• 文献检索
  • 文档翻译
  • 深度研究
  • 学术资讯
  • Suppr Zotero 插件Zotero 插件
  • 邀请有礼
  • 套餐&价格
  • 历史记录
应用&插件
Suppr Zotero 插件Zotero 插件浏览器插件Mac 客户端Windows 客户端微信小程序
定价
高级版会员购买积分包购买API积分包
服务
文献检索文档翻译深度研究API 文档MCP 服务
关于我们
关于 Suppr公司介绍联系我们用户协议隐私条款
关注我们

Suppr 超能文献

核心技术专利:CN118964589B侵权必究
粤ICP备2023148730 号-1Suppr @ 2026

文献检索

告别复杂PubMed语法,用中文像聊天一样搜索,搜遍4000万医学文献。AI智能推荐,让科研检索更轻松。

立即免费搜索

文件翻译

保留排版,准确专业,支持PDF/Word/PPT等文件格式,支持 12+语言互译。

免费翻译文档

深度研究

AI帮你快速写综述,25分钟生成高质量综述,智能提取关键信息,辅助科研写作。

立即免费体验

腹腔镜肝切除联合射频消融治疗两三个肝细胞癌的术后结果:9例病例系列研究

Postoperative Outcomes of Laparoscopic Hepatic Resection Combined With Radiofrequency Ablation for Two or Three Hepatocellular Carcinomas: A Case Series of Nine Patients.

作者信息

Yamamoto Masahiro, Morishima Kazue, Endo Kazuhiro, Shimodaira Kentaro, Kimura Yuki, Aoki Yuichi, Taguchi Masanobu, Sasanuma Hideki, Sakuma Yasunaru, Watanabe Shunji, Morimoto Naoki, Sata Naohiro

机构信息

Department of Surgery, Division of Gastroenterological, General and Transplant Surgery, Jichi Medical University, Shimotsuke, JPN.

Department of Internal Medicine, Division of Gastroenterology and Hepatology, Jichi Medical University, Shimotsuke, JPN.

出版信息

Cureus. 2024 Nov 17;16(11):e73864. doi: 10.7759/cureus.73864. eCollection 2024 Nov.

DOI:10.7759/cureus.73864
PMID:39691153
原文链接:https://pmc.ncbi.nlm.nih.gov/articles/PMC11651808/
Abstract

INTRODUCTION

Hepatic resection (HR) and radiofrequency ablation (RFA) are curative treatments for three or fewer hepatocellular carcinomas in Japan. The laparoscopic approach in both has been used in recent years; however, its treatment outcome in combination with HR with RFA is unclear. We aimed to gain insights into this combined treatment.

CASE PRESENTATION

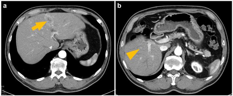
This was a retrospective study of nine patients with two to three hepatocellular carcinomas who had undergone laparoscopic HR combined with laparoscopic RFA between December 2014 and February 2022. Six patients tested positive for hepatitis C virus, two had alcoholic cirrhosis, and one had non-alcoholic steatohepatitis. All patients had a Child-Pugh score of 5 (A). All 22 lesions were treated as planned. Laparoscopic HR was performed on 12 and laparoscopic RFA was performed on 10 lesions. Postoperative hemorrhage occurred in one patient and was managed conservatively. The remaining eight patients were discharged without complications. Recurrence occurred in the residual liver in eight patients. However, no local recurrence at the treatment site was noted during the observation period (15-94 months).

CONCLUSION

The treatment combining laparoscopic HR and RFA was feasible for the local control of two to three HCCs and may be useful for preserving residual liver function.

摘要

引言

在日本,肝切除术(HR)和射频消融术(RFA)是治疗三枚及以下肝细胞癌的根治性疗法。近年来,二者均采用了腹腔镜入路;然而,其与HR联合RFA的治疗效果尚不清楚。我们旨在深入了解这种联合治疗方法。

病例介绍

这是一项对9例患有两至三枚肝细胞癌患者的回顾性研究,这些患者在2014年12月至2022年2月期间接受了腹腔镜HR联合腹腔镜RFA治疗。6例患者丙型肝炎病毒检测呈阳性,2例患有酒精性肝硬化,1例患有非酒精性脂肪性肝炎。所有患者的Child-Pugh评分为5分(A级)。所有22个病灶均按计划进行了治疗。12个病灶接受了腹腔镜HR治疗,10个病灶接受了腹腔镜RFA治疗。1例患者术后发生出血,经保守治疗。其余8例患者无并发症出院。8例患者在残余肝脏中出现复发。然而,在观察期(15 - 94个月)内未发现治疗部位有局部复发。

结论

腹腔镜HR联合RFA治疗对于两至三枚肝癌的局部控制是可行的,并且可能有助于保留残余肝功能。

https://cdn.ncbi.nlm.nih.gov/pmc/blobs/7f11/11651808/43550ca2f54f/cureus-0016-00000073864-i01.jpg
https://cdn.ncbi.nlm.nih.gov/pmc/blobs/7f11/11651808/43550ca2f54f/cureus-0016-00000073864-i01.jpg
https://cdn.ncbi.nlm.nih.gov/pmc/blobs/7f11/11651808/43550ca2f54f/cureus-0016-00000073864-i01.jpg

相似文献

1
Postoperative Outcomes of Laparoscopic Hepatic Resection Combined With Radiofrequency Ablation for Two or Three Hepatocellular Carcinomas: A Case Series of Nine Patients.腹腔镜肝切除联合射频消融治疗两三个肝细胞癌的术后结果:9例病例系列研究
Cureus. 2024 Nov 17;16(11):e73864. doi: 10.7759/cureus.73864. eCollection 2024 Nov.
2
Living donor liver transplantation or hepatic resection combined with intraoperative radiofrequency ablation for Child-Pugh A hepatocellular carcinoma patient with Multifocal Tumours Meeting the University of California San Francisco (UCSF) criteria.活体肝移植或肝切除术联合术中射频消融治疗符合加利福尼亚大学旧金山分校 (UCSF) 标准的多灶性肿瘤 Child-Pugh A 期肝细胞癌患者。
J Cancer Res Clin Oncol. 2021 Feb;147(2):607-618. doi: 10.1007/s00432-020-03364-x. Epub 2020 Aug 27.
3
Hepatic Resection Combined with Intraoperative Radiofrequency Ablation Versus Hepatic Resection Alone for Selected Patients with Moderately Advanced Multifocal Hepatocellular Carcinomas.肝切除术联合术中射频消融与单纯肝切除术治疗选择的中晚期多灶性肝细胞癌患者的比较。
Ann Surg Oncol. 2022 Aug;29(8):5189-5201. doi: 10.1245/s10434-022-11757-0. Epub 2022 Apr 19.
4
The laparoscopic approach for radiofrequency ablation of hepatocellular carcinoma--indication, technique and results.腹腔镜射频消融治疗肝细胞癌的适应证、技术和结果。
Langenbecks Arch Surg. 2013 Jan;398(1):47-53. doi: 10.1007/s00423-012-1018-5. Epub 2012 Oct 24.
5
Surgical resection versus radiofrequency ablation for small hepatocellular carcinomas within the Milan criteria.米兰标准内小肝细胞癌的手术切除与射频消融治疗对比
J Hepatobiliary Pancreat Surg. 2009;16(3):359-66. doi: 10.1007/s00534-009-0069-7. Epub 2009 Mar 20.
6
Laparoscopic liver resection versus radiofrequency ablation for caudate lobe solitary hepatocellular carcinoma: A propensity score matching study.腹腔镜肝切除术与射频消融术治疗尾状叶单发肝细胞癌的比较:一项倾向评分匹配研究。
Cancer Med. 2024 Feb;13(4):e7068. doi: 10.1002/cam4.7068.
7
LI-RADS category is associated with treatment outcomes of small single HCC: surgical resection vs. radiofrequency ablation.LI-RADS 类别与小单发 HCC 的治疗结果相关:手术切除与射频消融。
Eur Radiol. 2024 Jan;34(1):525-537. doi: 10.1007/s00330-023-09998-y. Epub 2023 Aug 1.
8
Cost-effectiveness of hepatic resection versus percutaneous radiofrequency ablation for early hepatocellular carcinoma.肝切除术与经皮射频消融治疗早期肝细胞癌的成本效益比较。
J Hepatol. 2013 Aug;59(2):300-7. doi: 10.1016/j.jhep.2013.04.009. Epub 2013 Apr 18.
9
Radiofrequency (thermal) ablation versus no intervention or other interventions for hepatocellular carcinoma.射频(热)消融术与不干预或其他干预措施治疗肝细胞癌的比较
Cochrane Database Syst Rev. 2013 Dec 19;2013(12):CD003046. doi: 10.1002/14651858.CD003046.pub3.
10
Minimally invasive surgery versus radiofrequency ablation for single subcapsular hepatocellular carcinoma ≤ 2 cm with compensated liver cirrhosis.微创外科手术与射频消融治疗直径≤2cm且肝功能代偿的单发性包膜下肝细胞癌的比较
Surg Endosc. 2020 Dec;34(12):5566-5573. doi: 10.1007/s00464-019-07357-x. Epub 2020 Jan 28.

本文引用的文献

1
A Retrospective Study on Predicting Recurrence of Intermediate-Stage Hepatocellular Carcinoma After Radical Therapy.根治性治疗后中期肝细胞癌复发预测的回顾性研究
J Hepatocell Carcinoma. 2024 Jan 12;11:51-64. doi: 10.2147/JHC.S449441. eCollection 2024.
2
AASLD Practice Guidance on prevention, diagnosis, and treatment of hepatocellular carcinoma.美国肝病研究学会肝细胞癌预防、诊断和治疗实践指南。
Hepatology. 2023 Dec 1;78(6):1922-1965. doi: 10.1097/HEP.0000000000000466. Epub 2023 May 22.
3
Radiofrequency ablation in the treatment of hepatocellular carcinoma.
射频消融治疗肝细胞癌。
Int J Hyperthermia. 2022;39(1):1052-1063. doi: 10.1080/02656736.2022.2059581.
4
BCLC strategy for prognosis prediction and treatment recommendation: The 2022 update.BCLC 策略用于预后预测和治疗推荐:2022 年更新版。
J Hepatol. 2022 Mar;76(3):681-693. doi: 10.1016/j.jhep.2021.11.018. Epub 2021 Nov 19.
5
Management of Hepatocellular Carcinoma in Japan: JSH Consensus Statements and Recommendations 2021 Update.日本肝细胞癌的管理:2021年更新版日本肝脏学会共识声明与建议
Liver Cancer. 2021 Jun;10(3):181-223. doi: 10.1159/000514174. Epub 2021 May 19.
6
Comparison of Hepatic Resection Combined with Intraoperative Radiofrequency Ablation, or Hepatic Resection Alone, for Hepatocellular Carcinoma Patients with Multifocal Tumors Meeting the University of California San Francisco (UCSF) Criteria: A Propensity Score-Matched Analysis.比较符合加利福尼亚大学旧金山分校(UCSF)标准的多灶性肝癌患者行肝切除术联合术中射频消融与单纯肝切除术的疗效:倾向评分匹配分析。
Ann Surg Oncol. 2020 Jul;27(7):2334-2345. doi: 10.1245/s10434-020-08231-0. Epub 2020 Feb 3.
7
Hepatic resection combined with radiofrequency ablation versus hepatic resection alone for multifocal hepatocellular carcinomas: A meta-analysis.肝切除联合射频消融与单纯肝切除治疗多灶性肝细胞癌的Meta分析
J Huazhong Univ Sci Technolog Med Sci. 2017 Dec;37(6):974-980. doi: 10.1007/s11596-017-1836-3. Epub 2017 Dec 21.
8
Hepatectomy, combined with intraoperative radiofrequency ablation in patients with multiple hepatocellular carcinomas.肝切除术联合术中射频消融治疗多发性肝细胞癌患者。
Korean J Hepatobiliary Pancreat Surg. 2015 Aug;19(3):98-102. doi: 10.14701/kjhbps.2015.19.3.98. Epub 2015 Aug 28.
9
Can we expand the indications for laparoscopic liver resection? A systematic review and meta-analysis of laparoscopic liver resection for patients with hepatocellular carcinoma and chronic liver disease.我们能否扩大腹腔镜肝切除术的适应症?一项关于肝细胞癌和慢性肝病患者腹腔镜肝切除术的系统评价和荟萃分析。
J Hepatobiliary Pancreat Sci. 2015 May;22(5):342-52. doi: 10.1002/jhbp.215. Epub 2015 Feb 7.
10
Recent advances in the surgical treatment of hepatocellular carcinoma.肝细胞癌外科治疗的最新进展
World J Gastroenterol. 2014 Oct 21;20(39):14381-92. doi: 10.3748/wjg.v20.i39.14381.