• 文献检索
  • 文档翻译
  • 深度研究
  • 学术资讯
  • Suppr Zotero 插件Zotero 插件
  • 邀请有礼
  • 套餐&价格
  • 历史记录
应用&插件
Suppr Zotero 插件Zotero 插件浏览器插件Mac 客户端Windows 客户端微信小程序
定价
高级版会员购买积分包购买API积分包
服务
文献检索文档翻译深度研究API 文档MCP 服务
关于我们
关于 Suppr公司介绍联系我们用户协议隐私条款
关注我们

Suppr 超能文献

核心技术专利:CN118964589B侵权必究
粤ICP备2023148730 号-1Suppr @ 2026

文献检索

告别复杂PubMed语法,用中文像聊天一样搜索,搜遍4000万医学文献。AI智能推荐,让科研检索更轻松。

立即免费搜索

文件翻译

保留排版,准确专业,支持PDF/Word/PPT等文件格式,支持 12+语言互译。

免费翻译文档

深度研究

AI帮你快速写综述,25分钟生成高质量综述,智能提取关键信息,辅助科研写作。

立即免费体验

六例印度Bestrophinopathy患者的表型和基因谱

Phenotype and genetic spectrum of six Indian patients with bestrophinopathy.

作者信息

Shakeel Areeba, Bhatt Darshan M, Gopal Lingam, Raman Rajiv, Rao Chetan, Sripriya S, Bhende Muna

机构信息

Shri Bhagwan Mahavir Vitreoretinal Services, Medical Research Foundation, Sankara Nethralaya, Chennai, Tamil Nadu, India.

SNONGC Department of Genetics and Molecular Biology, Medical Research Foundation, Sankara Nethralaya, Chennai, Tamil Nadu, India.

出版信息

Taiwan J Ophthalmol. 2024 Dec 3;14(4):602-608. doi: 10.4103/tjo.TJO-D-24-00080. eCollection 2024 Oct-Dec.

DOI:10.4103/tjo.TJO-D-24-00080
PMID:39803400
原文链接:https://pmc.ncbi.nlm.nih.gov/articles/PMC11717330/
Abstract

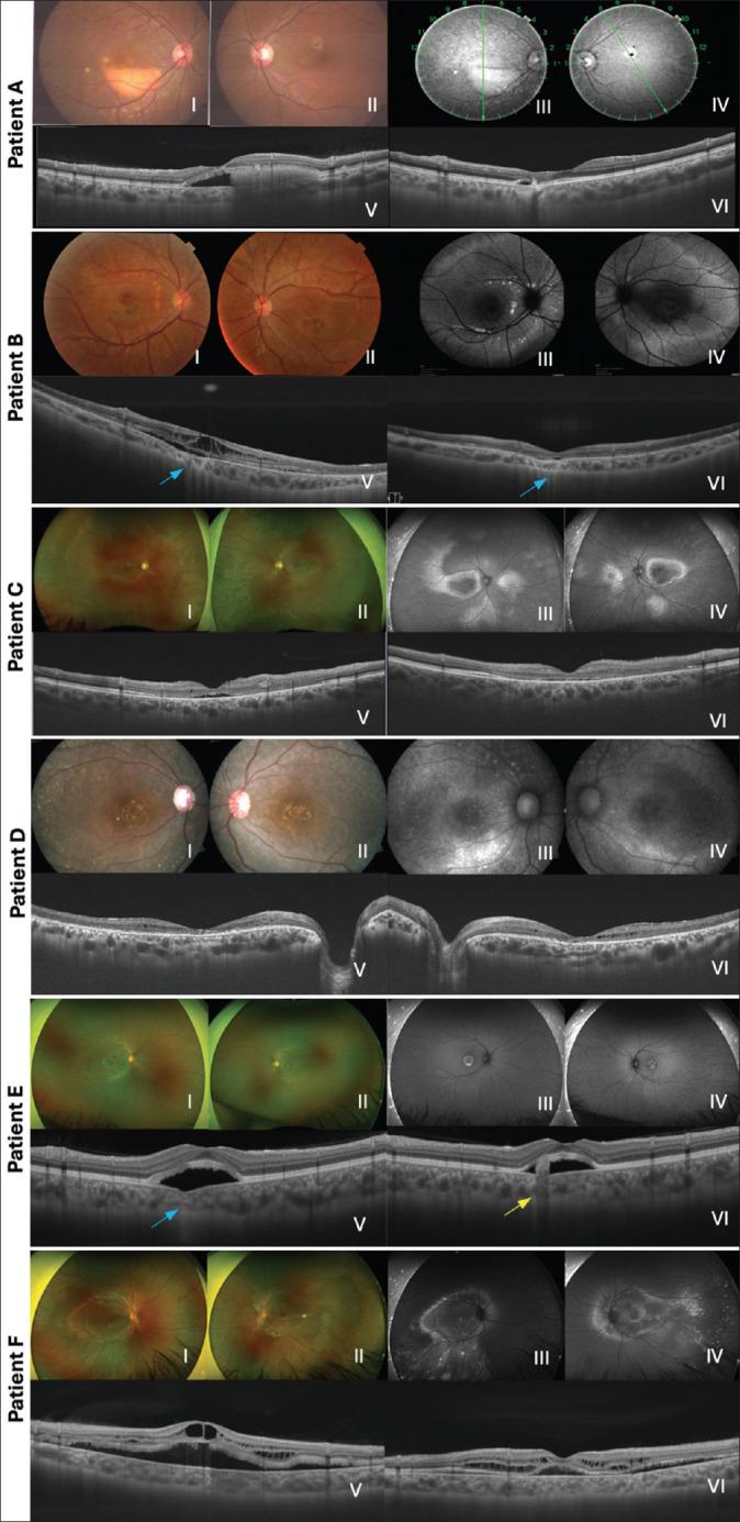
The aim of this study is to describe genotype and phenotype of patients with bestrophinopathy. The case records were reviewed retrospectively, findings of multimodal imaging such as color fundus photograph, optical coherence tomography (OCT), fundus autofluorescence, electrophysiological, and genetic tests were noted. Twelve eyes of six patients from distinct Indian families with molecular diagnosis were enrolled. Exon 4 of was mutated in 3 cases, while exons 2, 3, and 7 in others. Deletion is seen in Exon 7 and missense mutation in other exons. Sporadic autosomal dominant and recessive inheritance was observed in these families. Two patients had primary angle closure glaucoma with a history of consanguineous marriage and glaucoma in the family. Based on our findings, multifocal vitelliform subretinal deposits were the most common fundus finding in patients with autosomal recessive mutation while macular vitelliform lesion was seen with sporadic or autosomal dominant mutation; however, cosegregation analysis was not done. Baseline OCT showed macular and extramacular subretinal exudates, subretinal fluid, intraretinal cystic and schitic spaces, and thickened photoreceptors outer segment tips. Two patients developed abnormal vasculature and focal choroidal excavation in OCT. A severe reduction in the electro-oculogram Ardens ratio was noted while electroretinography was normal. Bestrophinopathy has a varied presentation with complex genotype-phenotype relationships. OCT is a noninvasive tool for monitoring and prognostication. Genetic testing of other family members should be facilitated.

摘要

本研究旨在描述贝氏营养不良症患者的基因型和表型。回顾性查阅病例记录,记录彩色眼底照片、光学相干断层扫描(OCT)、眼底自发荧光、电生理和基因检测等多模态成像的结果。纳入了来自不同印度家庭的6例患者的12只眼睛,这些患者均有分子诊断结果。3例患者的第4外显子发生突变,其他患者的第2、3和7外显子发生突变。第7外显子可见缺失,其他外显子可见错义突变。在这些家庭中观察到散发的常染色体显性和隐性遗传。2例患者患有原发性闭角型青光眼,家族中有近亲结婚和青光眼病史。根据我们的研究结果,多灶性卵黄样视网膜下沉积物是常染色体隐性突变患者最常见的眼底表现,而黄斑卵黄样病变则见于散发或常染色体显性突变患者;然而,未进行共分离分析。基线OCT显示黄斑和黄斑外视网膜下渗出液、视网膜下液、视网膜内囊性和劈裂性间隙以及增厚感光细胞外段尖端。2例患者在OCT中出现异常血管和局限性脉络膜凹陷。眼电图Arden比值严重降低,而视网膜电图正常。贝氏营养不良症表现多样,基因型与表型关系复杂。OCT是一种用于监测和预后评估的非侵入性工具。应推动对其他家庭成员进行基因检测。

https://cdn.ncbi.nlm.nih.gov/pmc/blobs/71e7/11717330/6899923fd5bb/TJO-14-602-g002.jpg
https://cdn.ncbi.nlm.nih.gov/pmc/blobs/71e7/11717330/c8923e634794/TJO-14-602-g001.jpg
https://cdn.ncbi.nlm.nih.gov/pmc/blobs/71e7/11717330/6899923fd5bb/TJO-14-602-g002.jpg
https://cdn.ncbi.nlm.nih.gov/pmc/blobs/71e7/11717330/c8923e634794/TJO-14-602-g001.jpg
https://cdn.ncbi.nlm.nih.gov/pmc/blobs/71e7/11717330/6899923fd5bb/TJO-14-602-g002.jpg

相似文献

1
Phenotype and genetic spectrum of six Indian patients with bestrophinopathy.六例印度Bestrophinopathy患者的表型和基因谱
Taiwan J Ophthalmol. 2024 Dec 3;14(4):602-608. doi: 10.4103/tjo.TJO-D-24-00080. eCollection 2024 Oct-Dec.
2
Autosomal recessive bestrophinopathy: differential diagnosis and treatment options.常染色体隐性 Best 相关葡萄膜营养不良:鉴别诊断和治疗选择。
Ophthalmology. 2013 Apr;120(4):809-20. doi: 10.1016/j.ophtha.2012.09.057. Epub 2013 Jan 3.
3
BESTROPHINOPATHY: A Spectrum of Ocular Abnormalities Caused by the c.614T>C Mutation in the BEST1 Gene.最佳rophin病:由BEST1基因c.614T>C突变引起的一系列眼部异常。
Retina. 2016 Aug;36(8):1586-95. doi: 10.1097/IAE.0000000000000950.
4
Autosomal recessive bestrophinopathy associated with angle-closure glaucoma.与闭角型青光眼相关的常染色体隐性遗传性最佳rophin病。
Doc Ophthalmol. 2014 Aug;129(1):57-63. doi: 10.1007/s10633-014-9444-z. Epub 2014 May 24.
5
A unique case series of autosomal recessive bestrophinopathy exhibiting multigenerational inheritance.一个呈现多代遗传的常染色体隐性遗传性Bestrophin病的独特病例系列。
Ophthalmic Genet. 2017 Dec;38(6):570-574. doi: 10.1080/13816810.2017.1318926. Epub 2017 May 8.
6
Screening for BEST1 gene mutations in Chinese patients with bestrophinopathy.中国贝氏营养不良症患者中BEST1基因突变的筛查
Mol Vis. 2014 Nov 11;20:1594-604. eCollection 2014.
7
Association of Clinical and Genetic Heterogeneity With BEST1 Sequence Variations.临床和遗传异质性与 BEST1 序列变异的关联。
JAMA Ophthalmol. 2020 May 1;138(5):544-551. doi: 10.1001/jamaophthalmol.2020.0666.
8
Clinical Heterogeneity in Autosomal Recessive Bestrophinopathy with Biallelic Mutations in the Gene.常染色体隐性遗传性 Bestrophinopathy 伴双等位基因突变的临床异质性。
Int J Mol Sci. 2020 Dec 8;21(24):9353. doi: 10.3390/ijms21249353.
9
Detailed analysis of family with autosomal recessive bestrophinopathy associated with new BEST1 mutation.对与新的BEST1突变相关的常染色体隐性遗传性Bestrophin病家族的详细分析。
Doc Ophthalmol. 2016 Jun;132(3):233-43. doi: 10.1007/s10633-016-9540-3. Epub 2016 Apr 12.
10
Clinical Features and Genetic Findings of Autosomal Recessive Bestrophinopathy.常染色体隐性遗传性 Bestrophinopathy 的临床特征和遗传学发现。
Genes (Basel). 2022 Jul 4;13(7):1197. doi: 10.3390/genes13071197.

本文引用的文献

1
[A case report of autosomal recessive bestrophinopathy].[常染色体隐性遗传性Bestrophin病病例报告]
Zhonghua Yan Ke Za Zhi. 2023 Jul 11;59(7):566-569. doi: 10.3760/cma.j.cn112142-20221105-00571.
2
A novel compound heterozygous BEST1 gene mutation in two siblings causing autosomal recessive bestrophinopathy.两同胞中存在 BEST1 基因的新型复合杂合突变导致常染色体隐性眼病伴渗出性玻璃体视网膜病变。
BMC Ophthalmol. 2022 Dec 16;22(1):493. doi: 10.1186/s12886-022-02703-5.
3
Autosomal Recessive Bestrophinopathy: Clinical and Genetic Characteristics of Twenty-Four Cases.
常染色体隐性遗传性Bestrophin病:24例临床及遗传学特征
J Ophthalmol. 2021 Apr 30;2021:6674290. doi: 10.1155/2021/6674290. eCollection 2021.
4
Best Vitelliform Macular Dystrophy.Best 型类卵形黄斑部营养不良。
Adv Exp Med Biol. 2018;1085:157-158. doi: 10.1007/978-3-319-95046-4_29.
5
Next generation sequencing identifies novel disease-associated BEST1 mutations in Bestrophinopathy patients.下一代测序技术在 Bestrophinopathy 患者中鉴定出新型与疾病相关的 BEST1 突变。
Sci Rep. 2018 Jul 5;8(1):10176. doi: 10.1038/s41598-018-27951-8.
6
AUTOSOMAL RECESSIVE BESTROPHINOPATHY: MULTIMODAL IMAGING UPDATE.常染色体隐性遗传性贝氏营养不良症:多模态成像最新进展
Retin Cases Brief Rep. 2018;12 Suppl 1:S51-S54. doi: 10.1097/ICB.0000000000000707.
7
Bestrophin 1 and retinal disease.贝斯特罗芬1与视网膜疾病。
Prog Retin Eye Res. 2017 May;58:45-69. doi: 10.1016/j.preteyeres.2017.01.006. Epub 2017 Jan 30.
8
Bestrophinopathy: An RPE-photoreceptor interface disease.Bestrophinopathy:一种视网膜色素上皮-光感受器界面疾病。
Prog Retin Eye Res. 2017 May;58:70-88. doi: 10.1016/j.preteyeres.2017.01.005. Epub 2017 Jan 19.
9
Flat Anterior Chamber after Trabeculectomy in Secondary Angle-Closure Glaucoma with BEST1 Gene Mutation: Case Series.伴有BEST1基因突变的继发性闭角型青光眼小梁切除术后无前房:病例系列
PLoS One. 2017 Jan 5;12(1):e0169395. doi: 10.1371/journal.pone.0169395. eCollection 2017.
10
Vitelliform dystrophies: Prevalence in Olmsted County, Minnesota, United States.卵黄样营养不良:美国明尼苏达州奥尔姆斯特德县的患病率。
Ophthalmic Genet. 2017 Mar-Apr;38(2):143-147. doi: 10.1080/13816810.2016.1175645. Epub 2016 Apr 27.