• 文献检索
  • 文档翻译
  • 深度研究
  • 学术资讯
  • Suppr Zotero 插件Zotero 插件
  • 邀请有礼
  • 套餐&价格
  • 历史记录
应用&插件
Suppr Zotero 插件Zotero 插件浏览器插件Mac 客户端Windows 客户端微信小程序
定价
高级版会员购买积分包购买API积分包
服务
文献检索文档翻译深度研究API 文档MCP 服务
关于我们
关于 Suppr公司介绍联系我们用户协议隐私条款
关注我们

Suppr 超能文献

核心技术专利:CN118964589B侵权必究
粤ICP备2023148730 号-1Suppr @ 2026

文献检索

告别复杂PubMed语法,用中文像聊天一样搜索,搜遍4000万医学文献。AI智能推荐,让科研检索更轻松。

立即免费搜索

文件翻译

保留排版,准确专业,支持PDF/Word/PPT等文件格式,支持 12+语言互译。

免费翻译文档

深度研究

AI帮你快速写综述,25分钟生成高质量综述,智能提取关键信息,辅助科研写作。

立即免费体验

提取物通过TNF/NF-κB信号通路影响大鼠横纹肌溶解所致急性肾损伤。

Extract Affects Acute Kidney Injury Caused by Rhabdomyolysis in Rats Through TNF/NF-κB Signaling Pathway.

作者信息

Momeni-Moghaddam Mohammad Amin, Abbasnezhad Abbasali, Ebadi Amir Hossein, Mohebbati Reza

机构信息

Department of Nutrition and Biochemistry, Faculty of Medicine, Social Determinants of Health Research Center Gonabad University of Medical Science Gonabad Iran.

Department of Physiology, Faculty of Medicine Gonabad University of Medical Sciences Gonabad Iran.

出版信息

Food Sci Nutr. 2024 Dec 10;13(1):e4667. doi: 10.1002/fsn3.4667. eCollection 2025 Jan.

DOI:10.1002/fsn3.4667
PMID:39803217
原文链接:https://pmc.ncbi.nlm.nih.gov/articles/PMC11717044/
Abstract

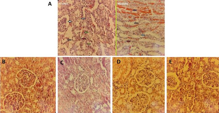
Due to the anti-inflammatory and antioxidant properties of the and the pathological mechanisms of rhabdomyolysis in the kidney, this plant can be used to improve the symptoms of this disease. Then, in this study, we investigated the effects of this herb in improving kidney injury by rhabdomyolysis. Animals were divided into five groups: control, glycerol (received it for rhabdomyolysis induction), extract (received 12 mg/kg extract), and treatment groups with dexamethasone (0.03 mg/kg) and extract (12 mg/kg). The extract was analyzed using HNMR. After a week, blood and urine samples were taken to measure protein, urea, and creatinine. Then, the animals were sacrificed, and the kidney tissue was removed to examine the antioxidant, TNF-α, and histopathological evaluations. Also, NF-κB gene expression was investigated. The serum creatinine, TNF-α, and NF-κB ratio significantly increased and antioxidant capacity decreased in the glycerol group compared with the control. Pathological evaluation also showed severe renal damage based on the related criteria. In the treatment groups with dexamethasone and especially extract, the considered parameters attenuated relatively compared with the glycerol group. Kidney damage and functional impairment associated with rhabdomyolysis, as well as the inflammatory response caused by increased NF-κB and the proinflammatory cytokine TNF-α, may be alleviated by . Consequently, could represent a potential therapeutic approach for patients with rhabdomyolysis-induced acute kidney injury.

摘要

由于[植物名称]的抗炎和抗氧化特性以及肾脏横纹肌溶解的病理机制,这种植物可用于改善该疾病的症状。然后,在本研究中,我们研究了这种草药对改善横纹肌溶解所致肾损伤的作用。将动物分为五组:对照组、甘油组(接受甘油以诱导横纹肌溶解)、提取物组(接受12mg/kg提取物)以及地塞米松(0.03mg/kg)和提取物(12mg/kg)治疗组。使用核磁共振氢谱(HNMR)对提取物进行分析。一周后,采集血液和尿液样本以测量蛋白质、尿素和肌酐。然后,处死动物,取出肾脏组织进行抗氧化、肿瘤坏死因子-α(TNF-α)和组织病理学评估。此外,还研究了核因子-κB(NF-κB)基因表达。与对照组相比,甘油组血清肌酐、TNF-α和NF-κB比值显著升高,抗氧化能力下降。病理评估也显示根据相关标准存在严重肾损伤。在地塞米松治疗组尤其是提取物治疗组中,与甘油组相比,所考虑的参数相对减轻。横纹肌溶解相关的肾损伤和功能损害,以及由NF-κB和促炎细胞因子TNF-α增加引起的炎症反应,可能通过[植物名称]得到缓解。因此,[植物名称]可能代表一种针对横纹肌溶解诱导的急性肾损伤患者的潜在治疗方法。

https://cdn.ncbi.nlm.nih.gov/pmc/blobs/5ec3/11717044/8974c6cc2a41/FSN3-13-e4667-g004.jpg
https://cdn.ncbi.nlm.nih.gov/pmc/blobs/5ec3/11717044/fc9867b1e421/FSN3-13-e4667-g001.jpg
https://cdn.ncbi.nlm.nih.gov/pmc/blobs/5ec3/11717044/50f844bd6f28/FSN3-13-e4667-g003.jpg
https://cdn.ncbi.nlm.nih.gov/pmc/blobs/5ec3/11717044/d218c066b701/FSN3-13-e4667-g002.jpg
https://cdn.ncbi.nlm.nih.gov/pmc/blobs/5ec3/11717044/022e64306248/FSN3-13-e4667-g006.jpg
https://cdn.ncbi.nlm.nih.gov/pmc/blobs/5ec3/11717044/8974c6cc2a41/FSN3-13-e4667-g004.jpg
https://cdn.ncbi.nlm.nih.gov/pmc/blobs/5ec3/11717044/fc9867b1e421/FSN3-13-e4667-g001.jpg
https://cdn.ncbi.nlm.nih.gov/pmc/blobs/5ec3/11717044/50f844bd6f28/FSN3-13-e4667-g003.jpg
https://cdn.ncbi.nlm.nih.gov/pmc/blobs/5ec3/11717044/d218c066b701/FSN3-13-e4667-g002.jpg
https://cdn.ncbi.nlm.nih.gov/pmc/blobs/5ec3/11717044/022e64306248/FSN3-13-e4667-g006.jpg
https://cdn.ncbi.nlm.nih.gov/pmc/blobs/5ec3/11717044/8974c6cc2a41/FSN3-13-e4667-g004.jpg

相似文献

1
Extract Affects Acute Kidney Injury Caused by Rhabdomyolysis in Rats Through TNF/NF-κB Signaling Pathway.提取物通过TNF/NF-κB信号通路影响大鼠横纹肌溶解所致急性肾损伤。
Food Sci Nutr. 2024 Dec 10;13(1):e4667. doi: 10.1002/fsn3.4667. eCollection 2025 Jan.
2
Pharmacological Inhibition of Macrophage Toll-like Receptor 4/Nuclear Factor-kappa B Alleviates Rhabdomyolysis-induced Acute Kidney Injury.药理学抑制巨噬细胞 Toll 样受体 4/核因子-κB 减轻横纹肌溶解症诱导的急性肾损伤。
Chin Med J (Engl). 2017 Sep 20;130(18):2163-2169. doi: 10.4103/0366-6999.213406.
3
Effect of verbascoside against acute kidney injury induced by rhabdomyolysis in rats.毛蕊花糖苷对大鼠横纹肌溶解症致急性肾损伤的作用。
Naunyn Schmiedebergs Arch Pharmacol. 2024 Oct;397(10):7939-7950. doi: 10.1007/s00210-024-03144-1. Epub 2024 May 16.
4
Recombinant human erythropoietin reduces rhabdomyolysis-induced acute renal failure in rats.重组人促红细胞生成素可减少横纹肌溶解症引起的大鼠急性肾衰竭。
Injury. 2012 Mar;43(3):367-73. doi: 10.1016/j.injury.2011.11.013. Epub 2011 Dec 30.
5
Pretreatment with hydrogen-rich saline reduces the damage caused by glycerol-induced rhabdomyolysis and acute kidney injury in rats.富氢生理盐水预处理可减轻甘油诱导的横纹肌溶解和急性肾损伤大鼠的损伤。
J Surg Res. 2014 May 1;188(1):243-9. doi: 10.1016/j.jss.2013.12.007. Epub 2013 Dec 12.
6
Gallic Acid Improves Therapeutic Effects of Mesenchymal Stem Cells Derived from Adipose Tissue in Acute Renal Injury Following Rhabdomyolysis Induced by Glycerol.没食子酸改善甘油诱导的横纹肌溶解症后急性肾损伤中脂肪组织来源间充质干细胞的治疗效果。
Inflammation. 2022 Dec;45(6):2294-2308. doi: 10.1007/s10753-022-01691-4. Epub 2022 Jul 5.
7
Modulation of inflammatory, oxidative, and apoptotic stresses mediates the renoprotective effect of daidzein against glycerol-induced acute kidney injury in rats.大豆黄酮通过调节炎症、氧化和凋亡应激介导对甘油诱导的大鼠急性肾损伤的肾保护作用。
Environ Sci Pollut Res Int. 2023 Dec;30(56):119016-119033. doi: 10.1007/s11356-023-30461-4. Epub 2023 Nov 3.
8
Alpha-Mangostin ameliorates acute kidney injury via modifying levels of circulating TNF-α and IL-6 in glycerol-induced rhabdomyolysis animal model.α-倒捻子素通过调节甘油诱导的横纹肌溶解动物模型中循环 TNF-α 和 IL-6 的水平改善急性肾损伤。
Acta Biochim Pol. 2023 Apr 17;70(2):277-284. doi: 10.18388/abp.2020_6509.
9
Pentoxifylline and thiamine ameliorate rhabdomyolysis-induced acute kidney injury in rats via suppressing TLR4/NF-κB and NLRP-3/caspase-1/gasdermin mediated-pyroptosis.己酮可可碱和硫胺素通过抑制 TLR4/NF-κB 和 NLRP-3/caspase-1/ 气体蛋白介导的焦亡来改善大鼠横纹肌溶解诱导的急性肾损伤。
Toxicol Appl Pharmacol. 2023 Feb 15;461:116387. doi: 10.1016/j.taap.2023.116387. Epub 2023 Jan 20.
10
Protective effect of thymol on glycerol-induced acute kidney injury.麝香草酚对甘油诱导的急性肾损伤的保护作用。
Ren Fail. 2023 Dec;45(1):2227728. doi: 10.1080/0886022X.2023.2227728.

本文引用的文献

1
Reactive Oxygen Species Signaling and Oxidative Stress: Transcriptional Regulation and Evolution.活性氧信号传导与氧化应激:转录调控与进化
Antioxidants (Basel). 2024 Mar 1;13(3):312. doi: 10.3390/antiox13030312.
2
NF-κB in biology and targeted therapy: new insights and translational implications.生物学与靶向治疗中的核因子-κB:新见解与转化意义
Signal Transduct Target Ther. 2024 Mar 4;9(1):53. doi: 10.1038/s41392-024-01757-9.
3
Protective effect of citronellol in rhabdomyolysis-induced acute kidney injury in mice.香茅醇对小鼠横纹肌溶解症诱导的急性肾损伤的保护作用。
J Med Life. 2023 Jul;16(7):1057-1061. doi: 10.25122/jml-2023-0102.
4
NADPH Oxidases: From Molecular Mechanisms to Current Inhibitors.NADPH 氧化酶:从分子机制到当前抑制剂。
J Med Chem. 2023 Sep 14;66(17):11632-11655. doi: 10.1021/acs.jmedchem.3c00770. Epub 2023 Aug 31.
5
Characterization of Polyphenols from after Fractionation with Different Solvents and Study of Their In Vitro Biological Activity.用不同溶剂进行分级后对 的多酚进行表征及其体外生物活性研究。
Molecules. 2023 Jun 16;28(12):4816. doi: 10.3390/molecules28124816.
6
ARMS-NF-κB signaling regulates intracellular ROS to induce autophagy-associated cell death upon oxidative stress.ARMS-NF-κB信号通路调节细胞内活性氧,以在氧化应激时诱导自噬相关的细胞死亡。
iScience. 2023 Jan 18;26(2):106005. doi: 10.1016/j.isci.2023.106005. eCollection 2023 Feb 17.
7
Administration of a single dose of lithium ameliorates rhabdomyolysis-associated acute kidney injury in rats.单次给予锂可改善大鼠横纹肌溶解相关急性肾损伤。
PLoS One. 2023 Feb 16;18(2):e0281679. doi: 10.1371/journal.pone.0281679. eCollection 2023.
8
Anti-inflammatory activity of flavonols inhibiting MAPK and NF-κB signaling pathways in RAW264.7 macrophages.黄酮醇在RAW264.7巨噬细胞中抑制MAPK和NF-κB信号通路的抗炎活性。
Curr Res Food Sci. 2022 Jul 20;5:1176-1184. doi: 10.1016/j.crfs.2022.07.007. eCollection 2022.
9
dsDNA-induced AIM2 pyroptosis halts aberrant inflammation during rhabdomyolysis-induced acute kidney injury.dsDNA 诱导的 AIM2 焦亡可阻止横纹肌溶解症诱导的急性肾损伤期间的异常炎症。
Cell Death Differ. 2022 Dec;29(12):2487-2502. doi: 10.1038/s41418-022-01033-9. Epub 2022 Jun 23.
10
Ulinastatin Alleviates Rhabdomyolysis-Induced Acute Kidney Injury by Suppressing Inflammation and Apoptosis via Inhibiting TLR4/NF-κB Signaling Pathway.乌司他丁通过抑制 TLR4/NF-κB 信号通路抑制炎症和凋亡减轻横纹肌溶解诱导的急性肾损伤。
Inflammation. 2022 Oct;45(5):2052-2065. doi: 10.1007/s10753-022-01675-4. Epub 2022 Jun 6.