• 文献检索
  • 文档翻译
  • 深度研究
  • 学术资讯
  • Suppr Zotero 插件Zotero 插件
  • 邀请有礼
  • 套餐&价格
  • 历史记录
应用&插件
Suppr Zotero 插件Zotero 插件浏览器插件Mac 客户端Windows 客户端微信小程序
定价
高级版会员购买积分包购买API积分包
服务
文献检索文档翻译深度研究API 文档MCP 服务
关于我们
关于 Suppr公司介绍联系我们用户协议隐私条款
关注我们

Suppr 超能文献

核心技术专利:CN118964589B侵权必究
粤ICP备2023148730 号-1Suppr @ 2026

文献检索

告别复杂PubMed语法,用中文像聊天一样搜索,搜遍4000万医学文献。AI智能推荐,让科研检索更轻松。

立即免费搜索

文件翻译

保留排版,准确专业,支持PDF/Word/PPT等文件格式,支持 12+语言互译。

免费翻译文档

深度研究

AI帮你快速写综述,25分钟生成高质量综述,智能提取关键信息,辅助科研写作。

立即免费体验

甲氨蝶呤治疗高β-人绒毛膜促性腺激素(β-HCG)异位妊娠:一例报告

Management of a High-Beta-Human Chorionic Gonadotropin (β-HCG) Ectopic Pregnancy With Methotrexate: A Case Report.

作者信息

Petroulakis Athanasios, Tiong Bing Bing

机构信息

Obstetrics and Gynaecology, Nottingham University Hospitals NHS Trust, Nottingham, GBR.

出版信息

Cureus. 2024 Dec 16;16(12):e75783. doi: 10.7759/cureus.75783. eCollection 2024 Dec.

DOI:10.7759/cureus.75783
PMID:39687675
原文链接:https://pmc.ncbi.nlm.nih.gov/articles/PMC11647554/
Abstract

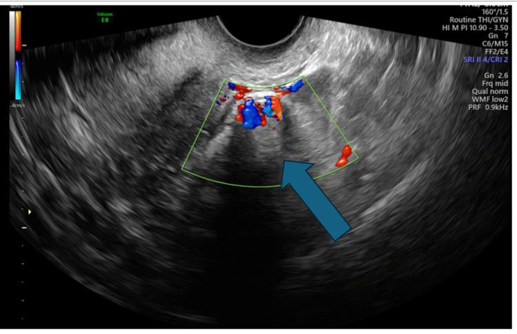
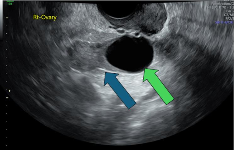
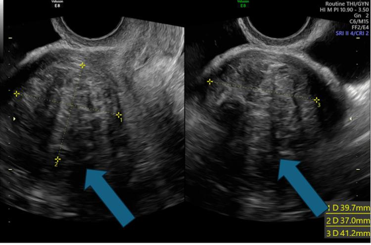
Ectopic pregnancy is a severe complication of early pregnancy that can lead to significant morbidity and mortality. Methotrexate is a standard non-surgical treatment for ectopic pregnancy, especially in cases where beta-human chorionic gonadotropin (β-HCG) levels are low. However, its effectiveness decreases as β-HCG levels rise. We present a case of a 38-year-old nulliparous woman with a high-β-HCG level ectopic pregnancy, who was managed successfully with methotrexate despite initial concerns about potential treatment failure. This case underscores the importance of patient-centered care, thorough counseling, and a multidisciplinary approach in managing complex ectopic pregnancies, particularly when standard guidelines may not fully apply. The patient was closely monitored and achieved a successful outcome without the need for surgery.

摘要

异位妊娠是早期妊娠的一种严重并发症,可导致显著的发病率和死亡率。甲氨蝶呤是异位妊娠的标准非手术治疗方法,特别是在β-人绒毛膜促性腺激素(β-HCG)水平较低的情况下。然而,随着β-HCG水平升高,其有效性会降低。我们报告一例38岁未生育女性,其异位妊娠β-HCG水平较高,尽管最初担心潜在的治疗失败,但经甲氨蝶呤治疗成功。该病例强调了以患者为中心的护理、全面咨询以及多学科方法在处理复杂异位妊娠中的重要性,尤其是在标准指南可能不完全适用的情况下。对该患者进行了密切监测,无需手术即取得了成功的治疗结果。

https://cdn.ncbi.nlm.nih.gov/pmc/blobs/b562/11647554/5d6ff81e0a90/cureus-0016-00000075783-i06.jpg
https://cdn.ncbi.nlm.nih.gov/pmc/blobs/b562/11647554/2ec52336b303/cureus-0016-00000075783-i01.jpg
https://cdn.ncbi.nlm.nih.gov/pmc/blobs/b562/11647554/4ff5f9e1e7b6/cureus-0016-00000075783-i02.jpg
https://cdn.ncbi.nlm.nih.gov/pmc/blobs/b562/11647554/829b57acba30/cureus-0016-00000075783-i03.jpg
https://cdn.ncbi.nlm.nih.gov/pmc/blobs/b562/11647554/1fa7718fcbcd/cureus-0016-00000075783-i04.jpg
https://cdn.ncbi.nlm.nih.gov/pmc/blobs/b562/11647554/4bef45ff25a7/cureus-0016-00000075783-i05.jpg
https://cdn.ncbi.nlm.nih.gov/pmc/blobs/b562/11647554/5d6ff81e0a90/cureus-0016-00000075783-i06.jpg
https://cdn.ncbi.nlm.nih.gov/pmc/blobs/b562/11647554/2ec52336b303/cureus-0016-00000075783-i01.jpg
https://cdn.ncbi.nlm.nih.gov/pmc/blobs/b562/11647554/4ff5f9e1e7b6/cureus-0016-00000075783-i02.jpg
https://cdn.ncbi.nlm.nih.gov/pmc/blobs/b562/11647554/829b57acba30/cureus-0016-00000075783-i03.jpg
https://cdn.ncbi.nlm.nih.gov/pmc/blobs/b562/11647554/1fa7718fcbcd/cureus-0016-00000075783-i04.jpg
https://cdn.ncbi.nlm.nih.gov/pmc/blobs/b562/11647554/4bef45ff25a7/cureus-0016-00000075783-i05.jpg
https://cdn.ncbi.nlm.nih.gov/pmc/blobs/b562/11647554/5d6ff81e0a90/cureus-0016-00000075783-i06.jpg

相似文献

1
Management of a High-Beta-Human Chorionic Gonadotropin (β-HCG) Ectopic Pregnancy With Methotrexate: A Case Report.甲氨蝶呤治疗高β-人绒毛膜促性腺激素(β-HCG)异位妊娠:一例报告
Cureus. 2024 Dec 16;16(12):e75783. doi: 10.7759/cureus.75783. eCollection 2024 Dec.
2
Single-dose systemic methotrexate vs expectant management for treatment of tubal ectopic pregnancy: a placebo-controlled randomized trial.单剂量全身应用甲氨蝶呤与期待治疗输卵管异位妊娠的疗效比较:一项安慰剂对照随机试验
Ultrasound Obstet Gynecol. 2017 Feb;49(2):171-176. doi: 10.1002/uog.17329. Epub 2017 Jan 6.
3
The predictors of successful methotrexate treatment of tubal ectopic pregnancy.输卵管妊娠甲氨蝶呤治疗成功的预测因素。
J Obstet Gynaecol. 2024 Dec;44(1):2361456. doi: 10.1080/01443615.2024.2361456. Epub 2024 Jun 12.
4
Early prediction of methotrexate treatment outcome in tubal ectopic pregnancy based on days 0 and 4 human chorionic gonadotropin levels.基于第0天和第4天的人绒毛膜促性腺激素水平对输卵管异位妊娠中甲氨蝶呤治疗结局的早期预测
J Obstet Gynaecol Res. 2020 Jul;46(7):1104-1109. doi: 10.1111/jog.14259. Epub 2020 May 14.
5
Early (Days 1-4) post-treatment serum hCG level changes predict single-dose methotrexate treatment success in tubal ectopic pregnancy.治疗后早期(第 1-4 天)血清 hCG 水平变化可预测单次甲氨蝶呤治疗输卵管妊娠的效果。
Hum Reprod. 2023 Jul 5;38(7):1261-1267. doi: 10.1093/humrep/dead089.
6
Relationship of Beta-Human Chorionic Gonadotropin to Ectopic Pregnancy Detection and Size.β-人绒毛膜促性腺激素与异位妊娠检测和大小的关系。
West J Emerg Med. 2024 May;25(3):431-435. doi: 10.5811/westjem.18396.
7
Ruptured ectopic pregnancies following methotrexate treatment: clinical course and predictors for improving patient counseling.甲氨蝶呤治疗后破裂的宫外孕:改善患者咨询的临床过程和预测因素。
Reprod Sci. 2022 Apr;29(4):1209-1214. doi: 10.1007/s43032-022-00881-7. Epub 2022 Feb 14.
8
Day 1 to day 4 serum hCG change in predicting single-dose methotrexate treatment failure for tubal ectopic pregnancies.第 1 天至第 4 天血清 hCG 变化预测单次甲氨蝶呤治疗输卵管妊娠失败。
Eur J Obstet Gynecol Reprod Biol. 2020 Dec;255:105-110. doi: 10.1016/j.ejogrb.2020.10.036. Epub 2020 Oct 18.
9
Cutoff value of human chorionic gonadotropin in relation to the number of methotrexate cycles in the successful treatment of ectopic pregnancy.人绒毛膜促性腺激素的临界值与甲氨蝶呤治疗异位妊娠成功时的疗程数的关系
Fertil Steril. 2009 Oct;92(4):1203-1207. doi: 10.1016/j.fertnstert.2008.07.1775. Epub 2008 Oct 11.
10
The role of day 0 and day 4 β-human chorionic gonadotropin values and initial ultrasound findings in predicting the success of methotrexate treatment in ectopic pregnancy.第 0 天及第 4 天β-人绒毛膜促性腺激素值及初始超声检查在预测异位妊娠甲氨蝶呤治疗成功中的作用。
Ginekol Pol. 2020;91(7):389-393. doi: 10.5603/GP.2020.0071.

本文引用的文献

1
ACOG Practice Bulletin No. 193: Tubal Ectopic Pregnancy.美国妇产科医师学会实践公告第 193 号:输卵管妊娠。
Obstet Gynecol. 2018 Mar;131(3):e91-e103. doi: 10.1097/AOG.0000000000002560.
2
Medical treatment of ectopic pregnancy: a committee opinion.异位妊娠的治疗:委员会意见。
Fertil Steril. 2013 Sep;100(3):638-44. doi: 10.1016/j.fertnstert.2013.06.013. Epub 2013 Jul 10.
3
ACOG Practice Bulletin No. 94: Medical management of ectopic pregnancy.美国妇产科医师学会实践公告第94号:异位妊娠的医学管理
Obstet Gynecol. 2008 Jun;111(6):1479-85. doi: 10.1097/AOG.0b013e31817d201e.
4
Interventions for tubal ectopic pregnancy.输卵管异位妊娠的干预措施。
Cochrane Database Syst Rev. 2007 Jan 24;2007(1):CD000324. doi: 10.1002/14651858.CD000324.pub2.
5
Current status of surgical and nonsurgical management of ectopic pregnancy.异位妊娠的手术及非手术治疗现状
Fertil Steril. 1997 Mar;67(3):421-33. doi: 10.1016/s0015-0282(97)80064-7.
6
Methotrexate treatment of unruptured ectopic pregnancy: a report of 100 cases.甲氨蝶呤治疗未破裂型异位妊娠:100例报告
Obstet Gynecol. 1991 May;77(5):749-53.