Suppr超能文献

在桑德霍夫病小鼠模型中NLRP3炎性小体的失调及IL-1β对疾病的促进作用

Dysregulation of the NLRP3 Inflammasome and Promotion of Disease by IL-1β in a Murine Model of Sandhoff Disease.

作者信息

Platt Nick, Shepherd Dawn, Smith David A, Smith Claire, Wallom Kerri-Lee, Luqmani Raashid, Churchill Grant C, Galione Antony, Platt Frances M

机构信息

Department of Pharmacology, University of Oxford, Mansfield Road, Oxford OX1 3QT, UK.

Nuffield Department of Orthopaedics, Rheumatology and Musculoskeletal Sciences, University of Oxford, Windmill Road, Oxford OX3 7LD, UK.

出版信息

Cells. 2025 Jan 1;14(1):35. doi: 10.3390/cells14010035.

Abstract

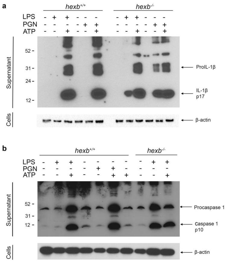
Sandhoff disease (SD) is a progressive neurodegenerative lysosomal storage disorder characterized by GM2 ganglioside accumulation as a result of mutations in the gene, which encodes the β-subunit of the enzyme β-hexosaminidase. Lysosomal storage of GM2 triggers inflammation in the CNS and periphery. The NLRP3 inflammasome is an important coordinator of pro-inflammatory responses, and we have investigated its regulation in murine SD. The NLRP3 inflammasome requires two signals, lipopolysaccharide (LPS) and ATP, to prime and activate the complex, respectively, leading to IL-1β secretion. Peritoneal, but not bone-marrow-derived, macrophages from symptomatic SD mice, but not those from pre-symptomatic animals, secrete the cytokine following priming with LPS with no requirement for activation with ATP, suggesting that such NLRP3 deregulation is related to the extent of glycosphingolipid storage. Dysregulated production of IL-1β was dependent upon caspase activity but not cathepsin B. We investigated the role of IL-1β in SD pathology using two approaches: the creation of double knockout mice or by treating animals with anakinra, a recombinant form of the IL-1 receptor antagonist, IL-1Ra. Both resulted in modest but significant extensions in lifespan and improvement of neurological function. These data demonstrate that IL-1β actively participates in the disease process and provides proof-of-principle that blockade of the pro-inflammatory cytokine IL-1β may provide benefits to patients.

摘要

桑德霍夫病(SD)是一种进行性神经退行性溶酶体贮积症,其特征是由于编码β-己糖胺酶β亚基的基因突变导致GM2神经节苷脂蓄积。GM2在溶酶体中的贮积引发中枢神经系统和外周的炎症。NLRP3炎性小体是促炎反应的重要协调者,我们研究了其在小鼠SD中的调节作用。NLRP3炎性小体需要脂多糖(LPS)和ATP这两个信号分别启动和激活该复合物,从而导致IL-1β分泌。有症状的SD小鼠的腹膜巨噬细胞(而非骨髓来源的巨噬细胞)在用LPS启动后会分泌细胞因子,而无需ATP激活,而无症状动物的巨噬细胞则不会,这表明这种NLRP3失调与糖鞘脂贮积程度有关。IL-1β的失调产生依赖于半胱天冬酶活性,而非组织蛋白酶B。我们使用两种方法研究了IL-1β在SD病理中的作用:创建双敲除小鼠或用重组形式的IL-1受体拮抗剂IL-1Ra治疗动物。两者均导致寿命适度但显著延长以及神经功能改善。这些数据表明IL-1β积极参与疾病过程,并提供了原理证明,即阻断促炎细胞因子IL-1β可能对患者有益。

https://cdn.ncbi.nlm.nih.gov/pmc/blobs/9b2a/11720672/7ea6f719e929/cells-14-00035-g001.jpg

文献检索

告别复杂PubMed语法,用中文像聊天一样搜索,搜遍4000万医学文献。AI智能推荐,让科研检索更轻松。

立即免费搜索

文件翻译

保留排版,准确专业,支持PDF/Word/PPT等文件格式,支持 12+语言互译。

免费翻译文档

深度研究

AI帮你快速写综述,25分钟生成高质量综述,智能提取关键信息,辅助科研写作。

立即免费体验