• 文献检索
  • 文档翻译
  • 深度研究
  • 学术资讯
  • Suppr Zotero 插件Zotero 插件
  • 邀请有礼
  • 套餐&价格
  • 历史记录
应用&插件
Suppr Zotero 插件Zotero 插件浏览器插件Mac 客户端Windows 客户端微信小程序
定价
高级版会员购买积分包购买API积分包
服务
文献检索文档翻译深度研究API 文档MCP 服务
关于我们
关于 Suppr公司介绍联系我们用户协议隐私条款
关注我们

Suppr 超能文献

核心技术专利:CN118964589B侵权必究
粤ICP备2023148730 号-1Suppr @ 2026

文献检索

告别复杂PubMed语法,用中文像聊天一样搜索,搜遍4000万医学文献。AI智能推荐,让科研检索更轻松。

立即免费搜索

文件翻译

保留排版,准确专业,支持PDF/Word/PPT等文件格式,支持 12+语言互译。

免费翻译文档

深度研究

AI帮你快速写综述,25分钟生成高质量综述,智能提取关键信息,辅助科研写作。

立即免费体验

非典型腰椎椎弓根骨折。病例报告及文献比较综述:与双膦酸盐有关?可能符合股骨非典型骨折的诊断标准。

Atypical lumbar pedicle fractures. A case report and comparative review of the literature: Bisphosphonate-related? Possible matching with diagnostic criteria of atypical fractures of the femur.

作者信息

Theodorakis Emmanouil, Touloupakis Georgios, Antonini Guido, Lettera Maria Gabriella, Teli Marco

机构信息

Consultant Orthopaedic Surgeon, San Carlo Borromeo Hospital, Via Pio II 3, Milano, Italy.

出版信息

Brain Spine. 2024 Mar 16;4:102786. doi: 10.1016/j.bas.2024.102786. eCollection 2024.

DOI:10.1016/j.bas.2024.102786
PMID:39776674
原文链接:https://pmc.ncbi.nlm.nih.gov/articles/PMC11703778/
Abstract

INTRODUCTION

Bisphosphonates are commonly used to prevent osteoporotic fractures. Many randomized controlled trials have proved the efficacy of bisphosphonates, showing their ability to increase bone mineral density and decrease the risk of hip and vertebral fractures. Atypical, bisphosphonate-related fractures concerning the femur have been widely described and a list of primary and secondary clinical and radiographic criteria are used in order to achieve diagnosis.

RESEARCH QUESTION

To identify clinical and radiographic findings for a possible association of vertebral fractures to prolonged bisphosphonate therapy.

MATERIAL AND METHODS

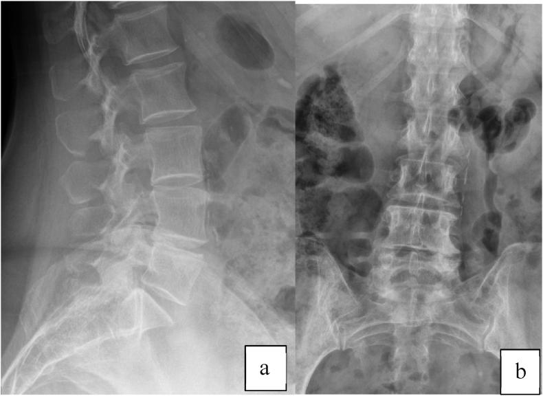
In this paper we present a case of an atraumatic bilateral pedicle lumbar fracture, assuming the hypothesis of an insufficiency atypical fracture due to prolonged Alendronate therapy for osteoporosis. We highlight the various aspects for diagnosis, treatment and a review of the existing literature was carried out.

DISCUSSION AND CONCLUSION

Atypical fractures in the spine are rarely reported in the literature. Pedicle anatomy is partially similar to a long bone, described as a strong bridge between the posterior arch and the vertebral body composed of a cortical bone and a cancellous core. Stress fractures are reported as a result of an underlying bone disease, trauma, post-surgery and stress fractures. In our opinion, the criteria described for atypical femoral fractures are a useful tool to also classify these rare pedicle lesions as insufficiency, bisphosphonate-correlated fractures.

摘要

引言

双膦酸盐常用于预防骨质疏松性骨折。许多随机对照试验已证实双膦酸盐的疗效,表明其能够增加骨密度并降低髋部和椎体骨折的风险。非典型的、与双膦酸盐相关的股骨骨折已被广泛描述,并且使用了一系列主要和次要的临床及影像学标准来进行诊断。

研究问题

确定椎体骨折与长期双膦酸盐治疗之间可能存在关联的临床和影像学表现。

材料与方法

在本文中,我们报告了一例无创伤性双侧椎弓根腰椎骨折病例,假定其为因长期使用阿仑膦酸钠治疗骨质疏松而导致的非典型不全骨折。我们强调了诊断、治疗的各个方面,并对现有文献进行了综述。

讨论与结论

文献中很少报道脊柱非典型骨折。椎弓根的解剖结构部分类似于长骨,被描述为后弓与椎体之间由皮质骨和松质骨核心组成的坚固桥梁。应力性骨折可由潜在的骨疾病、创伤、手术后以及应力引起。我们认为,针对非典型股骨骨折所描述的标准也是将这些罕见的椎弓根病变归类为不全性、与双膦酸盐相关骨折的有用工具。

https://cdn.ncbi.nlm.nih.gov/pmc/blobs/e6dc/11703778/10290acaf41b/gr5.jpg
https://cdn.ncbi.nlm.nih.gov/pmc/blobs/e6dc/11703778/0f8380103f41/gr1.jpg
https://cdn.ncbi.nlm.nih.gov/pmc/blobs/e6dc/11703778/6568f1b7d3ea/gr2.jpg
https://cdn.ncbi.nlm.nih.gov/pmc/blobs/e6dc/11703778/e01285894136/gr3.jpg
https://cdn.ncbi.nlm.nih.gov/pmc/blobs/e6dc/11703778/8fab0cc6e8d7/gr4.jpg
https://cdn.ncbi.nlm.nih.gov/pmc/blobs/e6dc/11703778/10290acaf41b/gr5.jpg
https://cdn.ncbi.nlm.nih.gov/pmc/blobs/e6dc/11703778/0f8380103f41/gr1.jpg
https://cdn.ncbi.nlm.nih.gov/pmc/blobs/e6dc/11703778/6568f1b7d3ea/gr2.jpg
https://cdn.ncbi.nlm.nih.gov/pmc/blobs/e6dc/11703778/e01285894136/gr3.jpg
https://cdn.ncbi.nlm.nih.gov/pmc/blobs/e6dc/11703778/8fab0cc6e8d7/gr4.jpg
https://cdn.ncbi.nlm.nih.gov/pmc/blobs/e6dc/11703778/10290acaf41b/gr5.jpg

相似文献

1
Atypical lumbar pedicle fractures. A case report and comparative review of the literature: Bisphosphonate-related? Possible matching with diagnostic criteria of atypical fractures of the femur.非典型腰椎椎弓根骨折。病例报告及文献比较综述:与双膦酸盐有关?可能符合股骨非典型骨折的诊断标准。
Brain Spine. 2024 Mar 16;4:102786. doi: 10.1016/j.bas.2024.102786. eCollection 2024.
2
Bisphosphonates for osteoporosis in people with cystic fibrosis.用于囊性纤维化患者骨质疏松症的双膦酸盐。
Cochrane Database Syst Rev. 2023 Jan 10;1(1):CD002010. doi: 10.1002/14651858.CD002010.pub5.
3
Screening for the primary prevention of fragility fractures among adults aged 40 years and older in primary care: systematic reviews of the effects and acceptability of screening and treatment, and the accuracy of risk prediction tools.40 岁及以上成年人在初级保健中进行脆性骨折一级预防的筛查:筛查和治疗效果及可接受性以及风险预测工具准确性的系统评价。
Syst Rev. 2023 Mar 21;12(1):51. doi: 10.1186/s13643-023-02181-w.
4
Atypical Femur Fracture Risk versus Fragility Fracture Prevention with Bisphosphonates.非典型股骨骨折风险与双膦酸盐预防脆性骨折。
N Engl J Med. 2020 Aug 20;383(8):743-753. doi: 10.1056/NEJMoa1916525.
5
Bisphosphonates for steroid-induced osteoporosis.双膦酸盐用于治疗类固醇诱导的骨质疏松症。
Cochrane Database Syst Rev. 2016 Oct 5;10(10):CD001347. doi: 10.1002/14651858.CD001347.pub2.
6
Denosumab, raloxifene, romosozumab and teriparatide to prevent osteoporotic fragility fractures: a systematic review and economic evaluation.地舒单抗、雷洛昔芬、罗莫佐单抗和特立帕肽预防骨质疏松性脆性骨折:系统评价和经济评估。
Health Technol Assess. 2020 Jun;24(29):1-314. doi: 10.3310/hta24290.
7
Alendronate for the primary and secondary prevention of osteoporotic fractures in postmenopausal women.阿仑膦酸钠用于绝经后妇女骨质疏松性骨折的一级和二级预防。
Cochrane Database Syst Rev. 2025 Jan 27;1(1):CD001155. doi: 10.1002/14651858.CD001155.pub3.
8
Bisphosphonate-associated atypical sub-trochanteric femur fractures: paired bone biopsy quantitative histomorphometry before and after teriparatide administration.双膦酸盐相关性非典型转子下股骨骨折:特立帕肽治疗前后配对骨活检定量组织形态计量学研究。
Semin Arthritis Rheum. 2015 Apr;44(5):477-482. doi: 10.1016/j.semarthrit.2014.09.005. Epub 2014 Sep 16.
9
Treatment for osteoporosis in people with ß-thalassaemia.β地中海贫血患者骨质疏松症的治疗
Cochrane Database Syst Rev. 2016 Mar 10;3:CD010429. doi: 10.1002/14651858.CD010429.pub2.
10
Bisphosphonates to reduce bone fractures in stage 3B+ chronic kidney disease: a propensity score-matched cohort study.双膦酸盐减少 3B+期慢性肾脏病的骨折:倾向评分匹配队列研究。
Health Technol Assess. 2021 Mar;25(17):1-106. doi: 10.3310/hta25170.

本文引用的文献

1
Bilateral Lumbar Pedicle Fracture in a Patient Receiving Long-Term Bisphosphonate Therapy: A Case Report.长期接受双膦酸盐治疗患者的双侧腰椎椎弓根骨折:一例报告
Spine Surg Relat Res. 2023 Jul 6;7(6):555-559. doi: 10.22603/ssrr.2023-0005. eCollection 2023 Nov 27.
2
Pharmacological Management of Osteoporosis in Postmenopausal Women: An Endocrine Society* Clinical Practice Guideline.绝经后妇女骨质疏松症的药物治疗:内分泌学会临床实践指南*。
J Clin Endocrinol Metab. 2019 May 1;104(5):1595-1622. doi: 10.1210/jc.2019-00221.
3
Adjacent Bi-level bilateral pedicle stress fractures after instrumented posterolateral lumbar fusion-a case report and review of the literature.
后路腰椎融合内固定术后相邻双节段双侧椎弓根应力性骨折——病例报告及文献复习
Eur J Orthop Surg Traumatol. 2019 Jul;29(5):1147-1151. doi: 10.1007/s00590-019-02402-w. Epub 2019 Feb 19.
4
The enigma of atypical femoral fractures: A summary of current knowledge.非典型股骨骨折之谜:当前知识总结
EFORT Open Rev. 2018 Sep 12;3(9):494-500. doi: 10.1302/2058-5241.3.170070. eCollection 2018 Sep.
5
Spontaneous Atraumatic Bilateral Pedicle Insufficiency Fractures.自发性无创伤性双侧椎弓根不全骨折
Can J Neurol Sci. 2018 Nov;45(6):717-720. doi: 10.1017/cjn.2018.329. Epub 2018 Sep 26.
6
Risks and Benefits of Bisphosphonate Therapies.双膦酸盐疗法的风险与益处
J Cell Biochem. 2016 Jan;117(1):20-8. doi: 10.1002/jcb.25266.
7
Multi-level, bilateral pedicle fractures: case report.多级双侧椎弓根骨折:病例报告
Turk Neurosurg. 2015;25(2):340-3. doi: 10.5137/1019-5149.JTN.10244-14.0.
8
Bisphosphonates and nonhealing femoral fractures: analysis of the FDA Adverse Event Reporting System (FAERS) and international safety efforts: a systematic review from the Research on Adverse Drug Events And Reports (RADAR) project.双膦酸盐类药物与股骨骨折不愈合:FDA 不良事件报告系统(FAERS)和国际安全工作的分析:来自不良药物事件和报告研究(RADAR)项目的系统评价。
J Bone Joint Surg Am. 2013 Feb 20;95(4):297-307. doi: 10.2106/JBJS.K.01181.
9
Atypical femoral fractures: epidemiology, etiology, and patient management.非典型股骨骨折:流行病学、病因学和患者管理。
Curr Opin Support Palliat Care. 2012 Sep;6(3):348-54. doi: 10.1097/SPC.0b013e3283552d7d.
10
Atypical bilateral pedicle fracture in long-term bisphosphonate therapy.长期双磷酸盐治疗中的非典型双侧椎弓根骨折。
Spine (Phila Pa 1976). 2011 Dec 15;36(26):E1769-73. doi: 10.1097/BRS.0b013e3182174d0a.