• 文献检索
  • 文档翻译
  • 深度研究
  • 学术资讯
  • Suppr Zotero 插件Zotero 插件
  • 邀请有礼
  • 套餐&价格
  • 历史记录
应用&插件
Suppr Zotero 插件Zotero 插件浏览器插件Mac 客户端Windows 客户端微信小程序
定价
高级版会员购买积分包购买API积分包
服务
文献检索文档翻译深度研究API 文档MCP 服务
关于我们
关于 Suppr公司介绍联系我们用户协议隐私条款
关注我们

Suppr 超能文献

核心技术专利:CN118964589B侵权必究
粤ICP备2023148730 号-1Suppr @ 2026

文献检索

告别复杂PubMed语法,用中文像聊天一样搜索,搜遍4000万医学文献。AI智能推荐,让科研检索更轻松。

立即免费搜索

文件翻译

保留排版,准确专业,支持PDF/Word/PPT等文件格式,支持 12+语言互译。

免费翻译文档

深度研究

AI帮你快速写综述,25分钟生成高质量综述,智能提取关键信息,辅助科研写作。

立即免费体验

1型神经纤维瘤病合并颅外椎动脉动脉瘤:血管内介入治疗的有效性

Extracranial Vertebral Artery Aneurysm With Neurofibromatosis Type 1: The Effectiveness of Endovascular Intervention.

作者信息

Fujiwara Yuta, Kambara Mizuki, Hayashi Kentaro

机构信息

Neurosurgery, Shimane University Hospital, Izumo, JPN.

出版信息

Cureus. 2024 Nov 25;16(11):e74465. doi: 10.7759/cureus.74465. eCollection 2024 Nov.

DOI:10.7759/cureus.74465
PMID:39726461
原文链接:https://pmc.ncbi.nlm.nih.gov/articles/PMC11669876/
Abstract

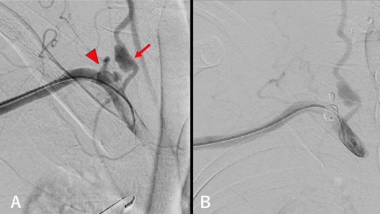
Neurofibromatosis type 1 (NF-1) is associated with vascular complications, including stenosis or the occlusion of the abdominal aorta and renal arteries. However, reports on the occurrence of extracranial vertebral artery aneurysms are scarce. A man in his 40s had back pain and was feeling unwell. Contrast-enhanced computed tomography revealed a right hemothorax and aneurysms involving the right thyrocervical trunk and at the right vertebral arterial origin. The patient was successfully treated with endovascular embolization and achieved a full recovery. Notably, extracranial vertebral artery aneurysms tend to be detected at a later age compared to other complications such as optic gliomas of NF-1, and endovascular treatment has proven effective for managing these aneurysms.

摘要

1型神经纤维瘤病(NF-1)与血管并发症相关,包括腹主动脉和肾动脉狭窄或闭塞。然而,关于颅外椎动脉动脉瘤发生情况的报道很少。一名40多岁的男性出现背痛且感觉不适。增强计算机断层扫描显示右侧血胸以及累及右侧甲状腺颈干和右侧椎动脉起始处的动脉瘤。该患者通过血管内栓塞治疗成功治愈并完全康复。值得注意的是,与NF-1的其他并发症如视神经胶质瘤相比,颅外椎动脉动脉瘤往往在较晚的年龄被发现,并且血管内治疗已被证明对处理这些动脉瘤有效。

https://cdn.ncbi.nlm.nih.gov/pmc/blobs/238b/11669876/4bf7a182b50e/cureus-0016-00000074465-i03.jpg
https://cdn.ncbi.nlm.nih.gov/pmc/blobs/238b/11669876/e757d6140b9a/cureus-0016-00000074465-i01.jpg
https://cdn.ncbi.nlm.nih.gov/pmc/blobs/238b/11669876/246d31bcae23/cureus-0016-00000074465-i02.jpg
https://cdn.ncbi.nlm.nih.gov/pmc/blobs/238b/11669876/4bf7a182b50e/cureus-0016-00000074465-i03.jpg
https://cdn.ncbi.nlm.nih.gov/pmc/blobs/238b/11669876/e757d6140b9a/cureus-0016-00000074465-i01.jpg
https://cdn.ncbi.nlm.nih.gov/pmc/blobs/238b/11669876/246d31bcae23/cureus-0016-00000074465-i02.jpg
https://cdn.ncbi.nlm.nih.gov/pmc/blobs/238b/11669876/4bf7a182b50e/cureus-0016-00000074465-i03.jpg

相似文献

1
Extracranial Vertebral Artery Aneurysm With Neurofibromatosis Type 1: The Effectiveness of Endovascular Intervention.1型神经纤维瘤病合并颅外椎动脉动脉瘤:血管内介入治疗的有效性
Cureus. 2024 Nov 25;16(11):e74465. doi: 10.7759/cureus.74465. eCollection 2024 Nov.
2
Successful Management of Thyrocervical Trunk Aneurysm Ruptured into the Thoracic Cavity After Cesarean Section in Nonstable Patient with Neurofibromatosis Type I.剖宫产术后甲状腺颈干动脉瘤破裂至胸腔,成功救治1例不稳定型Ⅰ型神经纤维瘤病患者
Medicina (Kaunas). 2024 Dec 31;61(1):49. doi: 10.3390/medicina61010049.
3
Intracranial and extracranial multiple arterial dissecting aneurysms in rheumatoid arthritis: A case report.类风湿关节炎患者颅内和颅外多发性动脉夹层动脉瘤:一例报告。
Interv Neuroradiol. 2021 Apr;27(2):212-218. doi: 10.1177/1591019920965359. Epub 2020 Oct 20.
4
Neurofibromatosis Type 1-Associated Extracranial Vertebral Artery Aneurysm Complicated by Vertebral Arteriovenous Fistula After Rupture: Case Report and Literature Review.1型神经纤维瘤病相关的颅外椎动脉动脉瘤破裂后并发椎动脉动静脉瘘:病例报告及文献复习
World Neurosurg. 2016 Dec;96:609.e13-609.e18. doi: 10.1016/j.wneu.2016.09.036. Epub 2016 Sep 16.
5
Ruptured extracranial vertebral artery aneurysm associated with neurofibromatosis type 1. Case report.1型神经纤维瘤病相关的颅外椎动脉动脉瘤破裂。病例报告。
Neurol Med Chir (Tokyo). 2012;52(6):446-9. doi: 10.2176/nmc.52.446.
6
Endovascular therapy for massive haemothorax caused by ruptured extracranial vertebral artery aneurysm with neurofibromatosis Type 1.1型神经纤维瘤病合并颅外椎动脉动脉瘤破裂致大量血胸的血管内治疗
Br J Radiol. 2007 Apr;80(952):e81-4. doi: 10.1259/bjr/47379807.
7
Endovascular Treatment of a Primary Extracranial Vertebral Artery Aneurysm Causing Ischemic Stroke.导致缺血性卒中的原发性颅外椎动脉动脉瘤的血管内治疗
Neurol India. 2021 Jan-Feb;69(1):184-186. doi: 10.4103/0028-3886.310099.
8
[Endovascular treatment of extracranial dissecting aneurysms of cervical arteries].[颈外动脉夹层动脉瘤的血管内治疗]
Zh Vopr Neirokhir Im N N Burdenko. 2021;85(6):16-24. doi: 10.17116/neiro20218506116.
9
[Neurofibromatosis associated with intra- and extracranial aneurysms and extracranial vertebral arteriovenous fistula].[与颅内及颅外动脉瘤和颅外椎动脉动静脉瘘相关的神经纤维瘤病]
No Shinkei Geka. 1985 Aug;13(8):875-80.
10
Primary extracranial vertebral artery aneurysms.原发性颅外椎动脉动脉瘤
Ann Vasc Surg. 2013 May;27(4):418-23. doi: 10.1016/j.avsg.2012.08.002. Epub 2013 Mar 26.

本文引用的文献

1
Successful endovascular management for spontaneous hemothorax in a patient with neurofibromatosis Type1: A case report and review.1型神经纤维瘤病患者自发性血胸的成功血管内治疗:病例报告及文献复习
Int J Surg Case Rep. 2023 Sep;110:108598. doi: 10.1016/j.ijscr.2023.108598. Epub 2023 Aug 4.
2
Reverse Cervical Lordosis Caused by Giant Vertebral Artery Aneurysm in von Recklinghausen Disease.冯雷克林霍增氏病中巨大椎动脉动脉瘤所致的颈椎生理前凸反转
Cureus. 2022 Sep 30;14(9):e29795. doi: 10.7759/cureus.29795. eCollection 2022 Sep.
3
Vertebral artery aneurysm rupture and hemothorax in a patient with neurofibromatosis Type-1: A case report and review of the literature.
1型神经纤维瘤病患者椎动脉动脉瘤破裂并血胸:一例报告及文献复习
Heliyon. 2019 Aug 1;5(8):e02201. doi: 10.1016/j.heliyon.2019.e02201. eCollection 2019 Aug.
4
Spontaneous hemothorax associated with von Recklinghausen's disease: report of a case.与冯·雷克林豪森病相关的自发性血胸:一例报告
Ann Thorac Cardiovasc Surg. 2011;17(3):301-3. doi: 10.5761/atcs.cr.09.01517.
5
Extracranial vertebral artery aneurysm associated with neurofibromatosis type 1. A case report.1型神经纤维瘤病相关的颅外椎动脉动脉瘤。病例报告。
Interv Neuroradiol. 2007 Mar 15;13 Suppl 1(Suppl 1):90-3. doi: 10.1177/15910199070130S112. Epub 2007 Jun 27.
6
Pseudotumoral presentation of a cervical extracranial vertebral artery aneurysm in neurofibromatosis type 1: case report.1型神经纤维瘤病中颈段颅外椎动脉动脉瘤的假瘤样表现:病例报告
Neurosurgery. 2007 Sep;61(3):E658; discussion E658. doi: 10.1227/01.NEU.0000290919.47847.D7.
7
Giant aneurysm of the vertebral artery in neurofibromatosis type 1: report of a case and review of the literature.1型神经纤维瘤病中椎动脉巨大动脉瘤:1例报告并文献复习
Neuroradiology. 1998 Apr;40(4):245-8. doi: 10.1007/s002340050576.
8
Fatal hemorrhage as a complication of neurofibromatosis.致命性出血作为神经纤维瘤病的一种并发症。
Vasc Surg. 1972 Mar-Apr;6(2):98-101. doi: 10.1177/153857447200600208.
9
Arterial lesions associated with neurofibromatosis.与神经纤维瘤病相关的动脉病变。
Am J Clin Pathol. 1974 Oct;62(4):481-7. doi: 10.1093/ajcp/62.4.481.