Suppr超能文献

猪增生性出血性肠炎:一次疫情及文献综述

Proliferative hemorrhagic enteropathy in swine: an outbreak and review of the literature.

作者信息

Yates W D, Clark E G, Osborne A D, Enweani C C, Radostits O M, Theede A

出版信息

Can Vet J. 1979 Oct;20(10):261-8.

Abstract

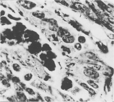
An account is given of an acute outbreak of hemorrhagic enteric disease in 34 young adult boars of primarily Yorkshire breeding at a performance testing station in Western Canada. Two of the boars died. A diagnosis of proliferative hemorrhagic enteropathy was made on the basis of clinical signs, gross necropsy and histopathological lesions. Campylobacter-like bacteria were seen in the apical cytoplasm of epithelial cells of the ileal mucosa by Warthin-Faulkner stain on histological sections, but were not isolated on culture. Treatment with several drugs simultaneously was associated with termination of the outbreak, but the therapeutic effect was not controlled by leaving some animals untreated. Reported sequelae, such as porcine intestinal adenomatosis, were not present at necropsy or slaughter of pigs surviving the outbreak, but all were killed no longer than two months after the first case was observed. This outbreak is discussed in the context of previously reported hemorrhagic enteric conditions of pigs.

摘要

本文报道了加拿大西部一个性能测试站发生的一起急性出血性肠道疾病疫情,涉及34头主要为约克夏品种的成年公猪。其中两头公猪死亡。根据临床症状、大体尸检和组织病理学病变,诊断为增生性出血性肠炎。组织学切片经Warthin-Faulkner染色后,在回肠黏膜上皮细胞的顶端细胞质中发现了弯曲菌样细菌,但在培养中未分离到。同时使用几种药物进行治疗与疫情的终止有关,但未对部分动物不进行治疗以控制治疗效果。在疫情中存活下来的猪在尸检或屠宰时未出现如猪肠道腺瘤病等报道的后遗症,但在观察到首例病例后不超过两个月,所有猪均被宰杀。本文结合先前报道的猪出血性肠道疾病情况对此次疫情进行了讨论。

https://cdn.ncbi.nlm.nih.gov/pmc/blobs/7d37/1789606/4e03736fcbf9/canvetj00323-0020-a.jpg

相似文献

2
Proliferative haemorrhagic enteropathy in pigs.
Vet Rec. 1977 Jan 22;100(4):65-8. doi: 10.1136/vr.100.4.65.
3
[Porcine proliferative enteropathy in feeders and breeder sows].
Tierarztl Prax Ausg G Grosstiere Nutztiere. 1997 Aug;25(5):424-8.
4
Specific in situ hybridization of the intracellular organism of porcine proliferative enteropathy.
Vet Pathol. 1994 Jul;31(4):462-7. doi: 10.1177/030098589403100409.
5
[Hemorrhagic enteropathies in fattening swine].
Berl Munch Tierarztl Wochenschr. 1993 Jul;106(7):235-41.
6
Pathology of proliferative haemorrhagic enteropathy in pigs.
Vet Pathol. 1979 Jan;16(1):41-8. doi: 10.1177/030098587901600104.
7
Proliferative haemorrhagic enteropathy.
Res Vet Sci. 1979 Jul;27(1):46-51.
8
Isolation of Campylobacter sputorum ssp. mucosalis from proliferative hemorrhagic enteropathy in pig.
Nihon Juigaku Zasshi. 1982 Aug;44(4):687-9. doi: 10.1292/jvms1939.44.687.
10
Experimental reproduction of porcine proliferative enteritis.
J Comp Pathol. 1992 Feb;106(2):159-67. doi: 10.1016/0021-9975(92)90045-v.

引用本文的文献

本文引用的文献

2
Intestinal haemorrhage syndrome.
Vet Rec. 1971 Jul 10;89(2):55-6. doi: 10.1136/vr.89.2.55.
3
A haemorrhagic bowel syndrome in pigs.
Vet Rec. 1971 Jan 2;88(1):27-8. doi: 10.1136/vr.88.1.27.
5
Intestinal adenomatosis in the pig: occurrence of a bacterium in affected cells.
Nature. 1973 Jun 15;243(5407):417. doi: 10.1038/243417a0.
6
On the pathology of regional iteitis in the pig.
Nord Vet Med. 1972 Mar;24(3):132-8.
9
Haemorrhagic Bowel Syndrome in pigs in Taiwan.
Vet Rec. 1973 Nov 24;93(21):562-3. doi: 10.1136/vr.93.21.562.
10
Intestinal haemorrhage syndrome in the pig.
Vet Rec. 1973 Oct 6;93(14):402-4. doi: 10.1136/vr.93.14.402-a.

文献AI研究员

20分钟写一篇综述,助力文献阅读效率提升50倍。

立即体验

用中文搜PubMed

大模型驱动的PubMed中文搜索引擎

马上搜索

文档翻译

学术文献翻译模型,支持多种主流文档格式。

立即体验