• 文献检索
  • 文档翻译
  • 深度研究
  • 学术资讯
  • Suppr Zotero 插件Zotero 插件
  • 邀请有礼
  • 套餐&价格
  • 历史记录
应用&插件
Suppr Zotero 插件Zotero 插件浏览器插件Mac 客户端Windows 客户端微信小程序
定价
高级版会员购买积分包购买API积分包
服务
文献检索文档翻译深度研究API 文档MCP 服务
关于我们
关于 Suppr公司介绍联系我们用户协议隐私条款
关注我们

Suppr 超能文献

核心技术专利:CN118964589B侵权必究
粤ICP备2023148730 号-1Suppr @ 2026

文献检索

告别复杂PubMed语法,用中文像聊天一样搜索,搜遍4000万医学文献。AI智能推荐,让科研检索更轻松。

立即免费搜索

文件翻译

保留排版,准确专业,支持PDF/Word/PPT等文件格式,支持 12+语言互译。

免费翻译文档

深度研究

AI帮你快速写综述,25分钟生成高质量综述,智能提取关键信息,辅助科研写作。

立即免费体验

分泌型LGALS3BP促进乳腺癌的远处转移。

Secreted LGALS3BP facilitates distant metastasis of breast cancer.

作者信息

Kim Seung-Su, Park Issac, Kim Jeesoo, Ka Na-Lee, Lim Ga Young, Park Mi-Ye, Hwang Sewon, Kim Ji-Eun, Park So Yeon, Kim Jong-Seo, Rhee Hyun-Woo, Lee Mi-Ock

机构信息

College of Pharmacy, Seoul National University, Seoul, 08826, South Korea.

Department of Chemistry, Seoul National University, Seoul, Republic of Korea.

出版信息

Breast Cancer Res. 2025 Jan 9;27(1):4. doi: 10.1186/s13058-024-01958-8.

DOI:10.1186/s13058-024-01958-8
PMID:39789641
原文链接:https://pmc.ncbi.nlm.nih.gov/articles/PMC11715970/
Abstract

BACKGROUND

Patients with estrogen receptor (ER)-positive breast cancer (BC) can be treated with endocrine therapy targeting ER, however, metastatic recurrence occurs in 25% of the patients who have initially been treated. Secreted proteins from tumors play important roles in cancer metastasis but previous methods for isolating secretory proteins had limitations in identifying novel targets.

METHODS

We applied an in situ secretory protein labeling technique using TurboID to analyze secretome from tamoxifen-resistant (TAMR) BC. The increased expression of LGALS3BP was validated using western blotting, qPCR, ELISA, and IF. Chromatin immunoprecipitation was applied to analyze estrogen-dependent regulation of LGALS3BP transcription. The adhesive and angiogenic functions of LGALS3BP were evaluated by abrogating LGALS3BP expression using either shRNA-mediated knockdown or a neutralizing antibody. Xenograft mouse experiments were employed to assess the in vivo metastatic potential of TAMR cells and the LGALS3BP protein. Clinical evaluation of LGALS3BP risk was carried out with refractory clinical specimens from tamoxifen-treated ER-positive BC patients and publicly available databases.

RESULTS

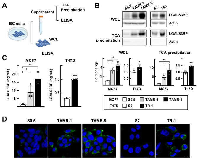
TAMR secretome analysis revealed that 176 proteins were secreted at least 2-fold more from MCF7/TAMR cells than from sensitive cells, and biological processes such as cell adhesion and angiogenesis were associated with the TAMR secretome. Galectin-3 binding protein (LGALS3BP) was one of the top 10 most highly secreted proteins in the TAMR secretome. The expression level of LGALS3BP was suppressed by estrogen signaling, which involves direct ERα binding to its promoter region. Secreted LGALS3BP in the TAMR secretome helped BC cells adhere to the extracellular matrix and promoted the tube formation of human umbilical vein endothelial cells. Compared with sensitive cells, xenograft animal experiments with MCF7/TAMR cells showed increased pulmonary metastasis, which completely disappeared in LGALS3BP-knockdown TAMR cells. Finally, higher levels of LGALS3BP were associated with poor prognosis in ER-positive BC patients treated with adjuvant tamoxifen in the clinic.

CONCLUSION

TAMR secretome analysis identified secretory proteins, such as LGALS3BP, that are involved in biological processes closely related to metastasis. Secreted LGALS3BP from the TAMR cells promoted adhesion of the cells to the extracellular matrix and vasculature formation, which may support metastasis of TAMR cells.

摘要

背景

雌激素受体(ER)阳性乳腺癌(BC)患者可采用靶向ER的内分泌治疗,但在初始接受治疗的患者中,有25%会发生转移性复发。肿瘤分泌的蛋白质在癌症转移中起重要作用,但以往分离分泌蛋白的方法在识别新靶点方面存在局限性。

方法

我们应用TurboID原位分泌蛋白标记技术分析他莫昔芬耐药(TAMR)BC的分泌组。通过蛋白质免疫印迹法、定量聚合酶链反应、酶联免疫吸附测定和免疫荧光法验证了LGALS3BP的表达增加。应用染色质免疫沉淀法分析LGALS3BP转录的雌激素依赖性调控。通过短发夹RNA介导的敲低或中和抗体消除LGALS3BP表达,评估LGALS3BP的黏附及血管生成功能。采用异种移植小鼠实验评估TAMR细胞和LGALS3BP蛋白的体内转移潜能。利用他莫昔芬治疗的ER阳性BC患者的难治性临床标本和公开可用数据库对LGALS3BP风险进行临床评估。

结果

TAMR分泌组分析显示,MCF7/TAMR细胞分泌的176种蛋白质比敏感细胞至少多2倍,细胞黏附、血管生成等生物学过程与TAMR分泌组相关。半乳糖凝集素-3结合蛋白(LGALS3BP)是TAMR分泌组中分泌量最高的前10种蛋白质之一。LGALS3BP的表达水平受雌激素信号抑制,雌激素信号涉及雌激素受体α直接结合到其启动子区域。TAMR分泌组中分泌的LGALS3BP有助于BC细胞黏附于细胞外基质,并促进人脐静脉内皮细胞的管腔形成。与敏感细胞相比,用MCF7/TAMR细胞进行的异种移植动物实验显示肺转移增加,而在LGALS3BP敲低的TAMR细胞中肺转移完全消失。最后,在临床上,接受辅助他莫昔芬治疗的ER阳性BC患者中,较高水平的LGALS3BP与不良预后相关。

结论

TAMR分泌组分析鉴定出了参与与转移密切相关的生物学过程的分泌蛋白,如LGALS3BP。TAMR细胞分泌的LGALS3BP促进细胞与细胞外基质的黏附以及脉管系统形成,这可能支持TAMR细胞的转移。

https://cdn.ncbi.nlm.nih.gov/pmc/blobs/2978/11715970/ae64189506a1/13058_2024_1958_Fig6_HTML.jpg
https://cdn.ncbi.nlm.nih.gov/pmc/blobs/2978/11715970/b091d182593d/13058_2024_1958_Fig1_HTML.jpg
https://cdn.ncbi.nlm.nih.gov/pmc/blobs/2978/11715970/e9d9ac55e14c/13058_2024_1958_Fig2_HTML.jpg
https://cdn.ncbi.nlm.nih.gov/pmc/blobs/2978/11715970/d09610fd2466/13058_2024_1958_Fig3_HTML.jpg
https://cdn.ncbi.nlm.nih.gov/pmc/blobs/2978/11715970/07fc5e839b7f/13058_2024_1958_Fig4_HTML.jpg
https://cdn.ncbi.nlm.nih.gov/pmc/blobs/2978/11715970/7a5c1dbe9128/13058_2024_1958_Fig5_HTML.jpg
https://cdn.ncbi.nlm.nih.gov/pmc/blobs/2978/11715970/ae64189506a1/13058_2024_1958_Fig6_HTML.jpg
https://cdn.ncbi.nlm.nih.gov/pmc/blobs/2978/11715970/b091d182593d/13058_2024_1958_Fig1_HTML.jpg
https://cdn.ncbi.nlm.nih.gov/pmc/blobs/2978/11715970/e9d9ac55e14c/13058_2024_1958_Fig2_HTML.jpg
https://cdn.ncbi.nlm.nih.gov/pmc/blobs/2978/11715970/d09610fd2466/13058_2024_1958_Fig3_HTML.jpg
https://cdn.ncbi.nlm.nih.gov/pmc/blobs/2978/11715970/07fc5e839b7f/13058_2024_1958_Fig4_HTML.jpg
https://cdn.ncbi.nlm.nih.gov/pmc/blobs/2978/11715970/7a5c1dbe9128/13058_2024_1958_Fig5_HTML.jpg
https://cdn.ncbi.nlm.nih.gov/pmc/blobs/2978/11715970/ae64189506a1/13058_2024_1958_Fig6_HTML.jpg

相似文献

1
Secreted LGALS3BP facilitates distant metastasis of breast cancer.分泌型LGALS3BP促进乳腺癌的远处转移。
Breast Cancer Res. 2025 Jan 9;27(1):4. doi: 10.1186/s13058-024-01958-8.
2
Activating transcription factor-2 (ATF2) is a key determinant of resistance to endocrine treatment in an in vitro model of breast cancer.激活转录因子-2(ATF2)是体外乳腺癌模型中内分泌治疗耐药的关键决定因素。
Breast Cancer Res. 2020 Nov 16;22(1):126. doi: 10.1186/s13058-020-01359-7.
3
SETDB1 interactions with PELP1 contributes to breast cancer endocrine therapy resistance.SETDB1 与 PELP1 的相互作用有助于乳腺癌内分泌治疗耐药。
Breast Cancer Res. 2022 Apr 8;24(1):26. doi: 10.1186/s13058-022-01520-4.
4
Src Is a Potential Therapeutic Target in Endocrine-Resistant Breast Cancer Exhibiting Low Estrogen Receptor-Mediated Transactivation.Src是雌激素受体介导的反式激活水平较低的内分泌抵抗性乳腺癌中的一个潜在治疗靶点。
PLoS One. 2016 Jun 16;11(6):e0157397. doi: 10.1371/journal.pone.0157397. eCollection 2016.
5
Global characterization of signalling networks associated with tamoxifen resistance in breast cancer.全球范围内与乳腺癌他莫昔芬耐药相关的信号转导网络的特征。
FEBS J. 2013 Nov;280(21):5237-57. doi: 10.1111/febs.12441. Epub 2013 Aug 19.
6
Overexpression of TMEM47 Induces Tamoxifen Resistance in Human Breast Cancer Cells.TMEM47的过表达诱导人乳腺癌细胞对他莫昔芬耐药。
Technol Cancer Res Treat. 2021 Jan-Dec;20:15330338211004916. doi: 10.1177/15330338211004916.
7
Overexpression of CD44 accompanies acquired tamoxifen resistance in MCF7 cells and augments their sensitivity to the stromal factors, heregulin and hyaluronan.CD44 的过表达伴随着 MCF7 细胞获得性他莫昔芬耐药,并增加了它们对间质因子,heregulin 和透明质酸的敏感性。
BMC Cancer. 2012 Oct 6;12:458. doi: 10.1186/1471-2407-12-458.
8
Impact of dual mTORC1/2 mTOR kinase inhibitor AZD8055 on acquired endocrine resistance in breast cancer in vitro.双mTORC1/2 mTOR激酶抑制剂AZD8055对体外乳腺癌获得性内分泌耐药的影响
Breast Cancer Res. 2014 Jan 23;16(1):R12. doi: 10.1186/bcr3604.
9
LGALS3BP, lectin galactoside-binding soluble 3 binding protein, induces vascular endothelial growth factor in human breast cancer cells and promotes angiogenesis.LGALS3BP,即凝集素半乳糖结合可溶性 3 结合蛋白,可诱导人乳腺癌细胞血管内皮生长因子的产生,并促进血管生成。
J Mol Med (Berl). 2013 Jan;91(1):83-94. doi: 10.1007/s00109-012-0936-6. Epub 2012 Aug 5.
10
The Wnt signalling pathway is upregulated in an in vitro model of acquired tamoxifen resistant breast cancer.Wnt 信号通路在体外获得性他莫昔芬耐药乳腺癌模型中上调。
BMC Cancer. 2013 Apr 2;13:174. doi: 10.1186/1471-2407-13-174.

引用本文的文献

1
LGALS3BP antibody-drug conjugate enhances tumor-infiltrating lymphocytes and synergizes with immunotherapy to restrain neuroblastoma growth.半乳糖凝集素3结合蛋白抗体药物偶联物增强肿瘤浸润淋巴细胞,并与免疫疗法协同作用以抑制神经母细胞瘤生长。
J Transl Med. 2025 Apr 11;23(1):431. doi: 10.1186/s12967-025-06434-1.

本文引用的文献

1
Phase III Randomized, Placebo-Controlled Trial of Endocrine Therapy ± 1 Year of Everolimus in Patients With High-Risk, Hormone Receptor-Positive, Early-Stage Breast Cancer.高风险、激素受体阳性、早期乳腺癌患者内分泌治疗加用或不加用依维莫司 1 年的 III 期随机安慰剂对照试验。
J Clin Oncol. 2024 Sep 1;42(25):3012-3021. doi: 10.1200/JCO.23.02344. Epub 2024 Jun 4.
2
Long-term Multimodal Recording Reveals Epigenetic Adaptation Routes in Dormant Breast Cancer Cells.长期多模态记录揭示了休眠乳腺癌细胞中的表观遗传适应途径。
Cancer Discov. 2024 May 1;14(5):866-889. doi: 10.1158/2159-8290.CD-23-1161.
3
Secretomics reveals hormone-therapy of breast cancer may induce survival by facilitating hypercoagulation and immunomodulation in vitro.
分泌组学揭示激素疗法治疗乳腺癌可能通过促进体外高凝和免疫调节来诱导生存。
Sci Rep. 2024 Jan 17;14(1):1486. doi: 10.1038/s41598-023-49755-1.
4
Cancer statistics, 2024.2024年癌症统计数据。
CA Cancer J Clin. 2024 Jan-Feb;74(1):12-49. doi: 10.3322/caac.21820. Epub 2024 Jan 17.
5
Lactadherin immunoblockade in small extracellular vesicles inhibits sEV-mediated increase of pro-metastatic capacities.乳铁蛋白免疫阻断小细胞外囊泡抑制 sEV 介导的促转移能力增加。
Biol Res. 2024 Jan 3;57(1):1. doi: 10.1186/s40659-023-00477-8.
6
Anti-LGALS3BP antibody-drug conjugate treatment induces durable and potent antitumor response in a preclinical model of adenoid cystic carcinoma.抗 LGALS3BP 抗体药物偶联物治疗在腺样囊性癌的临床前模型中诱导持久而有效的抗肿瘤反应。
Oral Oncol. 2024 Jan;148:106635. doi: 10.1016/j.oraloncology.2023.106635. Epub 2023 Nov 21.
7
JASPAR 2024: 20th anniversary of the open-access database of transcription factor binding profiles.JASPAR 2024:转录因子结合谱开放获取数据库的 20 周年纪念
Nucleic Acids Res. 2024 Jan 5;52(D1):D174-D182. doi: 10.1093/nar/gkad1059.
8
High FOXA1 levels induce ER transcriptional reprogramming, a pro-metastatic secretome, and metastasis in endocrine-resistant breast cancer.高FOXA1水平会在内分泌抵抗性乳腺癌中诱导雌激素受体转录重编程、促转移分泌组及转移。
Cell Rep. 2023 Aug 29;42(8):112821. doi: 10.1016/j.celrep.2023.112821. Epub 2023 Jul 18.
9
Targeting HMG-CoA synthase 2 suppresses tamoxifen-resistant breast cancer growth by augmenting mitochondrial oxidative stress-mediated cell death.靶向 HMG-CoA 合酶 2 通过增强线粒体氧化应激介导的细胞死亡来抑制他莫昔芬耐药性乳腺癌的生长。
Life Sci. 2023 Sep 1;328:121827. doi: 10.1016/j.lfs.2023.121827. Epub 2023 Jun 3.
10
Impact of the Cancer Cell Secretome in Driving Breast Cancer Progression.癌细胞分泌组在推动乳腺癌进展中的作用
Cancers (Basel). 2023 May 8;15(9):2653. doi: 10.3390/cancers15092653.