• 文献检索
  • 文档翻译
  • 深度研究
  • 学术资讯
  • Suppr Zotero 插件Zotero 插件
  • 邀请有礼
  • 套餐&价格
  • 历史记录
应用&插件
Suppr Zotero 插件Zotero 插件浏览器插件Mac 客户端Windows 客户端微信小程序
定价
高级版会员购买积分包购买API积分包
服务
文献检索文档翻译深度研究API 文档MCP 服务
关于我们
关于 Suppr公司介绍联系我们用户协议隐私条款
关注我们

Suppr 超能文献

核心技术专利:CN118964589B侵权必究
粤ICP备2023148730 号-1Suppr @ 2026

文献检索

告别复杂PubMed语法,用中文像聊天一样搜索,搜遍4000万医学文献。AI智能推荐,让科研检索更轻松。

立即免费搜索

文件翻译

保留排版,准确专业,支持PDF/Word/PPT等文件格式,支持 12+语言互译。

免费翻译文档

深度研究

AI帮你快速写综述,25分钟生成高质量综述,智能提取关键信息,辅助科研写作。

立即免费体验

钆塞酸二钠(Gd-EOB-DTPA)增强简化磁共振成像(MRI)用于高危患者肝细胞癌监测:一项中国多中心研究

Gadoxetic acid disodium (Gd-EOB-DTPA) contrast-enhanced abbreviated magnetic resonance imaging (MRI) for hepatocellular carcinoma surveillance in at-risk patients: a multi-center study in China.

作者信息

He Xu, Li Yalin, Han Dingsheng, Zhou Yanru, Zhang Jiacheng, Xu Qian, Shi Fukun, Liu Peng, Hu Hongtao, Zhang Lan

机构信息

Department of Magnetic Resonance Imaging, the First Affiliated Hospital of Henan University of Chinese Medicine, Zhengzhou, China.

Henan University of Chinese Medicine, Zhengzhou, China.

出版信息

Quant Imaging Med Surg. 2024 Dec 5;14(12):8520-8537. doi: 10.21037/qims-24-941. Epub 2024 Oct 24.

DOI:10.21037/qims-24-941
PMID:39698720
原文链接:https://pmc.ncbi.nlm.nih.gov/articles/PMC11651963/
Abstract

BACKGROUND

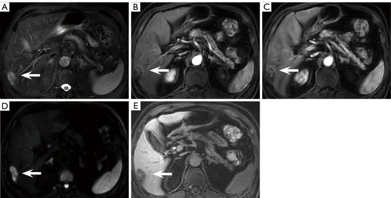
Given the limited capacity and suboptimal sensitivity of ultrasonography (US), gadoxetic acid disodium (Gd-EOB-DTPA)-enhanced magnetic resonance imaging (MRI) demonstrates good diagnostic performance for hepatocellular carcinoma (HCC). Some researchers have proposed that the abbreviated MRI (AMRI) protocols have potential as a surveillance tool. However, few studies have compared multiple AMRI protocols with complete Gd-EOB-DTPA contrast-enhanced MRI for HCC surveillance. We aimed to explore and compare the diagnostic performance of 3 AMRI protocols as HCC surveillance in high-risk patients.

METHODS

This multi-center, retrospective, blinded reader study conducted in China consecutively enrolled 339 patients with hepatitis and/or cirrhosis who underwent complete Gd-EOB-DTPA contrast-enhanced MRI for HCC surveillance from 2020 to 2023. We extracted 3 additional AMRI protocols: noncontrast-AMRI [NC-AMRI: T2-weighted imaging (T2WI) and diffusion-weighted imaging (DWI)]; dynamic-AMRI (Dyn-AMRI: early and late arterial phases, portal venous phase, and DWI); and hepatobiliary phase-AMRI (HBP-AMRI: T2WI, DWI, and HBP). Then, 2 independent radiologists assessed the AMRI and complete Gd-EOB-DTPA contrast-enhanced MRI protocols. Patients were classified as HCC positive/HCC negative based on the reference standard. Agreement was assessed using Kappa statistics. The acquisition time differences of the 4 MRI protocols were analyzed by analysis of variance (ANOVA). Per-lesion HCC diagnostic performances were compared by Cochran's Q test. Receiver operating characteristic (ROC) curves for the 3 AMRI protocols were evaluated, and the area under the ROC curve (AUROC) was calculated and compared by DeLong's test.

RESULTS

A total of 353 lesions were detected in the 339 included patients, and 21/339 patients were diagnosed with HCC (prevalence, 6.2%). The inter-observer agreement was good for all 4 MRI protocols (k>0.75). Acquisition times differed significantly (P<0.001), from the shortest to the longest: NC-AMRI (263.44±5.05 s) < HBP-AMRI (269.18±4.93 s) < Dyn-AMRI (307.71±4.93 s) < complete Gd-EOB-DTPA contrast-enhanced MRI (582.03±3.59 s). The sensitivity (Cochran's Q=14.667, P=0.002) and specificity (Cochran's Q=59.682, P<0.001) of 4 MRI protocols were statistically significant. HBP-AMRI showed the highest sensitivity (84.00%), whereas Dyn-AMRI exhibited the highest specificity (99.39%) among 3 AMRI protocols. The per-lesion positive predictive value (PPV) for the NC-AMRI, Dyn-AMRI, and HBP-AMRI was 41.66%, 88.89%, and 47.72%, the corresponding negative predictive value (NPV) was 96.21%, 97.31%, and 98.70%, and the number needed to diagnose (NND) for the NC-AMRI, Dyn-AMRI, HBP-AMRI, and complete Gd-EOB-DTPA contrast-enhanced MRI was: 1.865, 1.577, 1.234, and 1.569, respectively. DeLong's test showed the AUROC value of either Dyn-AMRI or HBP-AMRI was significantly higher than that of NC-AMRI (Z=2.330, P=0.019; Z=2.680, P=0.007, respectively), but no significant difference between HBP-AMRI and Dyn-AMRI (Z=1.643, P=0.100).

CONCLUSIONS

AMRI protocols can be implemented in clinical practice as a patient-centered and tailored regimen for HCC surveillance in China. NC-AMRI might become an optional tool due to its minimal scanning time, lower cost, and exemption from contrast agents. Dyn-AMRI, achieving the highest specificity, is a reliable surveillance strategy. HBP-AMRI as a favorable alternative showed a high sensitivity and NPV while maintaining considerable specificity and NND.

摘要

背景

鉴于超声检查(US)的能力有限且敏感性欠佳,钆塞酸二钠(Gd-EOB-DTPA)增强磁共振成像(MRI)对肝细胞癌(HCC)具有良好的诊断性能。一些研究人员提出,简化MRI(AMRI)方案有作为监测工具的潜力。然而,很少有研究将多种AMRI方案与完整的Gd-EOB-DTPA对比增强MRI用于HCC监测进行比较。我们旨在探索和比较3种AMRI方案作为高危患者HCC监测的诊断性能。

方法

这项在中国进行的多中心、回顾性、盲法阅片研究连续纳入了339例患有肝炎和/或肝硬化的患者,这些患者在2020年至2023年期间接受了完整的Gd-EOB-DTPA对比增强MRI以进行HCC监测。我们提取了另外3种AMRI方案:非增强AMRI [NC-AMRI:T2加权成像(T2WI)和扩散加权成像(DWI)];动态AMRI(Dyn-AMRI:动脉早期和晚期、门静脉期以及DWI);以及肝胆期AMRI(HBP-AMRI:T2WI、DWI和HBP)。然后,2名独立的放射科医生评估了AMRI和完整的Gd-EOB-DTPA对比增强MRI方案。根据参考标准将患者分类为HCC阳性/HCC阴性。使用Kappa统计量评估一致性。通过方差分析(ANOVA)分析4种MRI方案的采集时间差异。通过Cochran's Q检验比较各病变的HCC诊断性能。评估3种AMRI方案的受试者操作特征(ROC)曲线,并通过DeLong检验计算和比较ROC曲线下面积(AUROC)。

结果

在纳入的339例患者中共检测到353个病变,21/339例患者被诊断为HCC(患病率为6.2%)。4种MRI方案的观察者间一致性均良好(k>0.75)。采集时间差异有统计学意义(P<0.001),从最短到最长依次为:NC-AMRI(263.44±5.05秒)<HBP-AMRI(269.18±4.93秒)<Dyn-AMRI(307.71±4.93秒)<完整的Gd-EOB-DTPA对比增强MRI(582.03±3.59秒)。4种MRI方案的敏感性(Cochran's Q=14.667,P=0.002)和特异性(Cochran's Q=59.682,P<0.001)有统计学意义。在3种AMRI方案中,HBP-AMRI显示出最高的敏感性(84.00%),而Dyn-AMRI表现出最高的特异性(99.39%)。NC-AMRI、Dyn-AMRI和HBP-AMRI的各病变阳性预测值(PPV)分别为41.66%、88.89%和47.72%,相应的阴性预测值(NPV)分别为96.21%、97.31%和98.70%,NC-AMRI、Dyn-AMRI、HBP-AMRI和完整的Gd-EOB-DTPA对比增强MRI的诊断所需例数(NND)分别为:1.865、1.577、1.234和1.569。DeLong检验显示,Dyn-AMRI或HBP-AMRI的AUROC值均显著高于NC-AMRI(Z=2.330,P=0.019;Z=2.680,P=0.007),但HBP-AMRI和Dyn-AMRI之间无显著差异(Z=1.643,P=0.100)。

结论

AMRI方案可在中国作为以患者为中心的定制方案用于临床实践中的HCC监测。NC-AMRI因其扫描时间最短、成本较低且无需使用造影剂,可能成为一种可选工具。Dyn-AMRI具有最高的特异性,是一种可靠的监测策略。HBP-AMRI作为一种有利的替代方案,在保持相当特异性和NND的同时,显示出高敏感性和NPV。

https://cdn.ncbi.nlm.nih.gov/pmc/blobs/0660/11651963/ecf770ae96ac/qims-14-12-8520-f8.jpg
https://cdn.ncbi.nlm.nih.gov/pmc/blobs/0660/11651963/3f117eb98e61/qims-14-12-8520-f1.jpg
https://cdn.ncbi.nlm.nih.gov/pmc/blobs/0660/11651963/2f9a5eee64ae/qims-14-12-8520-f2.jpg
https://cdn.ncbi.nlm.nih.gov/pmc/blobs/0660/11651963/e8b12059930f/qims-14-12-8520-f3.jpg
https://cdn.ncbi.nlm.nih.gov/pmc/blobs/0660/11651963/c056f75f99c0/qims-14-12-8520-f4.jpg
https://cdn.ncbi.nlm.nih.gov/pmc/blobs/0660/11651963/83a3dd533feb/qims-14-12-8520-f5.jpg
https://cdn.ncbi.nlm.nih.gov/pmc/blobs/0660/11651963/90aac767849f/qims-14-12-8520-f6.jpg
https://cdn.ncbi.nlm.nih.gov/pmc/blobs/0660/11651963/4622091161c1/qims-14-12-8520-f7.jpg
https://cdn.ncbi.nlm.nih.gov/pmc/blobs/0660/11651963/ecf770ae96ac/qims-14-12-8520-f8.jpg
https://cdn.ncbi.nlm.nih.gov/pmc/blobs/0660/11651963/3f117eb98e61/qims-14-12-8520-f1.jpg
https://cdn.ncbi.nlm.nih.gov/pmc/blobs/0660/11651963/2f9a5eee64ae/qims-14-12-8520-f2.jpg
https://cdn.ncbi.nlm.nih.gov/pmc/blobs/0660/11651963/e8b12059930f/qims-14-12-8520-f3.jpg
https://cdn.ncbi.nlm.nih.gov/pmc/blobs/0660/11651963/c056f75f99c0/qims-14-12-8520-f4.jpg
https://cdn.ncbi.nlm.nih.gov/pmc/blobs/0660/11651963/83a3dd533feb/qims-14-12-8520-f5.jpg
https://cdn.ncbi.nlm.nih.gov/pmc/blobs/0660/11651963/90aac767849f/qims-14-12-8520-f6.jpg
https://cdn.ncbi.nlm.nih.gov/pmc/blobs/0660/11651963/4622091161c1/qims-14-12-8520-f7.jpg
https://cdn.ncbi.nlm.nih.gov/pmc/blobs/0660/11651963/ecf770ae96ac/qims-14-12-8520-f8.jpg

相似文献

1
Gadoxetic acid disodium (Gd-EOB-DTPA) contrast-enhanced abbreviated magnetic resonance imaging (MRI) for hepatocellular carcinoma surveillance in at-risk patients: a multi-center study in China.钆塞酸二钠(Gd-EOB-DTPA)增强简化磁共振成像(MRI)用于高危患者肝细胞癌监测:一项中国多中心研究
Quant Imaging Med Surg. 2024 Dec 5;14(12):8520-8537. doi: 10.21037/qims-24-941. Epub 2024 Oct 24.
2
Gadoxetate-enhanced abbreviated MRI is highly accurate for hepatocellular carcinoma screening.钆塞酸增强简化 MRI 对肝细胞癌筛查具有高度准确性。
Eur Radiol. 2020 Nov;30(11):6003-6013. doi: 10.1007/s00330-020-07014-1. Epub 2020 Jun 25.
3
The combination of non-contrast abbreviated MRI and alpha foetoprotein has high performance for hepatocellular carcinoma screening.非对比性缩短磁共振成像与甲胎蛋白联合检测对肝细胞癌筛查具有较高的性能。
Eur Radiol. 2023 Oct;33(10):6929-6938. doi: 10.1007/s00330-023-09906-4. Epub 2023 Jul 18.
4
Comparison of noncontrast, dynamic, and hepatobiliary phase abbreviated MRI protocols for detection of hepatic malignancies.对比非增强、动态和肝胆期缩短 MRI 方案在肝恶性肿瘤检测中的应用。
Clin Imaging. 2023 Sep;101:206-214. doi: 10.1016/j.clinimag.2023.05.018. Epub 2023 Jun 12.
5
Abbreviated MRI for Secondary Surveillance of Recurrent Hepatocellular Carcinoma After Presumed Curative Treatment.简化磁共振成像用于根治性治疗后复发性肝细胞癌的二次监测
J Magn Reson Imaging. 2023 Nov;58(5):1375-1383. doi: 10.1002/jmri.28665. Epub 2023 Feb 24.
6
Performance of adding hepatobiliary phase image in magnetic resonance imaging for detection of hepatocellular carcinoma: a meta-analysis.添加肝胆期图像对磁共振成像检测肝细胞癌的性能:一项荟萃分析。
Eur Radiol. 2022 Nov;32(11):7883-7895. doi: 10.1007/s00330-022-08826-z. Epub 2022 May 17.
7
Hepatocellular carcinoma detection: diagnostic performance of a simulated abbreviated MRI protocol combining diffusion-weighted and T1-weighted imaging at the delayed phase post gadoxetic acid.肝细胞癌检测:钆塞酸后延迟期联合弥散加权和 T1 加权成像模拟简化 MRI 方案的诊断性能。
Abdom Radiol (NY). 2017 Jan;42(1):179-190. doi: 10.1007/s00261-016-0841-5.
8
Combined Application of Gadoxetic Acid Disodium-Enhanced Magnetic Resonance Imaging (MRI) and Diffusion-Weighted Imaging (DWI) in the Diagnosis of Chronic Liver Disease-Induced Hepatocellular Carcinoma: A Meta-Analysis.钆塞酸二钠增强磁共振成像(MRI)与扩散加权成像(DWI)联合应用于慢性肝病所致肝细胞癌诊断的Meta分析
PLoS One. 2015 Dec 2;10(12):e0144247. doi: 10.1371/journal.pone.0144247. eCollection 2015.
9
Deep learning empowered gadolinium-free contrast-enhanced abbreviated MRI for diagnosing hepatocellular carcinoma.深度学习助力无钆对比增强简化磁共振成像诊断肝细胞癌。
JHEP Rep. 2025 Mar 12;7(5):101392. doi: 10.1016/j.jhepr.2025.101392. eCollection 2025 May.
10
Performance of gadoxetic acid MRI and diffusion-weighted imaging for the diagnosis of early recurrence of hepatocellular carcinoma.钆塞酸 MRI 和扩散加权成像在诊断肝细胞癌早期复发中的性能。
Eur Radiol. 2020 Jan;30(1):186-194. doi: 10.1007/s00330-019-06351-0. Epub 2019 Aug 1.

本文引用的文献

1
Comparison of non-contrast abbreviated MRI and ultrasound as surveillance modalities for HCC.对比非对比性简化磁共振成像和超声作为 HCC 的监测手段。
J Hepatol. 2024 Sep;81(3):461-470. doi: 10.1016/j.jhep.2024.03.048. Epub 2024 Apr 16.
2
Diagnostic performance of gadoxetic acid-enhanced abbreviated magnetic resonance imaging protocol in small hepatocellular carcinoma (≤2 cm) in high-risk patients.钆塞酸增强简化磁共振成像方案在高危患者小肝癌(≤2cm)中的诊断性能。
Acta Radiol. 2023 Oct;64(10):2687-2696. doi: 10.1177/02841851231195567. Epub 2023 Sep 10.
3
Optimization of hepatobiliary phase imaging in gadoxetic acid-enhanced magnetic resonance imaging: a narrative review.
钆塞酸二钠增强磁共振成像中肝胆期成像的优化:一篇叙述性综述
Quant Imaging Med Surg. 2023 Mar 1;13(3):1972-1982. doi: 10.21037/qims-22-916. Epub 2023 Feb 10.
4
Multicenter Validation of Abbreviated MRI for Detecting Early-Stage Hepatocellular Carcinoma.多中心验证用于检测早期肝细胞癌的简化 MRI
Radiology. 2023 Apr;307(2):e220917. doi: 10.1148/radiol.220917. Epub 2023 Jan 24.
5
Clinical practice guidelines and real-life practice in hepatocellular carcinoma: A Chinese perspective.肝细胞癌的临床实践指南和实际实践:中国视角。
Clin Mol Hepatol. 2023 Apr;29(2):206-216. doi: 10.3350/cmh.2022.0402. Epub 2022 Dec 22.
6
Abbreviated Liver Magnetic Resonance Imaging Protocols and Applications.简化肝脏磁共振成像协议及应用。
Radiol Clin North Am. 2022 Sep;60(5):695-703. doi: 10.1016/j.rcl.2022.04.002. Epub 2022 Jul 15.
7
Current Landscape and Future Perspectives of Abbreviated MRI for Hepatocellular Carcinoma Surveillance.用于肝细胞癌监测的简化 MRI 的现状和未来展望。
Korean J Radiol. 2022 Jun;23(6):598-614. doi: 10.3348/kjr.2021.0896. Epub 2022 Apr 13.
8
Comparative efficacy of an optimal exam between ultrasound versus abbreviated MRI for HCC screening in NAFLD cirrhosis: A prospective study.在非酒精性脂肪性肝病肝硬化中,超声与简化 MRI 最优检查的 HCC 筛查比较效果:一项前瞻性研究。
Aliment Pharmacol Ther. 2022 Apr;55(7):820-827. doi: 10.1111/apt.16844. Epub 2022 Feb 28.
9
HCC surveillance improves early detection, curative treatment receipt, and survival in patients with cirrhosis: A meta-analysis.HCC 监测可提高肝硬化患者的早期检测、根治性治疗的获得和生存率:一项荟萃分析。
J Hepatol. 2022 Jul;77(1):128-139. doi: 10.1016/j.jhep.2022.01.023. Epub 2022 Feb 6.
10
Abbreviated magnetic resonance imaging vs ultrasound for surveillance of hepatocellular carcinoma in high-risk patients.缩短磁共振成像与超声检查用于高危患者肝癌监测的比较。
Liver Int. 2022 Aug;42(9):2080-2092. doi: 10.1111/liv.15110. Epub 2021 Nov 29.