• 文献检索
  • 文档翻译
  • 深度研究
  • 学术资讯
  • Suppr Zotero 插件Zotero 插件
  • 邀请有礼
  • 套餐&价格
  • 历史记录
应用&插件
Suppr Zotero 插件Zotero 插件浏览器插件Mac 客户端Windows 客户端微信小程序
定价
高级版会员购买积分包购买API积分包
服务
文献检索文档翻译深度研究API 文档MCP 服务
关于我们
关于 Suppr公司介绍联系我们用户协议隐私条款
关注我们

Suppr 超能文献

核心技术专利:CN118964589B侵权必究
粤ICP备2023148730 号-1Suppr @ 2026

文献检索

告别复杂PubMed语法,用中文像聊天一样搜索,搜遍4000万医学文献。AI智能推荐,让科研检索更轻松。

立即免费搜索

文件翻译

保留排版,准确专业,支持PDF/Word/PPT等文件格式,支持 12+语言互译。

免费翻译文档

深度研究

AI帮你快速写综述,25分钟生成高质量综述,智能提取关键信息,辅助科研写作。

立即免费体验

复发或进展后的边缘区黏膜相关淋巴组织淋巴瘤患者中异常的bcl6蛋白表达:两例病例报告

Aberrant bcl6 protein expression in patients with EMZL following recurrence or progression: case report of two cases.

作者信息

Zhang Ming, Qu Jianli, Guo Weiwei, Liu Yi, Zhang Wei

机构信息

Department of Pathology, Yantaishan Hospital Affiliated to Binzhou Medical University, Yantai, 264003, Shandong, China.

Department of Hematology, Yantaishan Hospital Affiliated to Binzhou Medical University, Yantai, 264003, Shandong, China.

出版信息

Diagn Pathol. 2024 Dec 26;19(1):165. doi: 10.1186/s13000-024-01593-z.

DOI:10.1186/s13000-024-01593-z
PMID:39726003
原文链接:https://pmc.ncbi.nlm.nih.gov/articles/PMC11670503/
Abstract

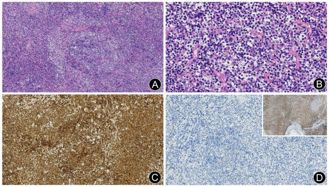
Extranodal marginal zone lymphoma of mucosa-associated lymphoid tissue (EMZL) is an indolent B-cell lymphoma that can involve various anatomic sites. EMZL is derived from post-germinal center marginal zone B cells and typically lacks bcl-6 expression. Herein, we report two post-treatment cases of EMZL where unexpected bcl-6 protein expression was observed in specimens obtained following recurrence or progression. This contrasts with the primary specimens, which were negative for the bcl-6. Additionally, we confirm that the altered bcl6 expression observed in relapsed EMZL cases is independent of BCL6 gene rearrangement, as demonstrated by fluorescence in situ hybridization analysis. Relevant literature was reviewed and summarized to enhance the understanding of this phenomenon, particularly for pathologists.

摘要

黏膜相关淋巴组织结外边缘区淋巴瘤(EMZL)是一种惰性B细胞淋巴瘤,可累及多个解剖部位。EMZL起源于生发中心后边缘区B细胞,通常缺乏bcl-6表达。在此,我们报告2例EMZL治疗后病例,在复发或进展后获取的标本中观察到意外的bcl-6蛋白表达。这与原发性标本形成对比,原发性标本的bcl-6为阴性。此外,我们证实复发EMZL病例中观察到的bcl6表达改变与BCL6基因重排无关,荧光原位杂交分析已证明这一点。我们查阅并总结了相关文献,以增进对这一现象的理解,特别是对病理学家而言。

https://cdn.ncbi.nlm.nih.gov/pmc/blobs/9f7f/11670503/d2c6172d207a/13000_2024_1593_Fig4_HTML.jpg
https://cdn.ncbi.nlm.nih.gov/pmc/blobs/9f7f/11670503/ea7b1a08c080/13000_2024_1593_Fig1_HTML.jpg
https://cdn.ncbi.nlm.nih.gov/pmc/blobs/9f7f/11670503/dbeb7ad47724/13000_2024_1593_Fig2_HTML.jpg
https://cdn.ncbi.nlm.nih.gov/pmc/blobs/9f7f/11670503/996e6fdb7b90/13000_2024_1593_Fig3_HTML.jpg
https://cdn.ncbi.nlm.nih.gov/pmc/blobs/9f7f/11670503/d2c6172d207a/13000_2024_1593_Fig4_HTML.jpg
https://cdn.ncbi.nlm.nih.gov/pmc/blobs/9f7f/11670503/ea7b1a08c080/13000_2024_1593_Fig1_HTML.jpg
https://cdn.ncbi.nlm.nih.gov/pmc/blobs/9f7f/11670503/dbeb7ad47724/13000_2024_1593_Fig2_HTML.jpg
https://cdn.ncbi.nlm.nih.gov/pmc/blobs/9f7f/11670503/996e6fdb7b90/13000_2024_1593_Fig3_HTML.jpg
https://cdn.ncbi.nlm.nih.gov/pmc/blobs/9f7f/11670503/d2c6172d207a/13000_2024_1593_Fig4_HTML.jpg

相似文献

1
Aberrant bcl6 protein expression in patients with EMZL following recurrence or progression: case report of two cases.复发或进展后的边缘区黏膜相关淋巴组织淋巴瘤患者中异常的bcl6蛋白表达:两例病例报告
Diagn Pathol. 2024 Dec 26;19(1):165. doi: 10.1186/s13000-024-01593-z.
2
BCL6 gene rearrangement and protein expression are associated with large cell presentation of extranodal marginal zone B-cell lymphoma of mucosa-associated lymphoid tissue.BCL6 基因重排和蛋白表达与黏膜相关淋巴组织结外边缘区 B 细胞淋巴瘤的大细胞表型相关。
Int J Cancer. 2011 Jul 1;129(1):70-7. doi: 10.1002/ijc.25663. Epub 2010 Dec 1.
3
[Abnormal expression of bcl-10 protein in extranodal marginal zone B cell lymphoma of mucosa-associated lymphoid tissue lymphoma type].[黏膜相关淋巴组织淋巴瘤型结外边缘区B细胞淋巴瘤中bcl-10蛋白的异常表达]
Zhonghua Bing Li Xue Za Zhi. 2007 Dec;36(12):819-24.
4
E2A-positive gastric MALT lymphoma has weaker plasmacytoid infiltrates and stronger expression of the memory B-cell-associated miR-223: possible correlation with stage and treatment response.E2A 阳性胃黏膜相关边缘区 B 细胞淋巴瘤具有较弱的浆细胞样细胞浸润和较强的记忆 B 细胞相关 miR-223 表达:可能与分期和治疗反应相关。
Mod Pathol. 2010 Nov;23(11):1507-17. doi: 10.1038/modpathol.2010.139. Epub 2010 Aug 27.
5
The incidence and anatomic site specificity of chromosomal translocations in primary extranodal marginal zone B-cell lymphoma of mucosa-associated lymphoid tissue (MALT lymphoma) in North America.北美黏膜相关淋巴组织原发性结外边缘区B细胞淋巴瘤(MALT淋巴瘤)中染色体易位的发生率及解剖部位特异性
Am J Surg Pathol. 2006 Dec;30(12):1546-53. doi: 10.1097/01.pas.0000213275.60962.2a.
6
Molecular pathogenesis and histologic and clinical features of extranodal marginal zone lymphomas of mucosa-associated lymphoid tissue type.黏膜相关淋巴组织结外边缘区淋巴瘤的分子发病机制及组织学和临床特征。
Leuk Lymphoma. 2012 Jun;53(6):1032-45. doi: 10.3109/10428194.2011.631157. Epub 2012 Jan 3.
7
Clinical significance of 'double-hit' and 'double-expression' lymphomas.“双打击”和“双表达”淋巴瘤的临床意义。
J Clin Pathol. 2020 Mar;73(3):126-138. doi: 10.1136/jclinpath-2019-206199. Epub 2019 Oct 15.
8
Clinical Significance of , C-, and Genetic Abnormalities, Epstein-Barr Virus Infection, CD5 Protein Expression, Germinal Center B Cell/Non-Germinal Center B-Cell Subtypes, Co-expression of MYC/BCL2 Proteins and Co-expression of MYC/BCL2/BCL6 Proteins in Diffuse Large B-Cell Lymphoma: A Clinical and Pathological Correlation Study of 120 Patients.弥漫性大 B 细胞淋巴瘤中 、 、 和遗传异常、Epstein-Barr 病毒感染、CD5 蛋白表达、生发中心 B 细胞/非生发中心 B 细胞亚型、MYC/BCL2 蛋白共表达和 MYC/BCL2/BCL6 蛋白共表达的临床意义:120 例患者的临床与病理相关性研究。
Int J Med Sci. 2019 Apr 20;16(4):556-566. doi: 10.7150/ijms.27610. eCollection 2019.
9
Primary thyroid B-cell lymphoma: molecular insights into its clonal evolution and relapse.原发性甲状腺B细胞淋巴瘤:对其克隆进化和复发的分子见解
J Pathol. 2025 Feb;265(2):123-131. doi: 10.1002/path.6380. Epub 2024 Dec 26.
10
MYC single-hit large B-cell lymphoma: clinicopathologic difference from MYC-negative large B-cell lymphoma and MYC double-hit/triple-hit lymphoma.MYC单打击大B细胞淋巴瘤:与MYC阴性大B细胞淋巴瘤及MYC双打击/三打击淋巴瘤的临床病理差异
Hum Pathol. 2021 Jul;113:9-19. doi: 10.1016/j.humpath.2021.03.006. Epub 2021 Mar 23.

本文引用的文献

1
The 5th edition of the World Health Organization Classification of Haematolymphoid Tumours: Lymphoid Neoplasms.《世界卫生组织造血与淋巴组织肿瘤分类》第五版:淋巴肿瘤。
Leukemia. 2022 Jul;36(7):1720-1748. doi: 10.1038/s41375-022-01620-2. Epub 2022 Jun 22.
2
The International Consensus Classification of Mature Lymphoid Neoplasms: a report from the Clinical Advisory Committee.成熟淋巴细胞肿瘤国际共识分类:临床咨询委员会报告。
Blood. 2022 Sep 15;140(11):1229-1253. doi: 10.1182/blood.2022015851.
3
Expression of germinal center cell markers by extranodal marginal zone lymphomas of MALT type within colonized follicles, a diagnostic pitfall with follicular lymphoma.
结内黏膜相关淋巴组织边缘区淋巴瘤在滤泡内定植时表达生发中心细胞标记物,这是滤泡性淋巴瘤的一个诊断陷阱。
Leuk Lymphoma. 2021 May;62(5):1116-1122. doi: 10.1080/10428194.2020.1855347. Epub 2020 Dec 7.
4
Reciprocal negative regulation between the tumor suppressor protein p53 and B cell CLL/lymphoma 6 (BCL6) via control of caspase-1 expression.肿瘤抑制蛋白 p53 通过控制半胱氨酸蛋白酶-1 的表达与 B 细胞慢性淋巴细胞白血病/淋巴瘤 6(BCL6)之间的相互负调控。
J Biol Chem. 2019 Jan 4;294(1):299-313. doi: 10.1074/jbc.RA118.004204. Epub 2018 Nov 8.
5
Inhibition of intracellular lipolysis promotes human cancer cell adaptation to hypoxia.抑制细胞内脂肪分解促进人类癌细胞适应缺氧。
Elife. 2017 Dec 19;6:e31132. doi: 10.7554/eLife.31132.
6
Germinal center B cell development has distinctly regulated stages completed by disengagement from T cell help.生发中心B细胞的发育具有明显受调控的阶段,这些阶段通过与T细胞辅助脱离而完成。
Elife. 2017 May 12;6:e19552. doi: 10.7554/eLife.19552.
7
Clinicopathological features of histological transformation from extranodal marginal zone B-cell lymphoma of mucosa-associated lymphoid tissue to diffuse large B-cell lymphoma: an analysis of 467 patients.黏膜相关淋巴组织结外边缘区B细胞淋巴瘤向弥漫性大B细胞淋巴瘤组织学转化的临床病理特征:467例患者分析
Br J Haematol. 2016 Sep;174(6):923-31. doi: 10.1111/bjh.14153. Epub 2016 Jul 27.
8
BCL6 gene rearrangement and protein expression are associated with large cell presentation of extranodal marginal zone B-cell lymphoma of mucosa-associated lymphoid tissue.BCL6 基因重排和蛋白表达与黏膜相关淋巴组织结外边缘区 B 细胞淋巴瘤的大细胞表型相关。
Int J Cancer. 2011 Jul 1;129(1):70-7. doi: 10.1002/ijc.25663. Epub 2010 Dec 1.
9
Chromosomal translocations involving BCL6 in MALT lymphoma.
Haematologica. 2008 Jan;93(1):145-6. doi: 10.3324/haematol.11927.
10
High BCL6 expression predicts better prognosis, independent of BCL6 translocation status, translocation partner, or BCL6-deregulating mutations, in gastric lymphoma.在胃淋巴瘤中,高BCL6表达预示着更好的预后,这与BCL6易位状态、易位伙伴或BCL6失调突变无关。
Blood. 2006 Oct 1;108(7):2373-83. doi: 10.1182/blood-2006-05-022517. Epub 2006 Jun 13.