Suppr超能文献

不完全川崎病中的斜颈:一例寰枢椎旋转固定病例

Torticollis in incomplete Kawasaki disease: a case of atlantoaxial rotatory fixation.

作者信息

Ryu Keisho

机构信息

Department of Orthopaedic Surgery, Tokyo Metropolitan Toshima Hospital, Tokyo 173-0015, Japan.

出版信息

BJR Case Rep. 2024 Nov 22;10(6):uaae044. doi: 10.1093/bjrcr/uaae044. eCollection 2024 Nov.

Abstract

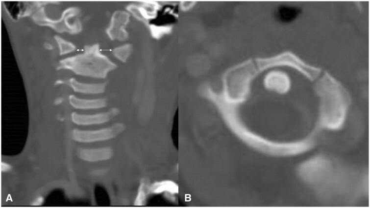
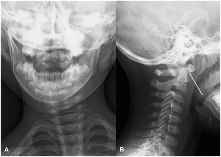
Various respiratory, musculoskeletal, gastrointestinal, neurological, and urinary complications have been reported in Kawasaki disease. Here, we describe a rare case of atlantoaxial rotatory fixation (AARF) associated with incomplete Kawasaki disease. The case is of a healthy 4-year-old Japanese boy who had a high-grade fever, lymphadenopathy, and torticollis diagnosed with incomplete Kawasaki disease. Intravenous high-dose immunoglobulin and oral aspirin quickly resolved his fever and improved his lymphadenopathy, but torticollis remained. On orthopaedic examination, torticollis was observed with a marked restriction of rotation, and an open-mouth anteroposterior cervical radiograph and a CT scan confirmed rotational dislocation at the dens axis (AARF). Cervical collar fixation was immediately started, and the torticollis gradually normalized within a week. AARF is defined as torticollis due to dislocation or subluxation of the atlantoaxial joint. The diagnosis of AARF is difficult with routine plain cervical radiographs in 2 directions alone, and an additional cervical open-mouth anteroposterior radiograph and a CT scan aid the diagnosis. AARF associated with Kawasaki disease is uncommon, and only 24 cases have been reported in the literature. AARF may occur in Kawasaki disease patients with cervical lymphadenopathy. Still, torticollis is often transient and may not be recognized or ignored by family doctors and paediatricians. Reduction of the atlantoaxial joint can often be achieved spontaneously or with conservative treatment such as a collar or neck traction, but treatment is difficult if the diagnosis is delayed. Therefore, family doctors and paediatricians need to suspect the onset of AARF if torticollis is observed during treatment for Kawasaki disease, perform plain cervical radiographs including open-mouth anteroposterior view and a CT scan of the cervical spine, and have orthopaedists immediately intervene to avoid invasive surgery.

摘要

川崎病已报告有各种呼吸、肌肉骨骼、胃肠道、神经和泌尿系统并发症。在此,我们描述一例与不完全川崎病相关的罕见寰枢椎旋转固定(AARF)病例。该病例为一名健康的4岁日本男孩,他出现高热、淋巴结病和斜颈,被诊断为不完全川崎病。静脉注射大剂量免疫球蛋白和口服阿司匹林迅速缓解了他的发热并改善了淋巴结病,但斜颈仍存在。经骨科检查,发现斜颈伴有明显的旋转受限,颈椎开口前后位X线片和CT扫描证实齿状突轴旋转脱位(AARF)。立即开始使用颈托固定,斜颈在一周内逐渐恢复正常。AARF定义为由于寰枢关节脱位或半脱位导致的斜颈。仅通过常规的两个方向的颈椎平片很难诊断AARF,额外的颈椎开口前后位X线片和CT扫描有助于诊断。与川崎病相关的AARF并不常见,文献中仅报道了24例。AARF可能发生在患有颈部淋巴结病的川崎病患者中。然而,斜颈通常是短暂的,可能未被家庭医生和儿科医生认识或忽视。寰枢关节复位通常可以自发实现或通过保守治疗如颈托或颈部牵引来实现,但如果诊断延迟,治疗会很困难。因此,如果在川崎病治疗期间观察到斜颈,家庭医生和儿科医生需要怀疑AARF的发生,进行包括开口前后位的颈椎平片和颈椎CT扫描,并让骨科医生立即介入以避免进行侵入性手术。

https://cdn.ncbi.nlm.nih.gov/pmc/blobs/64af/11645455/cb485d447a20/uaae044f1.jpg

文献检索

告别复杂PubMed语法,用中文像聊天一样搜索,搜遍4000万医学文献。AI智能推荐,让科研检索更轻松。

立即免费搜索

文件翻译

保留排版,准确专业,支持PDF/Word/PPT等文件格式,支持 12+语言互译。

免费翻译文档

深度研究

AI帮你快速写综述,25分钟生成高质量综述,智能提取关键信息,辅助科研写作。

立即免费体验