Suppr超能文献

同步性急性阑尾炎和胆囊炎

Synchronous Acute Appendicitis and Cholecystitis.

作者信息

Aljunaydil Abdullah A, Mattar Rafif E, Almufawaz Khadija, AlOthman Ghada, Aljaedi Hamad, Alalem Faisal

机构信息

Department of Surgery, King Saud University Medical City, Riyadh, Saudi Arabia. (Drs. Aljunaydil, Mattar, Almufawaz, AlOthman, and Alalem).

Department of Pathology, College of Medicine, King Saud University Medical City, King Saud University, Riyadh, Saudi Arabia. (Dr. Aljaedi).

出版信息

CRSLS. 2025 Jan 2;11(3). doi: 10.4293/CRSLS.2024.00004. eCollection 2024 Jul-Sep.

Abstract

INTRODUCTION

Acute appendicitis and acute cholecystitis are two of the most commonly encountered surgical entities. Multiple hypotheses are behind their coexistence, which include pathogen predilection, and mucosal ischemia inducing portal vein bacteremia as the management of uncomplicated acute cholecystitis and acute appendicitis is surgical, for which a single operation for synchronous presentation is effective. Here, we report a case with coexistent acute cholecystitis and acute appendicitis managed at our institution.

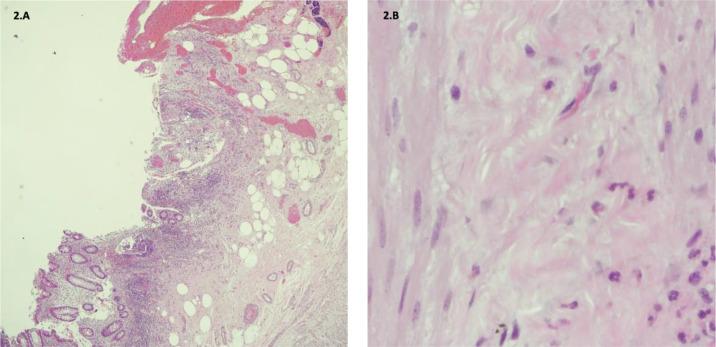
CASE/TECHNIQUE DESCRIPTION: A 30-year-old female presented with right upper quadrant abdominal pain for four days. The pain was radiating to the right shoulder, not related to fatty foods, associated with vomiting, anorexia, and burning micturition. On examination, she was vitally stable and afebrile with soft nondistended abdomen, a negative Murphy's sign, right lower quadrant rebound tenderness, and suprapubic tenderness. Laboratory tests showed leukocytosis (17.59 × 10) and high ALT (40 IU/L) and AST (32.5 IU/L). Ultrasound showed a distended gallbladder with two echogenic intraluminal nonshadowing echogenicity, the largest measuring 0.57 cm. Due to the vague presentation we elected to go for computed tomography of the abdomen which showed a distended gallbladder with adjacent fat stranding, subhepatic appendix with distended tip and no surrounding fat stranding. She underwent diagnostic laparoscopy with cholecystectomy and appendectomy. The patient had an uneventful postoperative course and was discharge home on day 1.

CONCLUSION

We aim to shed light on the rare, but possible, synchronous coexistence of these diseases, raise the index of clinical suspicion. Management options for synchronous presentation can follow their asynchronous guidelines such as Tokyo and WSES.

摘要

引言

急性阑尾炎和急性胆囊炎是两种最常见的需手术治疗的疾病。它们并存背后有多种假说,包括病原体偏好以及黏膜缺血导致门静脉菌血症,因为单纯性急性胆囊炎和急性阑尾炎的治疗方法是手术,对于同时出现的情况,单次手术即可有效。在此,我们报告我院收治的一例急性胆囊炎和急性阑尾炎并存的病例。

病例/技术描述:一名30岁女性因右上腹疼痛4天前来就诊。疼痛向右肩部放射,与油腻食物无关,伴有呕吐、厌食和尿痛。检查时,她生命体征平稳,无发热,腹部柔软无膨隆,墨菲氏征阴性,右下腹有反跳痛,耻骨上有压痛。实验室检查显示白细胞增多(17.59×10),谷丙转氨酶(ALT)升高(40 IU/L),谷草转氨酶(AST)升高(32.5 IU/L)。超声显示胆囊增大,腔内有两个无回声的强回声团,最大直径为0.57 cm。由于临床表现不明确,我们选择进行腹部计算机断层扫描,结果显示胆囊增大,周围脂肪有渗出,肝下阑尾尖端增大,周围无脂肪渗出。她接受了诊断性腹腔镜胆囊切除术和阑尾切除术。患者术后恢复顺利,术后第1天出院。

结论

我们旨在阐明这些疾病罕见但可能同时存在的情况,提高临床怀疑指数。对于同时出现的情况,治疗方案可遵循其不同时出现时的指南,如东京指南和世界急诊外科学会(WSES)指南。

https://cdn.ncbi.nlm.nih.gov/pmc/blobs/c3bb/11697797/9d003c2c4e73/LS-JSLS240023F001.jpg

文献检索

告别复杂PubMed语法,用中文像聊天一样搜索,搜遍4000万医学文献。AI智能推荐,让科研检索更轻松。

立即免费搜索

文件翻译

保留排版,准确专业,支持PDF/Word/PPT等文件格式,支持 12+语言互译。

免费翻译文档

深度研究

AI帮你快速写综述,25分钟生成高质量综述,智能提取关键信息,辅助科研写作。

立即免费体验