Suppr超能文献

先天性心脏病胎儿嗅沟的系统超声评估:CHARGE综合征诊断线索

Systematic Ultrasound Evaluation of Olfactory Sulci in Fetuses with Congenital Heart Defects: A Clue for CHARGE Syndrome Diagnosis.

作者信息

Charach Ron, Pérez-Cruz Míriam, Masoller Narcis, Illa Míriam, Monterde Elena, Martínez-Crespo Josep Maria, Borrell Antoni, Gómez-Chiari Marta, Rebollo-Polo Mónica, Borregan Mar, Gómez Olga, Eixarch Elisenda

机构信息

BCNatal | Fetal Medicine Research Center (Hospital Clínic and Hospital Sant Joan de Déu), University of Barcelona, Barcelona, Spain,

Prenatal Ultrasound Unit, The Helen Schneider Women's Hospital, Rabin Medical Center, Tel-Aviv University, Petach-Tikva, Israel,

出版信息

Fetal Diagn Ther. 2025;52(3):280-290. doi: 10.1159/000543190. Epub 2025 Jan 14.

Abstract

INTRODUCTION

Arhinencephaly have been identified as a significant feature in CHARGE syndrome. This study aimed to evaluate the diagnostic role of olfactory sulci (OS) in identifying CHARGE syndrome among fetuses with major congenital heart defects (CHDs).

METHODS

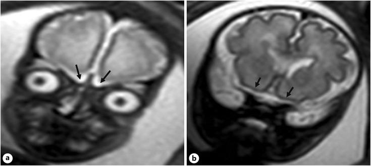
We prospectively evaluated OS development in fetuses diagnosed with CHDs from 2017 to 2021. Neurosonography was performed using transabdominal and transvaginal approaches after 30 weeks of gestation. OS assessment was conducted in the trans-frontal coronal plane, classifying their appearance as fully developed, hypoplastic, or absent. Abnormal OS cases underwent MRI and trio-based clinical exome sequencing (CES).

RESULTS

The study included 147 fetuses with CHD. Abnormal OS were found in 4 fetuses (2.7%) which also exhibited other additional anomalies. OS were absent in cases 1-3 and hypoplastic in case 4. MRI confirmed OS abnormalities in all cases, and trio-based CES identified a CHD7 gene mutation in cases 1, 2, and 4, supporting the diagnosis of CHARGE syndrome. Case 3 had normal trio-based CES results. No other CHARGE syndrome cases were diagnosed postnatally among the cases with normal OS.

CONCLUSIONS

Systematic evaluation of OS in fetuses with major CHD might contribute to the diagnosis of CHARGE syndrome. Our findings support the inclusion of OS assessment in the prenatal evaluation of fetuses with major CHDs.

摘要

引言

无脑畸形已被确定为CHARGE综合征的一个重要特征。本研究旨在评估嗅沟(OS)在患有主要先天性心脏病(CHD)的胎儿中识别CHARGE综合征的诊断作用。

方法

我们前瞻性评估了2017年至2021年诊断为CHD的胎儿的OS发育情况。妊娠30周后采用经腹和经阴道途径进行神经超声检查。在额部冠状面进行OS评估,将其外观分类为完全发育、发育不全或缺失。OS异常的病例接受了MRI和基于三联体的临床外显子组测序(CES)。

结果

该研究纳入了147例患有CHD的胎儿。4例胎儿(2.7%)发现OS异常,这些胎儿还表现出其他额外的异常。病例1 - 3的OS缺失,病例4的OS发育不全。MRI证实所有病例的OS均异常,基于三联体的CES在病例1、2和4中鉴定出CHD7基因突变,支持CHARGE综合征的诊断。病例3的基于三联体的CES结果正常。OS正常的病例中,出生后未诊断出其他CHARGE综合征病例。

结论

对患有主要CHD的胎儿进行OS的系统评估可能有助于CHARGE综合征的诊断。我们的研究结果支持在患有主要CHD的胎儿的产前评估中纳入OS评估。

https://cdn.ncbi.nlm.nih.gov/pmc/blobs/87de/12129418/b6b36877de30/fdt-2025-0052-0003-543190_F01.jpg

文献检索

告别复杂PubMed语法,用中文像聊天一样搜索,搜遍4000万医学文献。AI智能推荐,让科研检索更轻松。

立即免费搜索

文件翻译

保留排版,准确专业,支持PDF/Word/PPT等文件格式,支持 12+语言互译。

免费翻译文档

深度研究

AI帮你快速写综述,25分钟生成高质量综述,智能提取关键信息,辅助科研写作。

立即免费体验