are indistinguishable from a those of a primary neurological condition. If the diagnosis is questionable, patients should be investigated using computed tomography of the brain. Immediate neurosurgical consultation with decompression is the treatment of choice.

摘要

颅腔内积气称为气颅。虽然单纯气颅是一种良性情况,但伴随的颅内压升高可产生与张力性气胸类似的危及生命的情况,即张力性气颅。我们报告一例脑脊液囊肿引流后发生张力性气颅的病例。该张力性气颅采用颅骨减压术治疗,但患者后来因重症监护相关并发症死亡。创伤性脑损伤和神经外科干预是气颅最常见的原因。气颅和张力性气颅是神经外科急症,麻醉和重症监护管理(如麻醉期间使用氧化亚氮和正压通气)对其发生和发展具有重要影响。临床上,患者可出现各种非特异性神经表现,与原发性神经疾病难以区分。如果诊断存疑,应使用脑部计算机断层扫描对患者进行检查。立即进行神经外科会诊并减压是首选治疗方法。

https://cdn.ncbi.nlm.nih.gov/pmc/blobs/f0aa/10265419/ec2e86604d21/acc-2021-01102f1.jpg

文献检索

告别复杂PubMed语法,用中文像聊天一样搜索,搜遍4000万医学文献。AI智能推荐,让科研检索更轻松。

立即免费搜索

文件翻译

保留排版,准确专业,支持PDF/Word/PPT等文件格式,支持 12+语言互译。

免费翻译文档

深度研究

AI帮你快速写综述,25分钟生成高质量综述,智能提取关键信息,辅助科研写作。

立即免费体验