Suppr超能文献

使用[F]PSMA - 1007 PET/CT对前列腺外扩展和精囊侵犯进行半标准化评估:与以组织病理学为参考的MRI比较

Semi-standardized evaluation of extraprostatic extension and seminal vesicle invasion with [F]PSMA-1007 PET/CT: a comparison to MRI using histopathology as reference.

作者信息

Hvittfeldt Erland, Hedeer Fredrik, Thimansson Erik, Sandeman Kevin, Minarik David, Ingvar Jacob, Bjartell Anders, Trägårdh Elin

机构信息

Department of Translational Medicine, Lund University, Lund, Sweden.

Department of Clinical Physiology and Nuclear Medicine, Skåne University Hospital, Malmö, Lund, Sweden.

出版信息

EJNMMI Rep. 2025 Jan 3;9(1):1. doi: 10.1186/s41824-024-00234-4.

Abstract

BACKGROUND

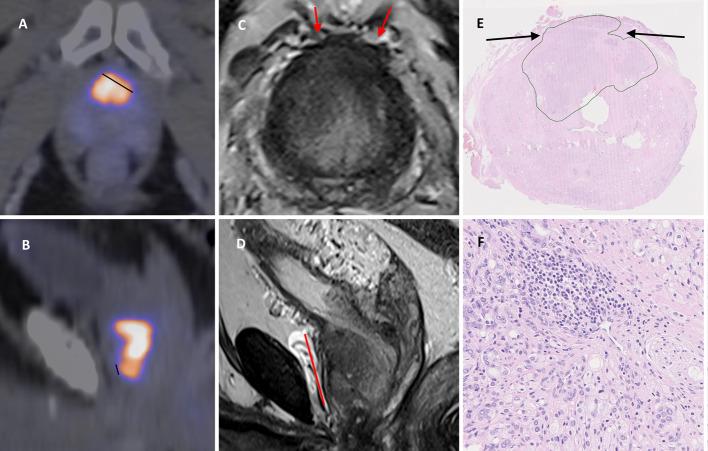
Positron emission tomography/computed tomography (PET/CT) with prostate specific membrane antigen ligands (PSMA) is established for use in primary staging of prostate cancer to screen for metastases. It has also shown promise in local tumor staging, including detection of extraprostatic extension (EPE) and seminal vesicle invasion (SVI). Previous studies have shown high heterogeneity in methods and results. Our aim was to compare [F]PSMA-1007 PET/CT to magnetic resonance imaging (MRI) in evaluation of EPE and SVI, building on a previously described method for standardized evaluation. We retrospectively included 124 patients who had undergone MRI, PSMA PET/CT and prostatectomy. PSMA PET/CT images were evaluated by two nuclear medicine physicians. Using a standardized method, they measured length of capsular contact (LCC) and assessed EPE and SVI visually with the use of 5-point Likert scales. A radiologist evaluated MRI images using criteria based on Prostate Imaging-Reporting and Data System version and incorporating LCC measurement and Likert scales. We evaluated diagnostic performance with histopathology as reference, and the interrater reliability of the PET evaluations.

RESULTS

The sensitivity and specificity for detecting EPE with the quantitative LCC method for PSMA PET/CT was 0.46/0.91, for the visual method 0.28/0.82 and for the combination of the two 0.54/0.76. AUC in ROC analysis for the LCC method was 0.70. For MRI the sensitivity and specificity were 0.80/0.64. For SVI, PET/CT and MRI had sensitivity and specificity of 0.14/1.0 and 0.50/0.92 respectively. The intraclass correlation coefficient for the PET LCC measurement was 0.68, the kappa values for the visual Likert scales for PET were 0.53 for EPE and 0.63 for SVI.

CONCLUSIONS

In this study, we attempted to standardize quantitative and qualitative PSMA PET/CT evaluation of EPE and SVI and compare the method with MRI. MRI had a higher sensitivity for EPE while PSMA had a higher specificity. For SVI, both methods had high specificity. The interrater reliability for the PSMA PET/CT evaluations was moderate to substantial.

摘要

背景

正电子发射断层扫描/计算机断层扫描(PET/CT)联合前列腺特异性膜抗原配体(PSMA)已被用于前列腺癌的初始分期以筛查转移灶。它在局部肿瘤分期方面也显示出前景,包括检测前列腺外侵犯(EPE)和精囊侵犯(SVI)。既往研究表明方法和结果存在高度异质性。我们的目的是在先前描述的标准化评估方法基础上,比较[F]PSMA - 1007 PET/CT与磁共振成像(MRI)在评估EPE和SVI方面的差异。我们回顾性纳入了124例接受过MRI、PSMA PET/CT和前列腺切除术的患者。PSMA PET/CT图像由两名核医学医师评估。他们使用标准化方法测量包膜接触长度(LCC),并使用5级李克特量表直观评估EPE和SVI。一名放射科医生根据前列腺影像报告和数据系统版本的标准评估MRI图像,并纳入LCC测量和李克特量表。我们以组织病理学为参考评估诊断性能,以及PET评估的评分者间信度。

结果

PSMA PET/CT定量LCC法检测EPE的敏感性和特异性分别为0.46/0.91;视觉法为0.28/0.82;两者结合为0.54/0.76。LCC法在ROC分析中的AUC为0.70。MRI检测EPE的敏感性和特异性分别为0.80/0.64。对于SVI,PET/CT和MRI的敏感性和特异性分别为0.14/1.0和0.50/0.92。PET LCC测量的组内相关系数为0.68,PET视觉李克特量表评估EPE的kappa值为0.53,评估SVI的kappa值为0.63。

结论

在本研究中,我们试图对EPE和SVI的PSMA PET/CT定量和定性评估进行标准化,并将该方法与MRI进行比较。MRI对EPE的敏感性较高,而PSMA的特异性较高。对于SVI,两种方法的特异性都很高。PSMA PET/CT评估的评分者间信度为中度到高度。

https://cdn.ncbi.nlm.nih.gov/pmc/blobs/c014/11695508/db95e419e242/41824_2024_234_Fig1_HTML.jpg

文献检索

告别复杂PubMed语法,用中文像聊天一样搜索,搜遍4000万医学文献。AI智能推荐,让科研检索更轻松。

立即免费搜索

文件翻译

保留排版,准确专业,支持PDF/Word/PPT等文件格式,支持 12+语言互译。

免费翻译文档

深度研究

AI帮你快速写综述,25分钟生成高质量综述,智能提取关键信息,辅助科研写作。

立即免费体验