Suppr超能文献

第三脑室胶样囊肿:一例罕见的自发消退病例。病例说明。

Colloid cyst of the third ventricle: a rare case of spontaneous regression. Illustrative case.

作者信息

Todorovic Marko, Weidemeier Martin E, Schroeder Henry W S, Baldauf Jörg

机构信息

Clinic for Neurosurgery, University Clinical Center of Serbia, Belgrade, Serbia.

Department of Neurosurgery, University Medicine Greifswald, Greifswald, Germany.

出版信息

J Neurosurg Case Lessons. 2024 Dec 23;8(26). doi: 10.3171/CASE24498.

Abstract

BACKGROUND

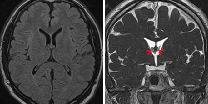
Colloid cysts (CCs) are benign lesions commonly located in the third ventricle, near the foramen of Monro. They constitute about 0.5%-1% of all intracranial tumors. As benign lesions, CCs can be found incidentally, but they can also present with neurological deterioration and are even associated with sudden death, which might be explained as a result of obstructive hydrocephalus. Thus, larger and symptomatic CCs are often considered for surgery.

OBSERVATIONS

The following case presents a rare and curious instance of a spontaneously regressing CC. This represents the 11th case ever reported about an extremely rare occurrence: the spontaneous regression of a previously diagnosed CC in the third ventricle.

LESSONS

Carefully selected asymptomatic CCs can be monitored through regular imaging studies and neurological examinations. If regression of the cyst is observed, physicians should not be surprised, as this event, although rare, has been documented and published in 11 cases, including this one. https://thejns.org/doi/10.3171/CASE24498.

摘要

背景

胶样囊肿(CCs)是常见于第三脑室、靠近孟氏孔的良性病变。它们约占所有颅内肿瘤的0.5%-1%。作为良性病变,CCs可偶然发现,但也可出现神经功能恶化,甚至与猝死相关,这可能是由于梗阻性脑积水所致。因此,较大且有症状的CCs常考虑手术治疗。

观察结果

以下病例呈现了一例罕见且奇特的胶样囊肿自发消退情况。这是有史以来第11例报道的极其罕见的情况:先前诊断的第三脑室胶样囊肿自发消退。

经验教训

精心挑选的无症状CCs可通过定期影像学检查和神经学检查进行监测。如果观察到囊肿消退,医生不应感到惊讶,因为这一事件虽罕见,但已有文献记载并发表了11例,包括本病例。https://thejns.org/doi/10.3171/CASE24498

https://cdn.ncbi.nlm.nih.gov/pmc/blobs/23ac/11670133/0ea6caea1087/CASE24498_figure_1.jpg

文献检索

告别复杂PubMed语法,用中文像聊天一样搜索,搜遍4000万医学文献。AI智能推荐,让科研检索更轻松。

立即免费搜索

文件翻译

保留排版,准确专业,支持PDF/Word/PPT等文件格式,支持 12+语言互译。

免费翻译文档

深度研究

AI帮你快速写综述,25分钟生成高质量综述,智能提取关键信息,辅助科研写作。

立即免费体验