Suppr超能文献

负载虾青素的聚乳酸-羟基乙酸共聚物纳米粒通过调节JAK2/STAT3/mTOR/PI3K信号通路抑制MKN-45胃癌细胞系的存活。

Astaxanthin-loaded PLGA nanoparticles inhibit survival of MKN-45 gastric cancer cell line by modulating JAK2/STAT3/mTOR/PI3K pathway.

作者信息

YektaKooshali Mohammad Hossein, SobhZahedi Mahdieh, Razavi Tousi Seyed Mohammad Taghi, Hamidi Masoud, Modiri Leila

机构信息

Medical Biotechnology Research Center, School of Paramedicine, Guilan University of Medical Sciences, Rasht, Iran.

Department of Cellular and Molecular Biology, Lahijan Branch, Islamic Azad University, Lahijan, Iran.

出版信息

BMC Cancer. 2025 Jan 9;25(1):44. doi: 10.1186/s12885-024-13401-4.

Abstract

BACKGROUND/AIMS: Gastric cancer (GC) is a significant global health issue with high incidence rates and poor prognoses, ranking among the top prevalent cancers worldwide. Due to undesirable side effects and drug resistance, there is a pressing need for the development of novel therapeutic strategies. Understanding the interconnectedness of the JAK2/STAT3/mTOR/PI3K pathway in tumorigenesis and the role of Astaxanthin (ASX), a red ketocarotenoid member of xanthophylls and potent antioxidant and anti-tumor activity, can be effective for cancer treatments. This study aimed to investigate the effect of ASX-loaded nanoparticles on the survival of MKN-45 GC cells and the expression of JAK2/STAT3/mTOR/PI3K, offering insights into potential targeted therapies for GC.

METHODS

The growth status and survival rate of MKN-45 GC cell lines were determined using the 3-[4,5-dimethylthiazol-2-yl]-2,5 diphenyl tetrazolium bromide(MTT) assay, and the optimal IC50 concentration of ASX, PLGA, and ASX + PLGA was estimated. Also, the clonogenic assay was performed to determine the reproductive power and colony formation of under-treatment cells. Apoptosis and necroptosis of cells were evaluated using acridine orange (AO) staining. The western blot assessed the protein's level of expression and intensity (JAK2/STAT3/mTOR/PI3K). SPSS version 16 software was used for statistical analysis, P-value was considered lower than 0.05.

RESULTS

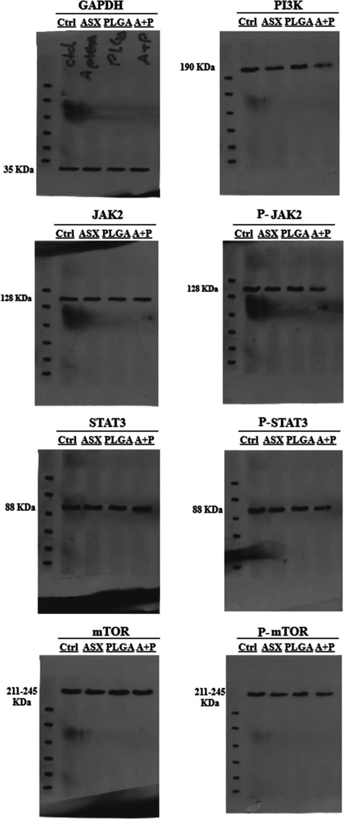
Based on the results, increasing concentrations of ASX and ASX + PLGA led to a decrease in the viability of MKN-45 cells compared to the control group (P < 0.001). This value was lower for cells treated with ASX + PLGA (P = 0.003). The IC50 values for each of the studied groups (ASX, ASX + PLGA, and PLGA) were 81.45 µg/ml, 51.45 µg/ml, and 3.383 mg/ml, respectively. The levels of expression and intensity of JAK2, STAT3, and mTOR proteins in the Western blotting analysis under ASX + PLGA treatment increased compared to the control group. Conversely, the levels of expression and intensity of P-JAK2, P-STAT3, and P-mTOR proteins in the ASX + PLGA treatment group decreased by 41%, 34%, 37%, and 43%, respectively, compared to the control group. Protein expression levels and intensities of JAK2, STAT3, and mTOR significantly increased when treated with PLGA, ASX, and ASX + PLGA compared to the control group (P < 0.001).

CONCLUSIONS

The encapsulation of ASX in PLGA nanoparticles enhances drug stability, enables targeted delivery, and allows for sustained release. This study highlights the therapeutic potential of ASX-loaded nanoparticles in targeting JAK2/STAT3/mTOR/PI3K pathways in GC treatment. Further research is needed to understand the mechanisms and clinical applications of this novel immunotherapy strategy.

摘要

背景/目的:胃癌(GC)是一个重大的全球健康问题,发病率高且预后不良,在全球最常见的癌症中名列前茅。由于不良副作用和耐药性,迫切需要开发新的治疗策略。了解JAK2/STAT3/mTOR/PI3K通路在肿瘤发生中的相互联系以及虾青素(ASX)(一种叶黄素类红色酮类胡萝卜素,具有强大的抗氧化和抗肿瘤活性)的作用,可能对癌症治疗有效。本研究旨在探讨负载ASX的纳米颗粒对MKN-45胃癌细胞存活以及JAK2/STAT3/mTOR/PI3K表达的影响,为胃癌潜在的靶向治疗提供见解。

方法

使用3-[4,5-二甲基噻唑-2-基]-2,5-二苯基四氮唑溴盐(MTT)法测定MKN-45胃癌细胞系的生长状态和存活率,并估算ASX、聚乳酸-羟基乙酸共聚物(PLGA)以及ASX + PLGA的最佳半数抑制浓度(IC50)。此外,进行克隆形成试验以确定处理后细胞的繁殖能力和集落形成。使用吖啶橙(AO)染色评估细胞的凋亡和坏死性凋亡。蛋白质免疫印迹法评估蛋白质的表达水平和强度(JAK2/STAT3/mTOR/PI3K)。使用SPSS 16.0软件进行统计分析,P值小于0.05被认为具有统计学意义。

结果

结果显示,与对照组相比,ASX和ASX + PLGA浓度增加导致MKN-45细胞活力下降(P < 0.001)。ASX + PLGA处理的细胞该值更低(P = 0.003)。各研究组(ASX、ASX + PLGA和PLGA)的IC50值分别为81.45μg/ml、51.45μg/ml和3.383mg/ml。与对照组相比,ASX + PLGA处理的蛋白质免疫印迹分析中JAK2、STAT3和mTOR蛋白的表达水平和强度增加。相反,与对照组相比,ASX + PLGA处理组中磷酸化JAK2(P-JAK2)、磷酸化STAT3(P-STAT3)和磷酸化mTOR(P-mTOR)蛋白的表达水平和强度分别降低了41%、34%、37%和43%。与对照组相比,用PLGA、ASX和ASX + PLGA处理后JAK2、STAT3和mTOR的蛋白质表达水平和强度显著增加(P < 0.001)。

结论

ASX包裹于PLGA纳米颗粒中可提高药物稳定性,实现靶向递送并实现持续释放。本研究突出了负载ASX的纳米颗粒在胃癌治疗中靶向JAK2/STAT3/mTOR/PI3K通路的治疗潜力。需要进一步研究以了解这种新型免疫治疗策略的机制和临床应用。

https://cdn.ncbi.nlm.nih.gov/pmc/blobs/1776/11715247/81865f95c00f/12885_2024_13401_Fig1_HTML.jpg

文献检索

告别复杂PubMed语法,用中文像聊天一样搜索,搜遍4000万医学文献。AI智能推荐,让科研检索更轻松。

立即免费搜索

文件翻译

保留排版,准确专业,支持PDF/Word/PPT等文件格式,支持 12+语言互译。

免费翻译文档

深度研究

AI帮你快速写综述,25分钟生成高质量综述,智能提取关键信息,辅助科研写作。

立即免费体验