Suppr超能文献

一种新型真皮模板治疗小儿烧伤的长期组织学评估

Long-Term Histological Evaluation of a Novel Dermal Template in the Treatment of Pediatric Burns.

作者信息

Gerster-Barzanji Zeena, Woodtli Vivienne, Klix Mira, Biedermann Thomas, Schiestl Clemens, Neuhaus Kathrin, Farkas Melinda, Kamarachev Jivko, Rittirsch Daniel, Böttcher-Haberzeth Sophie

机构信息

Paediatric Burn Center, Children's Skin Center, Department of Surgery, University Children's Hospital Zurich, Lenggstrasse 30, 8008 Zurich, Switzerland.

Children's Research Center (CRC), University Children's Hospital Zurich, University of Zurich, Lenggstrasse 30, 8008 Zurich, Switzerland.

出版信息

Bioengineering (Basel). 2024 Dec 14;11(12):1270. doi: 10.3390/bioengineering11121270.

Abstract

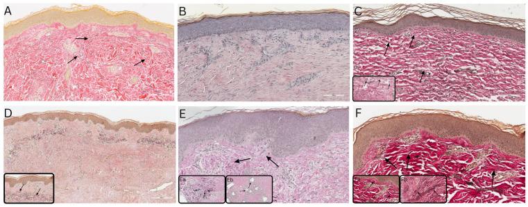
For pediatric patients with full-thickness burns, achieving adequate dermal regeneration is essential to prevent inelastic scars that may hinder growth. Traditional autologous split-thickness skin grafts alone often fail to restore the dermal layer adequately. This study evaluates the long-term effect of using a NovoSorb Biodegradable Temporizing Matrix (BTM) as a dermal scaffold in four pediatric patients, promoting dermal formation before autografting. Pediatric burn patients treated at the University Children's Hospital Zurich between 2020 and 2022 underwent a two-step treatment involving NovoSorb BTM application, followed by autografting. Histological analysis, conducted through 22 punch biopsies taken up to 2.6 years post-application, demonstrated robust dermal reorganization, with mature epidermal regeneration and stable dermo-epidermal connections. Immunofluorescence staining showed rapid capillary ingrowth, while extracellular matrix components, including collagen and elastic fibers, gradually aligned over time, mimicking normal skin structure. By 2.6 years, the dermal layer displayed characteristics close to uninjured skin, with remnants of NovoSorb BTM degrading within five months post-application. This study suggests that NovoSorb BTM facilitates elastic scar formation, offering significant benefits for pediatric patients by reducing functional limitations associated with inelastic scarring.

摘要

对于全层烧伤的儿科患者,实现充分的真皮再生对于预防可能阻碍生长的无弹性瘢痕至关重要。仅传统的自体中厚皮片移植往往无法充分恢复真皮层。本研究评估了在四名儿科患者中使用诺沃索布生物可降解临时基质(BTM)作为真皮支架的长期效果,即在自体移植前促进真皮形成。2020年至2022年期间在苏黎世大学儿童医院接受治疗的儿科烧伤患者接受了两步治疗,包括应用诺沃索布BTM,随后进行自体移植。通过在应用后长达2.6年采集的22次打孔活检进行的组织学分析表明,真皮有强大的重组,有成熟的表皮再生和稳定的真皮-表皮连接。免疫荧光染色显示毛细血管迅速长入,而包括胶原蛋白和弹性纤维在内的细胞外基质成分随着时间的推移逐渐排列整齐,模仿正常皮肤结构。到2.6年时,真皮层显示出接近未受伤皮肤的特征,诺沃索布BTM的残留物在应用后五个月内降解。本研究表明,诺沃索布BTM有助于形成弹性瘢痕,通过减少与无弹性瘢痕形成相关的功能限制,为儿科患者带来显著益处。

https://cdn.ncbi.nlm.nih.gov/pmc/blobs/8f40/11672911/86f8dcd79234/bioengineering-11-01270-g001.jpg

文献检索

告别复杂PubMed语法,用中文像聊天一样搜索,搜遍4000万医学文献。AI智能推荐,让科研检索更轻松。

立即免费搜索

文件翻译

保留排版,准确专业,支持PDF/Word/PPT等文件格式,支持 12+语言互译。

免费翻译文档

深度研究

AI帮你快速写综述,25分钟生成高质量综述,智能提取关键信息,辅助科研写作。

立即免费体验