• 文献检索
  • 文档翻译
  • 深度研究
  • 学术资讯
  • Suppr Zotero 插件Zotero 插件
  • 邀请有礼
  • 套餐&价格
  • 历史记录
应用&插件
Suppr Zotero 插件Zotero 插件浏览器插件Mac 客户端Windows 客户端微信小程序
定价
高级版会员购买积分包购买API积分包
服务
文献检索文档翻译深度研究API 文档MCP 服务
关于我们
关于 Suppr公司介绍联系我们用户协议隐私条款
关注我们

Suppr 超能文献

核心技术专利:CN118964589B侵权必究
粤ICP备2023148730 号-1Suppr @ 2026

文献检索

告别复杂PubMed语法,用中文像聊天一样搜索,搜遍4000万医学文献。AI智能推荐,让科研检索更轻松。

立即免费搜索

文件翻译

保留排版,准确专业,支持PDF/Word/PPT等文件格式,支持 12+语言互译。

免费翻译文档

深度研究

AI帮你快速写综述,25分钟生成高质量综述,智能提取关键信息,辅助科研写作。

立即免费体验

使用四维心内超声心动图指导心脏电生理手术的临床前经验。

Preclinical Experience Using 4D Intracardiac Echocardiography to Guide Cardiac Electrophysiology Procedures.

作者信息

Blumenthal Colin J, Hsue Weihow, Chen Tiffany, Zhang David, Brem Erez, Garcia Fermin C, Callans David J, Marchlinski Francis E, Santangeli Pasquale, Tschabrunn Cory M

机构信息

Division of Cardiovascular Medicine, Cardiac Electrophysiology Section, Hospital of the University of Pennsylvania, Philadelphia, Pennsylvania, USA.

Department of Clinical Sciences, College of Veterinary Medicine, Cornell University, Ithaca, New York, USA.

出版信息

J Cardiovasc Electrophysiol. 2025 Feb;36(2):480-486. doi: 10.1111/jce.16531. Epub 2024 Dec 30.

DOI:10.1111/jce.16531
PMID:39739508
原文链接:https://pmc.ncbi.nlm.nih.gov/articles/PMC11837874/
Abstract

INTRODUCTION

Intracardiac echocardiography (ICE) is an essential imaging modality for electrophysiology procedures, allowing intraprocedural monitoring, real-time catheter manipulation guidance, and visualization of complex anatomic structures. Four-dimentional (4D) ICE is the next stage in the evolution of the technology, permitting 360° rotation of the imaging plane, simultaneous multiplanar imaging, and volumetric acquisition, similar to transesophageal echocardiography (TEE). In this study, we report our experience with a novel 4D ICE catheter (NuVision, Biosense Webster) in structural electrophysiology procedures and difficult ventricular ablations in a swine preclinical model.

METHODS

7 Yorkshire swine underwent 4D ICE (NuVision, Biosense Webster) imaging procedures and anatomical shells of the RV, LV, and LA were created on the CARTO mapping system. Ablation was performed on the RV moderator band and LV papillary muscles under imaging guidance with the 4D ICE catheter. Additional ICE images were obtained of the LAA to simulate placement of a left atrial appendage occlusion (LAAO) device. Triphenyl tetrazolium chloride was administered before euthanasia and hearts were harvested, fixed in formalin, and sectioned.

RESULTS

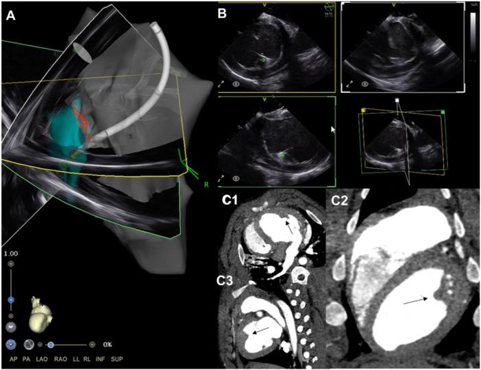
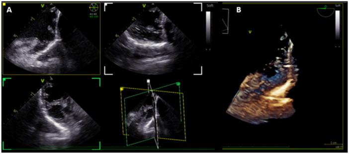
CARTOSOUND reconstruction was completed using the novel multiplane imaging software platform, allowing for creation of anatomy with minimal movement of the ICE catheter. Maps generated were similar to 3D reconstruction acquired in pre-procedure CT. Ablation lesions were successfully delivered to the LV papillary muscles and RV moderator band with excellent correlation between gross pathology, electroanatomic mapping (EAM), and ICE images. 2D, multiplane, and 3D volumetric images were obtained of the LAA with minimal catheter movement to simulate use for an LAAO procedure.

DISCUSSION

Intracardiac ultrasound has become an essential tool in the electrophysiology lab, especially for visualization of intracardiac structures in real time. 4D ICE is the natural progression of this technology, adding features previously only seen on TEE probes. In this preclinical study, 4D ICE was used to create CARTOSOUND shells with less catheter manipulation, which could decease procedural times and potentially decrease complications related to frequent manipulation of the ICE catheter. It was also placed in the left atrium to acquire multiplane and 3D rendered volumes of the left atrial appendage (LAA) similar to what would be required for an LAA occlusion procedure. This could be used as an alternative to TEE in LAAO procedures, potentially improving procedural efficiency and negating the need for general anesthesia. Additionally, it was used for real-time ablation guidance, specifically directly on the RV moderator band and LV papillary muscles. Multiplanar imaging allowed for more accurate catheter visualization and localization when targeting these complex 3D intracavitary structures.

CONCLUSION

4D ICE is the next stage in evolution of an essential imaging modality for electrophysiology procedures. Integration within the electroanatomical mapping system software platform may provide additional value for guiding ablation of challenging intracavitary structures and is a novel feature of the NuVision catheter. Through promising, this technology is new and further clinical investigation will be required to determine the ideal applications for its use.

摘要

引言

心腔内超声心动图(ICE)是电生理手术中必不可少的成像方式,可进行术中监测、实时导管操作引导以及观察复杂的解剖结构。四维(4D)ICE是该技术发展的下一阶段,它允许成像平面进行360°旋转、同时进行多平面成像以及容积采集,类似于经食管超声心动图(TEE)。在本研究中,我们报告了在猪临床前模型中使用新型4D ICE导管(NuVision,Biosense Webster)进行结构电生理手术和困难心室消融的经验。

方法

7只约克夏猪接受了4D ICE(NuVision,Biosense Webster)成像手术,并在CARTO标测系统上创建了右心室、左心室和左心房的解剖模型。在4D ICE导管的成像引导下,对右心室节制索和左心室乳头肌进行消融。获取了额外的左心耳ICE图像以模拟左心耳封堵(LAAO)装置的放置。在安乐死之前给予三苯基四氮唑氯化物,然后取出心脏,用福尔马林固定并切片。

结果

使用新型多平面成像软件平台完成了CARTOSOUND重建,在ICE导管移动最小的情况下创建了解剖模型。生成的图谱与术前CT获得的三维重建图谱相似。成功地将消融灶传递至左心室乳头肌和右心室节制索,大体病理学、电解剖标测(EAM)和ICE图像之间具有良好的相关性。通过最小的导管移动获取了左心耳的二维、多平面和三维容积图像,以模拟用于LAAO手术。

讨论

心腔内超声已成为电生理实验室中的重要工具,特别是用于实时观察心腔内结构。4D ICE是该技术的自然发展,增加了以前仅在TEE探头中看到的功能。在这项临床前研究中,4D ICE用于以较少的导管操作创建CARTOSOUND模型,这可以减少手术时间并可能减少与ICE导管频繁操作相关的并发症。它还被放置在左心房中以获取左心耳(LAA)的多平面和三维渲染容积,类似于LAA封堵手术所需的容积。这可以在LAAO手术中用作TEE的替代方法,有可能提高手术效率并消除全身麻醉的需要。此外,它用于实时消融引导,特别是直接用于右心室节制索和左心室乳头肌。多平面成像在靶向这些复杂的三维心腔内结构时允许更准确的导管可视化和定位。

结论

4D ICE是电生理手术重要成像方式发展的下一阶段。整合到电解剖标测系统软件平台中可能为引导具有挑战性的心腔内结构消融提供额外价值,并且是NuVision导管的一个新特性。尽管前景广阔,但这项技术是新的,需要进一步的临床研究来确定其理想的应用。

https://cdn.ncbi.nlm.nih.gov/pmc/blobs/7679/11837874/2389bb34f098/JCE-36-480-g003.jpg
https://cdn.ncbi.nlm.nih.gov/pmc/blobs/7679/11837874/69f549682976/JCE-36-480-g006.jpg
https://cdn.ncbi.nlm.nih.gov/pmc/blobs/7679/11837874/f7774e684418/JCE-36-480-g004.jpg
https://cdn.ncbi.nlm.nih.gov/pmc/blobs/7679/11837874/2ab522a23354/JCE-36-480-g005.jpg
https://cdn.ncbi.nlm.nih.gov/pmc/blobs/7679/11837874/b3b2c300dba2/JCE-36-480-g002.jpg
https://cdn.ncbi.nlm.nih.gov/pmc/blobs/7679/11837874/689985e9e4c5/JCE-36-480-g001.jpg
https://cdn.ncbi.nlm.nih.gov/pmc/blobs/7679/11837874/2389bb34f098/JCE-36-480-g003.jpg
https://cdn.ncbi.nlm.nih.gov/pmc/blobs/7679/11837874/69f549682976/JCE-36-480-g006.jpg
https://cdn.ncbi.nlm.nih.gov/pmc/blobs/7679/11837874/f7774e684418/JCE-36-480-g004.jpg
https://cdn.ncbi.nlm.nih.gov/pmc/blobs/7679/11837874/2ab522a23354/JCE-36-480-g005.jpg
https://cdn.ncbi.nlm.nih.gov/pmc/blobs/7679/11837874/b3b2c300dba2/JCE-36-480-g002.jpg
https://cdn.ncbi.nlm.nih.gov/pmc/blobs/7679/11837874/689985e9e4c5/JCE-36-480-g001.jpg
https://cdn.ncbi.nlm.nih.gov/pmc/blobs/7679/11837874/2389bb34f098/JCE-36-480-g003.jpg

相似文献

1
Preclinical Experience Using 4D Intracardiac Echocardiography to Guide Cardiac Electrophysiology Procedures.使用四维心内超声心动图指导心脏电生理手术的临床前经验。
J Cardiovasc Electrophysiol. 2025 Feb;36(2):480-486. doi: 10.1111/jce.16531. Epub 2024 Dec 30.
2
Step-by-step recommendations utilizing four-dimensional intracardiac echocardiography in left atrial appendage procedures.利用四维心腔内超声心动图在左心耳手术中的分步建议。
J Cardiovasc Electrophysiol. 2024 Aug;35(8):1601-1613. doi: 10.1111/jce.16309. Epub 2024 Jun 17.
3
Real-world experience utilizing the nuvision 4D intracardiac echocardiography catheter for left atrial appendage closure.利用 nuvision 4D 心内超声心动图导管进行左心耳封堵的真实世界经验。
Sci Rep. 2024 May 24;14(1):11937. doi: 10.1038/s41598-024-60692-5.
4
Use of a novel 4D intracardiac echocardiography catheter to guide interventional electrophysiology procedures.使用新型4D心腔内超声心动图导管指导介入性电生理手术。
J Cardiovasc Electrophysiol. 2021 Dec;32(12):3117-3124. doi: 10.1111/jce.15251. Epub 2021 Sep 28.
5
Three-dimensional intracardiac echocardiography for left atrial appendage sizing and percutaneous occlusion guidance.三维心腔内超声心动图在左心耳大小测量和经皮封堵中的指导作用。
Europace. 2023 Dec 28;26(1). doi: 10.1093/europace/euae010.
6
Use of Intracardiac Echocardiography in Interventional Cardiology: Working With the Anatomy Rather Than Fighting It.介入心脏病学中心内超声心动图的应用:顺应解剖结构而非与之对抗。
Circulation. 2018 May 22;137(21):2278-2294. doi: 10.1161/CIRCULATIONAHA.117.031343.
7
Intracardiac Echocardiography From the Left Atrium for Procedural Guidance of Transcatheter Left Atrial Appendage Occlusion.经心腔内超声心动图从左心房进行经导管左心耳封堵术的操作指导。
JACC Cardiovasc Interv. 2017 Nov 13;10(21):2198-2206. doi: 10.1016/j.jcin.2017.06.057. Epub 2017 Aug 30.
8
Intracardiac echocardiography for detection of thrombus in the left atrial appendage: comparison with transesophageal echocardiography in patients undergoing ablation for atrial fibrillation: the Action-Ice I Study.经胸超声心动图检测左心耳血栓:与房颤消融患者经食管超声心动图比较:ACTION-Ice I 研究。
Circ Arrhythm Electrophysiol. 2013 Dec;6(6):1074-81. doi: 10.1161/CIRCEP.113.000504. Epub 2013 Nov 15.
9
Impact of moderate sedation on electrophysiology lab time for left atrial appendage occlusion using 4D-intracardiac echocardiography.中度镇静对使用 4D 心内超声心动图进行左心耳封堵的电生理实验室时间的影响。
J Cardiovasc Electrophysiol. 2024 Nov;35(11):2202-2210. doi: 10.1111/jce.16445. Epub 2024 Sep 25.
10
Transcatheter Left Atrial Appendage Closure Using Intracardiac Echocardiographic Guidance From the Left Atrium.经心腔内超声心动图从左心房引导下经导管左心耳封堵术。
Can J Cardiol. 2015 Dec;31(12):1497.e7-1497.e14. doi: 10.1016/j.cjca.2015.04.031. Epub 2015 May 18.

引用本文的文献

1
The Role of Imaging in Ventricular Tachycardia Ablation.影像学在室性心动过速消融中的作用。
Diagnostics (Basel). 2025 Aug 6;15(15):1973. doi: 10.3390/diagnostics15151973.

本文引用的文献

1
Feasibility of three-dimensional artificial intelligence algorithm integration with intracardiac echocardiography for left atrial imaging during atrial fibrillation catheter ablation.三维人工智能算法与心腔内超声心动图在房颤导管消融中心房成像中的可行性。
Europace. 2023 Aug 2;25(9). doi: 10.1093/europace/euad211.
2
Intracardiac Echocardiography to Guide Catheter Ablation of Idiopathic Ventricular Arrythmias.心内超声心动图引导导管消融特发性室性心律失常。
Card Electrophysiol Clin. 2021 Jun;13(2):325-335. doi: 10.1016/j.ccep.2021.03.010. Epub 2021 Apr 24.
3
Role of Intracardiac Echography for Transcatheter Occlusion of Left Atrial Appendage.
心内超声在经导管左心耳封堵术中的作用。
Card Electrophysiol Clin. 2021 Jun;13(2):313-323. doi: 10.1016/j.ccep.2021.02.004. Epub 2021 Apr 24.
4
Intracardiac Echocardiography to Guide Catheter Ablation of Ventricular Arrhythmias in Ischemic Cardiomyopathy.心内超声心动图引导缺血性心肌病室性心律失常导管消融
Card Electrophysiol Clin. 2021 Jun;13(2):285-292. doi: 10.1016/j.ccep.2021.02.002. Epub 2021 Apr 24.
5
Intracardiac echocardiography versus transesophageal echocardiography for left atrial appendage closure: an updated meta-analysis and systematic review.经心腔内超声心动图与经食管超声心动图用于左心耳封堵术的比较:一项更新的荟萃分析与系统评价
Am J Cardiovasc Dis. 2020 Dec 15;10(5):538-547. eCollection 2020.
6
Strategies for Catheter Ablation of Left Ventricular Papillary Muscle Arrhythmias: An Institutional Experience.左心室乳头肌心律失常导管消融的策略:一项机构经验。
JACC Clin Electrophysiol. 2020 Oct 26;6(11):1381-1392. doi: 10.1016/j.jacep.2020.06.026. Epub 2020 Sep 16.
7
Real-world outcomes of ventricular tachycardia catheter ablation with versus without intracardiac echocardiography.有与没有心内超声心动图辅助下室性心动过速导管消融的真实世界结果
J Cardiovasc Electrophysiol. 2020 Feb;31(2):417-422. doi: 10.1111/jce.14324. Epub 2019 Dec 27.
8
Intracardiac Echocardiography in Structural Heart Disease Interventions.结构性心脏病介入治疗中的腔内超声心动图。
JACC Cardiovasc Interv. 2018 Nov 12;11(21):2133-2147. doi: 10.1016/j.jcin.2018.06.056.
9
Role of intracardiac echocardiography for guiding ablation of tricuspid valve arrhythmias.心腔内超声心动图在指导三尖瓣心律失常消融中的作用。
HeartRhythm Case Rep. 2018 May 7;4(6):209-213. doi: 10.1016/j.hrcr.2018.02.010. eCollection 2018 Jun.
10
Use of Intracardiac Echocardiography in Interventional Cardiology: Working With the Anatomy Rather Than Fighting It.介入心脏病学中心内超声心动图的应用:顺应解剖结构而非与之对抗。
Circulation. 2018 May 22;137(21):2278-2294. doi: 10.1161/CIRCULATIONAHA.117.031343.