Suppr超能文献

临床实践中的内镜括约肌切开术。

Endoscopic sphincterotomy in clinical practice.

作者信息

Simmons T C, Henderson D R, Gletten F

出版信息

J Natl Med Assoc. 1985 Mar;77(3):183-91.

Abstract

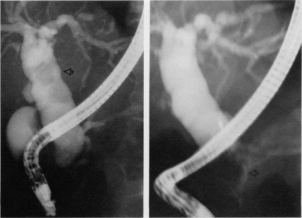
Endoscopic sphincterotomy was performed in 22 patients with biliary obstruction. Nineteen patients had obstructing choledocholithiasis and three patients had distal common-bileduct obstruction due to malignant disease. All patients had excellent biliary decompression. Three patients had complications that responded to medical management. Endoscopic sphincterotomy is a safe and effective procedure for the nonsurgical management of obstructive-biliary-tract disease.

摘要

对22例胆道梗阻患者实施了内镜括约肌切开术。19例患者患有阻塞性胆总管结石,3例患者因恶性疾病导致胆总管远端梗阻。所有患者的胆道减压效果均良好。3例患者出现了经药物治疗有效的并发症。内镜括约肌切开术是一种用于非手术治疗阻塞性胆道疾病的安全有效的方法。

https://cdn.ncbi.nlm.nih.gov/pmc/blobs/3fc9/2561861/b48731babbce/jnma00246-0030-a.jpg

引用本文的文献

本文引用的文献

1
Duodenoscopic sphincterotomy in the treatment of the "sump syndrome".
Dig Dis Sci. 1981 Oct;26(10):922-8. doi: 10.1007/BF01309498.
3
[Long term results after endoscopic sphincterotomy].
Dtsch Med Wochenschr. 1982 Apr 23;107(16):610-4. doi: 10.1055/s-2008-1069987.
5
Endoscopic sphincterotomy of the ampulla of Vater.
Gastrointest Endosc. 1974 May;20(4):148-51. doi: 10.1016/s0016-5107(74)73914-1.
6
Duodenoscopic sphincterotomy and gallstone removal.
Gastroenterology. 1977 Feb;72(2):338-43.

文献AI研究员

20分钟写一篇综述,助力文献阅读效率提升50倍。

立即体验

用中文搜PubMed

大模型驱动的PubMed中文搜索引擎

马上搜索

文档翻译

学术文献翻译模型,支持多种主流文档格式。

立即体验