• 文献检索
  • 文档翻译
  • 深度研究
  • 学术资讯
  • Suppr Zotero 插件Zotero 插件
  • 邀请有礼
  • 套餐&价格
  • 历史记录
应用&插件
Suppr Zotero 插件Zotero 插件浏览器插件Mac 客户端Windows 客户端微信小程序
定价
高级版会员购买积分包购买API积分包
服务
文献检索文档翻译深度研究API 文档MCP 服务
关于我们
关于 Suppr公司介绍联系我们用户协议隐私条款
关注我们

Suppr 超能文献

核心技术专利:CN118964589B侵权必究
粤ICP备2023148730 号-1Suppr @ 2026

文献检索

告别复杂PubMed语法,用中文像聊天一样搜索,搜遍4000万医学文献。AI智能推荐,让科研检索更轻松。

立即免费搜索

文件翻译

保留排版,准确专业,支持PDF/Word/PPT等文件格式,支持 12+语言互译。

免费翻译文档

深度研究

AI帮你快速写综述,25分钟生成高质量综述,智能提取关键信息,辅助科研写作。

立即免费体验

经手术切除治疗的尤因肉瘤右心室转移

Right Ventricular Metastasis of Ewing Sarcoma Treated Through Surgical Resection.

作者信息

Yokoyama Toshiki, Kurazumi Hiroshi, Nawata Ryosuke, Matsunaga Kazumasa, Suzuki Ryo, Mikamo Akihito, Hamano Kimikazu

机构信息

Division of Cardiac Surgery, Department of Surgery and Clinical Science, Yamaguchi University Graduate School of Medicine, Ube, Yamaguchi, Japan.

出版信息

JACC Case Rep. 2024 Dec 4;29(23):102654. doi: 10.1016/j.jaccas.2024.102654.

DOI:10.1016/j.jaccas.2024.102654
PMID:39691334
原文链接:https://pmc.ncbi.nlm.nih.gov/articles/PMC11646895/
Abstract

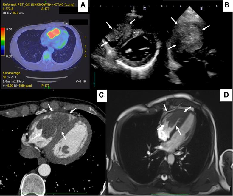
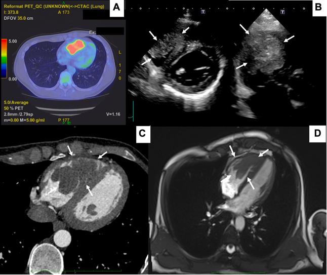
A 27-year-old man diagnosed with right ventricular metastasis of Ewing sarcoma was referred to our institution. We surgically resected the metastatic tumor to prevent sudden death and reconstructed the right ventricle and tricuspid valve. He has survived for 1 year postoperatively without recurrence.

摘要

一名27岁被诊断为尤因肉瘤右心室转移的男性患者被转诊至我院。我们通过手术切除转移瘤以预防猝死,并对右心室和三尖瓣进行了重建。他术后已存活1年,无复发。

https://cdn.ncbi.nlm.nih.gov/pmc/blobs/6b92/11646895/c20124c7515b/gr3.jpg
https://cdn.ncbi.nlm.nih.gov/pmc/blobs/6b92/11646895/c483a6d86f09/ga1.jpg
https://cdn.ncbi.nlm.nih.gov/pmc/blobs/6b92/11646895/fd60b6dd4d17/gr1.jpg
https://cdn.ncbi.nlm.nih.gov/pmc/blobs/6b92/11646895/b7abebac717a/gr2.jpg
https://cdn.ncbi.nlm.nih.gov/pmc/blobs/6b92/11646895/c20124c7515b/gr3.jpg
https://cdn.ncbi.nlm.nih.gov/pmc/blobs/6b92/11646895/c483a6d86f09/ga1.jpg
https://cdn.ncbi.nlm.nih.gov/pmc/blobs/6b92/11646895/fd60b6dd4d17/gr1.jpg
https://cdn.ncbi.nlm.nih.gov/pmc/blobs/6b92/11646895/b7abebac717a/gr2.jpg
https://cdn.ncbi.nlm.nih.gov/pmc/blobs/6b92/11646895/c20124c7515b/gr3.jpg

相似文献

1
Right Ventricular Metastasis of Ewing Sarcoma Treated Through Surgical Resection.经手术切除治疗的尤因肉瘤右心室转移
JACC Case Rep. 2024 Dec 4;29(23):102654. doi: 10.1016/j.jaccas.2024.102654.
2
Surgical approaches for double-outlet right ventricle or transposition of the great arteries associated with straddling atrioventricular valves.右心室双出口或大动脉转位合并骑跨房室瓣的手术入路
J Thorac Cardiovasc Surg. 1996 Mar;111(3):527-35. doi: 10.1016/s0022-5223(96)70304-5.
3
Ewing Sarcoma in the Right Ventricle.右心室尤文肉瘤
Tex Heart Inst J. 2016 Oct 1;43(5):458-460. doi: 10.14503/THIJ-15-5330. eCollection 2016 Oct.
4
Suspension of straddling tricuspid valve chordae into the appropriate ventricle.将横跨三尖瓣腱索悬吊至合适的心室。
Ann Thorac Surg. 1998 Mar;65(3):850-2. doi: 10.1016/s0003-4975(97)01331-3.
5
Right ventricular papillary muscle approximation to the septum as an adjunct technique during tricuspid valve repair in congenital heart surgery.右心室乳头肌向间隔靠拢作为先天性心脏手术中三尖瓣修复的辅助技术。
J Thorac Cardiovasc Surg. 2024 May;167(5):1547-1555.e1. doi: 10.1016/j.jtcvs.2023.09.026. Epub 2023 Sep 16.
6
One-and-a-half ventricular repair for isolated right ventricle metastatic tumor resection after lobectomy for lung cancer.
Innovations (Phila). 2014 Jul-Aug;9(4):330-3. doi: 10.1097/IMI.0000000000000077.
7
A case of double-chambered right ventricle due to cap-like fibrous tissue and aberrant chordal insertion of tricuspid valve in adult.成人右心室双腔畸形伴三尖瓣隔瓣样纤维组织及异常腱索附着
J Card Surg. 2022 Apr;37(4):1042-1043. doi: 10.1111/jocs.16249. Epub 2022 Jan 20.
8
Resection of primary cardiac angiosarcoma infiltrating the right atrioventricular junction and tricuspid valve: a case report.原发性心脏血管肉瘤侵犯右房室交界和三尖瓣的切除术:一例报告。
J Cardiothorac Surg. 2021 Mar 21;16(1):41. doi: 10.1186/s13019-021-01426-w.
9
[A surgical technique of tricuspid valve repair for infective endocarditis using an autologous pericardium].[一种使用自体心包修复感染性心内膜炎三尖瓣的手术技术]
Kyobu Geka. 2012 Apr;65(4):301-5.
10
Unusual presentation of testicular rhabdomyosarcoma metastases to the right ventricle papillary muscle and tricuspid valve.睾丸横纹肌肉瘤转移至右心室乳头肌和三尖瓣的罕见表现。
Radiol Case Rep. 2020 Jul 6;15(9):1562-1565. doi: 10.1016/j.radcr.2020.05.075. eCollection 2020 Sep.

本文引用的文献

1
Ewing Sarcoma in the Right Ventricle.右心室尤文肉瘤
Tex Heart Inst J. 2016 Oct 1;43(5):458-460. doi: 10.14503/THIJ-15-5330. eCollection 2016 Oct.
2
Metastatic Ewing's Sarcoma to the Right Ventricle.转移性尤因肉瘤累及右心室。
Images Paediatr Cardiol. 2011 Apr;13(2):4-7.
3
Ewing's sarcoma.尤因氏肉瘤。
Lancet Oncol. 2010 Feb;11(2):184-92. doi: 10.1016/S1470-2045(09)70286-4.
4
Analysis of prognostic factors in ewing sarcoma family of tumors: review of St. Jude Children's Research Hospital studies.尤因肉瘤家族性肿瘤的预后因素分析:圣裘德儿童研究医院研究综述
Cancer. 2007 Jul 15;110(2):375-84. doi: 10.1002/cncr.22821.
5
Primary Ewing sarcoma invading the heart: resection and reconstruction.原发性尤因肉瘤侵犯心脏:切除与重建
J Thorac Cardiovasc Surg. 2007 Jun;133(6):1667-9. doi: 10.1016/j.jtcvs.2007.02.003.
6
Surgical resection for isolated cardiac metastases.
Arch Surg. 1983 Jan;118(1):117-20. doi: 10.1001/archsurg.1983.01390010087020.