Suppr超能文献

一名新诊断为肺结节患者的非典型椎体血管瘤

Atypical Vertebral Hemangioma in a Patient With Newly Diagnosed Pulmonary Nodule.

作者信息

Rouhi Armin, Turner Simon R, Johnson Scott, MacEwan Robert

机构信息

Division of Thoracic Surgery, Department of Surgery, Faculty of Medicine and Dentistry, University of Alberta, Edmonton, Alberta, Canada.

Department of Radiology and Diagnostic Imaging, Faculty of Medicine and Dentistry, University of Alberta, Edmonton, Alberta, Canada.

出版信息

Ann Thorac Surg Short Rep. 2022 Jul 16;1(1):115-117. doi: 10.1016/j.atssr.2022.06.002. eCollection 2023 Mar.

Abstract

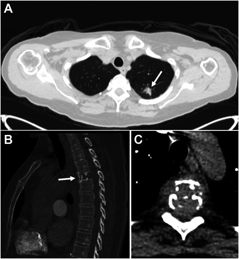
Vertebral hemangiomas (VHs) are common, benign angiomatous lesions of the spine with an incidence rate of 10% to 12% in the population. VHs have a characteristic appearance on imaging; however, a subset demonstrate atypical features that resemble more sinister pathologic processes, such as malignant neoplasms or metastatic disease. We report a case of an atypical VH that was initially thought to be a metastasis in a 75-year-old patient with a newly diagnosed pulmonary nodule. Our goal is to highlight the key findings of VHs on various imaging modalities that can potentially help minimize unnecessary investigations or interventions.

摘要

椎体血管瘤(VHs)是脊柱常见的良性血管瘤病变,在人群中的发病率为10%至12%。VHs在影像学上有特征性表现;然而,一部分显示出非典型特征,类似于更凶险的病理过程,如恶性肿瘤或转移性疾病。我们报告一例非典型VH病例,该病例最初被认为是一名75岁新诊断为肺结节患者的转移瘤。我们的目的是强调VHs在各种影像学检查中的关键表现,这可能有助于尽量减少不必要的检查或干预。

https://cdn.ncbi.nlm.nih.gov/pmc/blobs/163a/11708723/a3eba3092135/gr1.jpg

文献检索

告别复杂PubMed语法,用中文像聊天一样搜索,搜遍4000万医学文献。AI智能推荐,让科研检索更轻松。

立即免费搜索

文件翻译

保留排版,准确专业,支持PDF/Word/PPT等文件格式,支持 12+语言互译。

免费翻译文档

深度研究

AI帮你快速写综述,25分钟生成高质量综述,智能提取关键信息,辅助科研写作。

立即免费体验