Suppr超能文献

患有肝脏细菌性实质感染和脓肿的犬只的计算机断层扫描结果

Computed Tomographic Findings in Dogs with Hepatic Bacterial Parenchymal Infection and Abscessation.

作者信息

Maté de Haro Luis, Vila Andrea, Di Bella Andrea, Mallol Claudia, Anselmi Carlo, Barreiro-Vazquez Jose-Daniel, Pollard Danica, Salgüero Raquel, Fitzgerald Ella, Moreno-Aguado Beatriz

机构信息

Southern Counties Veterinary Specialists, Independent Vetcare (IVC) Evidensia, Forest Corner Farm, Hangersley, Ringwood BH24 3JW, UK.

Department of Clinical Sciences and Services, The Royal Veterinary College, University of London, Hertfordshire AL9 7TA, UK.

出版信息

Animals (Basel). 2024 Nov 25;14(23):3399. doi: 10.3390/ani14233399.

Abstract

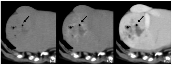
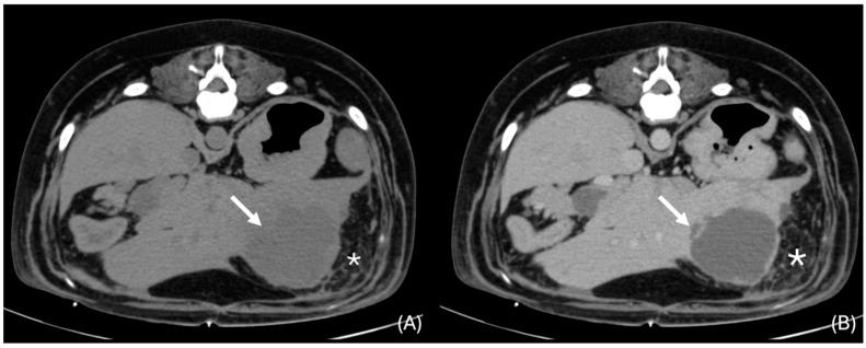
Bacterial liver parenchymal infections in dogs are rarely documented, and their imaging characteristics are scarce in the veterinary literature, especially in Computed Tomography (CT). This retrospective multicentric study aimed to describe the CT characteristics of parenchymal bacterial liver infection and abscessation in dogs and compare them with the human literature. Twenty dogs met the inclusion criteria. All dogs, except one, showed discrete hepatic lesions consistent with pyogenic liver abscess (19/20). A single case showed diffuse liver changes, which was diagnosed with granulomatous bacterial hepatitis (1/20). Multifocal lesions were associated with the presence of abdominal pain ( = 0.023). CT characteristics of pyogenic liver abscesses in our study resemble those described in the human literature, with multifocal (14/19) or single (5/19), round or ovoid (19/19), hypoattenuating hepatic lesions, which are better visualised in post-contrast images. Pyogenic liver abscesses can also show features such as the "cluster sign" (8/19), transient arterial segmental enhancement (6/10), rim enhancement (6/19), and intralesional gas (4/19). Additional CT findings, such as local lymphadenomegaly (18/20), peritoneal fat stranding (14/20), and peritoneal fluid (13/20), are also commonly observed.

摘要

犬细菌性肝实质感染鲜有文献记载,其影像学特征在兽医文献中也很罕见,尤其是在计算机断层扫描(CT)方面。这项回顾性多中心研究旨在描述犬肝实质细菌感染和脓肿形成的CT特征,并与人类文献进行比较。20只犬符合纳入标准。除1只犬外,所有犬均表现出与化脓性肝脓肿相符的离散性肝脏病变(19/20)。1例犬表现为弥漫性肝脏改变,诊断为肉芽肿性细菌性肝炎(1/20)。多灶性病变与腹痛有关( = 0.023)。我们研究中化脓性肝脓肿的CT特征与人类文献中描述的相似,表现为多灶性(14/19)或单灶性(5/19)、圆形或椭圆形(19/19)、肝脏低密度病变,在增强后图像中显示更佳。化脓性肝脓肿还可表现出“簇状征”(8/19)、短暂性动脉节段性强化(6/10)、边缘强化(6/19)和病灶内气体(4/19)等特征。其他CT表现,如局部淋巴结肿大(18/20)、腹膜脂肪条索征(14/20)和腹腔积液(13/20)也较为常见。

https://cdn.ncbi.nlm.nih.gov/pmc/blobs/881b/11640172/3f14efa16ca3/animals-14-03399-g001.jpg

文献检索

告别复杂PubMed语法,用中文像聊天一样搜索,搜遍4000万医学文献。AI智能推荐,让科研检索更轻松。

立即免费搜索

文件翻译

保留排版,准确专业,支持PDF/Word/PPT等文件格式,支持 12+语言互译。

免费翻译文档

深度研究

AI帮你快速写综述,25分钟生成高质量综述,智能提取关键信息,辅助科研写作。

立即免费体验