Suppr超能文献

The Conservative Management of the Carpometacarpal Joint Fracture-Dislocation: A Case of the Second to the Fifth Ray.

作者信息

Kalatzis Dimitrios, Zygogiannis Konstantinos, Kaoullas Konstantinos, Zoumpoulis Georgios, Thivaios Georgios C

机构信息

Orthopedics and Traumatology Department, Laiko General Hospital of Athens, Athens, GRC.

Scoliosis and Spine Department, KAT General Hospital of Athens, Athens, GRC.

出版信息

Cureus. 2024 Dec 9;16(12):e75354. doi: 10.7759/cureus.75354. eCollection 2024 Dec.

Abstract

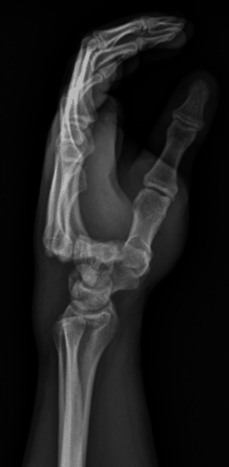
Carpometacarpal (CMC) joint fractures-dislocations are rare due to the complex structure of the carpal bones and strong ligamentous support; while the clinical image is usually "noisy," they present significant management challenges due to the unstable nature of the injury. These injuries are typically caused by high-energy trauma and frequently result in dorsal dislocations. Treatment requires a careful balance between the immobilization and surgical restoration of the anatomical alignment to prevent complications. This report highlights a case of four CMC joint dislocations managed conservatively, yielding positive outcomes despite the usual indications for surgical intervention, avoiding any possible anesthesiological or surgical complications.

摘要
https://cdn.ncbi.nlm.nih.gov/pmc/blobs/06e9/11707556/ee9039f46f9c/cureus-0016-00000075354-i01.jpg

文献AI研究员

20分钟写一篇综述,助力文献阅读效率提升50倍。

立即体验

用中文搜PubMed

大模型驱动的PubMed中文搜索引擎

马上搜索

文档翻译

学术文献翻译模型,支持多种主流文档格式。

立即体验