Suppr超能文献

再探淋巴结内甲状腺包涵体:BRAF VE1免疫组化的形态学分析及应用

Intranodal thyroid inclusions revisited: a morphological analysis and application of BRAF VE1 immunohistochemistry.

作者信息

Chuang Yu-Che, Kuo Ying-Ju, Hang Jen-Fan

机构信息

Department of Pathology and Laboratory Medicine, Taipei Veterans General Hospital, Taipei, Taiwan.

Department of Pathology, School of Medicine, National Yang Ming Chiao Tung University, Taipei, Taiwan.

出版信息

Histopathology. 2025 May;86(6):878-890. doi: 10.1111/his.15394. Epub 2024 Dec 17.

Abstract

AIMS

The diagnosis of intranodal thyroid inclusions (ITIs) is controversial. We aim to investigate their clinicopathologic features and utilize immunohistochemistry (IHC) to support the diagnosis.

METHODS AND RESULTS

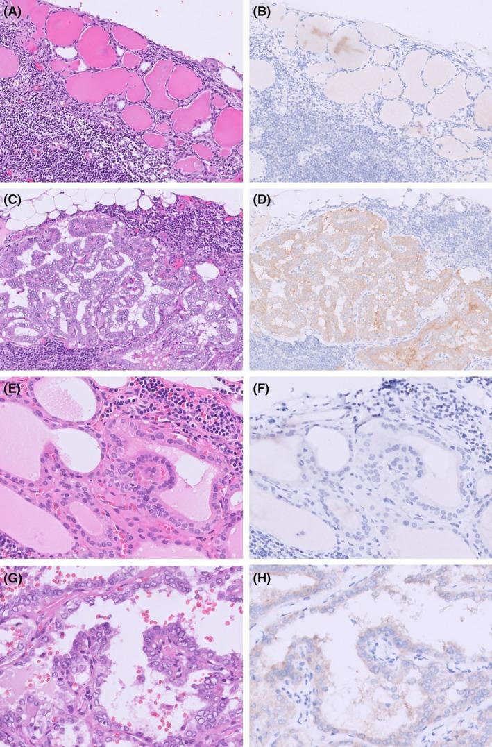
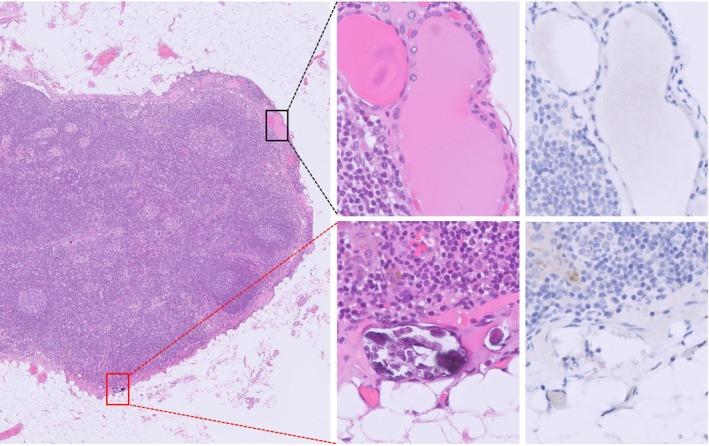
Forty-one cases of incidentally found ITIs between 2019 and 2023 were categorized into three groups, namely, Group A: thyroidectomy due to papillary thyroid carcinoma (PTC) with regional lymph node dissection (n = 33), Group B: thyroidectomy due to benign thyroid disease with incidental perithyroid lymph node sampling (n = 4), and Group C: surgery due to other head and neck cancers with lateral neck lymph node dissection (n = 4). The overall incidence of ITIs was 4.17% (33/792) in Group A and 0.76% (4/524) in Group C. All ITIs sufficient for study were negative for BRAF VE1 IHC. HBME-1 and galectin-3 IHC were also negative in all analysed cases. Although various degrees of nuclear changes were present in ITIs, classical PTC nuclear features, i.e. pseudoinclusions, nuclear grooves, and chromatin alterations, were less commonly seen (0%, 29.3%, and 51.2%, respectively) than in metastatic PTC (90%, 95%, and 95%, respectively) (all P < 0.001). Interestingly, 77.3% (17/22) of cases with lymph node metastasis in Group A had coexistence of ITIs and metastasis in the same lymph node. During follow-up, two cases in Group A had PTC recurrence without accompanying ITIs, while none in Group B or C had recurrent thyroid lesions.

CONCLUSION

We propose key diagnostic features for ITIs incorporating morphology and BRAF VE1, HBME-1, and galectin-3 IHC. The distinction between ITIs and metastatic PTC can be clinically relevant.

摘要

目的

结内甲状腺包涵体(ITIs)的诊断存在争议。我们旨在研究其临床病理特征,并利用免疫组织化学(IHC)来辅助诊断。

方法与结果

2019年至2023年间偶然发现的41例ITIs病例分为三组,即A组:因甲状腺乳头状癌(PTC)行甲状腺切除术并进行区域淋巴结清扫(n = 33);B组:因良性甲状腺疾病行甲状腺切除术并偶然进行甲状腺周围淋巴结采样(n = 4);C组:因其他头颈癌行手术并进行侧颈淋巴结清扫(n = 4)。A组中ITIs的总体发生率为4.17%(33/792),C组为0.76%(4/524)。所有足以进行研究的ITIs病例BRAF VE1免疫组化均为阴性。在所有分析病例中,HBME-1和半乳糖凝集素-3免疫组化也均为阴性。尽管ITIs中存在不同程度的核改变,但与转移性PTC相比,经典的PTC核特征,即假包涵体、核沟和染色质改变,出现的频率较低(分别为0%、29.3%和51.2%),而转移性PTC中这些特征的出现频率分别为90%、95%和95%(所有P < 0.001)。有趣的是,A组中77.3%(17/22)的淋巴结转移病例在同一淋巴结中同时存在ITIs和转移灶。随访期间,A组有2例PTC复发且无ITIs伴随,而B组或C组均无甲状腺病变复发。

结论

我们提出了结合形态学及BRAF VE1免疫组化、HBME-1和半乳糖凝集素-3免疫组化的ITIs关键诊断特征。ITIs与转移性PTC的鉴别在临床上可能具有重要意义。

https://cdn.ncbi.nlm.nih.gov/pmc/blobs/14b0/11964582/3a430ea3f190/HIS-86-878-g003.jpg

文献检索

告别复杂PubMed语法,用中文像聊天一样搜索,搜遍4000万医学文献。AI智能推荐,让科研检索更轻松。

立即免费搜索

文件翻译

保留排版,准确专业,支持PDF/Word/PPT等文件格式,支持 12+语言互译。

免费翻译文档

深度研究

AI帮你快速写综述,25分钟生成高质量综述,智能提取关键信息,辅助科研写作。

立即免费体验