• 文献检索
  • 文档翻译
  • 深度研究
  • 学术资讯
  • Suppr Zotero 插件Zotero 插件
  • 邀请有礼
  • 套餐&价格
  • 历史记录
应用&插件
Suppr Zotero 插件Zotero 插件浏览器插件Mac 客户端Windows 客户端微信小程序
定价
高级版会员购买积分包购买API积分包
服务
文献检索文档翻译深度研究API 文档MCP 服务
关于我们
关于 Suppr公司介绍联系我们用户协议隐私条款
关注我们

Suppr 超能文献

核心技术专利:CN118964589B侵权必究
粤ICP备2023148730 号-1Suppr @ 2026

文献检索

告别复杂PubMed语法,用中文像聊天一样搜索,搜遍4000万医学文献。AI智能推荐,让科研检索更轻松。

立即免费搜索

文件翻译

保留排版,准确专业,支持PDF/Word/PPT等文件格式,支持 12+语言互译。

免费翻译文档

深度研究

AI帮你快速写综述,25分钟生成高质量综述,智能提取关键信息,辅助科研写作。

立即免费体验

新辅助-辅助联合免疫疗法与腹会阴联合切除术治疗原发性肛管直肠黑色素瘤:一例报告

Combined Neoadjuvant-Adjuvant Immunotherapy and Abdominoperineal Resection for a Primary Anorectal Melanoma: A Case Report.

作者信息

Papanikolaou Georgios E, Tsimogiannis Konstantinos, Kampletsas Eleftherios, Chatzoglou Theocharis, Varvarousis Dimitrios N

机构信息

Department of Plastic Surgery, Metropolitan General Hospital, Athens, GRC.

Department of Medicine, University of Ioannina, Ioannina, GRC.

出版信息

Cureus. 2024 Nov 18;16(11):e73931. doi: 10.7759/cureus.73931. eCollection 2024 Nov.

DOI:10.7759/cureus.73931
PMID:39697934
原文链接:https://pmc.ncbi.nlm.nih.gov/articles/PMC11655081/
Abstract

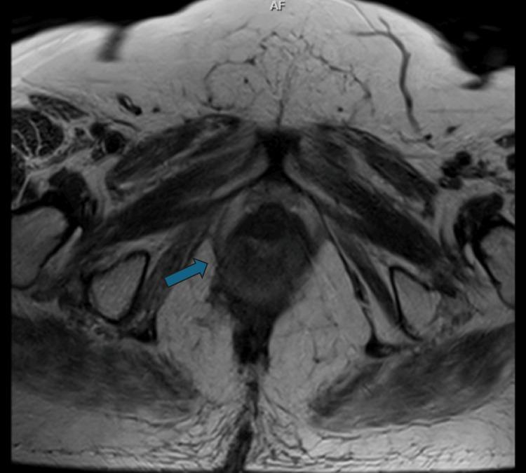
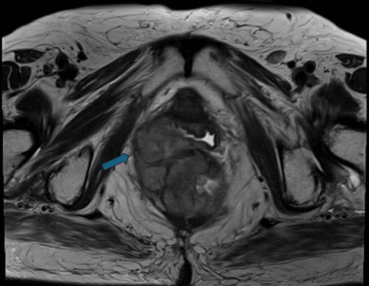
Anorectal melanoma (ARM) is a rare entity with aggressive biological behavior and poor prognosis. Clinically, ARM presents with atypical symptoms, such as anal pain and bleeding, thus often being misdiagnosed as a benign anorectal pathology and leading to delayed diagnosis. We present a case of a 73-year-old female patient with stage I ARM, treated successfully with a combination of neoadjuvant-adjuvant immunotherapy (nivolumab, an anti-PD-1 monoclonal antibody) and abdominoperineal resection. The patient is disease-free at a five-year follow-up after the operation, suggesting that long-term targeted immunotherapy offers a durable and promising response. This case highlights the critical role of a multidisciplinary approach, involving specialists in ARM surgery and systemic therapies, to improve prognosis and ensure an optimal quality of life for patients with ARM. Given the limited scientific evidence, further prospective and randomized trials are required to develop effective systemic therapies and improve the survival of patients with ARM.

摘要

肛管黑色素瘤(ARM)是一种罕见的疾病,具有侵袭性生物学行为且预后较差。临床上,ARM表现为非典型症状,如肛门疼痛和出血,因此常被误诊为良性肛管病变,导致诊断延迟。我们报告一例73岁I期ARM女性患者,通过新辅助-辅助免疫治疗(纳武单抗,一种抗PD-1单克隆抗体)联合腹会阴切除术成功治疗。术后五年随访时患者无疾病,表明长期靶向免疫治疗可提供持久且有前景的反应。该病例突出了多学科方法的关键作用,包括ARM手术和全身治疗专家,以改善预后并确保ARM患者的最佳生活质量。鉴于科学证据有限,需要进一步进行前瞻性和随机试验,以开发有效的全身治疗方法并提高ARM患者的生存率。

https://cdn.ncbi.nlm.nih.gov/pmc/blobs/9f07/11655081/76a5169e6aa1/cureus-0016-00000073931-i03.jpg
https://cdn.ncbi.nlm.nih.gov/pmc/blobs/9f07/11655081/adbe3e116343/cureus-0016-00000073931-i01.jpg
https://cdn.ncbi.nlm.nih.gov/pmc/blobs/9f07/11655081/2a90477416c2/cureus-0016-00000073931-i02.jpg
https://cdn.ncbi.nlm.nih.gov/pmc/blobs/9f07/11655081/76a5169e6aa1/cureus-0016-00000073931-i03.jpg
https://cdn.ncbi.nlm.nih.gov/pmc/blobs/9f07/11655081/adbe3e116343/cureus-0016-00000073931-i01.jpg
https://cdn.ncbi.nlm.nih.gov/pmc/blobs/9f07/11655081/2a90477416c2/cureus-0016-00000073931-i02.jpg
https://cdn.ncbi.nlm.nih.gov/pmc/blobs/9f07/11655081/76a5169e6aa1/cureus-0016-00000073931-i03.jpg

相似文献

1
Combined Neoadjuvant-Adjuvant Immunotherapy and Abdominoperineal Resection for a Primary Anorectal Melanoma: A Case Report.新辅助-辅助联合免疫疗法与腹会阴联合切除术治疗原发性肛管直肠黑色素瘤:一例报告
Cureus. 2024 Nov 18;16(11):e73931. doi: 10.7759/cureus.73931. eCollection 2024 Nov.
2
Neoadjuvant treatment for stage III and IV cutaneous melanoma.新辅助治疗 III 期和 IV 期皮肤黑色素瘤。
Cochrane Database Syst Rev. 2023 Jan 17;1(1):CD012974. doi: 10.1002/14651858.CD012974.pub2.
3
Anorectal melanoma: experience from a tertiary cancer care centre in South India.肛管直肠黑色素瘤:来自印度南部一家三级癌症护理中心的经验
Ann R Coll Surg Engl. 2018 Mar;100(3):185-189. doi: 10.1308/rcsann.2017.0184. Epub 2017 Oct 19.
4
Anorectal melanoma: Report of two cases.肛管直肠黑色素瘤:两例报告。
Int J Surg Case Rep. 2025 Jan;126:110621. doi: 10.1016/j.ijscr.2024.110621. Epub 2024 Nov 19.
5
Anorectal mucosal melanoma.肛管直肠黏膜黑色素瘤
Semin Colon Rectal Surg. 2023 Dec;34(4). doi: 10.1016/j.scrs.2023.100990. Epub 2023 Oct 17.
6
Approaches to Surgical Management of Anorectal Melanoma in the Pre- and Post-Immunotherapy Eras.免疫治疗时代前后肛管黑色素瘤的外科治疗方法
Dis Colon Rectum. 2025 Jun 1;68(6):746-752. doi: 10.1097/DCR.0000000000003690. Epub 2025 Mar 4.
7
Case report: Durable complete response of a mucosal melanoma of the rectum after neoadjuvant immunotherapy with ipilimumab plus nivolumab.病例报告:伊匹单抗联合纳武利尤单抗新辅助免疫治疗直肠黏膜黑色素瘤后获得持久完全缓解。
Front Immunol. 2024 May 14;15:1369190. doi: 10.3389/fimmu.2024.1369190. eCollection 2024.
8
A Rare Case of Primary Anorectal Melanoma and a Review of the Current Landscape of Therapy.原发性肛管黑色素瘤1例罕见病例及当前治疗现状综述
J Community Hosp Intern Med Perspect. 2020 Aug 2;10(4):371-376. doi: 10.1080/20009666.2020.1787809.
9
Long term survival following cryoablation with adjuvant Toripalimab for anorectal malignant melanoma: a case report.冷冻消融联合辅助托瑞帕利单抗治疗肛管直肠恶性黑色素瘤后的长期生存:一例报告
Front Oncol. 2025 Jan 24;15:1465645. doi: 10.3389/fonc.2025.1465645. eCollection 2025.
10
Post-Immunotherapy Robotic-Assisted Resection for Primary Anorectal Melanoma: A Case Report.免疫治疗后机器人辅助切除原发性肛管黑色素瘤:一例报告
Case Rep Oncol. 2022 Feb 7;15(1):56-61. doi: 10.1159/000520858. eCollection 2022 Jan-Apr.

本文引用的文献

1
Anorectal mucosal melanoma.肛管直肠黏膜黑色素瘤
Semin Colon Rectal Surg. 2023 Dec;34(4). doi: 10.1016/j.scrs.2023.100990. Epub 2023 Oct 17.
2
Surgical Management of Primary Anorectal Melanoma: Is Less More?原发性肛门直肠黑色素瘤的外科治疗:少即是多?
J Gastrointest Cancer. 2024 Jun;55(2):714-722. doi: 10.1007/s12029-023-01009-z. Epub 2024 Jan 5.
3
Neoadjuvant-Adjuvant or Adjuvant-Only Pembrolizumab in Advanced Melanoma.新辅助-辅助或仅辅助派姆单抗治疗晚期黑色素瘤。
N Engl J Med. 2023 Mar 2;388(9):813-823. doi: 10.1056/NEJMoa2211437.
4
Optimal surgical management strategy for treatment of primary anorectal malignant melanoma-a systematic review and meta-analysis.原发肛管直肠恶性黑色素瘤的最佳手术治疗策略:系统评价和荟萃分析。
Langenbecks Arch Surg. 2022 Dec;407(8):3193-3200. doi: 10.1007/s00423-022-02715-1. Epub 2022 Nov 4.
5
Neoadjuvant checkpoint inhibitor immunotherapy for resectable mucosal melanoma.可切除黏膜黑色素瘤的新辅助检查点抑制剂免疫疗法
Front Oncol. 2022 Oct 17;12:1001150. doi: 10.3389/fonc.2022.1001150. eCollection 2022.
6
Effect of surgical treatment for anorectal melanoma: a propensity score-matched analysis of the Surveillance, Epidemiology, and End Results programme data.肛门直肠黑色素瘤手术治疗效果的倾向评分匹配分析:监测、流行病学和最终结果计划数据。
BMJ Open. 2022 Apr 21;12(4):e053339. doi: 10.1136/bmjopen-2021-053339.
7
Treatment outcomes and prognostic factors in 47 patients with primary anorectal malignant melanoma in the immune therapy era.免疫治疗时代 47 例原发性肛门直肠恶性黑色素瘤患者的治疗结果和预后因素。
J Cancer Res Clin Oncol. 2023 Feb;149(2):749-755. doi: 10.1007/s00432-022-03933-2. Epub 2022 Feb 3.
8
Surgical treatment of anorectal melanoma: a systematic review and meta-analysis.肛门直肠黑色素瘤的外科治疗:系统评价和荟萃分析。
BJS Open. 2021 Nov 9;5(6). doi: 10.1093/bjsopen/zrab107.
9
Less is more: A systematic review and meta-analysis of the outcomes of radical versus conservative primary resection in anorectal melanoma.少即是多:根治性与保守性原发切除术治疗肛门直肠黑色素瘤结局的系统评价和荟萃分析。
Eur J Cancer. 2020 Aug;135:113-120. doi: 10.1016/j.ejca.2020.04.041. Epub 2020 Jun 18.
10
Treatment Strategies and Survival Trends for Anorectal Melanoma: Is it Time for a Change?肛门直肠黑色素瘤的治疗策略和生存趋势:是时候改变了吗?
World J Surg. 2019 Jul;43(7):1809-1819. doi: 10.1007/s00268-019-04960-w.