Suppr超能文献

通过体内搭乘中性粒细胞将c(RGDfk)修饰的脂质体靶向递送至骨髓用于多发性骨髓瘤治疗

Targeted Delivery of c(RGDfk)-Modified Liposomes to Bone Marrow Through In Vivo Hitchhiking Neutrophils for Multiple Myeloma Therapy.

作者信息

Liu Huiwen, Zhang Bo, Chen Hongrui, Wang Honglan, Qin Xifeng, Sun Chunyan, Pang Zhiqing, Hu Yu

机构信息

Institute of Hematology, Union Hospital, Tongji Medical College, Huazhong University of Science & Technology, Wuhan, Hubei, 430022, China.

Key lab of Molecular Biological Targeted Therapies of the Ministry of Education, Union Hospital, Tongji Medical College, Huazhong University of Science and Technology, Wuhan, 430022, China.

出版信息

Adv Sci (Weinh). 2025 Mar;12(12):e2409895. doi: 10.1002/advs.202409895. Epub 2024 Dec 16.

Abstract

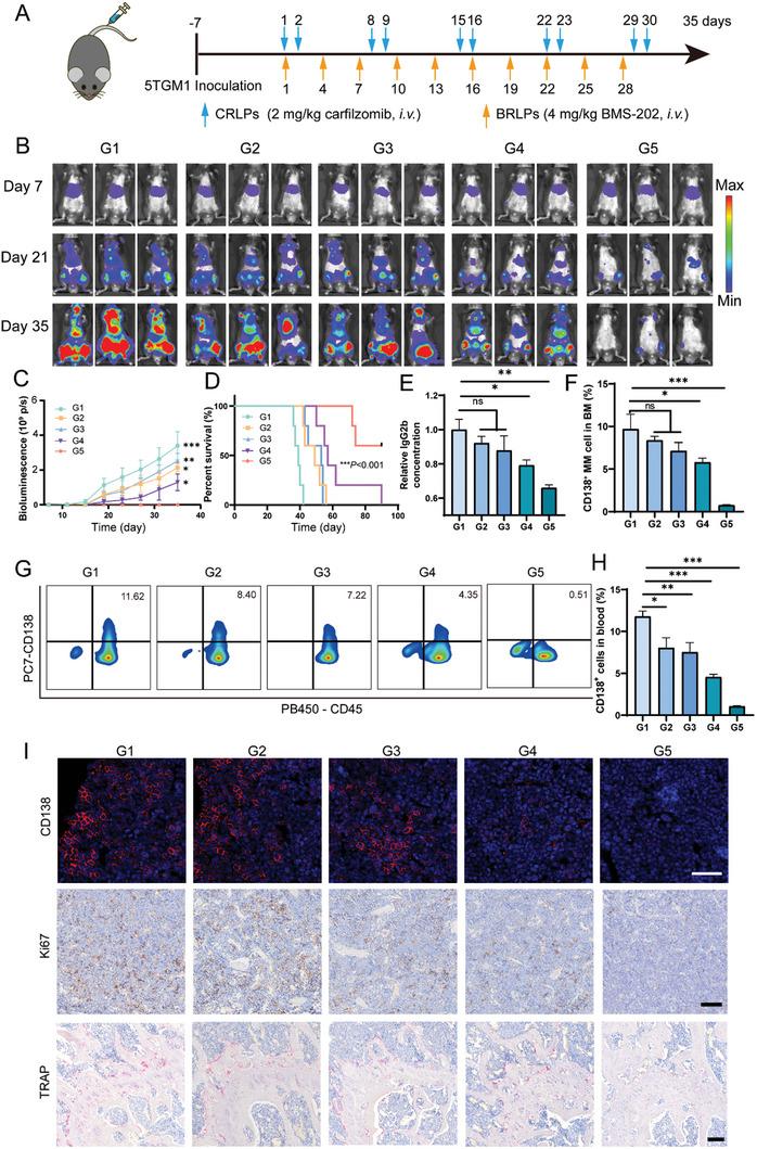
Multiple myeloma (MM) is a prevalent bone marrow disorder. The challenges in managing MM include selecting chemotherapy regimens that effectively modulate the myeloma microenvironment and delivering them to the bone marrow with high efficacy and minimal toxicity. Herein, a novel bone marrow targeting strategy using c(RGDfk) peptide-modified liposomes loaded with chemotherapeutics is developed, which can specifically recognize and hitchhike neutrophils following systemic administration, capitalizing on their natural aging process to facilitate precise drug delivery to the bone marrow, thus minimizing off-target effects. On the one hand, c(RGDfk)-functionalized liposomes containing carfilzomib (CRLPs) successfully transformed macrophages from M2 phenotype to M1 phenotype, enhancing immunotherapeutic responses. On the other hand, c(RGDfk)-functionalized liposomes encapsulating BMS-202 (BRLPs), a small molecule checkpoint inhibitor, interrupted the PD-1/PD-L1 axis and promoted the infiltration of cytotoxic T cells. The co-administration of CRLPs and BRLPs successfully delivered drugs to bone marrow, leading to significant modulation of the myeloma microenvironment, reduced tumor growth, and improved survival time of MM-bearing mouse models. These findings introduced an alternative approach to modulating the myeloma microenvironment and underscored the efficacy of hitchhiking neutrophils for bone marrow drug delivery. This strategy show advantages over traditional drug delivery methods in terms of improved efficacy and lowered toxicity.

摘要

多发性骨髓瘤(MM)是一种常见的骨髓疾病。MM治疗面临的挑战包括选择能够有效调节骨髓瘤微环境的化疗方案,并将其高效且低毒地递送至骨髓。在此,开发了一种新型的骨髓靶向策略,即使用负载化疗药物的c(RGDfk)肽修饰脂质体,该脂质体在全身给药后可特异性识别并搭乘中性粒细胞,利用其天然衰老过程促进药物精准递送至骨髓,从而将脱靶效应降至最低。一方面,含卡非佐米的c(RGDfk)功能化脂质体(CRLPs)成功将巨噬细胞从M2表型转变为M1表型,增强免疫治疗反应。另一方面,包裹小分子检查点抑制剂BMS-202的c(RGDfk)功能化脂质体(BRLPs)中断了PD-1/PD-L1轴,促进了细胞毒性T细胞的浸润。CRLPs和BRLPs联合给药成功将药物递送至骨髓,导致骨髓瘤微环境发生显著调节,肿瘤生长减少,荷瘤小鼠模型的生存时间延长。这些发现引入了一种调节骨髓瘤微环境的替代方法,并强调了搭乘中性粒细胞进行骨髓药物递送的有效性。该策略在提高疗效和降低毒性方面优于传统药物递送方法。

https://cdn.ncbi.nlm.nih.gov/pmc/blobs/7cc6/11948077/06d47fc57b6c/ADVS-12-2409895-g007.jpg

文献检索

告别复杂PubMed语法,用中文像聊天一样搜索,搜遍4000万医学文献。AI智能推荐,让科研检索更轻松。

立即免费搜索

文件翻译

保留排版,准确专业,支持PDF/Word/PPT等文件格式,支持 12+语言互译。

免费翻译文档

深度研究

AI帮你快速写综述,25分钟生成高质量综述,智能提取关键信息,辅助科研写作。

立即免费体验