Suppr超能文献

单聚集体水平上蛋白质致病性的分子决定因素

Molecular Determinants of Protein Pathogenicity at the Single-Aggregate Level.

作者信息

Urbanek Agnieszka, Garland Emma F, Prescott Emily E, King Marianne C, Olerinyova Anna, Wareing Hollie E, Georgieva Nia, Bradshaw Ellie L, Tzokov Svetomir B, Knight Alexander, Tartakovskii Alexander I, Malm Tarja, Highley J Robin, De Suman

机构信息

Sheffield Institute for Translational Neuroscience, Division of Neuroscience, University of Sheffield, Sheffield, S10 2HQ, UK.

Neuroscience Institute, University of Sheffield, Sheffield, S10 2TN, UK.

出版信息

Adv Sci (Weinh). 2025 Mar;12(9):e2410229. doi: 10.1002/advs.202410229. Epub 2025 Jan 13.

Abstract

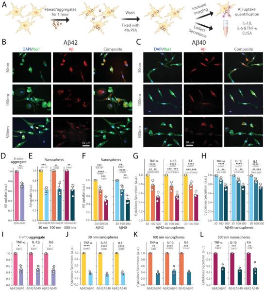
Determining the structure-function relationships of protein aggregates is a fundamental challenge in biology. These aggregates, whether formed in vitro, within cells, or in living organisms, present significant heterogeneity in their molecular features such as size, structure, and composition, making it difficult to determine how their structure influences their functions. Interpreting how these molecular features translate into functional roles is crucial for understanding cellular homeostasis and the pathogenesis of various debilitating diseases like Alzheimer's and Parkinson's. In this study, a bottom-up approach is introduced to explore how variations in protein aggregates' size, composition, post-translational modifications and point mutations profoundly influence their biological functions. Applying this method to Alzheimer's and Parkinson's associated proteins, novel disease-relevant pathways are uncovered, demonstrating how subtle alterations in composition and morphology can shift the balance between healthy and pathological states. This findings provide deeper insights into the molecular basis of protein's functions at the single-aggregate level, enhancing the knowledge of their roles in health and disease.

摘要

确定蛋白质聚集体的结构-功能关系是生物学中的一项基本挑战。这些聚集体,无论在体外、细胞内还是在活生物体中形成,在其分子特征(如大小、结构和组成)方面都存在显著的异质性,这使得难以确定其结构如何影响其功能。解读这些分子特征如何转化为功能作用对于理解细胞稳态以及诸如阿尔茨海默病和帕金森病等各种使人衰弱的疾病的发病机制至关重要。在这项研究中,引入了一种自下而上的方法来探索蛋白质聚集体的大小、组成、翻译后修饰和点突变的变化如何深刻影响其生物学功能。将该方法应用于与阿尔茨海默病和帕金森病相关的蛋白质,发现了与疾病相关的新途径,证明了组成和形态的细微变化如何能够改变健康状态和病理状态之间的平衡。这些发现为蛋白质在单聚集体水平上功能的分子基础提供了更深入的见解,增强了对其在健康和疾病中作用的认识。

https://cdn.ncbi.nlm.nih.gov/pmc/blobs/3719/11884545/1fa48de32ba0/ADVS-12-2410229-g006.jpg

文献检索

告别复杂PubMed语法,用中文像聊天一样搜索,搜遍4000万医学文献。AI智能推荐,让科研检索更轻松。

立即免费搜索

文件翻译

保留排版,准确专业,支持PDF/Word/PPT等文件格式,支持 12+语言互译。

免费翻译文档

深度研究

AI帮你快速写综述,25分钟生成高质量综述,智能提取关键信息,辅助科研写作。

立即免费体验