Suppr超能文献

不同抗血小板治疗药物对早期脓毒症急性呼吸窘迫综合征患者血小板活化及血小板-白细胞聚集体形成的影响

Effects of different antiplatelet therapy drugs on platelet activation and platelet-leukocyte aggregate formation in early septic ARDS.

作者信息

Wang Lu, Mi Liang-Yu, Chen Xiang-Yu, He Huai-Wu, Long Yun

机构信息

Department of Critical Care Medicine, State Key Laboratory of Complex Severe and Rare Diseases, Peking Union Medical College Hospital, Peking Union Medical College and Chinese Academy of Medical Sciences, Beijing, 100730, China.

出版信息

BMC Pharmacol Toxicol. 2025 Jan 6;26(1):4. doi: 10.1186/s40360-024-00806-x.

Abstract

BACKGROUND

In patients with sepsis, platelets are activated and adhere to neutrophils, forming platelet-leukocyte aggregates (PLAs) that lead to the development of MODS. ARDS is one of the main manifestations of septic MODS. We designed this study to explore the effects of different anti-plate therapy drugs on platelet activation and platelet-leukocyte aggregate (PLA) formation in the early stage of septic ARDS.

METHODS

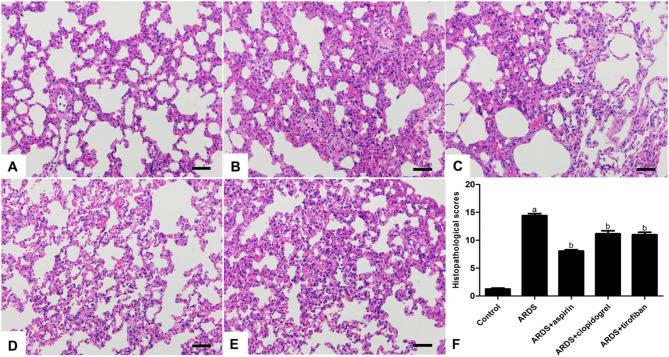
Sixty adult male SD rats were randomly divided into: Control group; ARDS group, ARDS + aspirin group, ARDS + clopidogrel group and ARDS + tirofiban group. ARDS was performed via instill lipopolysaccharide (LPS) intratracheally at a dose of 5 mg/kg. Aspirin or clopidogrel were given by gavage immediately after modeling. Tirofiban were given by intraperitoneal injection immediately after modeling. Rats in every group were euthanized by rapid decapitation 6 h after modeling. Platelet activation and PLA were assessed using flow cytometry and immunofluorescence staining. Histology of lung was performed by hematoxylin and eosin staining.

RESULTS

Aspirin, clopidogrel and tirofiban decreased CRP, IL-1 and TNF-α significantly in septic ARDS (P < 0.05). Aspirin, clopidogrel and tirofiban decreased platelet function and ratio of wet/dry significantly in septic ARDS (P < 0.05). Aspirin, clopidogrel and tirofiban increased PaO significantly in septic ARDS (P < 0.05). Platelet activation and PLA in the ARDS + aspirin group, ARDS + clopidogrel group and ARDS + tirofiban group decreased significantly compared to the ARDS group (P < 0.05). At 6 h after ARDS operation, obvious histological damage was observed in the lungs. All of these histological changes were quantitatively evaluated using injury scores. Aspirin, clopidogrel and tirofiban reduced the histological damages in ARDS group (P < 0.05).

CONCLUSIONS

Aspirin, clopidogrel and tirofiban alleviated the inflammatory response and pulmonary edema, reduced platelet function, and alleviated hypoxemia in early septic ARDS. Aspirin, clopidogrel and tirofiban reduced platelet activation and PLA formation in early septic ARDS. Aspirin, clopidogrel and tirofiban ultimately alleviated lung injury in early septic ARDS.

摘要

背景

在脓毒症患者中,血小板被激活并黏附于中性粒细胞,形成血小板-白细胞聚集体(PLA),进而导致多器官功能障碍综合征(MODS)的发生。急性呼吸窘迫综合征(ARDS)是脓毒症相关性MODS的主要表现之一。我们设计了本研究,以探讨不同抗血小板治疗药物对脓毒症相关性ARDS早期血小板激活及血小板-白细胞聚集体(PLA)形成的影响。

方法

将60只成年雄性SD大鼠随机分为:对照组;ARDS组、ARDS+阿司匹林组、ARDS+氯吡格雷组和ARDS+替罗非班组。通过气管内注入5mg/kg脂多糖(LPS)诱导ARDS。建模后立即经口灌胃给予阿司匹林或氯吡格雷。建模后立即腹腔注射替罗非班。建模后6小时每组大鼠通过快速断头处死。采用流式细胞术和免疫荧光染色评估血小板激活和PLA。用苏木精和伊红染色进行肺组织学检查。

结果

阿司匹林、氯吡格雷和替罗非班显著降低了脓毒症相关性ARDS患者的CRP、IL-1和TNF-α水平(P<0.05)。阿司匹林、氯吡格雷和替罗非班显著降低了脓毒症相关性ARDS患者的血小板功能和湿/干比(P<0.05)。阿司匹林、氯吡格雷和替罗非班显著提高了脓毒症相关性ARDS患者的PaO水平(P<0.05)。与ARDS组相比,ARDS+阿司匹林组、ARDS+氯吡格雷组和ARDS+替罗非班组的血小板激活和PLA显著降低(P<0.05)。ARDS手术6小时后,肺组织出现明显的组织学损伤。所有这些组织学变化均采用损伤评分进行定量评估。阿司匹林、氯吡格雷和替罗非班减轻了ARDS组的组织学损伤(P<0.05)。

结论

阿司匹林、氯吡格雷和替罗非班可减轻早期脓毒症相关性ARDS的炎症反应和肺水肿,降低血小板功能,缓解低氧血症。阿司匹林、氯吡格雷和替罗非班可减少早期脓毒症相关性ARDS的血小板激活和PLA形成。阿司匹林、氯吡格雷和替罗非班最终减轻了早期脓毒症相关性ARDS的肺损伤。

https://cdn.ncbi.nlm.nih.gov/pmc/blobs/62be/11705853/85573e911c70/40360_2024_806_Fig1_HTML.jpg

文献检索

告别复杂PubMed语法,用中文像聊天一样搜索,搜遍4000万医学文献。AI智能推荐,让科研检索更轻松。

立即免费搜索

文件翻译

保留排版,准确专业,支持PDF/Word/PPT等文件格式,支持 12+语言互译。

免费翻译文档

深度研究

AI帮你快速写综述,25分钟生成高质量综述,智能提取关键信息,辅助科研写作。

立即免费体验