Suppr超能文献

马尔恰法瓦-比尼亚米A型病:口咽癌中一种罕见的神经表现。

Marchiafava-Bignami Type A Disease: A Rare Neurological Manifestation in Oropharyngeal Cancer.

作者信息

Lopes Freitas Rafaela, Quelhas Mariana, Pereira Adelina

机构信息

Internal Medicine Service, Pedro Hispano Hospital - Matosinhos Local Health Unit, Matosinhos, PRT.

Internal Medicine Service, Unidade Local de Saúde do Norte Alentejano, Elvas, PRT.

出版信息

Cureus. 2024 Dec 8;16(12):e75308. doi: 10.7759/cureus.75308. eCollection 2024 Dec.

Abstract

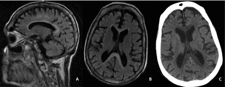
Marchiafava-Bignami disease (MBD) is a rare condition characterized by demyelination and necrosis of the corpus callosum, most commonly associated with chronic alcohol consumption. However, it can also occur in non-alcoholic patients and may present secondary to other underlying conditions. We report a case of a 52-year-old male with no history of alcohol use or significant comorbidities, presenting with impaired consciousness and severe malnutrition. Neuroimaging findings confirmed MBD, and further investigation revealed an underlying oropharyngeal malignancy that likely precipitated the disease through feeding difficulties and nutritional deficits. Analytical findings revealed severe metabolic derangements, including hypoalbuminemia and vitamin deficiencies. Despite aggressive treatment, the patient succumbed to his condition. This case highlights the importance of considering MBD in the differential diagnosis of neurological dysfunction in patients with significant malnutrition and emphasizes the need for a thorough investigation into underlying causes, including malignancy.

摘要

马尔恰法瓦-比尼亚米病(MBD)是一种罕见疾病,其特征为胼胝体脱髓鞘和坏死,最常与长期饮酒相关。然而,它也可发生于非酒精性患者,并且可能继发于其他潜在疾病。我们报告一例52岁男性病例,该患者无饮酒史或重大合并症,表现为意识障碍和严重营养不良。神经影像学检查结果确诊为MBD,进一步检查发现潜在的口咽恶性肿瘤,该肿瘤可能通过进食困难和营养缺乏引发了该病。分析结果显示严重的代谢紊乱,包括低白蛋白血症和维生素缺乏。尽管进行了积极治疗,患者仍因病情过重死亡。该病例突出了在严重营养不良患者的神经功能障碍鉴别诊断中考虑MBD的重要性,并强调了对包括恶性肿瘤在内的潜在病因进行全面调查的必要性。

https://cdn.ncbi.nlm.nih.gov/pmc/blobs/7966/11704978/801da58a7fc0/cureus-0016-00000075308-i01.jpg

文献检索

告别复杂PubMed语法,用中文像聊天一样搜索,搜遍4000万医学文献。AI智能推荐,让科研检索更轻松。

立即免费搜索

文件翻译

保留排版,准确专业,支持PDF/Word/PPT等文件格式,支持 12+语言互译。

免费翻译文档

深度研究

AI帮你快速写综述,25分钟生成高质量综述,智能提取关键信息,辅助科研写作。

立即免费体验