• 文献检索
  • 文档翻译
  • 深度研究
  • 学术资讯
  • Suppr Zotero 插件Zotero 插件
  • 邀请有礼
  • 套餐&价格
  • 历史记录
应用&插件
Suppr Zotero 插件Zotero 插件浏览器插件Mac 客户端Windows 客户端微信小程序
定价
高级版会员购买积分包购买API积分包
服务
文献检索文档翻译深度研究API 文档MCP 服务
关于我们
关于 Suppr公司介绍联系我们用户协议隐私条款
关注我们

Suppr 超能文献

核心技术专利:CN118964589B侵权必究
粤ICP备2023148730 号-1Suppr @ 2026

文献检索

告别复杂PubMed语法,用中文像聊天一样搜索,搜遍4000万医学文献。AI智能推荐,让科研检索更轻松。

立即免费搜索

文件翻译

保留排版,准确专业,支持PDF/Word/PPT等文件格式,支持 12+语言互译。

免费翻译文档

深度研究

AI帮你快速写综述,25分钟生成高质量综述,智能提取关键信息,辅助科研写作。

立即免费体验

病例报告:婴儿巨大腋窝脂肪瘤。

Case Report: Giant axillary lipoma in an infant.

作者信息

Ren Haiyang, Lv Haoqiang, Wang Chuanjun, Liu Hao, Liu Xiurui, Wei Hua, Tian Ping

机构信息

Department of General Surgery, Linyi Maternity and Child Health Care Hospital, Linyi, Shandong, China.

Department of General Surgery, Hongxinglong Hospital of Beidahuang Group, Shuangyashan, Heilongjiang, China.

出版信息

Front Pediatr. 2024 Dec 9;12:1485832. doi: 10.3389/fped.2024.1485832. eCollection 2024.

DOI:10.3389/fped.2024.1485832
PMID:39717189
原文链接:https://pmc.ncbi.nlm.nih.gov/articles/PMC11663630/
Abstract

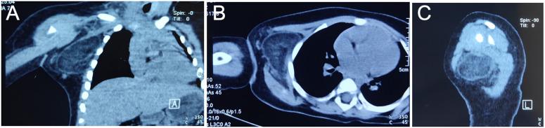
Lipoma is a benign mesenchymal tissue tumor, mainly composed of mature adipose cells; it is most common in adults and is rarely observed in children. The clinical data of an infant diagnosed with a giant axillary lipoma admitted to our hospital were analyzed. A 12-month-old girl presented with a large mass in the right axillary region. Imaging examination suggested a mesenchymal tissue tumor and postoperative pathology confirmed lipoma.

摘要

脂肪瘤是一种良性间叶组织肿瘤,主要由成熟脂肪细胞组成;多见于成年人,儿童罕见。对我院收治的1例诊断为巨大腋窝脂肪瘤的婴儿临床资料进行分析。一名12个月大的女童右腋窝区出现一个巨大肿块。影像学检查提示为间叶组织肿瘤,术后病理证实为脂肪瘤。

https://cdn.ncbi.nlm.nih.gov/pmc/blobs/bf3c/11663630/3bc617263065/fped-12-1485832-g003.jpg
https://cdn.ncbi.nlm.nih.gov/pmc/blobs/bf3c/11663630/b28d8c8583d5/fped-12-1485832-g001.jpg
https://cdn.ncbi.nlm.nih.gov/pmc/blobs/bf3c/11663630/c8e3f287134a/fped-12-1485832-g002.jpg
https://cdn.ncbi.nlm.nih.gov/pmc/blobs/bf3c/11663630/3bc617263065/fped-12-1485832-g003.jpg
https://cdn.ncbi.nlm.nih.gov/pmc/blobs/bf3c/11663630/b28d8c8583d5/fped-12-1485832-g001.jpg
https://cdn.ncbi.nlm.nih.gov/pmc/blobs/bf3c/11663630/c8e3f287134a/fped-12-1485832-g002.jpg
https://cdn.ncbi.nlm.nih.gov/pmc/blobs/bf3c/11663630/3bc617263065/fped-12-1485832-g003.jpg

相似文献

1
Case Report: Giant axillary lipoma in an infant.病例报告:婴儿巨大腋窝脂肪瘤。
Front Pediatr. 2024 Dec 9;12:1485832. doi: 10.3389/fped.2024.1485832. eCollection 2024.
2
Axillary giant lipoma: a report of two cases and published work review.腋窝巨大脂肪瘤:两例报告及已发表文献综述
J Dermatol. 2014 Sep;41(9):841-4. doi: 10.1111/1346-8138.12598. Epub 2014 Aug 25.
3
Gaint axillary lipoma following excision.切除术后的巨大腋窝脂肪瘤。
Indian J Surg. 2013 Jun;75(Suppl 1):158-9. doi: 10.1007/s12262-012-0561-1. Epub 2012 Jun 16.
4
Giant breast lipoma: A case report.巨大乳腺脂肪瘤:一例报告。
Int J Surg Case Rep. 2024 Jul;120:109787. doi: 10.1016/j.ijscr.2024.109787. Epub 2024 May 22.
5
Axillary giant lipoma: a case report.腋窝巨大脂肪瘤:一例报告
Acta Chir Belg. 2005 Nov-Dec;105(6):656-7. doi: 10.1080/00015458.2005.11679797.
6
Giant omental lipoma, a rare etiology of right-iliac fossa pain in adult: A surgical case report.巨大网膜脂肪瘤,成人右下腹疼痛的罕见病因:一例手术病例报告
Int J Surg Case Rep. 2022 Aug;97:107428. doi: 10.1016/j.ijscr.2022.107428. Epub 2022 Jul 23.
7
An unusual presentation of giant extrathoracic tumor in a child--managed successfully.
Turk J Pediatr. 2012 Mar-Apr;54(2):191-3.
8
A 5 kg giant breast lipoma in a 40-year-old woman: a case report.一名40岁女性的5千克巨大乳腺脂肪瘤:病例报告。
Ann Med Surg (Lond). 2024 Jan 4;86(2):1229-1233. doi: 10.1097/MS9.0000000000001683. eCollection 2024 Feb.
9
Giant lipoma in the thigh A case report.大腿巨大脂肪瘤病例报告
Ann Ital Chir. 2016 Nov 21;87:S2239253X16024579.
10
Giant periscapular lipoma unmasked by post-bariatric surgery weight loss: a case report.减肥手术后体重减轻发现的巨大肩胛周围脂肪瘤:一例报告
J Surg Case Rep. 2024 Dec 27;2025(1):rjae817. doi: 10.1093/jscr/rjae817. eCollection 2025 Jan.

本文引用的文献

1
Giant Cervical Occipital Lipoma: A Case Report.巨大型颈枕部脂肪瘤:一例报告
Cureus. 2024 Jun 30;16(6):e63496. doi: 10.7759/cureus.63496. eCollection 2024 Jun.
2
Giant Lipoma on the Left Shoulder: A Case Report.左肩部巨大脂肪瘤:病例报告
Cureus. 2024 Jun 24;16(6):e63067. doi: 10.7759/cureus.63067. eCollection 2024 Jun.
3
Lipomatoses.脂肪瘤病。
Ann Endocrinol (Paris). 2024 Jun;85(3):231-247. doi: 10.1016/j.ando.2024.05.003. Epub 2024 Jun 12.
4
Case report: a case report of excision of giant lipoma in the posterior neck.病例报告:一例后颈部巨大脂肪瘤切除术的病例报告。
Front Oncol. 2024 May 10;14:1395130. doi: 10.3389/fonc.2024.1395130. eCollection 2024.
5
A giant multi-compartment lipoma of the hand causing median nerve compression: A case report and review of literature.手部巨大多房性脂肪瘤致正中神经受压:1例报告并文献复习
Int J Surg Case Rep. 2024 Apr;117:109527. doi: 10.1016/j.ijscr.2024.109527. Epub 2024 Mar 15.
6
A Rare Case of a Giant Intramuscular Lipoma of the Upper Extremity in a Pediatric Patient.小儿上肢巨大肌内脂肪瘤1例罕见病例
Cureus. 2024 Feb 4;16(2):e53575. doi: 10.7759/cureus.53575. eCollection 2024 Feb.
7
Carpal tunnel syndrome caused by a giant lipoma of the hand: A case report.手部巨大脂肪瘤导致的腕管综合征:一例报告
Int J Surg Case Rep. 2021 Mar;80:105647. doi: 10.1016/j.ijscr.2021.105647. Epub 2021 Feb 15.
8
A giant thoraco abdominal wall lipoma in a child.一名儿童的巨大胸腹壁脂肪瘤。
Rare Tumors. 2020 Dec 22;12:2036361320983681. doi: 10.1177/2036361320983681. eCollection 2020.
9
Giant presternal lipoma in a three-year-old child.
Eur J Cardiothorac Surg. 2020 Sep 1;58(3):656. doi: 10.1093/ejcts/ezaa106.
10
Giant gluteal lipoma surgical management.巨大臀脂瘤的手术治疗
BMJ Case Rep. 2019 Aug 13;12(8):e229842. doi: 10.1136/bcr-2019-229842.