• 文献检索
  • 文档翻译
  • 深度研究
  • 学术资讯
  • Suppr Zotero 插件Zotero 插件
  • 邀请有礼
  • 套餐&价格
  • 历史记录
应用&插件
Suppr Zotero 插件Zotero 插件浏览器插件Mac 客户端Windows 客户端微信小程序
定价
高级版会员购买积分包购买API积分包
服务
文献检索文档翻译深度研究API 文档MCP 服务
关于我们
关于 Suppr公司介绍联系我们用户协议隐私条款
关注我们

Suppr 超能文献

核心技术专利:CN118964589B侵权必究
粤ICP备2023148730 号-1Suppr @ 2026

文献检索

告别复杂PubMed语法,用中文像聊天一样搜索,搜遍4000万医学文献。AI智能推荐,让科研检索更轻松。

立即免费搜索

文件翻译

保留排版,准确专业,支持PDF/Word/PPT等文件格式,支持 12+语言互译。

免费翻译文档

深度研究

AI帮你快速写综述,25分钟生成高质量综述,智能提取关键信息,辅助科研写作。

立即免费体验

围手术期意外发生的嗜铬细胞瘤导致心脏骤停:一例病例报告及文献综述

Unexpected pheochromocytoma leading to cardiac arrest during the perioperative period: a case report and literature review.

作者信息

Guo Jian, Qiu Yuting, Zhang Xiaojin, Qian Yitao, Xu Jianhong

机构信息

Department of Anaesthesiology, The Fourth Affiliated Hospital, School of Medicine, Zhejiang University, Yiwu, Zhejiang, 322000, China.

Department of Obstetrics, The Fourth Affiliated Hospital, School of Medicine, Zhejiang University, Yiwu, Zhejiang, 322000, China.

出版信息

BMC Anesthesiol. 2024 Dec 19;24(1):463. doi: 10.1186/s12871-024-02850-w.

DOI:10.1186/s12871-024-02850-w
PMID:39701997
原文链接:https://pmc.ncbi.nlm.nih.gov/articles/PMC11657772/
Abstract

BACKGROUND

Pheochromocytomas (PCCs) are rare neuroendocrine catecholamine (CA)-secreting tumours that originate from chromaffin tissue and can produce and store CAs. Unexpected PCCs pose a serious threat to the perioperative safety of patients and a considerable challenge to anaesthesiologists because of the risks of fatal hypertensive crises and other stresses.

CASE PRESENTATION

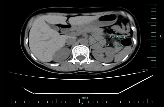
A 37-year-old woman who was scheduled for tonsillectomy and palatopharyngoplasty under general anaesthesia experienced a malignant cardiovascular event after induction, which was characterized mainly by a sharp increase in heart rate and blood pressure, ultimately leading to cardiac arrest and the occurrence of secondary long QT syndrome. Based on the perioperative clinical manifestations, measurements of plasma and urinary CAs, postoperative bilateral adrenal computed tomography results and surgical pathological results, the patient was diagnosed with an undiagnosed PCC.

CONCLUSIONS

Anaesthesiologists should pay attention to patients with recurrent chest tightness, as these patients may have an undiagnosed PCC. Extreme hypertension and tachycardia during the perioperative period may indicate a PCC. We should not automatically use beta-adrenergic receptor blockade while overlooking the importance of alpha-adrenergic receptor blockade. If a serious malignant cardiovascular event occurs in patients with an undiagnosed PCC during the perioperative period, multidisciplinary comprehensive treatment is crucial.

摘要

背景

嗜铬细胞瘤(PCCs)是一种罕见的神经内分泌性儿茶酚胺(CA)分泌肿瘤,起源于嗜铬组织,可产生并储存儿茶酚胺。隐匿性嗜铬细胞瘤对患者围手术期安全构成严重威胁,因其存在致命性高血压危象及其他应激风险,给麻醉医生带来巨大挑战。

病例介绍

一名37岁女性计划在全身麻醉下行扁桃体切除术和腭咽成形术,诱导后发生恶性心血管事件,主要表现为心率和血压急剧升高,最终导致心脏骤停及继发性长QT综合征的发生。根据围手术期临床表现、血浆和尿儿茶酚胺测定、术后双侧肾上腺计算机断层扫描结果及手术病理结果,该患者被诊断为未被诊断出的嗜铬细胞瘤。

结论

麻醉医生应关注反复出现胸闷的患者,因为这些患者可能患有未被诊断出的嗜铬细胞瘤。围手术期出现极度高血压和心动过速可能提示嗜铬细胞瘤。我们不应在忽视α-肾上腺素能受体阻滞剂重要性的同时,自动使用β-肾上腺素能受体阻滞剂。如果在围手术期未被诊断出嗜铬细胞瘤的患者发生严重的恶性心血管事件,多学科综合治疗至关重要。

https://cdn.ncbi.nlm.nih.gov/pmc/blobs/b0ba/11657772/9521f5dacf16/12871_2024_2850_Fig2_HTML.jpg
https://cdn.ncbi.nlm.nih.gov/pmc/blobs/b0ba/11657772/09ce3178a426/12871_2024_2850_Fig1_HTML.jpg
https://cdn.ncbi.nlm.nih.gov/pmc/blobs/b0ba/11657772/9521f5dacf16/12871_2024_2850_Fig2_HTML.jpg
https://cdn.ncbi.nlm.nih.gov/pmc/blobs/b0ba/11657772/09ce3178a426/12871_2024_2850_Fig1_HTML.jpg
https://cdn.ncbi.nlm.nih.gov/pmc/blobs/b0ba/11657772/9521f5dacf16/12871_2024_2850_Fig2_HTML.jpg

相似文献

1
Unexpected pheochromocytoma leading to cardiac arrest during the perioperative period: a case report and literature review.围手术期意外发生的嗜铬细胞瘤导致心脏骤停:一例病例报告及文献综述
BMC Anesthesiol. 2024 Dec 19;24(1):463. doi: 10.1186/s12871-024-02850-w.
2
Perioperative Blood Pressure Management Recommendations in Pediatric Pheochromocytoma: A 10-Year Narrative Review.小儿嗜铬细胞瘤围手术期血压管理建议:一项10年的叙述性综述
Kidney Blood Press Res. 2025;50(1):61-82. doi: 10.1159/000542897. Epub 2024 Dec 3.
3
[Pheochromocytoma as a challenge for the anesthesiologist].[嗜铬细胞瘤:麻醉医生面临的挑战]
Srp Arh Celok Lek. 2002 Jul;130 Suppl 2:25-30.
4
Perioperative management of phaeochromocytoma.嗜铬细胞瘤的围手术期管理
Acta Anaesthesiol Belg. 2009;60(1):55-66.
5
Pheochromocytoma and pregnancy: a case report and review of anesthetic management.嗜铬细胞瘤与妊娠:一例病例报告及麻醉管理综述
Can J Anaesth. 2004 Feb;51(2):134-8. doi: 10.1007/BF03018772.
6
Cardiovascular collapse after labetalol for hypertensive crisis in an undiagnosed pheochromocytoma during cesarean section.剖宫产术中未诊断的嗜铬细胞瘤患者使用拉贝洛尔治疗高血压危象后发生心血管衰竭。
Acta Anaesthesiol Taiwan. 2011 Jun;49(2):69-71. doi: 10.1016/j.aat.2011.05.007. Epub 2011 Jun 22.
7
Catecholamine crisis during induction of general anesthesia : A case report.全身麻醉诱导期间的儿茶酚胺危象:一例报告。
Anaesthesist. 2018 Mar;67(3):209-215. doi: 10.1007/s00101-018-0409-6. Epub 2018 Feb 5.
8
Pheochromocytoma: a rare cause of childhood hypertensive encephalopathy.嗜铬细胞瘤:儿童高血压性脑病的罕见病因。
J Coll Physicians Surg Pak. 2012 Aug;22(8):536-8.
9
Unrecognised pheochromocytoma in pregnancy discovered through metoclopramide-triggered hypertensive emergency.妊娠期间未被识别的嗜铬细胞瘤,因甲氧氯普胺引发的高血压急症而被发现。
Blood Press. 2021 Oct;30(5):322-326. doi: 10.1080/08037051.2021.1945428. Epub 2021 Jun 26.
10
Pheochromocytoma/Paraganglioma: Review of perioperative management of blood pressure and update on genetic mutations associated with pheochromocytoma.嗜铬细胞瘤/副神经节瘤:围手术期血压管理综述及与嗜铬细胞瘤相关基因突变的最新进展。
J Clin Hypertens (Greenwich). 2013 Jun;15(6):428-34. doi: 10.1111/jch.12084. Epub 2013 Mar 15.

引用本文的文献

1
An Analysis of Primary Hyperparathyroidism in Individuals Diagnosed with Multiple Endocrine Neoplasia Type 2.对诊断为2型多发性内分泌腺瘤病的个体的原发性甲状旁腺功能亢进症的分析。
Diseases. 2025 Mar 27;13(4):98. doi: 10.3390/diseases13040098.

本文引用的文献

1
Landiolol: An Ultra-Short-Acting β-Blocker.兰地洛尔:一种超短效β受体阻滞剂。
Cardiol Rev. 2024;32(5):468-472. doi: 10.1097/CRD.0000000000000555. Epub 2023 Apr 25.
2
The Pheochromocytoma/Paraganglioma syndrome: an overview on mechanisms, diagnosis and management.《嗜铬细胞瘤/副神经节瘤综合征:机制、诊断与治疗概述》。
Int Braz J Urol. 2023 May-Jun;49(3):307-319. doi: 10.1590/S1677-5538.IBJU.2023.0038.
3
Clinical presentation and diagnostic evaluation of pheochromocytoma: case series and literature review.嗜铬细胞瘤的临床表现和诊断评估:病例系列和文献复习。
Clin Exp Hypertens. 2023 Dec 31;45(1):2132012. doi: 10.1080/10641963.2022.2132012. Epub 2022 Oct 11.
4
Systematic Review: Incidence of Pheochromocytoma and Paraganglioma Over 70 Years.系统评价:70年间嗜铬细胞瘤和副神经节瘤的发病率
J Endocr Soc. 2022 Jul 3;6(9):bvac105. doi: 10.1210/jendso/bvac105. eCollection 2022 Sep 1.
5
Clinical characteristics and outcomes of pheochromocytoma crisis: a literature review of 200 cases.《200 例嗜铬细胞瘤危象的临床特征和转归:文献复习》
J Endocrinol Invest. 2022 Dec;45(12):2313-2328. doi: 10.1007/s40618-022-01868-6. Epub 2022 Jul 20.
6
Protocol for presurgical and anesthetic management of pheochromocytomas and sympathetic paragangliomas: a multidisciplinary approach.《嗜铬细胞瘤和交感神经副神经节瘤的术前和麻醉管理方案:多学科方法》
J Endocrinol Invest. 2021 Dec;44(12):2545-2555. doi: 10.1007/s40618-021-01649-7. Epub 2021 Jul 25.
7
Diagnosis, management and therapeutic strategies for congenital long QT syndrome.先天性长 QT 综合征的诊断、管理和治疗策略。
Heart. 2022 Mar;108(5):332-338. doi: 10.1136/heartjnl-2020-318259. Epub 2021 May 26.
8
Long QT Syndrome and Perioperative Torsades de Pointes: What the Anesthesiologist Should Know.长QT综合征与围手术期尖端扭转型室速:麻醉医生应了解的内容。
J Cardiothorac Vasc Anesth. 2022 Jan;36(1):286-302. doi: 10.1053/j.jvca.2020.12.011. Epub 2020 Dec 13.
9
Preoperative Management of Pheochromocytoma and Paraganglioma.《嗜铬细胞瘤和副神经节瘤的术前管理》。
Front Endocrinol (Lausanne). 2020 Sep 29;11:586795. doi: 10.3389/fendo.2020.586795. eCollection 2020.
10
The effect of combined Epidural-general Anesthesia on Hemodynamic Instability during Pheochromocytoma and Paraganglioma Surgery: A multicenter retrospective cohort study.硬膜外-全身麻醉对嗜铬细胞瘤和副神经节瘤手术期间血流动力学不稳定的影响:一项多中心回顾性队列研究。
Int J Med Sci. 2020 Jul 19;17(13):1956-1963. doi: 10.7150/ijms.47299. eCollection 2020.