• 文献检索
  • 文档翻译
  • 深度研究
  • 学术资讯
  • Suppr Zotero 插件Zotero 插件
  • 邀请有礼
  • 套餐&价格
  • 历史记录
应用&插件
Suppr Zotero 插件Zotero 插件浏览器插件Mac 客户端Windows 客户端微信小程序
定价
高级版会员购买积分包购买API积分包
服务
文献检索文档翻译深度研究API 文档MCP 服务
关于我们
关于 Suppr公司介绍联系我们用户协议隐私条款
关注我们

Suppr 超能文献

核心技术专利:CN118964589B侵权必究
粤ICP备2023148730 号-1Suppr @ 2026

文献检索

告别复杂PubMed语法,用中文像聊天一样搜索,搜遍4000万医学文献。AI智能推荐,让科研检索更轻松。

立即免费搜索

文件翻译

保留排版,准确专业,支持PDF/Word/PPT等文件格式,支持 12+语言互译。

免费翻译文档

深度研究

AI帮你快速写综述,25分钟生成高质量综述,智能提取关键信息,辅助科研写作。

立即免费体验

原发性肾非典型类癌15年后出现腹膜后转移:1例病例报告及文献复习

Atypical carcinoid of the primary kidney with retroperitoneal metastasis 15 years later: A case report and literature review.

作者信息

Wang Qiang, Zhuo Dong, Huang Houbao, Tao Jianping

机构信息

Department of Orthopedics, The First Affiliated Hospital of Wannan Medical College, Wuhu, 241001, Anhui, PR China.

出版信息

Urol Case Rep. 2024 Nov 21;58:102893. doi: 10.1016/j.eucr.2024.102893. eCollection 2025 Jan.

DOI:10.1016/j.eucr.2024.102893
PMID:39660096
原文链接:https://pmc.ncbi.nlm.nih.gov/articles/PMC11629262/
Abstract

Primary renal neuroendocrine tumors (NETs) are extremely rare among renal malignancies. According to pathological manifestations, carcinoid can be divided into four types: typical carcinoid, atypical carcinoid, large cell and small cell neuroendocrine carcinoma. Primary or secondary retroperitoneal carcinoid is even rarer than renal carcinoid. This article reports a patient with renal carcinoid complicated with retroperitoneal metastasis, who developed retroperitoneal metastasis 15 years after radical nephrectomy. Through the analysis of this case and the combination of the existing published literature, it is aimed to provide valuable references for clinicians in treating patients with renal carcinoid or with metastasis.

摘要

原发性肾神经内分泌肿瘤(NETs)在肾恶性肿瘤中极为罕见。根据病理表现,类癌可分为四种类型:典型类癌、非典型类癌、大细胞和小细胞神经内分泌癌。原发性或继发性腹膜后类癌比肾类癌更为罕见。本文报道了1例肾类癌合并腹膜后转移患者,该患者在根治性肾切除术后15年出现腹膜后转移。通过对该病例的分析并结合现有已发表文献,旨在为临床医生治疗肾类癌或有转移的患者提供有价值的参考。

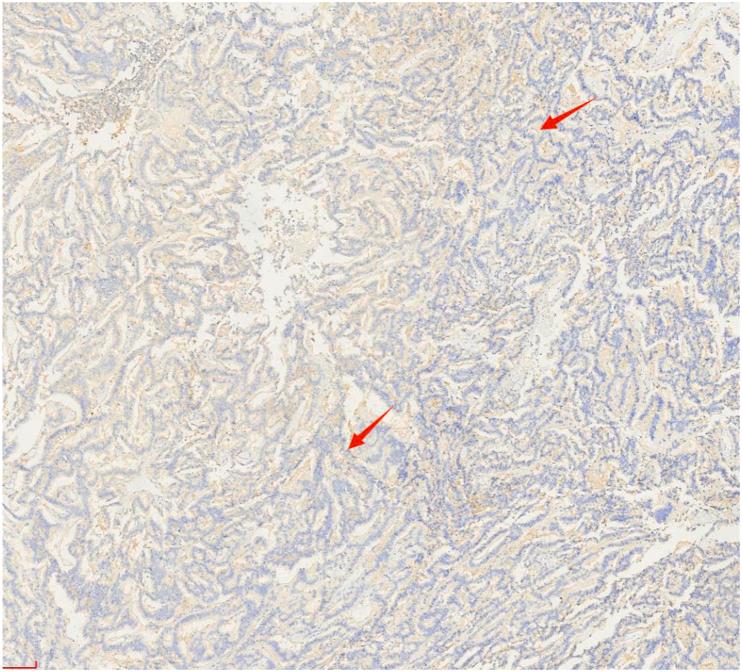
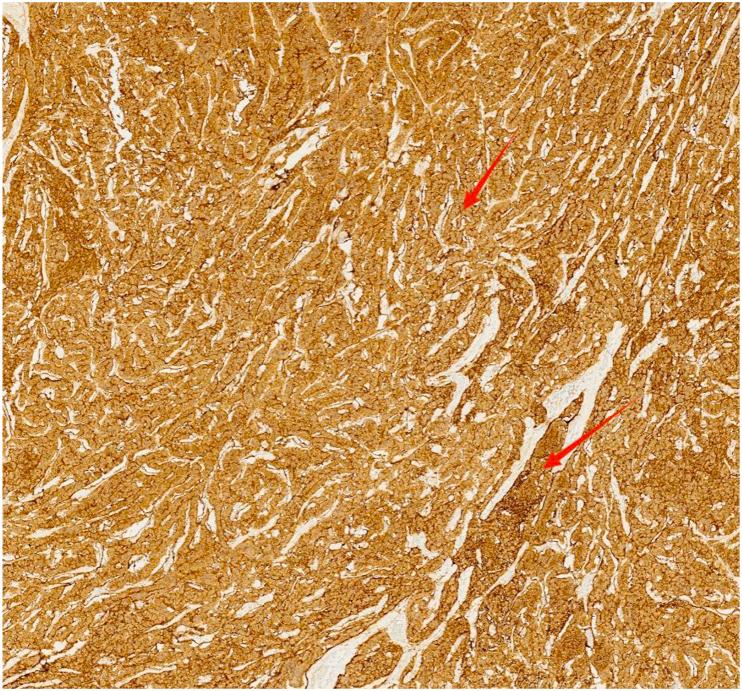
https://cdn.ncbi.nlm.nih.gov/pmc/blobs/9bc7/11629262/53e2bcfada12/gr5.jpg
https://cdn.ncbi.nlm.nih.gov/pmc/blobs/9bc7/11629262/6f27a36e69fd/gr1.jpg
https://cdn.ncbi.nlm.nih.gov/pmc/blobs/9bc7/11629262/7a9d698ebcb8/gr2.jpg
https://cdn.ncbi.nlm.nih.gov/pmc/blobs/9bc7/11629262/8b4c5d4243d5/gr3.jpg
https://cdn.ncbi.nlm.nih.gov/pmc/blobs/9bc7/11629262/03bfcf649a4d/gr4.jpg
https://cdn.ncbi.nlm.nih.gov/pmc/blobs/9bc7/11629262/53e2bcfada12/gr5.jpg
https://cdn.ncbi.nlm.nih.gov/pmc/blobs/9bc7/11629262/6f27a36e69fd/gr1.jpg
https://cdn.ncbi.nlm.nih.gov/pmc/blobs/9bc7/11629262/7a9d698ebcb8/gr2.jpg
https://cdn.ncbi.nlm.nih.gov/pmc/blobs/9bc7/11629262/8b4c5d4243d5/gr3.jpg
https://cdn.ncbi.nlm.nih.gov/pmc/blobs/9bc7/11629262/03bfcf649a4d/gr4.jpg
https://cdn.ncbi.nlm.nih.gov/pmc/blobs/9bc7/11629262/53e2bcfada12/gr5.jpg

相似文献

1
Atypical carcinoid of the primary kidney with retroperitoneal metastasis 15 years later: A case report and literature review.原发性肾非典型类癌15年后出现腹膜后转移:1例病例报告及文献复习
Urol Case Rep. 2024 Nov 21;58:102893. doi: 10.1016/j.eucr.2024.102893. eCollection 2025 Jan.
2
Clinical and Pathological Features of Primary Renal Well-Differentiated Neuroendocrine Tumor.原发性肾高分化神经内分泌肿瘤的临床及病理特征
Onco Targets Ther. 2022 May 27;15:587-596. doi: 10.2147/OTT.S364545. eCollection 2022.
3
Five New Cases of Primary Renal Carcinoid Tumor: Case Reports and Literature Review.五例原发性肾类癌肿瘤:病例报告及文献复习。
Pathol Oncol Res. 2020 Jan;26(1):341-346. doi: 10.1007/s12253-018-0481-x. Epub 2018 Oct 25.
4
Clinical recommendations on the treatment of neuroendocrine carcinoma of the larynx: A meta-analysis of 436 reported cases.喉神经内分泌癌治疗的临床建议:436例报告病例的荟萃分析
Head Neck. 2015 May;37(5):707-15. doi: 10.1002/hed.23666. Epub 2014 Jun 18.
5
[Clinicopathologic features of primary renal neuroendocrine carcinoma].[原发性肾神经内分泌癌的临床病理特征]
Zhonghua Bing Li Xue Za Zhi. 2018 Nov 8;47(11):851-856. doi: 10.3760/cma.j.issn.0529-5807.2018.11.007.
6
[Pulmonary neuroendocrine tumors. The spectrum of histologic subtypes and current concept on diagnosis and treatment].[肺神经内分泌肿瘤。组织学亚型谱及诊断与治疗的当前概念]
Pneumonol Alergol Pol. 2010;78(1):33-46.
7
Atypical ovarian carcinoid tumor with widespread skeletal metastases: a case report of multiple endocrine neoplasia type 1 in a young woman.伴有广泛骨骼转移的非典型卵巢类癌瘤:一例年轻女性 1 型多发性内分泌肿瘤病例报告。
BMC Cancer. 2019 Nov 14;19(1):1107. doi: 10.1186/s12885-019-6332-7.
8
Atypical carcinoid of the uterine cervix accompanying adenocarcinoma in situ.宫颈不典型类癌伴原位腺癌。
J Clin Pathol. 2018 Nov;71(11):1030. doi: 10.1136/jclinpath-2018-205081. Epub 2018 Aug 28.
9
Primary neuroendocrine tumor in the retroperitoneal cavity: A rare case report.腹膜后腔原发性神经内分泌肿瘤:一例罕见病例报告。
Int J Surg Case Rep. 2023 Aug;109:108506. doi: 10.1016/j.ijscr.2023.108506. Epub 2023 Jul 13.
10
[Four cases of primary neuroendocrine carcinoma in ear, nose, pharynx and larynx].[耳鼻咽喉原发性神经内分泌癌4例]
Lin Chuang Er Bi Yan Hou Ke Za Zhi. 2003 Sep;17(9):549-50.

引用本文的文献

1
Clinical and pathological analysis of primary well-differentiated neuroendocrine tumors in the kidney- a case series.肾脏原发性高分化神经内分泌肿瘤的临床与病理分析——病例系列
BMC Urol. 2025 Jul 23;25(1):181. doi: 10.1186/s12894-025-01855-y.
2
Primary Renal Small Cell Neuroendocrine Carcinoma With Inferior Vena Cava Tumor Thrombus: A Report of a Rare Case.伴有下腔静脉肿瘤血栓的原发性肾小细胞神经内分泌癌:1例罕见病例报告
Cureus. 2025 Jun 10;17(6):e85693. doi: 10.7759/cureus.85693. eCollection 2025 Jun.

本文引用的文献

1
Neuroendocrine tumor theranostics.神经内分泌肿瘤的治疗与诊断。
Cancer Sci. 2022 Jun;113(6):1930-1938. doi: 10.1111/cas.15327. Epub 2022 Apr 11.
2
Clinicopathologic Features and Survival Outcomes for Primary Renal Neuroendocrine Neoplasms.原发性肾神经内分泌肿瘤的临床病理特征和生存结局。
Clin Genitourin Cancer. 2021 Apr;19(2):155-161. doi: 10.1016/j.clgc.2020.10.010. Epub 2020 Nov 10.
3
Immunohistochemistry in the diagnosis and classification of neuroendocrine neoplasms: what can brown do for you?免疫组织化学在神经内分泌肿瘤的诊断和分类中的应用:棕色能为你做些什么?
Hum Pathol. 2020 Feb;96:8-33. doi: 10.1016/j.humpath.2019.12.002. Epub 2019 Dec 17.
4
Carcinoid Syndrome: Updates and Review of Current Therapy.类癌综合征:最新治疗进展及综述。
Curr Treat Options Oncol. 2019 Jul 9;20(9):70. doi: 10.1007/s11864-019-0671-0.
5
Primary renal well-differentiated neuroendocrine tumour (carcinoid): next-generation sequencing study of 11 cases.原发性肾脏高分化神经内分泌肿瘤(类癌):11 例的下一代测序研究。
Histopathology. 2019 Jul;75(1):104-117. doi: 10.1111/his.13856.
6
Primary renal well-differentiated neuroendocrine tumors: report of six cases with an emphasis on the Ki-67 index and mitosis.原发性肾高分化神经内分泌肿瘤:6例报告并着重分析Ki-67指数和有丝分裂情况
Diagn Pathol. 2019 Feb 7;14(1):12. doi: 10.1186/s13000-019-0791-7.
7
Five New Cases of Primary Renal Carcinoid Tumor: Case Reports and Literature Review.五例原发性肾类癌肿瘤:病例报告及文献复习。
Pathol Oncol Res. 2020 Jan;26(1):341-346. doi: 10.1007/s12253-018-0481-x. Epub 2018 Oct 25.
8
Frequency of carcinoid syndrome at neuroendocrine tumour diagnosis: a population-based study.神经内分泌肿瘤诊断时类癌综合征的发生率:一项基于人群的研究。
Lancet Oncol. 2017 Apr;18(4):525-534. doi: 10.1016/S1470-2045(17)30110-9. Epub 2017 Feb 24.
9
Renal carcinoid tumor with liver metastasis followed up postoperatively for 9 years.肾类癌伴肝转移,术后随访9年。
Diagn Pathol. 2015 Oct 6;10:182. doi: 10.1186/s13000-015-0417-7.
10
Primary carcinoid tumor of the kidney with estrogen and progesterone receptor expression.伴有雌激素和孕激素受体表达的原发性肾类癌肿瘤
Oncol Lett. 2015 Jul;10(1):449-452. doi: 10.3892/ol.2015.3167. Epub 2015 Apr 30.