• 文献检索
  • 文档翻译
  • 深度研究
  • 学术资讯
  • Suppr Zotero 插件Zotero 插件
  • 邀请有礼
  • 套餐&价格
  • 历史记录
应用&插件
Suppr Zotero 插件Zotero 插件浏览器插件Mac 客户端Windows 客户端微信小程序
定价
高级版会员购买积分包购买API积分包
服务
文献检索文档翻译深度研究API 文档MCP 服务
关于我们
关于 Suppr公司介绍联系我们用户协议隐私条款
关注我们

Suppr 超能文献

核心技术专利:CN118964589B侵权必究
粤ICP备2023148730 号-1Suppr @ 2026

文献检索

告别复杂PubMed语法,用中文像聊天一样搜索,搜遍4000万医学文献。AI智能推荐,让科研检索更轻松。

立即免费搜索

文件翻译

保留排版,准确专业,支持PDF/Word/PPT等文件格式,支持 12+语言互译。

免费翻译文档

深度研究

AI帮你快速写综述,25分钟生成高质量综述,智能提取关键信息,辅助科研写作。

立即免费体验

CREB3L1促进胰腺肿瘤进展,并对肿瘤内肿瘤相关巨噬细胞进行重编程,以形成免疫治疗抗性微环境。

CREB3L1 facilitates pancreatic tumor progression and reprograms intratumoral tumor-associated macrophages to shape an immunotherapy-resistance microenvironment.

作者信息

Xu Haiyan, Xue Shengbai, Sun Yang, Ma Jingyu, Li Shumin, Wang Yanling, Mao Tiebo, Ge Weiyu, Yue Ming, Shentu Daiyuan, Lu Wenxin, Wang Yongchao, Hu Jiong, Cui Jiujie, Zhang Xiaofei, Cai Li, Wang Yu, Wang Liwei

机构信息

State Key Laboratory of Systems Medicine for Cancer of Oncology Department and Shanghai Cancer Institute, Renji Hospital, School of Medicine, Shanghai Jiao Tong University, Shanghai, China

State Key Laboratory of Systems Medicine for Cancer of Oncology Department and Shanghai Cancer Institute, Renji Hospital, School of Medicine, Shanghai Jiao Tong University, Shanghai, China.

出版信息

J Immunother Cancer. 2025 Jan 6;13(1):e010029. doi: 10.1136/jitc-2024-010029.

DOI:10.1136/jitc-2024-010029
PMID:39762079
原文链接:https://pmc.ncbi.nlm.nih.gov/articles/PMC11749327/
Abstract

BACKGROUND

To date, a growing body of evidence suggests that unfolded protein response (UPR) sensors play a vital role in carcinogenesis. However, it remains unclear whether they are involved in pancreatic ductal adenocarcinoma (PDAC) and how they relate to clinical outcomes. This study aims to investigate the biological function and mechanism of how a novel UPR sensor, CREB3L1 works in PDAC and further evaluate its clinical application prospect.

METHODS

We tested UPR signaling including CREB3L1 in Thapsigargin-treated PDAC cells. Subsequently, we defined CREB3L1 expression and further analyzed its expression with clinical characteristics in PDAC. Then, we established gene-modified cells to determine whether CREB3L1 functions in cell proliferation and migration capacity. Besides, we constructed subcutaneously and orthotopically transplanted mice models to verify their progrowing function and pulmonary metastasis models to prove their proinvasion role. What's more, RNAseq, qPCR, Western blotting, immunohistochemistry and multicolor flow cytometry experiments were used to explore the mechanism of how CREB3L1 worked in PDAC. Lastly, CREB3L1 expression correlation with PDAC immunotherapy outcome and immune cell signatures were explored in the patients with advanced PDAC who received PD-1 antibody therapy.

RESULTS

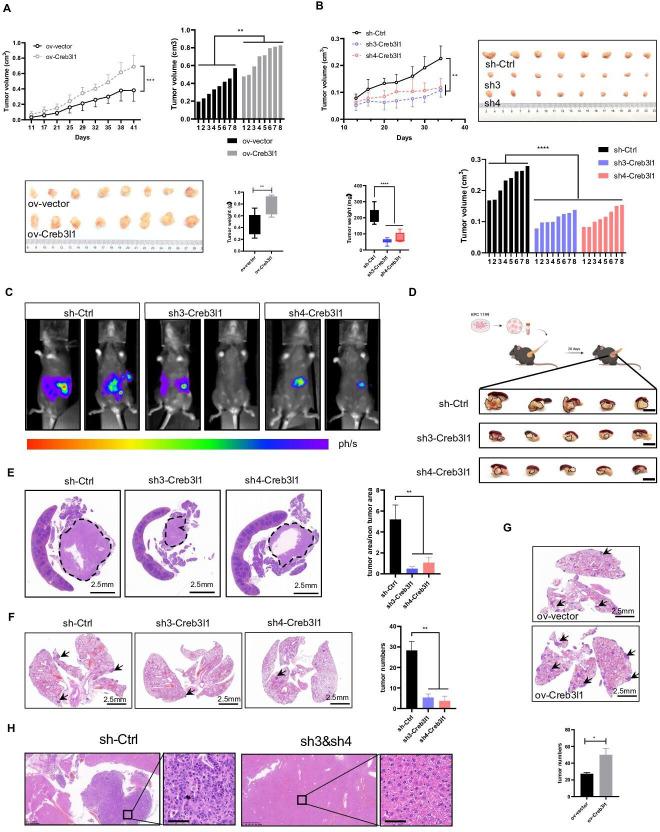
We first confirmed CREB3L1 could be induced by endoplasmic reticulum stressor and found its aberrant activation was associated with poorer overall survival in PDAC patients indicating the protumor function of the new UPR sensor. Functionally, we confirmed CREB3L1 contributing to PDAC malignant progression including growth and metastasis by multiple in in vitro and in vivo models. Mechanistically, CREB3L1 upregulated COL3A1 and promoted dense stroma formation for facilitating PDAC and knocking down COL3A1 disrupted CREB3L1 protumor function. Furthermore, CREB3L1-induced TAM polarization toward an M2 phenotype and reduced the infiltration of CD8 T cells. Clinically, CREB3L1 correlated with immune cell signatures as well as immune checkpoint blockade (ICB) treatment response and outcome that CREB3L1aberrant activation indicated poorer efficacy and worse prognosis than the low in PDAC which might empower clinical decision.

CONCLUSIONS

Collectively, this study revealed CREB3L1 facilitated PDAC progression, shaped an immune exclude tumor microenvironment and distinguished therapy response and outcome of ICB therapy indicating CREB3L1 could be a promising novel molecular target and biomarker for PDAC treatment.

摘要

背景

迄今为止,越来越多的证据表明未折叠蛋白反应(UPR)传感器在肿瘤发生中起着至关重要的作用。然而,它们是否参与胰腺导管腺癌(PDAC)以及它们与临床结局的关系仍不清楚。本研究旨在探讨一种新型UPR传感器CREB3L1在PDAC中的生物学功能和作用机制,并进一步评估其临床应用前景。

方法

我们检测了毒胡萝卜素处理的PDAC细胞中的UPR信号,包括CREB3L1。随后,我们确定了CREB3L1的表达,并进一步分析了其在PDAC中的表达与临床特征的关系。然后,我们建立了基因修饰细胞,以确定CREB3L1是否在细胞增殖和迁移能力中发挥作用。此外,我们构建了皮下和原位移植小鼠模型,以验证其促生长功能,并构建了肺转移模型,以证明其促侵袭作用。更重要的是,我们使用RNA测序、qPCR、蛋白质免疫印迹、免疫组织化学和多色流式细胞术实验来探索CREB3L1在PDAC中发挥作用的机制。最后,在接受PD-1抗体治疗的晚期PDAC患者中,探讨了CREB3L1表达与PDAC免疫治疗结果及免疫细胞特征的相关性。

结果

我们首先证实CREB3L1可被内质网应激诱导,并发现其异常激活与PDAC患者较差的总生存期相关,表明这种新的UPR传感器具有促肿瘤功能。在功能上,我们通过多种体外和体内模型证实CREB3L1促进了PDAC的恶性进展,包括生长和转移。在机制上,CREB3L1上调COL3A1并促进致密基质形成以促进PDAC,敲低COL3A1破坏了CREB3L1的促肿瘤功能。此外,CREB3L1诱导肿瘤相关巨噬细胞向M2表型极化,并减少CD8 T细胞的浸润。在临床上,CREB3L1与免疫细胞特征以及免疫检查点阻断(ICB)治疗反应和结果相关,CREB3L1的异常激活表明其疗效比低表达者差,预后更差,这可能有助于临床决策。

结论

总体而言,本研究揭示了CREB促进了PDAC的进展,塑造了免疫排斥性肿瘤微环境,并区分了ICB治疗的反应和结果,表明CREB3L1可能是PDAC治疗中一个有前景的新型分子靶点和生物标志物。

https://cdn.ncbi.nlm.nih.gov/pmc/blobs/feff/11749327/8cc062f2ea43/jitc-13-1-g006.jpg
https://cdn.ncbi.nlm.nih.gov/pmc/blobs/feff/11749327/2695b9db00c3/jitc-13-1-g001.jpg
https://cdn.ncbi.nlm.nih.gov/pmc/blobs/feff/11749327/9e1dd398ea66/jitc-13-1-g002.jpg
https://cdn.ncbi.nlm.nih.gov/pmc/blobs/feff/11749327/796bb08e091f/jitc-13-1-g003.jpg
https://cdn.ncbi.nlm.nih.gov/pmc/blobs/feff/11749327/b8cff6785ac4/jitc-13-1-g004.jpg
https://cdn.ncbi.nlm.nih.gov/pmc/blobs/feff/11749327/e5c0489dba63/jitc-13-1-g005.jpg
https://cdn.ncbi.nlm.nih.gov/pmc/blobs/feff/11749327/8cc062f2ea43/jitc-13-1-g006.jpg
https://cdn.ncbi.nlm.nih.gov/pmc/blobs/feff/11749327/2695b9db00c3/jitc-13-1-g001.jpg
https://cdn.ncbi.nlm.nih.gov/pmc/blobs/feff/11749327/9e1dd398ea66/jitc-13-1-g002.jpg
https://cdn.ncbi.nlm.nih.gov/pmc/blobs/feff/11749327/796bb08e091f/jitc-13-1-g003.jpg
https://cdn.ncbi.nlm.nih.gov/pmc/blobs/feff/11749327/b8cff6785ac4/jitc-13-1-g004.jpg
https://cdn.ncbi.nlm.nih.gov/pmc/blobs/feff/11749327/e5c0489dba63/jitc-13-1-g005.jpg
https://cdn.ncbi.nlm.nih.gov/pmc/blobs/feff/11749327/8cc062f2ea43/jitc-13-1-g006.jpg

相似文献

1
CREB3L1 facilitates pancreatic tumor progression and reprograms intratumoral tumor-associated macrophages to shape an immunotherapy-resistance microenvironment.CREB3L1促进胰腺肿瘤进展,并对肿瘤内肿瘤相关巨噬细胞进行重编程,以形成免疫治疗抗性微环境。
J Immunother Cancer. 2025 Jan 6;13(1):e010029. doi: 10.1136/jitc-2024-010029.
2
Single-cell RNA sequencing reveals compartmental remodeling of tumor-infiltrating immune cells induced by anti-CD47 targeting in pancreatic cancer.单细胞 RNA 测序揭示了抗 CD47 靶向治疗诱导的胰腺癌肿瘤浸润免疫细胞的区室重排。
J Hematol Oncol. 2019 Nov 27;12(1):124. doi: 10.1186/s13045-019-0822-6.
3
Elevated protein lactylation promotes immunosuppressive microenvironment and therapeutic resistance in pancreatic ductal adenocarcinoma.蛋白质乳酰化水平升高促进胰腺导管腺癌的免疫抑制微环境和治疗抵抗。
J Clin Invest. 2025 Jan 30;135(7):e187024. doi: 10.1172/JCI187024.
4
Tumor-associated neutrophils upregulate Nectin2 expression, creating the immunosuppressive microenvironment in pancreatic ductal adenocarcinoma.肿瘤相关中性粒细胞上调 Nectin2 的表达,在胰腺导管腺癌中形成免疫抑制微环境。
J Exp Clin Cancer Res. 2024 Sep 11;43(1):258. doi: 10.1186/s13046-024-03178-6.
5
β-Catenin mediated TAM phenotype promotes pancreatic cancer metastasis via the OSM/STAT3/LOXL2 axis.β-连环蛋白介导的肿瘤相关巨噬细胞表型通过OSM/STAT3/LOXL2轴促进胰腺癌转移。
Neoplasia. 2025 Feb;60:101096. doi: 10.1016/j.neo.2024.101096. Epub 2024 Dec 30.
6
CD40L-armed oncolytic herpes simplex virus suppresses pancreatic ductal adenocarcinoma by facilitating the tumor microenvironment favorable to cytotoxic T cell response in the syngeneic mouse model.CD40L 武装溶瘤单纯疱疹病毒通过促进同种小鼠模型中有利于细胞毒性 T 细胞反应的肿瘤微环境来抑制胰腺导管腺癌。
J Immunother Cancer. 2022 Jan;10(1). doi: 10.1136/jitc-2021-003809.
7
Macrophage-derived exosomal microRNA-501-3p promotes progression of pancreatic ductal adenocarcinoma through the TGFBR3-mediated TGF-β signaling pathway.巨噬细胞衍生的外泌体 microRNA-501-3p 通过 TGFBR3 介导的 TGF-β 信号通路促进胰腺导管腺癌的进展。
J Exp Clin Cancer Res. 2019 Jul 15;38(1):310. doi: 10.1186/s13046-019-1313-x.
8
IFNα-induced BST2 tumor-associated macrophages facilitate immunosuppression and tumor growth in pancreatic cancer by ERK-CXCL7 signaling.IFNα 诱导的 BST2 肿瘤相关巨噬细胞通过 ERK-CXCL7 信号促进胰腺癌中的免疫抑制和肿瘤生长。
Cell Rep. 2024 Apr 23;43(4):114088. doi: 10.1016/j.celrep.2024.114088. Epub 2024 Apr 10.
9
DAMPs prognostic signature predicts tumor immunotherapy, and identifies immunosuppressive mechanism of pannexin 1 channels in pancreatic ductal adenocarcinoma.损伤相关分子模式预后特征预测肿瘤免疫治疗,并确定了胰腺导管腺癌中泛连接蛋白1通道的免疫抑制机制。
Front Immunol. 2025 Jan 15;15:1516457. doi: 10.3389/fimmu.2024.1516457. eCollection 2024.
10
CD200 promotes immunosuppression in the pancreatic tumor microenvironment.CD200 促进胰腺肿瘤微环境中的免疫抑制。
J Immunother Cancer. 2020 Jun;8(1). doi: 10.1136/jitc-2019-000189. Epub 2020 Jun 23.

引用本文的文献

1
Tumoroid model recreates clinically relevant phenotypes of high grade serous ovarian cancer (HGSC) cells, carcinoma associated fibroblasts, and macrophages.肿瘤样模型再现了高级别浆液性卵巢癌(HGSC)细胞、癌相关成纤维细胞和巨噬细胞的临床相关表型。
Res Sq. 2025 Jun 19:rs.3.rs-6614892. doi: 10.21203/rs.3.rs-6614892/v1.
2
Advancing Precision Medicine in PDAC: An Ethical Scoping Review and Call to Action for IHC Implementation.推进胰腺癌的精准医学:免疫组化实施的伦理范围审查及行动呼吁
Cancers (Basel). 2025 Jun 6;17(12):1899. doi: 10.3390/cancers17121899.
3
Immunosuppressive tumor microenvironment in pancreatic cancer: mechanisms and therapeutic targets.

本文引用的文献

1
Toripalimab plus chemotherapy and radiotherapy for treatment-naive advanced esophageal squamous cell carcinoma: a single-arm phase 2 trial.特瑞普利单抗联合放化疗治疗初治的晚期食管鳞癌:一项单臂、2 期临床试验。
Nat Commun. 2024 Aug 20;15(1):7116. doi: 10.1038/s41467-024-51105-2.
2
The radiomics nomogram predicts the prognosis of pancreatic cancer patients with hepatic metastasis after chemoimmunotherapy.放射组学列线图预测化疗免疫治疗后合并肝转移的胰腺癌患者的预后。
Cancer Immunol Immunother. 2024 Mar 30;73(5):87. doi: 10.1007/s00262-024-03644-2.
3
Matrix viscoelasticity promotes liver cancer progression in the pre-cirrhotic liver.
胰腺癌中的免疫抑制性肿瘤微环境:机制与治疗靶点
Front Immunol. 2025 May 15;16:1582305. doi: 10.3389/fimmu.2025.1582305. eCollection 2025.
基质粘弹性促进肝硬化前肝脏中的肝癌进展。
Nature. 2024 Feb;626(7999):635-642. doi: 10.1038/s41586-023-06991-9. Epub 2024 Jan 31.
4
Cancer statistics, 2024.2024年癌症统计数据。
CA Cancer J Clin. 2024 Jan-Feb;74(1):12-49. doi: 10.3322/caac.21820. Epub 2024 Jan 17.
5
Desmoplastic stromal signatures predict patient outcomes in pancreatic ductal adenocarcinoma.促结缔组织增生性基质特征可预测胰腺导管腺癌患者的预后。
Cell Rep Med. 2023 Nov 21;4(11):101248. doi: 10.1016/j.xcrm.2023.101248. Epub 2023 Oct 20.
6
Receptor-interacting Protein Kinase 2 Is an Immunotherapy Target in Pancreatic Cancer.受体相互作用蛋白激酶 2 是胰腺癌的免疫治疗靶点。
Cancer Discov. 2024 Feb 8;14(2):326-347. doi: 10.1158/2159-8290.CD-23-0584.
7
Modulation of the proteostasis network promotes tumor resistance to oncogenic KRAS inhibitors.蛋白质平衡网络的调节促进肿瘤对致癌 KRAS 抑制剂的耐药性。
Science. 2023 Sep 8;381(6662):eabn4180. doi: 10.1126/science.abn4180.
8
Immune checkpoint blockade induces distinct alterations in the microenvironments of primary and metastatic brain tumors.免疫检查点阻断会引起原发和转移性脑肿瘤微环境的明显改变。
J Clin Invest. 2023 Sep 1;133(17):e169314. doi: 10.1172/JCI169314.
9
Collagen architecture and signaling orchestrate cancer development.胶原蛋白结构和信号转导协调癌症的发展。
Trends Cancer. 2023 Sep;9(9):764-773. doi: 10.1016/j.trecan.2023.06.002. Epub 2023 Jul 1.
10
Fusobacterium nucleatum-derived succinic acid induces tumor resistance to immunotherapy in colorectal cancer.具核梭杆菌衍生的琥珀酸诱导结直肠癌对免疫治疗产生耐药性。
Cell Host Microbe. 2023 May 10;31(5):781-797.e9. doi: 10.1016/j.chom.2023.04.010. Epub 2023 May 1.