• 文献检索
  • 文档翻译
  • 深度研究
  • 学术资讯
  • Suppr Zotero 插件Zotero 插件
  • 邀请有礼
  • 套餐&价格
  • 历史记录
应用&插件
Suppr Zotero 插件Zotero 插件浏览器插件Mac 客户端Windows 客户端微信小程序
定价
高级版会员购买积分包购买API积分包
服务
文献检索文档翻译深度研究API 文档MCP 服务
关于我们
关于 Suppr公司介绍联系我们用户协议隐私条款
关注我们

Suppr 超能文献

核心技术专利:CN118964589B侵权必究
粤ICP备2023148730 号-1Suppr @ 2026

文献检索

告别复杂PubMed语法,用中文像聊天一样搜索,搜遍4000万医学文献。AI智能推荐,让科研检索更轻松。

立即免费搜索

文件翻译

保留排版,准确专业,支持PDF/Word/PPT等文件格式,支持 12+语言互译。

免费翻译文档

深度研究

AI帮你快速写综述,25分钟生成高质量综述,智能提取关键信息,辅助科研写作。

立即免费体验

气管原发性肉瘤样癌:一例报告及文献复习

Primary sarcomatoid carcinoma of the trachea: A case report and literature review.

作者信息

Yu Xiuwen, Huang Mingqi, Ge Haiyan, Yang Junjie, Huang Bin, Xu Jialing

机构信息

Department of Respiratory Medicine, The First People's Hospital of Xiaoshan District, Hangzhou, Zhejiang, China.

Department of Traditional Chinese Medicine, Faculty of Chinese Medicine Science Guangxi University of Chinese Medicine, Nanning, China.

出版信息

Medicine (Baltimore). 2024 Dec 13;103(50):e40766. doi: 10.1097/MD.0000000000040766.

DOI:10.1097/MD.0000000000040766
PMID:39686439
原文链接:https://pmc.ncbi.nlm.nih.gov/articles/PMC11651425/
Abstract

RATIONALE

Primary sarcomatoid carcinoma of the trachea (PSCT) is a rare malignant tumor of the lower respiratory tract. Pathological types of tracheal sarcomatoid carcinoma (TSC)s include pleomorphic carcinomas, giant cell carcinomas, spindle cell carcinomas, pulmonoblastomas, and carcinosarcomas. At present, there are limited reports on PSCT, and pathologists lack sufficient knowledge about it.

PATIENT CONCERNS

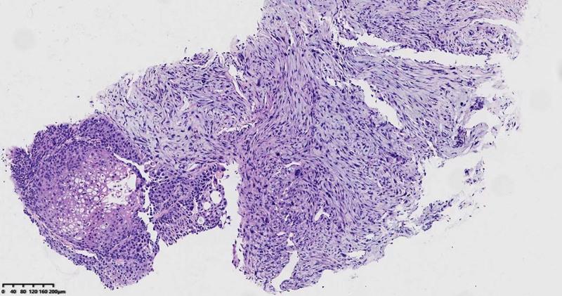
Here, we report a case of malignant neoplasm involving the left posterior wall of the initial tracheal segment, characterized by atypical spindle cells and a small number of high-grade squamous intraepithelial neoplasia.

DIAGNOSIS

Spindle-shaped cells were moderately heterotypic, with 8/10 nuclear divisions (high-magnification field), and no obvious inflammatory cell infiltration was observed in the interstitium. Squamous epithelial cells showed moderate-to-severe atypia with regional cytoplasmic transparency. Immunohistochemistry: Fusiform tumor cells expressed vimentin, epithelial markers were negative, the Ki-67 proliferation index was 40%, and epithelial markers were expressed in squamous intraepithelial neoplasia.

INTERVENTIONS

After the biopsy diagnosis was confirmed, part of the tumor was removed by tracheoscopy under general anesthesia in the respiratory department of a superior hospital. A pathological diagnosis of TSC was made and local radiotherapy was performed.

OUTCOMES

As the tumor could not be completely cured, the patient experienced repeated coughing and shortness of breath and died of the disease 15 months later.

LESSONS

Pathological morphology and immunohistochemical analyses deepen our understanding of the pathological features of TSC and provide a diagnostic reference for clinicians who will encounter such cases in the future.

摘要

原理

气管原发性肉瘤样癌(PSCT)是下呼吸道的一种罕见恶性肿瘤。气管肉瘤样癌(TSC)的病理类型包括多形性癌、巨细胞癌、梭形细胞癌、肺母细胞瘤和癌肉瘤。目前,关于PSCT的报道有限,病理学家对其了解不足。

患者情况

在此,我们报告一例累及气管起始段左后壁的恶性肿瘤病例,其特征为非典型梭形细胞和少量高级别鳞状上皮内瘤变。

诊断

梭形细胞具有中度异型性,在高倍视野下有8/10个核分裂象,间质未见明显炎性细胞浸润。鳞状上皮细胞显示中度至重度异型性,局部细胞质透明。免疫组化:梭形肿瘤细胞表达波形蛋白,上皮标志物阴性,Ki-67增殖指数为40%,鳞状上皮内瘤变中表达上皮标志物。

干预措施

活检诊断明确后,上级医院呼吸科在全身麻醉下通过气管镜切除部分肿瘤。病理诊断为TSC并进行了局部放疗。

结果

由于肿瘤无法完全治愈,患者反复咳嗽、气短,15个月后死于该病。

经验教训

病理形态学和免疫组化分析加深了我们对TSC病理特征的理解,为未来遇到此类病例的临床医生提供了诊断参考。

https://cdn.ncbi.nlm.nih.gov/pmc/blobs/099f/11651425/bbbde68e4e7d/medi-103-e40766-g004.jpg
https://cdn.ncbi.nlm.nih.gov/pmc/blobs/099f/11651425/0c64a7ef8249/medi-103-e40766-g001.jpg
https://cdn.ncbi.nlm.nih.gov/pmc/blobs/099f/11651425/28cc1ace508d/medi-103-e40766-g002.jpg
https://cdn.ncbi.nlm.nih.gov/pmc/blobs/099f/11651425/d38e6be7c6f8/medi-103-e40766-g003.jpg
https://cdn.ncbi.nlm.nih.gov/pmc/blobs/099f/11651425/bbbde68e4e7d/medi-103-e40766-g004.jpg
https://cdn.ncbi.nlm.nih.gov/pmc/blobs/099f/11651425/0c64a7ef8249/medi-103-e40766-g001.jpg
https://cdn.ncbi.nlm.nih.gov/pmc/blobs/099f/11651425/28cc1ace508d/medi-103-e40766-g002.jpg
https://cdn.ncbi.nlm.nih.gov/pmc/blobs/099f/11651425/d38e6be7c6f8/medi-103-e40766-g003.jpg
https://cdn.ncbi.nlm.nih.gov/pmc/blobs/099f/11651425/bbbde68e4e7d/medi-103-e40766-g004.jpg

相似文献

1
Primary sarcomatoid carcinoma of the trachea: A case report and literature review.气管原发性肉瘤样癌:一例报告及文献复习
Medicine (Baltimore). 2024 Dec 13;103(50):e40766. doi: 10.1097/MD.0000000000040766.
2
Spindle cell sarcomatoid carcinoma of the trachea: first case report of surgical resection.气管梭形细胞肉瘤样癌:手术切除首例病例报告
J Cardiothorac Surg. 2016 Aug 5;11(1):128. doi: 10.1186/s13019-016-0524-x.
3
Carcinosarcoma and sarcomatoid carcinoma of the stomach: Two case reports.胃的癌肉瘤和肉瘤样癌:两例报告。
Medicine (Baltimore). 2021 Mar 26;100(12):e24697. doi: 10.1097/MD.0000000000024697.
4
Spindle cell sarcomatoid carcinoma: first case reported in the trachea.梭形细胞肉瘤样癌:气管首例报道。
Tuberk Toraks. 2009;57(3):337-41.
5
Carcinosarcoma Arising from Inverted Papilloma in a Patient with History of Radiotherapy for Sinonasal Squamous Cell Carcinoma.曾因鼻腔鼻窦鳞状细胞癌接受放射治疗的患者,其源自内翻性乳头状瘤的癌肉瘤。
Am J Case Rep. 2020 Mar 22;21:e921827. doi: 10.12659/AJCR.921827.
6
Sarcomatoid carcinoma in the trachea: A case report and literature review.气管的肉瘤样癌:病例报告及文献复习。
Thorac Cancer. 2017 May;8(3):278-282. doi: 10.1111/1759-7714.12437. Epub 2017 Mar 30.
7
Primary pure spindle cell carcinoma (sarcomatoid carcinoma) of the ovary: A case report with immunohistochemical study.卵巢原发性纯梭形细胞癌(肉瘤样癌):一例免疫组织化学研究病例报告
Diagn Pathol. 2016 Aug 5;11(1):70. doi: 10.1186/s13000-016-0521-3.
8
Pulmonary carcinomas with pleomorphic, sarcomatoid, or sarcomatous elements: a clinicopathologic and immunohistochemical study of 75 cases.具有多形性、肉瘤样或肉瘤成分的肺癌:75例临床病理及免疫组化研究
Am J Surg Pathol. 2003 Mar;27(3):311-24. doi: 10.1097/00000478-200303000-00004.
9
Spindle cell and pleomorphic ("sarcomatoid") carcinomas of the lung: an immunohistochemical analysis of 86 cases.肺的梭形细胞和多形性(“肉瘤样”)癌:86例病例的免疫组织化学分析
Hum Pathol. 2017 Jan;59:1-9. doi: 10.1016/j.humpath.2016.08.003. Epub 2016 Aug 25.
10
[Primary tracheal malignant glomus tumor with lung metastasis diagnosed by pathological analysis: a case report and literature review].[经病理分析诊断的原发性气管恶性血管球瘤伴肺转移:1例病例报告及文献复习]
Zhonghua Jie He He Hu Xi Za Zhi. 2017 Sep 12;49(9):697-702. doi: 10.3760/cma.j.issn.1001-0939.2017.09.016.

本文引用的文献

1
Spindle cell sarcomatoid tumour of the trachea: a rare primary malignant tumour.气管梭形细胞肉瘤样肿瘤:一种罕见的原发性恶性肿瘤。
BMJ Case Rep. 2022 Nov 4;15(11):e252310. doi: 10.1136/bcr-2022-252310.
2
Pleomorphic carcinoma of the trachea after chemoradiotherapy for laryngeal cancer.喉癌放化疗后发生的气管多形性癌。
BMJ Case Rep. 2020 Oct 30;13(10):e236819. doi: 10.1136/bcr-2020-236819.
3
Sarcomatoid carcinoma in the trachea: A case report and literature review.气管的肉瘤样癌:病例报告及文献复习。
Thorac Cancer. 2017 May;8(3):278-282. doi: 10.1111/1759-7714.12437. Epub 2017 Mar 30.
4
Spindle cell sarcomatoid carcinoma of the trachea: first case report of surgical resection.气管梭形细胞肉瘤样癌:手术切除首例病例报告
J Cardiothorac Surg. 2016 Aug 5;11(1):128. doi: 10.1186/s13019-016-0524-x.
5
Malignant tracheal tumors: a review of current diagnostic and management strategies.恶性气管肿瘤:当前诊断与治疗策略综述
Curr Opin Pulm Med. 2015 Jul;21(4):322-6. doi: 10.1097/MCP.0000000000000181.
6
The use of radiation therapy appears to improve outcome in patients with malignant primary tracheal tumors: a SEER-based analysis.放疗似乎可改善原发性恶性气管肿瘤患者的预后:基于 SEER 的分析。
Int J Radiat Oncol Biol Phys. 2012 Oct 1;84(2):464-70. doi: 10.1016/j.ijrobp.2011.12.011. Epub 2012 Feb 24.
7
AIRP best cases in radiologic-pathologic correlation: adenoid cystic carcinoma of the trachea.放射学-病理学相关性最佳病例:气管腺样囊性癌
Radiographics. 2011 Sep-Oct;31(5):1443-7. doi: 10.1148/rg.315105209.
8
Clinical aspects and treatment of primary tracheal malignancies.原发性气管恶性肿瘤的临床特征与治疗
Acta Otolaryngol. 2010 Jul;130(7):763-72. doi: 10.3109/00016480903403005.
9
Population based cancer registry analysis of primary tracheal carcinoma.基于人群的原发性气管癌癌症登记分析。
Am J Clin Oncol. 2011 Feb;34(1):32-7. doi: 10.1097/COC.0b013e3181cae8ab.
10
Spindle cell sarcomatoid carcinoma: first case reported in the trachea.梭形细胞肉瘤样癌:气管首例报道。
Tuberk Toraks. 2009;57(3):337-41.