Girdhar Komal, Bansal Dharam P, Rijhwani Puneet, Gupta Medha, Girdhar Narinder
Department of General Medicine, Mahatma Gandhi Medical College and Hospital, Jaipur, IND.
Department of Internal Medicine, Mahatma Gandhi Medical College and Hospital, Jaipur, IND.
Cureus. 2024 Nov 13;16(11):e73632. doi: 10.7759/cureus.73632. eCollection 2024 Nov.
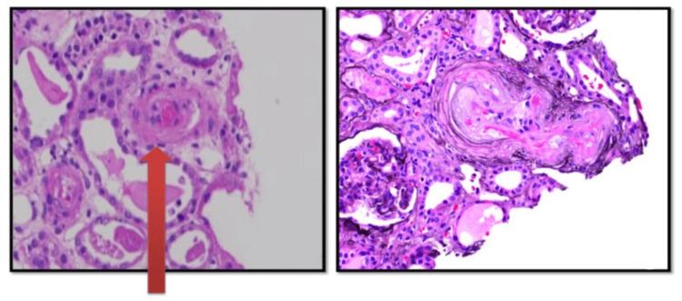
This report describes a rare presentation of atypical hemolytic uremic syndrome with multi-system involvement, including unilateral blindness and stroke. Only a few cases of atypical hemolytic uremic syndrome with unilateral blindness as a presentation have been reported and all have been attributed to central retinal artery obstruction (CRAO). This is the first described case to our knowledge of atypical hemolytic uremic syndrome presenting with unilateral blindness, which was caused by grade four hypertensive retinopathy.
本报告描述了一例罕见的非典型溶血性尿毒症综合征,伴有多系统受累,包括单眼失明和中风。仅有少数以单眼失明为表现的非典型溶血性尿毒症综合征病例被报道,且均归因于视网膜中央动脉阻塞(CRAO)。据我们所知,这是首例报道的由四级高血压性视网膜病变导致的以单眼失明为表现的非典型溶血性尿毒症综合征病例。