Suppr超能文献

生物人工三尖瓣存在时的无导线起搏器植入:病例报告与文献综述

Leadless Pacemaker Implantation in the Presence of the Bioprosthetic Tricuspid Valve: Case Presentation and Literature Review.

作者信息

Mohammadi Mahsa, Iranian MohammadReza, Saedi Sedigheh, Toloueitabar Yaser, Fazelifar Amirfarjam, Haghjoo Majid

机构信息

Rajaie Cardiovascular Medical and Research Institute Tehran Iran.

Department of Electrophysiology Rajaie Cardiovascular Medical and Research Institute Tehran Iran.

出版信息

Clin Case Rep. 2025 Jan 6;13(1):e70077. doi: 10.1002/ccr3.70077. eCollection 2025 Jan.

Abstract

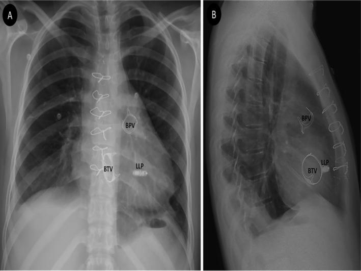
A 21-year-old man, known case of the repaired congenital heart disease, developed complete atrioventricular block (AVB) one week after simultaneous bioprosthetic pulmonary and tricuspid valve replacement and atrial septal defect repair. Considering the persistence of the AVB, it was decided to implant a permanent pacemaker. After considering all available options and the issues related to the patient, it was decided to implant a leadless pacemaker (LLP). A Micra pacemaker was implanted successfully, and the patient was discharged in good condition and without any complications. Follow-up evaluation showed appropriate LLP and bioprosthetic valve functioning. Limited prior experiences and the present report showed that LLP appears to be an ideal option in the patients with bioprosthetic tricuspid valve complicated by conduction disorders.

摘要

一名21岁男性,为先天性心脏病修复术后患者,在同期进行生物瓣肺动脉瓣和三尖瓣置换及房间隔缺损修复术后一周出现完全性房室传导阻滞(AVB)。考虑到房室传导阻滞持续存在,决定植入永久性起搏器。在考虑了所有可用选项及与患者相关的问题后,决定植入无导线起搏器(LLP)。成功植入了美敦力Micra无导线起搏器,患者出院时情况良好,无任何并发症。随访评估显示无导线起搏器及生物瓣功能正常。既往有限的经验及本报告表明,对于合并传导障碍的生物瓣三尖瓣患者,无导线起搏器似乎是一个理想的选择。

https://cdn.ncbi.nlm.nih.gov/pmc/blobs/c4c5/11702462/2dc7f41147e1/CCR3-13-e70077-g002.jpg

文献检索

告别复杂PubMed语法,用中文像聊天一样搜索,搜遍4000万医学文献。AI智能推荐,让科研检索更轻松。

立即免费搜索

文件翻译

保留排版,准确专业,支持PDF/Word/PPT等文件格式,支持 12+语言互译。

免费翻译文档

深度研究

AI帮你快速写综述,25分钟生成高质量综述,智能提取关键信息,辅助科研写作。

立即免费体验