• 文献检索
  • 文档翻译
  • 深度研究
  • 学术资讯
  • Suppr Zotero 插件Zotero 插件
  • 邀请有礼
  • 套餐&价格
  • 历史记录
应用&插件
Suppr Zotero 插件Zotero 插件浏览器插件Mac 客户端Windows 客户端微信小程序
定价
高级版会员购买积分包购买API积分包
服务
文献检索文档翻译深度研究API 文档MCP 服务
关于我们
关于 Suppr公司介绍联系我们用户协议隐私条款
关注我们

Suppr 超能文献

核心技术专利:CN118964589B侵权必究
粤ICP备2023148730 号-1Suppr @ 2026

文献检索

告别复杂PubMed语法,用中文像聊天一样搜索,搜遍4000万医学文献。AI智能推荐,让科研检索更轻松。

立即免费搜索

文件翻译

保留排版,准确专业,支持PDF/Word/PPT等文件格式,支持 12+语言互译。

免费翻译文档

深度研究

AI帮你快速写综述,25分钟生成高质量综述,智能提取关键信息,辅助科研写作。

立即免费体验

一名16岁男性患经典双相性肺母细胞瘤伴支气管内侵犯:一例罕见病例报告。

Classic biphasic pulmonary blastoma with endobronchial invasion in a 16-year-old male: A rare case report.

作者信息

Alsaffaf Yousef, Aldolly Ahmed, Arab Hazem, Alsolaiman Nour, Jalil Asaad, Youssef Simon, Ahmad Fariz

机构信息

Faculty of Medicine, Hama University, Hama, Syria.

Pulmonary Department, Hama National Hospital, Hama, Syria.

出版信息

Respir Med Case Rep. 2024 Nov 19;52:102143. doi: 10.1016/j.rmcr.2024.102143. eCollection 2024.

DOI:10.1016/j.rmcr.2024.102143
PMID:39654606
原文链接:https://pmc.ncbi.nlm.nih.gov/articles/PMC11626718/
Abstract

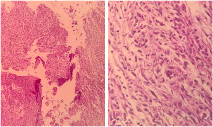
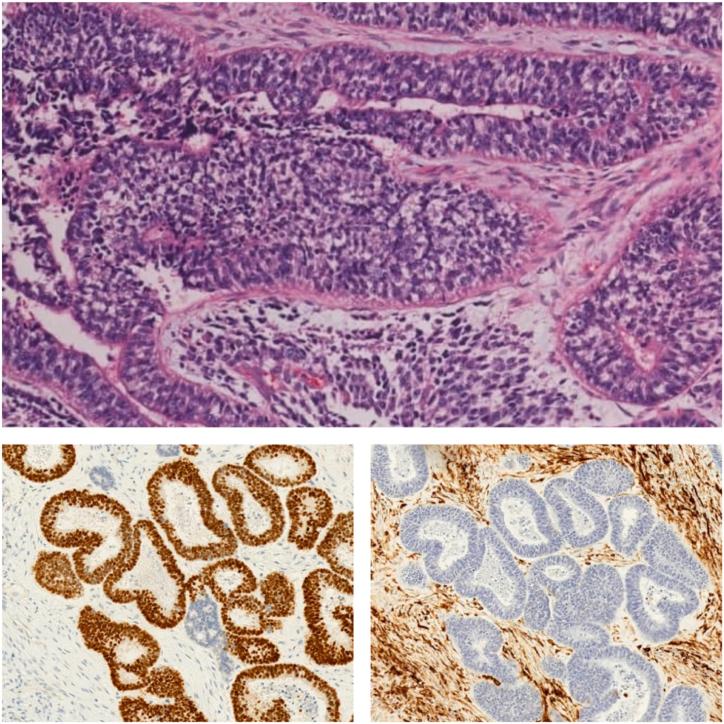
Pulmonary blastoma (PB) is a rare and aggressive lung neoplasm, representing 0.25 %-0.50 % of lung cancers and characterized by biphasic histology with both epithelial and mesenchymal components. We report a case of a 16-year-old male non-smoker presenting with hemoptysis and a 2-month history of dry cough and exertional dyspnea. Imaging revealed an ill-defined density in the left lung, and bronchoscopy identified a budding mass in the left bronchus. Biopsy results showed malignant spindle cells, with immunohistochemical staining positive for cytokeratin, vimentin, and TTF1, confirming classic biphasic pulmonary blastoma (CBPB). Further CT scans indicated multiple metastases in the right lung and bones. The patient was referred for palliative chemotherapy due to the tumor's aggressive nature. This case highlights the clinical presentation and diagnostic challenges of PB with endobronchial invasion.

摘要

肺母细胞瘤(PB)是一种罕见且侵袭性强的肺部肿瘤,占肺癌的0.25%-0.50%,其组织学特征为双相性,包含上皮和间充质成分。我们报告一例16岁不吸烟男性患者,表现为咯血,并有2个月干咳和劳力性呼吸困难病史。影像学检查显示左肺有边界不清的密度影,支气管镜检查发现左支气管内有一个芽状肿物。活检结果显示为恶性梭形细胞,免疫组化染色细胞角蛋白、波形蛋白和甲状腺转录因子1呈阳性,确诊为经典双相性肺母细胞瘤(CBPB)。进一步的CT扫描显示右肺和骨骼有多处转移。由于肿瘤具有侵袭性,该患者接受了姑息性化疗。本病例突出了PB伴支气管内侵犯的临床表现和诊断挑战。

https://cdn.ncbi.nlm.nih.gov/pmc/blobs/1a52/11626718/3f7deba0c9a9/gr5.jpg
https://cdn.ncbi.nlm.nih.gov/pmc/blobs/1a52/11626718/cf641dcfc436/gr1.jpg
https://cdn.ncbi.nlm.nih.gov/pmc/blobs/1a52/11626718/b0a8629eb5f8/gr2.jpg
https://cdn.ncbi.nlm.nih.gov/pmc/blobs/1a52/11626718/c07fe56c856b/gr3.jpg
https://cdn.ncbi.nlm.nih.gov/pmc/blobs/1a52/11626718/7c10dcb7d8b3/gr4.jpg
https://cdn.ncbi.nlm.nih.gov/pmc/blobs/1a52/11626718/3f7deba0c9a9/gr5.jpg
https://cdn.ncbi.nlm.nih.gov/pmc/blobs/1a52/11626718/cf641dcfc436/gr1.jpg
https://cdn.ncbi.nlm.nih.gov/pmc/blobs/1a52/11626718/b0a8629eb5f8/gr2.jpg
https://cdn.ncbi.nlm.nih.gov/pmc/blobs/1a52/11626718/c07fe56c856b/gr3.jpg
https://cdn.ncbi.nlm.nih.gov/pmc/blobs/1a52/11626718/7c10dcb7d8b3/gr4.jpg
https://cdn.ncbi.nlm.nih.gov/pmc/blobs/1a52/11626718/3f7deba0c9a9/gr5.jpg

相似文献

1
Classic biphasic pulmonary blastoma with endobronchial invasion in a 16-year-old male: A rare case report.一名16岁男性患经典双相性肺母细胞瘤伴支气管内侵犯:一例罕见病例报告。
Respir Med Case Rep. 2024 Nov 19;52:102143. doi: 10.1016/j.rmcr.2024.102143. eCollection 2024.
2
[Case report of pulmonary biphasic tumor with unusual follow-up].[肺双相肿瘤伴异常随访的病例报告]
Rev Pneumol Clin. 2014 Oct;70(5):302-6. doi: 10.1016/j.pneumo.2014.01.001. Epub 2014 Mar 16.
3
A Rare Case of Metastatic Brain Tumor From Classic Biphasic Pulmonary Blastoma Presented as Intracerebral Hemorrhage.一例罕见的以脑出血形式表现的经典双相性肺母细胞瘤脑转移瘤病例。
Brain Tumor Res Treat. 2021 Oct;9(2):81-86. doi: 10.14791/btrt.2021.9.e13.
4
Infant pleuropulmonary blastoma: report of a rare case and review of literature.婴儿胸膜肺母细胞瘤:1例罕见病例报告并文献复习
Int J Clin Exp Pathol. 2015 Oct 1;8(10):13571-7. eCollection 2015.
5
Classic biphasic pulmonary blastoma (CBPB): a rare primary pulmonary malignancy.经典型肺胚细胞瘤(CBPB):一种罕见的原发性肺恶性肿瘤。
BMJ Case Rep. 2021 Aug 10;14(8):e244151. doi: 10.1136/bcr-2021-244151.
6
Endobronchial pulmonary blastoma - an unusual presentation of a rare lung malignancy and review of literature.支气管肺胚细胞瘤——一种罕见肺部恶性肿瘤的不常见表现,并文献复习。
Monaldi Arch Chest Dis. 2020 Jul 30;90(3). doi: 10.4081/monaldi.2020.1462.
7
The Radiologic and Pathologic Diagnosis of Biphasic Pulmonary Blastoma.双相性肺母细胞瘤的放射学与病理学诊断
J Radiol Case Rep. 2017 Sep 30;11(9):10-21. doi: 10.3941/jrcr.v11i9.3153. eCollection 2017 Sep.
8
Classic pulmonary blastoma: a subtype of biphasic pulmonary blastoma.经典型肺母细胞瘤:双相性肺母细胞瘤的一种亚型。
Ann Thorac Cardiovasc Surg. 2012;18(2):125-7. doi: 10.5761/atcs.cr.11.01693. Epub 2011 Oct 17.
9
Pulmonary blastoma: a case report and review of the literature.肺母细胞瘤:一例病例报告及文献综述
BMC Res Notes. 2014 May 13;7:294. doi: 10.1186/1756-0500-7-294.
10
A patient with classic biphasic pulmonary blastoma harboring fusion responds to crizotinib.一名患有携带 融合的经典双相性肺母细胞瘤的患者对克唑替尼有反应。
Onco Targets Ther. 2017 Dec 28;11:157-161. doi: 10.2147/OTT.S150001. eCollection 2018.

本文引用的文献

1
Predictive Factors of Mortality in Pediatric Pleuropulmonary Blastoma: A Surveillance Epidemiology and End Results Database Analysis.儿童胸膜肺母细胞瘤死亡率的预测因素:一项监测、流行病学和最终结果数据库分析
J Indian Assoc Pediatr Surg. 2024 May-Jun;29(3):245-250. doi: 10.4103/jiaps.jiaps_235_23. Epub 2024 May 8.
2
Classic biphasic pulmonary blastoma: A case report and review of the literature from 2000 to 2022.经典型肺胚细胞瘤:2000 年至 2022 年文献回顾及病例报告。
Clin Respir J. 2023 Nov;17(11):1103-1116. doi: 10.1111/crj.13701. Epub 2023 Sep 29.
3
Pulmonary blastoma: a comprehensive overview of a rare entity.
肺胚细胞瘤:一种罕见实体的全面概述。
Adv Respir Med. 2021;89(5):511-519. doi: 10.5603/ARM.a2021.0085.
4
Classic biphasic pulmonary blastoma (CBPB): a rare primary pulmonary malignancy.经典型肺胚细胞瘤(CBPB):一种罕见的原发性肺恶性肿瘤。
BMJ Case Rep. 2021 Aug 10;14(8):e244151. doi: 10.1136/bcr-2021-244151.
5
Classic biphasic pulmonary blastoma: a case report and review of the literature.经典型肺胚细胞瘤:病例报告及文献复习。
J Int Med Res. 2020 Oct;48(10):300060520962394. doi: 10.1177/0300060520962394.
6
Endobronchial pulmonary blastoma - an unusual presentation of a rare lung malignancy and review of literature.支气管肺胚细胞瘤——一种罕见肺部恶性肿瘤的不常见表现,并文献复习。
Monaldi Arch Chest Dis. 2020 Jul 30;90(3). doi: 10.4081/monaldi.2020.1462.
7
Clinical and pathology analysis of 1 case of adult pleural pulmonary blastoma: A case report.1例成人胸膜肺母细胞瘤的临床及病理分析:病例报告
Medicine (Baltimore). 2017 Dec;96(50):e8918. doi: 10.1097/MD.0000000000008918.
8
The Radiologic and Pathologic Diagnosis of Biphasic Pulmonary Blastoma.双相性肺母细胞瘤的放射学与病理学诊断
J Radiol Case Rep. 2017 Sep 30;11(9):10-21. doi: 10.3941/jrcr.v11i9.3153. eCollection 2017 Sep.
9
Pulmonary blastoma: a case report and review of the literature.肺母细胞瘤:一例病例报告及文献综述
BMC Res Notes. 2014 May 13;7:294. doi: 10.1186/1756-0500-7-294.
10
The new World Health Organization classification of lung tumours.世界卫生组织肺癌新分类
Eur Respir J. 2001 Dec;18(6):1059-68. doi: 10.1183/09031936.01.00275301.