Suppr超能文献

通过三维磁共振成像(3D MRI)重建距腓前韧带三维模型诊断踝关节扭伤的可行性。

The feasibility of diagnosing sprained ankle via 3D MRI reconstructing three-dimensional model of anterior talofibular ligament.

作者信息

He Lei, Dai Meng, Xu Yan, Ouyang Liu, Duan Deyu, Huang Zhaogang, Xiang Chenghao

机构信息

Department of Orthopaedics, Minda Hospital of Hubei Minzu University, Enshi, China.

Hubei Provincial Key Laboratory of Occurrence and Intervention of Rheumatic Diseases, Hubei Minzu University, Enshi, China.

出版信息

Front Sports Act Living. 2024 Dec 19;6:1488082. doi: 10.3389/fspor.2024.1488082. eCollection 2024.

Abstract

INTRODUCTION

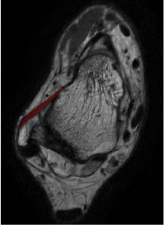
The anterior talofibular ligament (ATFL) is the most vulnerable ligament in ankle sprains. Most patients recover after this injury with conservative treatment, while 20%-40% progress to chronic ankle instability that requires surgical stabilization. Conventional MRI does not provide a comprehensive image of the ATFL. We aimed to evaluate the feasibility of using 3D MRI to facilitate the understanding of ATFL injuries and the operative planning.

METHODS

A total of 21 healthy asymptomatic volunteers with 30 normally functioning ankles and 13 patients with 18 sprained ankles were studied. MRI scans were divided into two groups: Group 1 (normal ankle) and Group 2 (injured ankle). The data of all 48 cases were exported to Mimics and reconstructed into 3D models. The image quality of all 3D models was evaluated using a 5-point subjective scoring system. The length, width, and thickness of the ATFL were measured in the 3D model in Mimics and compared to the 3D MPR image data.

RESULTS

The image quality score was 4.57 ± 0.32. There was no statistically significant difference between the 3D model and the 3D MPR image of ATFL measurements in both groups ( > 0.05).

DISCUSSION

We concluded that 3D MRI can be used to reconstruct a 3D model of the ATFL for accurate measurements of the ATFL anatomical structure, which holds potential to improve preoperative planning and intraoperative navigation for young sports medicine doctor, facilitate diagnosis of ATFL injuries and make the decision about the operative method.

摘要

引言

距腓前韧带(ATFL)是踝关节扭伤中最易受损的韧带。大多数患者经保守治疗后可康复,而20% - 40%的患者会发展为慢性踝关节不稳,需要手术稳定。传统MRI无法全面显示ATFL的图像。我们旨在评估使用三维MRI来辅助理解ATFL损伤及手术规划的可行性。

方法

共研究了21名健康无症状志愿者的30个功能正常的踝关节以及13名患者的18个扭伤的踝关节。MRI扫描分为两组:第1组(正常踝关节)和第2组(受伤踝关节)。将所有48例病例的数据导出至Mimics并重建为三维模型。使用五分主观评分系统评估所有三维模型的图像质量。在Mimics中的三维模型上测量ATFL的长度、宽度和厚度,并与三维多平面重建(MPR)图像数据进行比较。

结果

图像质量评分为4.57±0.32。两组中ATFL测量的三维模型与三维MPR图像之间无统计学显著差异(P>0.05)。

讨论

我们得出结论,三维MRI可用于重建ATFL的三维模型,以精确测量ATFL的解剖结构,这对于年轻的运动医学医生改善术前规划和术中导航、辅助ATFL损伤的诊断以及决定手术方法具有潜在价值。

https://cdn.ncbi.nlm.nih.gov/pmc/blobs/d1af/11693451/c72a027952d0/fspor-06-1488082-g001.jpg

文献检索

告别复杂PubMed语法,用中文像聊天一样搜索,搜遍4000万医学文献。AI智能推荐,让科研检索更轻松。

立即免费搜索

文件翻译

保留排版,准确专业,支持PDF/Word/PPT等文件格式,支持 12+语言互译。

免费翻译文档

深度研究

AI帮你快速写综述,25分钟生成高质量综述,智能提取关键信息,辅助科研写作。

立即免费体验