• 文献检索
  • 文档翻译
  • 深度研究
  • 学术资讯
  • Suppr Zotero 插件Zotero 插件
  • 邀请有礼
  • 套餐&价格
  • 历史记录
应用&插件
Suppr Zotero 插件Zotero 插件浏览器插件Mac 客户端Windows 客户端微信小程序
定价
高级版会员购买积分包购买API积分包
服务
文献检索文档翻译深度研究API 文档MCP 服务
关于我们
关于 Suppr公司介绍联系我们用户协议隐私条款
关注我们

Suppr 超能文献

核心技术专利:CN118964589B侵权必究
粤ICP备2023148730 号-1Suppr @ 2026

文献检索

告别复杂PubMed语法,用中文像聊天一样搜索,搜遍4000万医学文献。AI智能推荐,让科研检索更轻松。

立即免费搜索

文件翻译

保留排版,准确专业,支持PDF/Word/PPT等文件格式,支持 12+语言互译。

免费翻译文档

深度研究

AI帮你快速写综述,25分钟生成高质量综述,智能提取关键信息,辅助科研写作。

立即免费体验

提高可溶性组织蛋白酶B和L在大肠杆菌中的重组表达。

Improved recombinant expression of soluble cathepsin B and L in Escherichia coli.

作者信息

Möller Christina, Rimkus Niklas, Skala Ferdinand F O, Merouze Maëlle, Böttcher Dominique, Dörr Mark, Bornscheuer Uwe T

机构信息

Institute of Biochemistry, Department of Biotechnology and Enzyme Catalysis, University of Greifswald, Greifswald, Germany.

出版信息

Appl Microbiol Biotechnol. 2024 Dec 16;108(1):536. doi: 10.1007/s00253-024-13374-1.

DOI:10.1007/s00253-024-13374-1
PMID:39680170
原文链接:https://pmc.ncbi.nlm.nih.gov/articles/PMC11649755/
Abstract

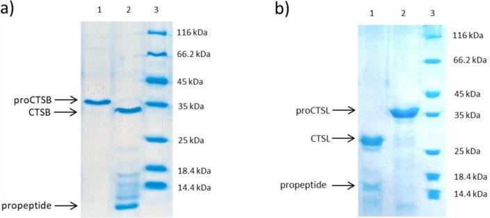
Cysteine cathepsins such as cathepsin B and L play an important role in numerous diseases like acute pancreatitis or SARS-CoV-2 and therefore have high potential for the development of new therapeutics. To be able to screen for potent and selective inhibitors sufficient amounts of protein are required. Here, we present an easy and efficient protocol for the recombinant expression of soluble and active murine cathepsin B and L. For this, we used the strain E. coli SHuffle® T7 Express which is capable of forming disulfide bridges in the cytoplasm. The enzymes were purified by immobilized nickel ion-affinity chromatography. Using different constructs and media, expression levels were significantly improved and expression yields of 80 ± 2 mg L for procathepsin B, which is 16-fold better than previously reported expression yields for procathepsin B, and 37 ± 2 mg L for procathepsin L, were achieved. After activation with dithiothreitol at slightly acidic pH, in vitro kinetic parameters of both cathepsins were determined using the commonly used synthetic substrates Arg-Arg-AMC or Phe-Arg-AMC. Moreover, to investigate the impact of the short C-terminal propeptide of procathepsin B, it was deleted by site-directed mutagenesis, the shortened target protein was expressed and purified, activated in vitro, and its activity was similar to the variant bearing this C-terminal propeptide. KEY POINTS: • Recombinant gene expression of cathepsin B and L in E. coli SHuffle® T7 Express • Soluble cathepsin expression with high expression yields • Investigation of the short C-terminal propeptide of cathepsin B.

摘要

半胱氨酸组织蛋白酶,如组织蛋白酶B和L,在许多疾病(如急性胰腺炎或新型冠状病毒肺炎)中发挥着重要作用,因此在开发新疗法方面具有很高的潜力。为了能够筛选出有效的选择性抑制剂,需要足够量的蛋白质。在此,我们提出了一种简便高效的方案,用于重组表达可溶性且有活性的小鼠组织蛋白酶B和L。为此,我们使用了大肠杆菌SHuffle® T7 Express菌株,该菌株能够在细胞质中形成二硫键。通过固定化镍离子亲和层析法对酶进行纯化。使用不同的构建体和培养基,表达水平得到了显著提高,组织蛋白酶B原的表达产量达到了80±2 mg/L,比先前报道的组织蛋白酶B原的表达产量高16倍,组织蛋白酶L原的表达产量达到了37±2 mg/L。在微酸性pH条件下用二硫苏糖醇激活后,使用常用的合成底物Arg-Arg-AMC或Phe-Arg-AMC测定了两种组织蛋白酶的体外动力学参数。此外,为了研究组织蛋白酶B原短C末端前肽的影响,通过定点诱变将其删除,表达并纯化了缩短的目标蛋白,在体外进行激活,其活性与带有该C末端前肽的变体相似。要点:• 在大肠杆菌SHuffle® T7 Express中重组表达组织蛋白酶B和L • 以高表达产量实现可溶性组织蛋白酶表达 • 研究组织蛋白酶B的短C末端前肽

https://cdn.ncbi.nlm.nih.gov/pmc/blobs/3022/11649755/761e43e1323a/253_2024_13374_Fig4_HTML.jpg
https://cdn.ncbi.nlm.nih.gov/pmc/blobs/3022/11649755/b209ee13da51/253_2024_13374_Fig1_HTML.jpg
https://cdn.ncbi.nlm.nih.gov/pmc/blobs/3022/11649755/c92281da6938/253_2024_13374_Fig2_HTML.jpg
https://cdn.ncbi.nlm.nih.gov/pmc/blobs/3022/11649755/a59eac90a553/253_2024_13374_Fig3_HTML.jpg
https://cdn.ncbi.nlm.nih.gov/pmc/blobs/3022/11649755/761e43e1323a/253_2024_13374_Fig4_HTML.jpg
https://cdn.ncbi.nlm.nih.gov/pmc/blobs/3022/11649755/b209ee13da51/253_2024_13374_Fig1_HTML.jpg
https://cdn.ncbi.nlm.nih.gov/pmc/blobs/3022/11649755/c92281da6938/253_2024_13374_Fig2_HTML.jpg
https://cdn.ncbi.nlm.nih.gov/pmc/blobs/3022/11649755/a59eac90a553/253_2024_13374_Fig3_HTML.jpg
https://cdn.ncbi.nlm.nih.gov/pmc/blobs/3022/11649755/761e43e1323a/253_2024_13374_Fig4_HTML.jpg

相似文献

1
Improved recombinant expression of soluble cathepsin B and L in Escherichia coli.提高可溶性组织蛋白酶B和L在大肠杆菌中的重组表达。
Appl Microbiol Biotechnol. 2024 Dec 16;108(1):536. doi: 10.1007/s00253-024-13374-1.
2
A simple and efficient protocol for the production of recombinant cathepsin V and other cysteine cathepsins in soluble form in Escherichia coli.一种在大肠杆菌中以可溶形式生产重组组织蛋白酶V和其他半胱氨酸组织蛋白酶的简单高效方法。
Protein Expr Purif. 2012 Mar;82(1):1-5. doi: 10.1016/j.pep.2011.11.002. Epub 2011 Nov 11.
3
Activity and deletion analysis of recombinant human cathepsin L expressed in Escherichia coli.在大肠杆菌中表达的重组人组织蛋白酶L的活性及缺失分析。
J Biol Chem. 1989 Dec 5;264(34):20487-95.
4
Function of the propeptide region in recombinant expression of active procathepsin L in Escherichia coli.前肽区域在大肠杆菌中重组表达活性组织蛋白酶L中的作用
J Biochem. 1999 Jul;126(1):78-83. doi: 10.1093/oxfordjournals.jbchem.a022439.
5
Expression and alteration of the S2 subsite of the Leishmania major cathepsin B-like cysteine protease.硕大利什曼原虫组织蛋白酶B样半胱氨酸蛋白酶S2亚位点的表达与改变
Biochem J. 1999 May 15;340 ( Pt 1)(Pt 1):113-7.
6
The influence of Ala205 on the specificity of cathepsin L produced by dextran sulfate assisted activation of the recombinant proenzyme.
Biol Chem. 1998 Dec;379(12):1449-52.
7
Purification and characterization of procathepsin L, a self-processing zymogen of guinea pig spermatozoa that acts on a cathepsin D assay substrate.豚鼠精子自加工酶原组织蛋白酶L的纯化与特性分析,该酶原可作用于组织蛋白酶D检测底物。
Arch Biochem Biophys. 1995 Nov 10;323(2):409-22. doi: 10.1006/abbi.1995.0062.
8
Characterisation of cysteine proteinases responsible for digestive proteolysis in guts of larval western corn rootworm (Diabrotica virgifera) by expression in the yeast Pichia pastoris.通过在毕赤酵母中表达来鉴定西部玉米根虫(Diabrotica virgifera)幼虫肠道中负责消化蛋白水解的半胱氨酸蛋白酶。
Insect Biochem Mol Biol. 2004 Apr;34(4):305-20. doi: 10.1016/j.ibmb.2003.11.005.
9
Identification and characteristics of a cathepsin L-like cysteine protease from Clonorchis sinensis.华支睾吸虫组织蛋白酶L样半胱氨酸蛋白酶的鉴定与特性
Parasitol Res. 2019 Mar;118(3):829-835. doi: 10.1007/s00436-019-06223-y. Epub 2019 Jan 28.
10
Cysteine peptidases of Eudiplozoon nipponicum: a broad repertoire of structurally assorted cathepsins L in contrast to the scarcity of cathepsins B in an invasive species of haematophagous monogenean of common carp.日本指环虫的半胱氨酸肽酶:结构分类的组织蛋白酶 L 广泛存在,而在侵袭性寄生性单殖吸虫(鲤鱼)中组织蛋白酶 B 却极为匮乏。
Parasit Vectors. 2018 Mar 6;11(1):142. doi: 10.1186/s13071-018-2666-2.

引用本文的文献

1
Expression of Recombinant Hirudin in Bacteria and Yeast: A Comparative Approach.细菌和酵母中重组水蛭素的表达:一种比较方法。
Methods Protoc. 2025 Aug 3;8(4):89. doi: 10.3390/mps8040089.
2
Biochemical analyses of cystatin-C dimers and cathepsin-B reveals a trypsin-driven feedback mechanism in acute pancreatitis.胱抑素-C二聚体和组织蛋白酶-B的生化分析揭示了急性胰腺炎中一种胰蛋白酶驱动的反馈机制。
Nat Commun. 2025 Feb 17;16(1):1702. doi: 10.1038/s41467-025-56875-x.

本文引用的文献

1
Accurate structure prediction of biomolecular interactions with AlphaFold 3.利用 AlphaFold 3 进行生物分子相互作用的精确结构预测。
Nature. 2024 Jun;630(8016):493-500. doi: 10.1038/s41586-024-07487-w. Epub 2024 May 8.
2
Expression, purification, and biological activity evaluation of cathepsin L in mammalian cells.在哺乳动物细胞中表达、纯化和生物活性评价组织蛋白酶 L。
Biosci Biotechnol Biochem. 2024 Mar 22;88(4):405-411. doi: 10.1093/bbb/zbae005.
3
Cathepsin L plays a key role in SARS-CoV-2 infection in humans and humanized mice and is a promising target for new drug development.
组织蛋白酶L在SARS-CoV-2感染人类和人源化小鼠过程中起关键作用,是新药研发的一个有前景的靶点。
Signal Transduct Target Ther. 2021 Mar 27;6(1):134. doi: 10.1038/s41392-021-00558-8.
4
Cathepsin L in COVID-19: From Pharmacological Evidences to Genetics.COVID-19 中的组织蛋白酶 L:从药理学证据到遗传学。
Front Cell Infect Microbiol. 2020 Dec 8;10:589505. doi: 10.3389/fcimb.2020.589505. eCollection 2020.
5
: Physiological Function and Role in Disease Management.生理功能及其在疾病管理中的作用。
Cells. 2020 Jul 13;9(7):1679. doi: 10.3390/cells9071679.
6
Cathepsin B is a New Drug Target for Traumatic Brain Injury Therapeutics: Evidence for E64d as a Promising Lead Drug Candidate.组织蛋白酶B是创伤性脑损伤治疗的新药物靶点:E64d作为一种有前景的先导药物候选物的证据。
Front Neurol. 2015 Sep 2;6:178. doi: 10.3389/fneur.2015.00178. eCollection 2015.
7
Strategies for the production of recombinant protein in Escherichia coli.大肠杆菌中重组蛋白的生产策略。
Protein J. 2013 Aug;32(6):419-25. doi: 10.1007/s10930-013-9502-5.
8
SHuffle, a novel Escherichia coli protein expression strain capable of correctly folding disulfide bonded proteins in its cytoplasm.Shuffle,一种新型大肠杆菌蛋白表达菌株,能够在细胞质中正确折叠二硫键蛋白。
Microb Cell Fact. 2012 May 8;11:56. doi: 10.1186/1475-2859-11-56.
9
A simple and efficient protocol for the production of recombinant cathepsin V and other cysteine cathepsins in soluble form in Escherichia coli.一种在大肠杆菌中以可溶形式生产重组组织蛋白酶V和其他半胱氨酸组织蛋白酶的简单高效方法。
Protein Expr Purif. 2012 Mar;82(1):1-5. doi: 10.1016/j.pep.2011.11.002. Epub 2011 Nov 11.
10
Crossing the membrane in Archaea, the third domain of life.跨越生命的第三个域——古菌中的膜。
Biochim Biophys Acta. 2011 Mar;1808(3):885-91. doi: 10.1016/j.bbamem.2010.03.020. Epub 2010 Mar 27.