Suppr超能文献

一名患有非小细胞肺癌、系统性硬化症和间质性肺炎患者的马尔默分枝杆菌肺部感染:病例报告及文献简要综述

Pulmonary Mycobacterium malmoense Infection in a Patient with Non-small Cell Lung Cancer, Systemic Sclerosis, and Interstitial Pneumonia: A Case Report and Brief Review of the Literature.

作者信息

Torii Ryo, Akata Kentaro, Yamasaki Kei, Yamaguchi Yudai, Nabe Yusuke, Inoue Masaaki, Hirose Nobuyuki, Yoshida Junichi, Yatera Kazuhiro

机构信息

Department of Respiratory Medicine, Wakamatsu Hospital of the University of Occupational and Environmental Health, Japan.

Division of Infection Control and Prevention, University of Occupational and Environmental Health, Japan.

出版信息

Intern Med. 2025 Jul 15;64(14):2223-2228. doi: 10.2169/internalmedicine.4633-24. Epub 2025 Jan 3.

Abstract

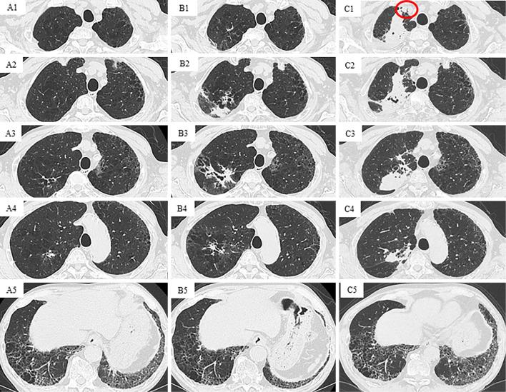
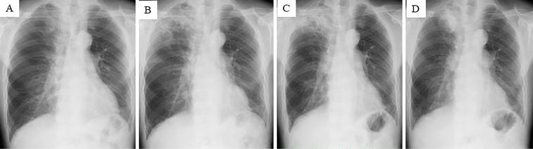
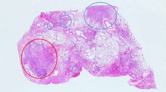
A 69-year-old man with systemic sclerosis and interstitial pneumonia presented with an abnormal shadow in the right upper lung lobe. A thoracoscopic needle biopsy was performed on the right upper lobe lesion, and Mycobacterium malmoense was identified by 16S rRNA and rpoB gene sequencing. Surgical treatment was performed to obtain a radical cure, and lung squamous cell carcinoma and M. malmoense infection were detected in the resected specimen. We herein report the first case of the successful treatment of a patient with pulmonary M. malmoense infection and concomitant lung squamous cell carcinoma.

摘要

一名患有系统性硬化症和间质性肺炎的69岁男性,右上肺叶出现异常阴影。对右上叶病变进行了胸腔镜针吸活检,通过16S rRNA和rpoB基因测序鉴定出马尔默分枝杆菌。为实现根治进行了手术治疗,在切除标本中检测到肺鳞状细胞癌和马尔默分枝杆菌感染。我们在此报告首例成功治疗肺部马尔默分枝杆菌感染合并肺鳞状细胞癌患者的病例。

https://cdn.ncbi.nlm.nih.gov/pmc/blobs/29c2/12331295/d187b8b5dcb8/1349-7235-64-14-2223-g001.jpg

文献检索

告别复杂PubMed语法,用中文像聊天一样搜索,搜遍4000万医学文献。AI智能推荐,让科研检索更轻松。

立即免费搜索

文件翻译

保留排版,准确专业,支持PDF/Word/PPT等文件格式,支持 12+语言互译。

免费翻译文档

深度研究

AI帮你快速写综述,25分钟生成高质量综述,智能提取关键信息,辅助科研写作。

立即免费体验