• 文献检索
  • 文档翻译
  • 深度研究
  • 学术资讯
  • Suppr Zotero 插件Zotero 插件
  • 邀请有礼
  • 套餐&价格
  • 历史记录
应用&插件
Suppr Zotero 插件Zotero 插件浏览器插件Mac 客户端Windows 客户端微信小程序
定价
高级版会员购买积分包购买API积分包
服务
文献检索文档翻译深度研究API 文档MCP 服务
关于我们
关于 Suppr公司介绍联系我们用户协议隐私条款
关注我们

Suppr 超能文献

核心技术专利:CN118964589B侵权必究
粤ICP备2023148730 号-1Suppr @ 2026

文献检索

告别复杂PubMed语法,用中文像聊天一样搜索,搜遍4000万医学文献。AI智能推荐,让科研检索更轻松。

立即免费搜索

文件翻译

保留排版,准确专业,支持PDF/Word/PPT等文件格式,支持 12+语言互译。

免费翻译文档

深度研究

AI帮你快速写综述,25分钟生成高质量综述,智能提取关键信息,辅助科研写作。

立即免费体验

ACADS的DNA甲基化促进肝细胞癌中的免疫原性细胞死亡。

DNA methylation of ACADS promotes immunogenic cell death in hepatocellular carcinoma.

作者信息

Qian Ze, Jiang Yifan, Wang Yacong, Li Yu, Zhang Lin, Xu Xiaofeng, Chen Diyu

机构信息

Division of Hepatobiliary and Pancreatic Surgery, Department of Surgery, First Affiliated Hospital, School of Medicine, Zhejiang University, Hangzhou, 310003, Zhejiang, China.

Department of Gerontology, First Affiliated Hospital, Zhejiang University School of Medicine, Hangzhou, 310003, Zhejiang, China.

出版信息

Cell Biosci. 2025 Jan 12;15(1):3. doi: 10.1186/s13578-024-01334-1.

DOI:10.1186/s13578-024-01334-1
PMID:39800718
原文链接:https://pmc.ncbi.nlm.nih.gov/articles/PMC11727568/
Abstract

BACKGROUND

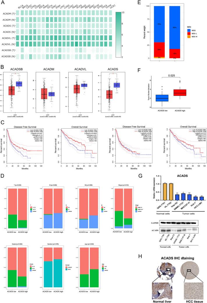
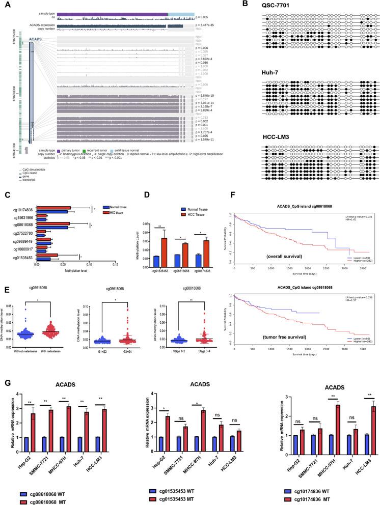
Altered metabolism has become an important characteristic of cancer, and acyl-CoA dehydrogenase short-chain (ACADS), a regulator of lipid synthesis, is involved in carcinogenesis-associated metabolic pathways. DNA methylation is an important mechanism for silencing ACADS in various malignancies. However, the specific role of ACADS in hepatocellular carcinoma (HCC) pathogenesis remains poorly understood.

METHODS AND RESULTS

Using RNA sequencing data from different tumours in The Cancer Genome Atlas database, we observed that ACADS was downregulated and hypermethylated in HCC. Three potential CpG island sites (cg01535453, cg08618068, and cg10174836) were identified in the ACADS promoter. Through in vivo and in vitro experiments, we confirmed that cg08618068 was methylated in HCC. We defined this site as ACADS methylation site-2 (ACADS MS-2). Methylation of ACADS MS-2 was associated with worse survival, and mutation of MS-2 increased ACADS mRNA levels in five HCC cell lines. Sustained overexpression of ACADS not only suppressed the proliferation, migration, and invasion of HCC cells but also promoted immunogenic cell death (ICD) via the upregulation of calreticulin. Subsequently, we established a specific nomogram based on ACADS methylation levels to evaluate the 3- and 5-year overall survival rates of patients with HCC who underwent surgical resection.

CONCLUSIONS

Our work clarified that ACADS acts as a putative tumour suppressor in HCC and confirmed that a nomogram including ACADS methylation had good predictive performance in HCC. We also discovered a correlation between ACADS and ICD, suggesting that ACADS is an essential target for immunotherapy in HCC.

摘要

背景

代谢改变已成为癌症的一个重要特征,而脂酰辅酶A脱氢酶短链(ACADS)作为脂质合成的调节因子,参与了与致癌作用相关的代谢途径。DNA甲基化是各种恶性肿瘤中使ACADS沉默的重要机制。然而,ACADS在肝细胞癌(HCC)发病机制中的具体作用仍知之甚少。

方法与结果

利用癌症基因组图谱数据库中不同肿瘤的RNA测序数据,我们观察到ACADS在HCC中表达下调且发生了高甲基化。在ACADS启动子中鉴定出三个潜在的CpG岛位点(cg01535453、cg08618068和cg10174836)。通过体内和体外实验,我们证实cg08618068在HCC中发生了甲基化。我们将该位点定义为ACADS甲基化位点2(ACADS MS-2)。ACADS MS-2的甲基化与较差的生存率相关,并且MS-2的突变在五种HCC细胞系中增加了ACADS mRNA水平。ACADS的持续过表达不仅抑制了HCC细胞的增殖、迁移和侵袭,还通过上调钙网蛋白促进了免疫原性细胞死亡(ICD)。随后,我们基于ACADS甲基化水平建立了一个特定的列线图,以评估接受手术切除的HCC患者的3年和5年总生存率。

结论

我们的工作阐明了ACADS在HCC中作为一种假定的肿瘤抑制因子发挥作用,并证实包含ACADS甲基化的列线图在HCC中具有良好的预测性能。我们还发现了ACADS与ICD之间的相关性,表明ACADS是HCC免疫治疗的一个重要靶点。

https://cdn.ncbi.nlm.nih.gov/pmc/blobs/a39e/11727568/57ed918ff7ef/13578_2024_1334_Fig7_HTML.jpg
https://cdn.ncbi.nlm.nih.gov/pmc/blobs/a39e/11727568/d3e67c9aa0bf/13578_2024_1334_Fig1_HTML.jpg
https://cdn.ncbi.nlm.nih.gov/pmc/blobs/a39e/11727568/0a2e412e1d1e/13578_2024_1334_Fig2_HTML.jpg
https://cdn.ncbi.nlm.nih.gov/pmc/blobs/a39e/11727568/d42527a623b7/13578_2024_1334_Fig3_HTML.jpg
https://cdn.ncbi.nlm.nih.gov/pmc/blobs/a39e/11727568/ca7a5bb1d819/13578_2024_1334_Fig4_HTML.jpg
https://cdn.ncbi.nlm.nih.gov/pmc/blobs/a39e/11727568/a3b5c06594d5/13578_2024_1334_Fig5_HTML.jpg
https://cdn.ncbi.nlm.nih.gov/pmc/blobs/a39e/11727568/3c76ac42c908/13578_2024_1334_Fig6_HTML.jpg
https://cdn.ncbi.nlm.nih.gov/pmc/blobs/a39e/11727568/57ed918ff7ef/13578_2024_1334_Fig7_HTML.jpg
https://cdn.ncbi.nlm.nih.gov/pmc/blobs/a39e/11727568/d3e67c9aa0bf/13578_2024_1334_Fig1_HTML.jpg
https://cdn.ncbi.nlm.nih.gov/pmc/blobs/a39e/11727568/0a2e412e1d1e/13578_2024_1334_Fig2_HTML.jpg
https://cdn.ncbi.nlm.nih.gov/pmc/blobs/a39e/11727568/d42527a623b7/13578_2024_1334_Fig3_HTML.jpg
https://cdn.ncbi.nlm.nih.gov/pmc/blobs/a39e/11727568/ca7a5bb1d819/13578_2024_1334_Fig4_HTML.jpg
https://cdn.ncbi.nlm.nih.gov/pmc/blobs/a39e/11727568/a3b5c06594d5/13578_2024_1334_Fig5_HTML.jpg
https://cdn.ncbi.nlm.nih.gov/pmc/blobs/a39e/11727568/3c76ac42c908/13578_2024_1334_Fig6_HTML.jpg
https://cdn.ncbi.nlm.nih.gov/pmc/blobs/a39e/11727568/57ed918ff7ef/13578_2024_1334_Fig7_HTML.jpg

相似文献

1
DNA methylation of ACADS promotes immunogenic cell death in hepatocellular carcinoma.ACADS的DNA甲基化促进肝细胞癌中的免疫原性细胞死亡。
Cell Biosci. 2025 Jan 12;15(1):3. doi: 10.1186/s13578-024-01334-1.
2
ACADS acts as a potential methylation biomarker associated with the proliferation and metastasis of hepatocellular carcinomas.ACADS作为一种与肝细胞癌增殖和转移相关的潜在甲基化生物标志物。
Aging (Albany NY). 2019 Oct 25;11(20):8825-8844. doi: 10.18632/aging.102292.
3
Clinical Significance of Acyl-CoA Dehydrogenase Short Chain and Its Anti-tumor Role in Hepatocellular Carcinoma by Inhibiting Canonical Wnt/β-Catenin Pathway.酰基辅酶A脱氢酶短链的临床意义及其通过抑制经典Wnt/β-连环蛋白通路在肝细胞癌中的抗肿瘤作用
Dig Dis Sci. 2025 Feb;70(2):622-637. doi: 10.1007/s10620-024-08813-y. Epub 2025 Jan 2.
4
Integrated Analysis of Expression and Prognostic Values of Acyl-CoA Dehydrogenase short-chain in Colorectal Cancer.结直肠癌中酰基辅酶 A 脱氢酶短链的表达及预后价值的综合分析。
Int J Med Sci. 2021 Sep 7;18(16):3631-3643. doi: 10.7150/ijms.63953. eCollection 2021.
5
Hypomethylation-mediated upregulation of the WASF2 promoter region correlates with poor clinical outcomes in hepatocellular carcinoma.甲基化介导的 WASF2 启动子区域上调与肝细胞癌不良临床结局相关。
J Exp Clin Cancer Res. 2022 Apr 28;41(1):158. doi: 10.1186/s13046-022-02365-7.
6
A novel immunogenic cell death-related genes signature for predicting prognosis, immune landscape and immunotherapy effect in hepatocellular carcinoma.一种新型免疫原性细胞死亡相关基因特征,可预测肝细胞癌的预后、免疫图谱和免疫治疗效果。
J Cancer Res Clin Oncol. 2023 Dec;149(18):16261-16277. doi: 10.1007/s00432-023-05370-1. Epub 2023 Sep 12.
7
Identification by TCGA database search of five genes that are aberrantly expressed and involved in hepatocellular carcinoma potentially via DNA methylation changes.通过 TCGA 数据库搜索鉴定出五个异常表达的基因,这些基因可能通过 DNA 甲基化改变参与肝癌的发生。
Environ Health Prev Med. 2020 Jul 23;25(1):31. doi: 10.1186/s12199-020-00871-8.
8
The DNA methylation profile of liver tumors in C3H mice and identification of differentially methylated regions involved in the regulation of tumorigenic genes.C3H 小鼠肝癌的 DNA 甲基化图谱及调控致癌基因的差异甲基化区域鉴定。
BMC Cancer. 2018 Mar 22;18(1):317. doi: 10.1186/s12885-018-4221-0.
9
Genome-wide methylation analysis and epigenetic unmasking identify tumor suppressor genes in hepatocellular carcinoma.全基因组甲基化分析和表观遗传去抑制鉴定肝癌中的肿瘤抑制基因。
Gastroenterology. 2013 Dec;145(6):1424-35.e1-25. doi: 10.1053/j.gastro.2013.08.055. Epub 2013 Sep 5.
10
hnRNPA2B1 promotes the occurrence and progression of hepatocellular carcinoma by downregulating PCK1 mRNA via a m6A RNA methylation manner.hnRNPA2B1 通过 m6A RNA 甲基化方式下调 PCK1 mRNA 促进肝细胞癌的发生和发展。
J Transl Med. 2023 Nov 28;21(1):861. doi: 10.1186/s12967-023-04704-4.

本文引用的文献

1
Covalent fragment-based drug discovery for target tractability.基于共价片段的药物发现可提高靶标可及性。
Curr Opin Struct Biol. 2024 Jun;86:102809. doi: 10.1016/j.sbi.2024.102809. Epub 2024 Mar 29.
2
Global Epidemiology and Genetics of Hepatocellular Carcinoma.全球肝细胞癌的流行病学和遗传学
Gastroenterology. 2023 Apr;164(5):766-782. doi: 10.1053/j.gastro.2023.01.033. Epub 2023 Feb 2.
3
Diverse and unselected adults with clinically relevant ACADS variants lack evidence of metabolic disease.患有临床相关 ACADS 变异的不同和未经选择的成年人缺乏代谢疾病的证据。
Mol Genet Metab. 2023 Jan;138(1):106971. doi: 10.1016/j.ymgme.2022.106971. Epub 2022 Dec 15.
4
Lactate-Oxidase-Instructed Cancer Diagnosis and Therapy.基于乳过氧化物酶指导的癌症诊断与治疗
Adv Mater. 2023 May;35(19):e2207951. doi: 10.1002/adma.202207951. Epub 2023 Mar 22.
5
Secreted immune metabolites that mediate immune cell communication and function.分泌型免疫代谢物介导免疫细胞通讯和功能。
Trends Immunol. 2022 Dec;43(12):990-1005. doi: 10.1016/j.it.2022.10.006. Epub 2022 Nov 5.
6
Hepatocellular carcinoma.肝细胞癌
Lancet. 2022 Oct 15;400(10360):1345-1362. doi: 10.1016/S0140-6736(22)01200-4. Epub 2022 Sep 6.
7
Increased mitochondrial fission drives the reprogramming of fatty acid metabolism in hepatocellular carcinoma cells through suppression of Sirtuin 1.线粒体裂变增加通过抑制 Sirtuin 1 驱动肝癌细胞中脂肪酸代谢的重编程。
Cancer Commun (Lond). 2022 Jan;42(1):37-55. doi: 10.1002/cac2.12247. Epub 2022 Jan 4.
8
Epigenetic modulation of antitumor immunity for improved cancer immunotherapy.表观遗传调控抗肿瘤免疫以改善癌症免疫治疗。
Mol Cancer. 2021 Dec 20;20(1):171. doi: 10.1186/s12943-021-01464-x.
9
Integrated Analysis of Expression and Prognostic Values of Acyl-CoA Dehydrogenase short-chain in Colorectal Cancer.结直肠癌中酰基辅酶 A 脱氢酶短链的表达及预后价值的综合分析。
Int J Med Sci. 2021 Sep 7;18(16):3631-3643. doi: 10.7150/ijms.63953. eCollection 2021.
10
Cyclosporine modulates neutrophil functions via the SIRT6-HIF-1α-glycolysis axis to alleviate severe ulcerative colitis.环孢素通过SIRT6-HIF-1α-糖酵解轴调节中性粒细胞功能以减轻重度溃疡性结肠炎。
Clin Transl Med. 2021 Feb;11(2):e334. doi: 10.1002/ctm2.334.