Suppr超能文献

犬脐尿管憩室并发脓性子宫炎的超声和计算机断层扫描诊断

Ultrasonographic and Computed Tomographic Diagnosis of Urachal Diverticulum Concurrent With Pyometra in a Dog.

作者信息

Norena Nicole, Appleby Ryan B, Defarges Alice, Mehrkens Lea, Biskup Jeff

机构信息

Department of Clinical Studies, Ontario Veterinary College, University of Guelph, Guelph, Ontario, Canada.

Capital City Specialty and Emergency Animal Hospital, Ottawa, Ontario, Canada.

出版信息

Vet Radiol Ultrasound. 2025 Jan;66(1):e70002. doi: 10.1111/vru.70002.

Abstract

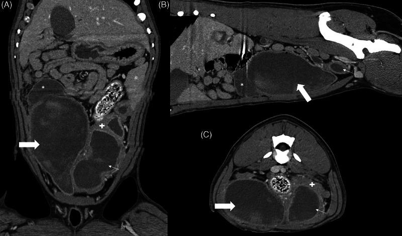
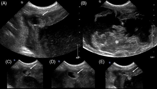
A young, intact, female, American Bulldog was presented for hemorrhagic vaginal discharge. Anemia, thrombocytopenia, leukocytosis with neutrophilia, azotemia, and electrolyte disturbances were detected in the bloodwork. A urachal diverticulum with concurrent uterine distention was identified by ultrasonography and CT. The diverticulum was excised in surgery, and an ovariohysterectomy was performed. Histopathological examination confirmed an abscessed bladder wall with concurrent pyometra.

摘要

一只年轻、未绝育的雌性美国斗牛犬因阴道出血性分泌物前来就诊。血液检查发现贫血、血小板减少、白细胞增多伴中性粒细胞增多、氮质血症和电解质紊乱。超声检查和CT检查发现一个脐尿管憩室并发子宫扩张。手术中切除了憩室,并进行了卵巢子宫切除术。组织病理学检查证实膀胱壁脓肿并发子宫蓄脓。

https://cdn.ncbi.nlm.nih.gov/pmc/blobs/0d28/11719760/c61ea54e587b/VRU-66-0-g002.jpg

文献检索

告别复杂PubMed语法,用中文像聊天一样搜索,搜遍4000万医学文献。AI智能推荐,让科研检索更轻松。

立即免费搜索

文件翻译

保留排版,准确专业,支持PDF/Word/PPT等文件格式,支持 12+语言互译。

免费翻译文档

深度研究

AI帮你快速写综述,25分钟生成高质量综述,智能提取关键信息,辅助科研写作。

立即免费体验